AOTRAUMA.ORG Центр Илизарова  

Ортопедия и травматология Общие вопросы/General questions Help Информационные технологии в медицине
 вверх
 отправить
 поиск
 админ
 главная


перелом Монтеджа
Ортопедия и травматология Отправлено Sergey Zyryanov 08 Февраль 2002, 23:30
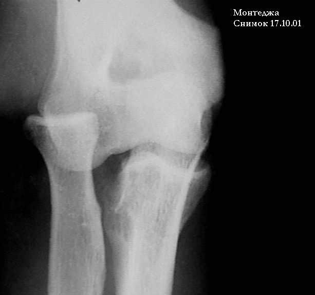
У больного травма в октябре 2001. Перелом Монтеджа разгибательный.Проведена операция металлостеосинтез пластиной, винтами локтевой кости. Вывих головки лучевой кости не диагностирован. В конце февраля 2002 г снята гипсовая повязка. Имеется ограничение сгибания до 115 градусов. Больной обратился в наше лечебное учреждение 07.02.02. Мы предложили ему оперативное лечение. Планируем провести резекцию головки лучевой кости. Есть мнение попытаться вправить головку лучевой кости, провести пластику кольцевидной связки, фиксисировать головку лучевой кости трансартикулярно спицей. Но боюсь, что в момент остеосинтеза была укорочена локтевая кость, поэтому необходимо будет провести резкцию в области диафиза лучевой кости, а затем провести остеосинтез лучевой кости. Рентгенограммы:
1; 2; 3; 4
Сергей ЗыряновЦРБ Новосибирская область г Куйбышев


<  |  >

 

  • Сообщения о Ортопедия и травматология
  • Также Sergey Zyryanov
  • Связаться с автором
  • Ответить

    Re: перелом Монтеджа
    Alexander Chelnokov 11 Февраль 2002, 00:55
    SZ> Вывих головки лучевой кости не диагностирован.

    Увы, это происходит не так редко. Во многих больницах снимки при переломах длинныъх трубчатых костей делают на коротких кассетах,
    видимо, для экономии пленки.

    SZ> обратился в наше лечебное учреждение 07.02.02.
    SZ> Мы предложили ему оперативное лечение.
    SZ> Планируем провести резекцию головки лучевой кости.

    Наверно, это оптимальный вариант в данной ситуации.

    SZ> Есть мнение попытаться вправить головку лучевой кости, провести пластику

    Более трудоемко, больше риска повредить лучевой нерв, а результат может быть еще и хуже, чем при просто резекции головки.
    Вообще, у нас был опыт лечения застарелых повреждений Monteggia.
    Делали постепенную репозицию аппаратом. Хотя рентгенограмма получалась красивая, функцию сустава полностью восстановить не удавалось.

    --
    Best regards,
    Alexander N. Chelnokov
    Ural Scientific Institute of Traumatology and Orthopaedics
    [ Ответить ]

    Re: перелом Монтеджа
    Евгений Чекашкин 11 Февраль 2002, 08:18
    Я бы воздержался от резекции головки лучевой кости , попытался бы вправить её. Трудности её вправления обусловлены укорочением локтевой кости
    предположительно. Поэтому для начала я бы посмотрел насколько локтевая кость стала короче в результате её перелома - сравнил бы с рентгенограммой предплечья со здоровой стороны. С учетом этого спланировал бы Z -образную
    остеотомию локтевой кости, чтобы восстановить исходную длину локтевой кости и фиксировал бы её DCP ( пластина динамической компрессии, в наборе есть и компрессирующее и дистракционное устройство - технически не должно быть сложно произвести такую манипуляцию) На усмотрение оператора в зоне остеотомии можно использовать и костную пластику губчатой костью. Учитывая
    значительное время , прошедшее с момента травмы закрытая репозиция головки будет вряд ли возможна, поэтому из наружного доступа -артротомия и открытая репозиция вывиха головки.
    Анулярную связку восстановить по давности событий думаю будет непросто, если возможно вовсе.
    Пластика связки ? опыта нет - не знаю. Я бы ушил капсулу сустава и иммобилизовал локтевой сустав на 3 недели в задней гипсовой лонгете в
    положении сгибания 90 гр., убедившись рентгенологически, что головка на месте.
    Почему против резекции головки - потому, что известно, локтевой сустав имеет две колонны и головка лучевой кости - один из компонентов наружной колонны, Поэтому, что бы сохранить боковую стабильность сустава и предотвратить его вальгусную деформацию производить резекцию не стоит.

    Удачи,

    Евгений Чекашкин
    [ Ответить ]

    • Re: перелом Монтеджа
      Отправитель: Alexander Chelnokov 11 Февраль 2002, 08:59
      Глубокоуважаемый evgueny,

      Monday, February 11, 2002, 12:52:22 AM, you wrote:

      e> значительное время , прошедшее с момента травмы закрытая репозиция головки
      e> будет вряд ли возможна, поэтому из наружного доступа -артротомия и открытая
      e> репозиция вывиха головки.

