вверх
отправить
поиск
админ
главная
|
вывих головки эндопротеза |
 |
 |
 |
Отправлено Alexander Artemiev 08 Июль 2004, 15:35
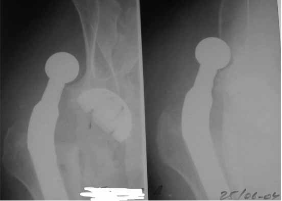
Дорогие коллеги.Мой хороший товарищ, сам травматолог-ортопед, прооперирован 1,5 мес назад. Естественно, начались проблемы. Хотелось бы узнать ваше мнениеи, главное,что делать дальше... Итак:Мужчина 50 лет.Д-з: Посттравматический деф.артроз правого тазобедренного сустава с выраженным болевым синдромом, стойкой комбинированной контрактурой иукорочением 3 см. Анамнез: 10 лет назад - сочетанная травма головы, груди, конечностей, таза... перелом заднего края вертлужной впадины и вывих бедра справа.Лечился консервативно. 25.05.94 - операция тотальное эндопротезирование правого тазобедренного сустава бесцементным эндопротезом (чашка Споторно 52, ножка Вагнера 225/21, головка L), дополнительная фиксация в кокситной гипсовой повязке в течение 3 нед. Спустя месяц после операции при поворачивании на бок в кровати произошел вывих головки эндопротеза. Под наркозом вывих вправили. Вот 10 дней лежит в постели. Что необходимо делать? Рентгенограммы до операции и после. Рентгенограммы в положении вивиха у меня отсутствуют. Ну наверное они и не столь важны, ведь вывих-то вправили. Учреждение и фамилию пациента, нашего коллеги, называть не буду. Он попросил меня собрать мнения - как ему жить дальше. Заранее благодарен. С уважением Александр Артемьев
<
|
>
|
|
Ответить
|
Re: вывих головки эндопротеза
Anatoly A. Yakushin 08 Июль 2004, 15:40
|
А можно узнать,
1. С чем связана задержка активизации больного и для чего потребовалась гипсовая иммобилизация.
2. Сроки представленной послеоперационной рентгенографии (сразу после операции или после вывиха).
Желательно иметь рентгенограммы как после операции, так и после вправления вывиха.
--
Rgrds,
Anatoly A. Yakushin
Orthopaedic departmen
Veteran's Hospital # 3
Moscow
|
[
Ответить ]
|
Re: вывих головки эндопротеза
Отправитель: Alexander Artemiev 09 Июль 2004, 15:14
|
AAY> 1. С чем связана задержка активизации больного и для чего
AAY> потребовалась гипсовая иммобилизация.
Связано это с личностными качествами его начальника, который его оперировал.
Во всяком случае - ничего вразумительного.
AAY> 2. Сроки представленной послеоперационной рентгенографии (сразу после
AAY> операции или после вывиха).
После операции.
AAY> Желательно иметь рентгенограммы как после операции так и после
AAY> вправления вывиха.
Я думал, это не очень важно. Вышлю и во время вывиха. Я просто не успел отснять их, а товарищ мой немного торопил - волнуется.
С уважением Александр Артемьев
|
[
Ответить ]
|
|
Re: вывих головки эндопротеза
Anton Vakulenko 09 Июль 2004, 12:29
|
Вывихи в раннем п/о периоде после протезирования (особенно через расширенные задне-боковые доступы) не так уж и редки. Если в данном случае вывих произошел в результате простого нарушения режима (поворот на бок), то ничего страшного нет. Больного нужно поднимать на ноги, но строго контролировать его движения. Если есть съемная отводящая шина - можно одевать ее для спокойствия.
Если же вывих произошел по причине неправильной ориентации ножки (чего по снимкам нельзя исключить), то конечно же он будет повторяться и
постельный режим тут ничем не поможет. Необходима ревизия с заменой неправильно имплантированного компонента и тщательным восстановлением капсулы и мышц в зоне сустава...
