AOTRAUMA.ORG Центр Илизарова  

Ортопедия и травматология Общие вопросы/General questions Help Информационные технологии в медицине
 вверх
 отправить
 поиск
 админ
 главная


Деформация бедра
Ортопедия и травматология Отправлено Leonid Pollyak 13 Ноябрь 2004, 11:29
Уважаемые Коллеги, хотелось бы получить совет по лечению больной.
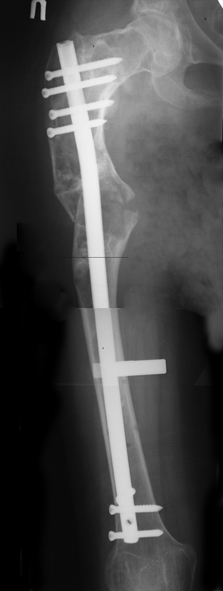
Женщина 28 лет, Больна с 12 летнего возраста, Когда после адекватной травмы получила перелом бедра. На рентгенограммах выявлено какое-то (рентгенограмм и документов нет) изменение бедренной кости, была оперирована, имеется гистологическое заключение - фиброзная дисплазия.дСформировалась деформация бедра. На сегодня - Укорочение 7см. Грубая деформация бедра по типу "пастушьей палки", последний патологический перелом в январе 2004г., консолидировавшийся при консервативном лечении. Имеются грубые изменения и в надвертлужном массиве.-- С уважением, Leonid

<  |  >

 

  • Сообщения о Ортопедия и травматология
  • Также Leonid Pollyak
  • Связаться с автором
  • Ответить

    Re: Деформация бедра
    Alexander Chelnokov 13 Ноябрь 2004, 12:01










    Возможна аппаратная коррекция оси с формированием клиновидного регенерата, которая решила бы и проблему укорочения (что, впрочем, нужно уточнить по схеме, сделанной по рентгенограмме с хорошим захватом смежных суставов - схемка по присланному снимку в приложении). По окончании коррекции - блокируемый стержень, который и сократит время пребывания в аппарате, и вообще возврата к нормальной жизни, а также будет мерой профилактики патологических переломов.
    А может быть, если при планировании выяснится, что "открытый клин" решает все проблемы, и есть достаточное приведение в тазобедренном суставе, пойти на одномоментную операцию - чрескожная поперечная остеотомия на вершине деформации и закрытый интрамедуллярный остеосинтез.
    [ Ответить ]

    Re: Деформация бедра
    Виктор П. Волошин 14 Ноябрь 2004, 22:50
    Уважаемый Леонид Наумович, сустав все равно беспокоить будет. По экономичному плану предложил бы онкологический ЭП с костной пластикой надацетабулярного дефекта (или введением биоортопедического р-ра). С длиной как получится, за полное восстановление не стал бы биться. Но может вы начнете в России имплантировать удлиняющиеся ножки, пока мы об этом только слышали.
    ВВП, МОНИКИ.
    [ Ответить ]

    • Re: Деформация бедра
      Отправитель: Leonid Pollyak 15 Ноябрь 2004, 15:41
      Большое спасибо за ответ, если можно, поподробнее о биоортопедических растворах.

      --
      С уважением,
      Leonid

      [ Ответить ]
      • Re: Деформация бедра
        Отправитель: Виктор П. Волошин 17 Ноябрь 2004, 01:49
        Имел в виду инъекционные формы сульфата кальция, например MIIG 115, для замещения полостных дефектов губчатой кости. После застывания становится плотным, а затем рассасывается якобы полностью замещаясь костью.
        "Аппаратное" решение мне не импонирует, т.к. кость ущербная - даже если ось подправить идеальной она не получится, не травматический так усталостный перелом. У нас одна дама с фиброзной дисплазией последние 6 лет ходит с погружными фиксаторами на обеих бедренных костях от вертела до коленных суставов. И оба т/б сустава болят. Но уже не до них. Правда ломаться бедра стали через много лет (да и была она моложе)после аппаратной коррекции, но зато повторно и поочередно с обеих сторон :-(. С возрастом аппарат б-ная перестала "любить", провели накостный остеосинтез. Я пластины убрал после первого сращения, но уже через 2 года все повторилось и на этот раз пришлось с одной стороны дважды синтезировать из-за нестабильности фиксатора, а с другой из-за перелома дистальнее пластины. Теперь не удаляем.
        Как вариант - штифтование, но то же не удалять. Если повезет и восстановление опорности конечности не приведет к болям в суставе, можно верить в деда Мороза (хотя в Вашем мастерстве сомнений нет).
        С уважением,
        ВВП, МОНИКИ