      Если принимать решение в рамках предлагаемой Вами тактики (открытая репозиция и внутренняя фиксация), то вправление головки в срок более 6
      недель не показано. Вот что на этот счет написано в руководстве Campbell
      ==============================================
      For old injuries (6 weeks or older) in which the dislocation of the radial head has never been reduced or in which insufficient fixation of the fracture of the ulna has allowed angulation of this fracture and redislocation of the radial head, the radial head is excised. If the ulna is sufficiently angulated or is ununited, it is rigidly fixed (usually with a compression plate) and supplemented by cancellous bone grafts.

      При застарелых повреждениях (6 недель и больее), в которых головка не вправлялась или из-за недостаточной фиксации произошла деформация
      локтевой кости и рецидив вывиха головки, головка иссекается. Если есть значительная деформация или несращение локтевой кости, она прочно
      фиксируется (обычно компрессирующей пластинкой) и дополняется костной пластикой.
      ==============================================

      В Wheeless Textbook (http://www.medmedia.com/orthoo/84.htm) отводят
      побольше времени - до 3 месяцев.
      ===========================================
      Delayed Dx:
      - when dx is delayed


      [ Ответить ]
      • Re: перелом Монтеджа
        Отправитель: evgueny 13 Февраль 2002, 23:49
        Уважаемый Александр !

        Спасибо за информацию.
        Судя по сообщению давность травмы чуть больше 3 мес (октябрь 2001).

        В английском издании журнала костно-суставной хирургии vol 70-B, No.5, November 1988, pp846-847
        описан случай открытого вправления вывиха головки лучевой кости спустя 3 года после травмы с успешным функциональным результатом. Авторы
        Freedman#Luk#Leong произвели открытое вправление головки из переднего доступа, не восстанавливая анулярную связку. В своём случае они выполнили
        укорачивающую остеотомию лучевой кости, хотя удлиняющая остеотомия локтевой кости ими не отрицается. Хороший функциональный результат после позднего вправления головки ( открытого) описан и другими авторами : Bell-Tawse 1965;
        Lloyd-Roberts and Bucknill 1977.
        проблема стара ,как мир.
        Все теоретически возможные варианты :
        -открытая репозиция с реконструкцией связки (Hurst~ Dubrow 1983 and etc) -oстеотомия локтевой кости (Kalamachi 1986: Hirayama 1987 : Bouyala 1988 and etc.)
        -остеотомия лучевой кости (Bouyala 1988)
        -реконструкция связки в сочетании с остеотомиями ( Stoll~Willis and Paterson 1992 etc.) уже описаны и имеют право на жизнь.
        Я почитал рекомендации в руководстве Кэмпбэлла 6 издания 1980 года и если бы все вышеуказанные авторы воспринимали это руководство как закон, как догму, то вряд ли появились бы их публикации.
        Окончательное слово за лечащим врачом ( к чему он теоретически и практически готов) и пациентом (принцип - не делать умных операций глупым пациентам).

        С наилучшими пожеланиями,
        Евгений Чекашкин


        [ Ответить ]
    Re: перелом Монтеджа
    Anton V. Vladzimirskiy 12 Февраль 2002, 00:36
    Мы предлагаем так:
    Если в радиоульнарном сочленении нет подвывиха, то резецировать головку лучевой кости. Если подвывих есть - то вправление и удержание с помощью АВФ.

    С уважением,
    А.В.Владзимирский
    [ Ответить ]

    Re: перелом Монтеджа
    Sergey Zyryanov 16 Февраль 2002, 12:55
    Благодарен всем за ответы на мое сообщение.
    Учитывая, что мы имеем опыт хороших функциональных результатов после резекции головки лучевой кости при оскольчатых переломах головки лучевой кости, мы ограничились проведением резекции головки.

    Подобная тема поднималась и в отечественной литературе.
    Цитата из руководства А.В.Каплана "Закрытые повреждения костей и суставов" издание третье.
    "При застарелых несращенных переломах Монтсджа у взрослых мы производим резекцию головки лучевой кости и внутрикостный остеосинтез локтевой кости
    металлическим стержнем с экстраоссальной костной трансплантацией. В случаях сращения локтевой кости мы ограничиваемся удалением головки лучевой кости. Б. Бойчев (1961), чтобы облегчить вправление вывиха головки лучевой кости
    при застарелых переломах Монтеджа, рекомендует производить экономную резекцию диафиза лучевой кости и остеосинтез ее.
    У детей при застарелых переломах Монтеджа всегда нужно избегать резекции головки и производить вправление ее."

    Сергей Зырянов
    ЦРБ Новосибирская область г Куйбышев
    [ Ответить ]


    ( Ответить )

    Powered by Zope  Squishdot Powered MedLink
    Посетитель: 0230401
      "По форме правильно, а по существу - издевательство" В.И.Ленин
    ©2001-2019Orthoforum Coordinator.
    [ Главная | Отправить сообщение | Поиск | Админ ]