--
Best regards,
Anton
|
[
Ответить ]
|
Re: вывих головки эндопротеза
Отправитель: анна 29 Июль 2009, 20:59
|
пожалуйста подскажите где можно купить съемную отводящую шину в москве просмотрели все сайты ничего не нашли
с уважением, анна
|
[
Ответить ]
|
|
Re: вывих головки эндопротеза
Георгий Ш. Голубев 09 Июль 2004, 12:31
|
Уважаемый Александр Александрович,
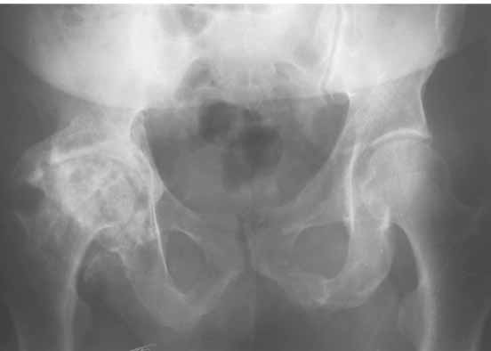
Для ответа на Ваши вопросы нужна, как минимум, обзорная
рентгенограмма таза в прямой проекции - многое станет ясно без слов.
Первые впечатления:
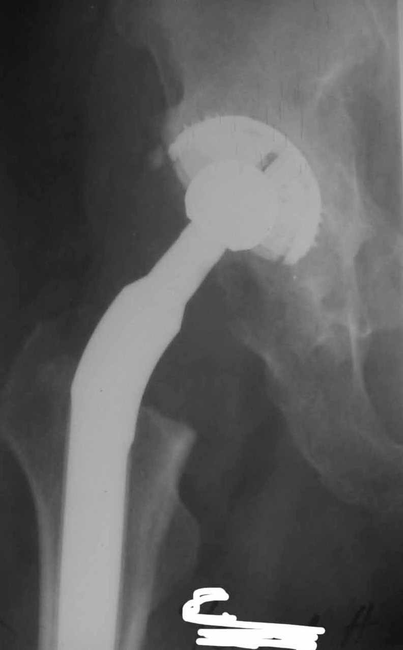
1. Вертикальное положение чашки;
2. Нарушение угла антеверсии ножки (судя по изображению малого вертела
на послеопреационной рентгенограмме).
3. Комбинация этих двух причин.
4. Видимо, тенденция к вывиху была уже на столе - вот Вам и кокситная повязка с надеждой на фиксацию протеза рубцом.
С уважением,
Г.Голубев
|
[
Ответить ]
|
Re: вывих головки эндопротеза
Отправитель: Alexander Artemiev 09 Июль 2004, 20:33
|
Здравствуйте, уважаемый Георгий.
Благодарю за ответ.
GG> Для ответа на Ваши вопросы нужна, как минимум, обзорная
GG> рентгенограмма таза в прямой проекции - многое станет ясно без слов.
Правильно ли я понял,что нужна рентгенограмма всего таза?
Если надо - сделаем.
GG> Первые впечатления:
GG> 1. Вертикальное положение чашки;
GG> 2. Нарушение угла антеверсии ножки (судя по изображению малого вертела
GG> на послеопреационной рентгенограмме).
GG> 3. Комбинация этих двух причин.
GG> 4. Видимо, тенденция к вывиху была уже на столе - вот Вам и кокситная
GG> повязка с надеждой на фиксацию протеза рубцом.
Если есть или будет возможность - скажите всё-таки как вести пациента сейчас, в конкретной сложившейся ситуации.
Спасибо.
С глубоким уваженим Александр Артемьев
|
[
Ответить ]
|
Re: вывих головки эндопротеза
Отправитель: Георгий Ш. Голубев 09 Июль 2004, 20:35
|
Уважаемый Александр Александрович,
Обзорная рентгенограмма таза просто необходима. Удивительно, почему она не сделана сразу же после установки протеза.
После ее получения можно будет продемонстрировать причины проблемы.
Мои предложения, основанные на публикациях и собственных - очень болезненных - наблюдениях просты:
1. Ревизия безотлагательно.
2. Вывихивание протеза, снятие головки
3. Экстракция ножки до уровня, когда ее диаметр станет меньше, чем
диаметр посадочного места в канале бедренной кости.
4. Внутренняя ротация ножки на 1-2 насечки (они есть на ножке Вагнера и довольно хорошо позволяют ориентироваться - это около 10-20 град), т.к. проблема именно в том, что ножка установлена с
ошибочно заданным углом антеверсии и, скорее всего, с избыточным удлинением - именно это мы и увидим на передне-задней рентгенограмме(!) таза.
