AOTRAUMA.ORG Центр Илизарова  

Ортопедия и травматология Общие вопросы/General questions Help Информационные технологии в медицине
 вверх
 отправить
 поиск
 админ
 главная


протрузия эндопротеза
Ортопедия и травматология Отправлено Anton Vladzymyrskyy 23 Март 2004, 12:21
12
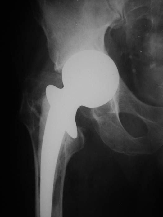
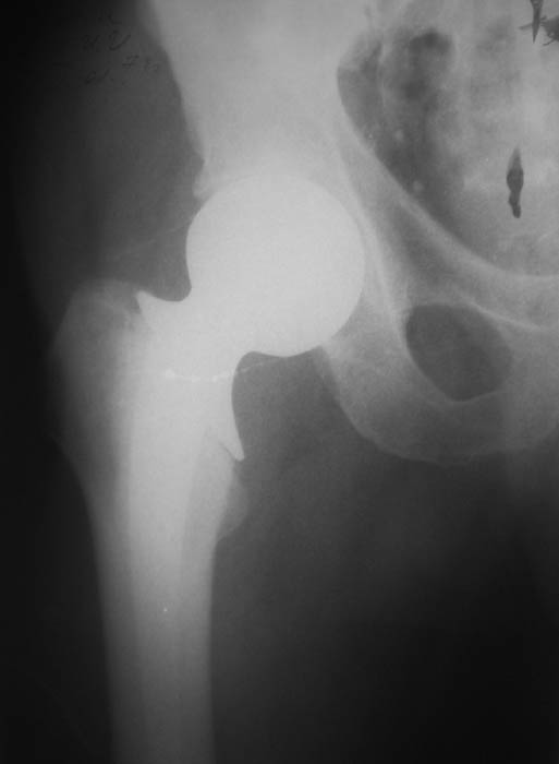
Мужчина, 77 лет. В 2000 г. по поводу субкапитального перелома шейки бедренной кости произведена операция эндопротезирования головки. На последних рентгенограммах обнаружена протрузия головки эндопротеза.
В настоящее ведет активный образ жизни, продолжает работать.Предполагается замена протеза на тотальный ревизионный. Интересуют предложения по восстановлению костной массы вертлужной впадины.Заранее благодарю!С уважением,А.В.ВладзимирскийДонецкий НИИ травматологии и ортопедииДонецк, Украина

<  |  >

 

  • Сообщения о Ортопедия и травматология
  • Также Anton Vladzymyrskyy
  • Связаться с автором
  • Ответить

    Re: протрузия эндопротеза
    Denis Yolkin 24 Март 2004, 03:56
    Такой исход не редок при применении однополюсного эндопротеза. При ревизионном эндопротезировании с пластикой вертлужной впадины применяем кольца Мюллера или Бурхшнайдера. Основная проблема - найти адекватное количество пластического материала. Приходится комбинировать ауто- и аллотрансплантаты. Среди аллотрансплантатов лучше использовать лиофилизированные губчатые и частично деминерализованные, в наиболее нагружаемых зонах кортикальные. На сайте 13 ГКБ (gkb13.webzone.ru) г. Москвы в разделе "публикации" найдете несколько статей, посвященных этой проблеме.
    Удачи. Д.Елкин, ГКБ 31, РУДН, Москва.
    [ Ответить ]

    Re: протрузия эндопротеза
    Волокитина Елена 26 Март 2004, 08:57
    Решение о замене на тотальный ревизионный протез бесусловно правильное, если пациент в таком возрасте сохранный. Дефект под антипротрузионным кольцом возможно заполнить аутотранстплантатом из крыла подвздошной кости большими фрагментом или же костной крошкой из него. Если у пациента есть проблемы со здоровьем, то возможен и вариант рекомендаций по ходьбе с костылями и уменьшении нагрузку на ногу, что предотвратит дальнейшую протрузию. С уважением Е.А.Волокитина.
    [ Ответить ]

    Re: протрузия эндопротеза
    Потеряев А. Г. 26 Март 2004, 21:38
    С Вашей точкой зрения согласен полностью.
    [ Ответить ]

    Re: протрузия эндопротеза
    валерий 31 Март 2004, 01:46
    Желательно применить аллакость - фрагмент головки или мыщелков бедра. Опилить и закрыть дно, затем набить костные чипсы с хорошим уплотнением. Если получится плотно, то можно установить безцементную чашку.
    [ Ответить ]

    Re: протрузия эндопротеза
    Никлоай Сорокин 22 Июль 2004, 03:48
    при наличии действительного желания помочь пацменту, показана пластика дна вертлужной впадины деминерилизованной крышкой, трансплантатом, теменной кости ( выпускают фирмы Италии и нашего ЦИТО, п.с. У. ЦИТО дешевле. ), пластика показана при наличии опыта, и замены трансплантата на бесцементный эндопротез, с костной пластикой и готовностью поставить ножку Вагнера
    [ Ответить ]


    ( Ответить )

    Powered by Zope  Squishdot Powered MedLink
    Посетитель: 0021746
      "По форме правильно, а по существу - издевательство" В.И.Ленин
    ©2001-2019Orthoforum Coordinator.
    [ Главная | Отправить сообщение | Поиск | Админ ]