AOTRAUMA.ORG Центр Илизарова  

Ортопедия и травматология Общие вопросы/General questions Help Информационные технологии в медицине
 вверх
 отправить
 поиск
 админ
 главная


Вывих чашки
Ортопедия и травматология Отправлено Anton Vladzimirskyy 21 Сентябрь 2004, 14:06
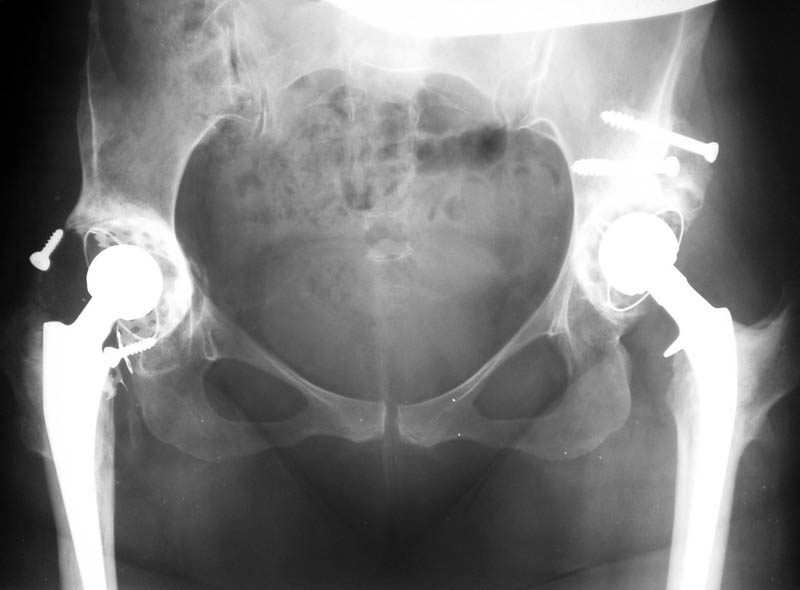
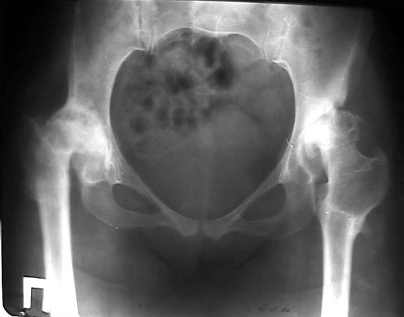
Мужчина, 38 лет. Двусторонний диспластический коксартрз, кифосколиоз.Правый сустав прооперирован 12.12.00, левый - в апреле 2003 г. Справа вывихнулась <чашка>.
Предполагается заменить <чашку>, наростив крышу <тутопластом>? Возможно ли использовать бесцементную <чашку>? Мнения? Заранее благодарю! С уважением,А.В.Владзимирский

<  |  >

 

  • Сообщения о Ортопедия и травматология
  • Также Anton Vladzimirskyy
  • Связаться с автором
  • Ответить

    Re: Вывих чашки
    Елена В.Рейно 22 Сентябрь 2004, 22:44
    Уважаемый Anton!
    Случай действительно не из лёгких, если принимать во внимание и тяжесть ортопедической патологии, и относительно молодой возраст пациента.
    На мой взгляд, оптимальным вариантом может быть использование антипротрузионой сетки и цементной чашки. Пластика крыши с учётом величины дефекта - любым материалом на Ваше усмотрение (ауто-, алло-)
    Использовать бесцементную чашку я бы не рискнула.
    С уважением, Рейно Е.В.
    [ Ответить ]


    ( Ответить )

    Powered by Zope  Squishdot Powered MedLink
    Посетитель: 0187056
      "По форме правильно, а по существу - издевательство" В.И.Ленин
    ©2001-2019Orthoforum Coordinator.
    [ Главная | Отправить сообщение | Поиск | Админ ]