5. Мощное медикаментозное прикрытие операции (тиенам, клексан(фраксипарин, фрагмин), липостабил, антиагреганты).
К сожалению, подобные ситуации я уже проходил лет 8-10 назад лично, а сообщество хирургов, занимающихся эндопротезированием, сделало давно
однозначный вывод о тактике - активное вмешательство для разрешения проблемы. Сам-то протез на место не встанет!
С уважением,
Г. Голубев
|
[
Ответить ]
|
Re: вывих головки эндопротеза
Отправитель: Anatoly A. Yakushin 09 Июль 2004, 22:27
|
> Обзорная рентгенограмма таза просто необходима. Удивительно, почему
> она не сделана сразу же после установки протеза.
> После ее получения можно будет продемонстрировать причины проблемы.
Да, это разумно.
Причем рентгенография должна быть сделана с правильной укладкой пациента, а именно - голени должны свешиваться с рентгеновского стола и край стола проходить на уровне коленных суставов.
Тогда можно будет точно установить угол антеверсии.
> однозначный вывод о тактике - активное вмешательство для разрешения
> проблемы. Сам-то протез на место не встанет!
Здесь я позволю себе с Вами не согласиться. Мне кажется, что прав коллега Тихилов - объем резекции большого вертела кажется избыточным.
Надо попробовать активизировать больного, разрешить ему ходить с нагрузкой до 50% веса тела, сидеть.
Оперировать только в случае повторного вывиха.
|
[
Ответить ]
|
|
Re: вывих головки эндопротеза
Рашид М. Тихилов 09 Июль 2004, 12:34
|
Сан Саныч,
Консультировать вывихи по рентгенограммам, не зная хода операции, дело не очень благодарное. Я думаю, что с датой операции Вы ошиблись и это был 2004 год? Тем не менее. Настораживают два фактора. Первое - не видно большого вертела. Если с мышцами обошлись грубо и их отсекли, то это очень грустно и нужна "связанная" пара, т.н. "constrain cup". Смущает хорошо прослеживаемый малый вертел и небольшая ретроверсия чашки. Возможно это (избыточная ретроверсия ножки и чашки) могло послужить причиной вывиха. Обычно гипсовая повязка после операции не накладывается, значит, были глубокие сомнения у оперировавшего хирурга. В этом случае - ревизия с перестановкой как минимум - ножки, а как максимум - обоих компонентов.
Но желательно бы знать ход операции.
С.С. случайно имя б-го начинается не с буквы Т., а хирурга - с Н.?
С уважением, Р.Тихилов
|
[
Ответить ]
|
Re: вывих головки эндопротеза
Отправитель: Alexander Artemiev 09 Июль 2004, 15:18
|
Дорогие коллеги, спасибо всем, кто откликнулся.
Все Ваши мнения я распечатаю, они будут обсуждены
и, возможно, каким-то образом помогут пациенту.
Дата операции - конечно же 2004 год.
Рашид Муртузалиевич, конечно же именно с этих букв начинаются фамилии участников событий:(
Но позвольте уточнить.
РМТ> В этом случае - ревизия с
РМТ> перестановкой как минимум - ножки, а как максимум - обоих компонентов.
Как Вы понимаете, сложно сейчас решиться и даже обсуждать подобную перспективу.
Но вот в конкретной ситуации - как поступить.
Просто лежать, иммобилизировать дополнительно или активизироваться?
РМТ> Но желательно бы знать ход операции.
Это невозможно:(
Спасибо огромное.
Во вложении - рентгенограммы после вывиха и после вправления.
С уважением Александр Артемьев
|
[
Ответить ]
|
Re: вывих головки эндопротеза
Отправитель: Рашид М. Тихилов 10 Июль 2004, 09:35
|
a> Но вот в конкретной ситуации - как поступить.
a> Просто лежать, иммобилизаровать дополнительно или активизироваться?
Конечно, чудеса бывают, давай попробуем поиграть в эти игры, учитывая характерологические особенности нашего общего знакомого.
