вверх
отправить
поиск
админ
главная
|
СКВ+тазобедренные суставы |
 |
 |
 |
Отправлено Anton Vladzymyrskyy 30 Июнь 2004, 18:34
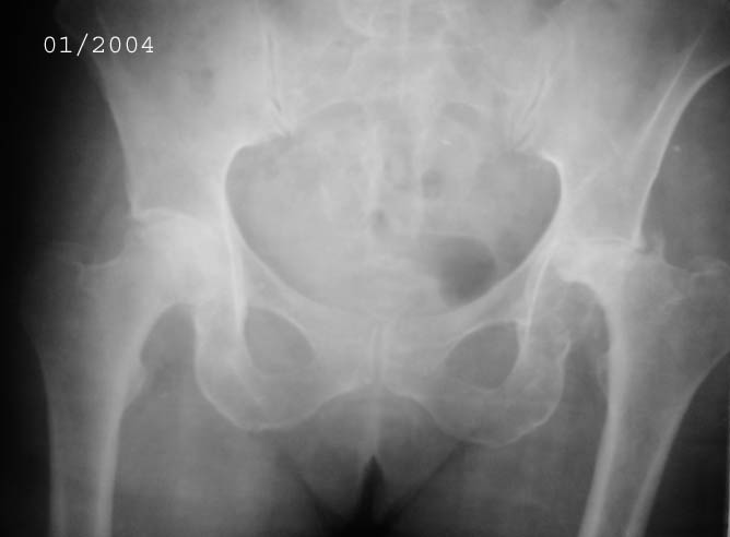
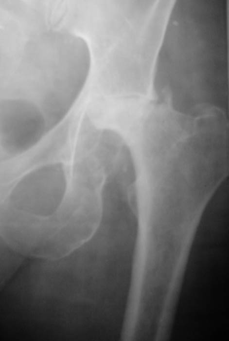
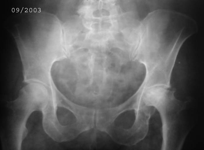
Уважаемые коллеги! Прошу Вас оказать консультативную помощь. Женщина, 44 года, инвалид 3 группыДиагноз: СКВ, асептический некроз головок обеих бедернных костей, двусторонний артроз 3-4 ст., болевой синдром, приводящая контрактураправого тазобедренного сустава, хронический волчаночный гепатит, спленомегалия, анемия, СКВ с 2002 года (подтверждена наличием lupus-клеток), получала специфическую терапию, медрол 16 мг/сут. Боли в левом тазобедренном суставе появились в сентябре 2003 года. Динамика отражена на рентгенограммах. В марте 2004 года - синдром Мэллори-Вейса, кровотечение остановлено эндоскопически. Объективно: кожа бледная, пастозность, отечность лица, высыпания на лице практически отсутствуют. Печень +6 см, селезенка не пальпируется. АД140/80, пульс 100, дыхание 15.
Ходит с тростью, хромота. Объем движений в суставах: справа - сгибание 90, разгибание 170, отведение 0, приведение 20, внутренняя ротация 15;слева - сгибание 90, разгибание 180, отведение 0, приведение 20, внутренняя ротация 0, наружная ротация 20. ЭКГ - отклонение ЭОС влево, гипертрофия левого желудочка, дистрофические изменения миокардаОбщий анализ крови: Э. 3,6, Hg 100, цп. 0,83, л.7,3, э.1, п.3, с.72, л.19, м.5, СОЭ 5 Общий анализ мочи: объем 120,0, уд.вес 1008, желтый, р-ция кислая, сахар/белок/цилиндры нет, эпителий и эритроциты единичные, Л.1-2, солиоксалатовые в небольшом к-ве. Биохимический анализ крови Билирубин 11,5 ммоль/л (прямой 0, непрямой 11,5), АСТ 0,24, АЛТ 0,61, протромбиновый индекс 100, рекальцификация 150, фибриноген 1,99,толерантность 8, фибринолитическая активность 240, общий белок 74,3, сиаловые кислоты 250 ед., С-реактивный белок 0. Пациентка желает выполнить тотальное эндопротезирование. Допустимо ли выполнение подобной операции? При каких условиях, дополнительной терапии? Особые предоперационные мероприятия? Личный опыт? Комментарии?Мнения? Заранее благодарю!!! С уважением, А.В.Владзимирский Донецкий НИИ травматологии и ортопедии
<
|
>
|
|
Ответить
|
Re: СКВ+тазобедренные суставы
Anatoly A. Yakushin 30 Июнь 2004, 18:55
|
Почему нет, вполне возможно.