Идея очень простая, в случае, если удасться прожить без вывиха 2.5-3 месяца, вероятность его возникновения в будущем значительно уменьшится. Оптимальный вариант - повторная иммобилизация на срок 6 недель с нагрузкой на ногу (как бы я ни не любил гипс, но этот путь проверенный и может дать результат). Если это невозможно, то исключительно осторожная реабилитация под строгим контролем без резких движений (спать в положении на спине с отведением и подушкой под коленкой и т.д.). Ходьба сама по себе не опасна, опасен переход от положения "лежа" в положение "полусидя" и "стоя" и наоборот.
Если все же вывих(и) повторятся, то другого выхода, кроме операции нет. Но к ней нужна супер серьезная материальная подготовка о которой я говорил раньше.
С уважением, Р.Тихилов
|
[
Ответить ]
|
Re: вывих головки эндопротеза
Отправитель: Александр Г. Рыков 11 Июль 2004, 18:29
|
Уважаемые коллеги! Имел опыт в двух случаях при ранней неустойчивости - вывихе после первичного протезирования и после ревизии - фиксации аппаратом таз-бедро в банальной компоновке. Ранняя активизация больных. Фиксация 5-6 недель. В последующем вывихи прекратились. Важно при вправлении вывиха, провести обследование под наркозом. Четко выявляются многие слабее места и почти всегда понятно, что ждать в перспективе. Если вывих повторится - ревизия по четкому плану (четкие длинные и полные снимки, информация о ходе предыдущего, или предыдущих, вмешательствах) с хорошей материальной базой (имею в виду вариантов имплантатов).
С уважением. А Рыков. Хабаровск.
|
[
Ответить ]
|
|
Re: вывих головки эндопротеза
Nikolaj Wolfson 13 Июль 2004, 12:15
|
Privet Alexander:
My comments:
1. AP X ray of the Pelvis is a must. It will likely show that right hip/ femur is longer than left. Even based on Rt Hip AP X Ray it is my impression.
2. 2. Acetabular component is not vertical but rather anteverted, and also small ( small size was likely used because of the deficient posterior wall of the acetabulum).
3. Femoral component is malaligned relatively to the acetabular and combination of this factors (head is also small for this patient) is the reason for dislocation.( was likely anterior)
My suggestions:
1. Revise acetabular component: appropriate version, larger cap (this will give also more poly thickness for 50 year old patient, unless you have ceramic cap and head). (Have structural allograft available for the posterior wall deficiency).
2. You may have to revise femoral component, or at list use a head, which will allow you to bring the leg to the appropriate length.
3. Use larger head (32-36), this will provide additional stability. If you find intraoperativly , after replacing acetabular side with a larger size, that the leg is lengthened, this will force you to revise the femoral component anyway.
4. Good luck and let us know how did it go.
Nikolaj Wolfson
|
[
Ответить ]
|
Re: вывих головки эндопротеза
Отправитель: Alexander Artemiev 13 Июль 2004, 22:08
|
Hello Nikolaj
I'm very glad to receive your mail.
Month ago I visited Istanbul (ASAMI) and met all our friends.
Remember our meeting in Rome...
Thank you very much for your comments.
But my possibilities to help my friend are limited.
All I can do is to send yor (and others) advices to him.
He is military doctor (othopedist) and had been operated by his chief(мудак законченный).
удачи
ААА
|
[
Ответить ]
|
Re: вывих головки эндопротеза
Отправитель: Nikolaj Wolfson 18 Июль 2004, 08:08
|
Privet snova:
I am glad to hear frm you. Please write when you have time.
I have moved to US: West Virginia.
I am working both in University ( West Virginia University in Morgantown, Associate Professor ), and private practice in Fairmont. My work is :
1. Joint replacements ( hips and knees;
2. Trauma
3. Ilizarov
Budu ochen rad sotrudnichat' i vstrecat'sia.
Kolia
|
[
Ответить ]
|
|
Re: вывих головки эндопротеза
Alexander Artemiev 14 Июль 2004, 18:16
|
Дорогие коллеги.
Я благодарю всех, кто откликнулся, за те советы и рекомендации, которые получил и которые, возможно, будут полезны пациенту.
По определении исхода я расскажу о результатах.
Удачи всем.
С уважением Александр Артемьев
|
[
Ответить ]
|
Re: вывих головки эндопротеза
Н.С. 22 Июль 2004, 00:52
|
Сан Саныч, не вводи народ в заблуждение, точная дата операции 25.05.2004 г.
|
[
Ответить ]
|
( Ответить )
|
|