Мы в таких случаях проводим интраоперационно
микропульс-терапию 250-500 мг метипреда. Обязательным является интраоперационное использование парентеральных Н2-блокаторов.
Объем микропульс-терапии зависит от выраженности основного заболевания и текущих доз гормонов, согласовывается с наблюдающим ревматологом.
Ну и кровопотеря обычно большая, к этому надо быть готовым, исследовать свертывающую систему крови, иметь этамзилат и компоненты крови в достаточном количестве. Эндопротез оптимально цементный.
|
[
Ответить ]
|
Re: СКВ+тазобедренные суставы
Верещагин Николай Александрович. Нижний Новгород. 01 Июль 2004, 00:52
|
Уважаемые коллеги!
Несомненно оперировать надо.
2 года назад я оперировал пациентку с такими же изменениями. Предпочтительнее использовать протез цементной фиксации. Тогда мы поставили протез Zimmer ZCA CPT. Очень удобная конструкция. На всякий случай возьмите на операцию укрепляющее кольцо Мюллера - остеопороз! Особое внимание надо обратить на антибиотикотерапию - риск нагноения очень большой. По возможности подготовку к операции и послеоперационное лечение надо согласовывать с ревматологом. Успехов!
|
[
Ответить ]
|
Re: СКВ+тазобедренные суставы
Святенко Владимир 01 Июль 2004, 01:02
|
Личного опыта при подобной тяжелой патологии не имею, мнение - операция в данном случае противопоказана - риск операции непомерно высок и не оправдан. Очевидно есть и другие мненеия.
Владимир.
|
[
Ответить ]
|
Re: СКВ+тазобедренные суставы
Отправитель: Anatoly A. Yakushin 01 Июль 2004, 17:31
|
Риск операции действительно высок, но оправдан.
Во многих случаях после эндопротезирования при
люпус-артритах существенно улучшается прогноз и основного заболевания.
--
Rgrds,
Anatoly A. Yakushin aka DOC
Orthopaedic Departmens
Veterans Hospital # 3
Moscow
|
[
Ответить ]
|
|
Re: СКВ+тазобедренные суставы
Николай Сорокин ГВКГ им. Бурденко 22 Июль 2004, 02:05
|
Уважаемый коллега,в практике нашего отделения эндопротезирования крупных суставов был похожий случай, у солдата 19 лет, вдруг ни с того, не с сяго, атрофировался правый глаз, и так - же, даже быстрее, рассосался левый тазобедренный сустав, долго умные люди думали и гадали, что это такое , вплоть до мифического рака глаза с метастазами. Пишу просто и с юмором, уж простите что нет заумных фраз. Лечился в 3 - х госпиталях, - долго думали заумно и интерестно, пока не взяли РНГА на Хлпмидии и соскоб из уретры, оказался реактивный ( да, вот такой быстрый и непонятный ) синдром Рейтера , рентгенологическая картина точно такая - же. Потом поступила женьщина 43 лет, картина аналогичная, только болезнь длилась 3 года. при РНГА тесте - хламидии. Уж не знаю, успел ли вам вовремя написать, пусть я и ошибаюсь, однако опыт не пропьешь, проверьте на всякий случай. В плане оперативного лечения, то уж простите, с вышеуказанными высказованиями категорически не согласен, протез только безцементный, желательно Споторно ( и ножка ляжет как надо, да и вертлуга цела ) . С искренним Уважением. Н.С.
|
[
Ответить ]
|
( Ответить )
|
|