        [ Ответить ]
    Re: Деформация бедра
    Dr. Castro 15 Ноябрь 2004, 05:11
    Na zglad', niobhodimo delat' skagrammu niznih konechnostei s zahvatom niznih odelov pozvonochnika, taza, i vseh sustavov ninih konechnoste,
    Za tem, odnomomentno sdelat':
    Exterpasio polosty nadacetalumom, i zopolnit' ee kostnim sementom:
    Korreksija deformasii bedra Hibridnim apparatom, s odnovremennim udleneniem bedra
    Sposibo,
    Dr. Castro
    [ Ответить ]

    Re: Деформация бедра
    Alexander Chelnokov 15 Ноябрь 2004, 17:55
    А какие есть болезненные проявления со стороны тазобедренного сустава?
    По имеющемуся снимку и по первоначальной информации - ничего плохого про сустав не было, почему думать сейчас о протезе? Касательно бедра - можно подумать и про "отколенное" введение интрамедуллярного гвоздя,
    возможно, не с одной остеотомией, а с двумя, если будет тенденция к перфорации стенки канала из-за кривизны.
    [ Ответить ]

    • Re: Деформация бедра
      Отправитель: Leonid Pollyak 16 Ноябрь 2004, 20:14
      Собственно сустав не беспокоит, объем движений полный. По скиаграммам получается, что достаточно одной остеотомии на вершине деформации, чтобы восстановить длину и вывести коленный сустав в нужное положение.
      Т.к. укорочение 7 см, то начинать будем с соеотомии и коррекции аппаратом. Спасибо

      [ Ответить ]
    Re: Деформация бедра
    крылов андрей 20 Ноябрь 2004, 00:55
    Подобная дефомация может быть исправлена только при помощи КДО аппаратов с клиновивной резекцией бедренной кости + исправление ротационного компонента.
    Т\б сустав явно патологичен. Но лечение патологии т\б сутава можно оставить на будущее.
    первостепенно- исправление оси. Ото главное в травме.
    Интересно узнасть мнение господина Соломина

    [ Ответить ]

    • Re: Деформация бедра
      Отправитель: Alexander Chelnokov 20 Ноябрь 2004, 11:41
      ка> аппаратов с клиновивной резекцией бедренной кости

      Почему минус-клин, а не плюс? Ведь укорочение устранять надо.

      ка> + исправление ротационного компонента.

      А откуда уверенность, что он есть? И куда ротация и насколько?

      ка> Интересно узнасть мнение господина Соломина

      Может, и коллеги из Кургана выскажутся?

      [ Ответить ]
    Re: Деформация бедра
    Mike Shnider 20 Ноябрь 2004, 23:47
    Привет! Давно не писал.В данном случае нельзя забывать, что речь идет о фиброзной дисплазии - и потому требуется locking nail- да и на Кюнчера тоже посадить можно и оставить на века - а количество остеотомий зависит от проведения гвоздя.
    [ Ответить ]

    Re: Деформация бедра
    J. Odessky MD. 22 Ноябрь 2004, 01:30






















    Здравствуйте, Уважаемые коллеги!

    На мой взгляд, для того, чтобы правильно исправить данную деформацию, необходимо обследование больного, которое должно включить в себя, помимо осмотра: 1. Рентгенограммы ( передне-задние и боковые)нижних конечностей на всю длину стоя . 2. Компьютерная томография для измерения длины нижних конечностей. 3. Комьютерная томография тазобедоенных, коленных и голеностопных суставов для измерения углов антеверсии тазобедренных суставов и ротации голеней. Это тот минимум, который должен входить в предоперационное обследование каждого больного с тяжёлыми формами деформаций конечностей.
    Поскольку в данном случае имеется дело с довольно большой деформацией с укорочением, одномоментная её устранение с внутренней фиксацией, чревато с одной стороны неправильной коррекцией, с другой, нейроваскулярными осложнениями.
    Моё мнение, что двойная остеотомия бедра с аппаратом Илизарова + Гексаподный механизм, или Тэйлора, В данной ситуации является методом выбора. Я очень извеняюсь за качество прилагаемых снимков, в которых я постарался отразить разницу междe одной и двумя остеотомиями бедра.
    С уважением!
    Одесский. Я.



    [ Ответить ]

    • Re: Деформация бедра
      Отправитель: Alexander Chelnokov 22 Ноябрь 2004, 23:58
      jo> внутренней фиксацией, чревато с одной стороны неправильной
      jo> коррекцией,

      Если провести планирование согласно указанным Вами рекомендациям, то есть очень тщательно, эту вероятность можно свести к минимуму.

      jo> с другой, нейроваскулярными осложнениями.

      Да, при плюс-клине и это возможно.

      jo> Моё мнение, что двойная остеотомия бедра с аппаратом
      jo> Илизарова + Гексаподный механизм, или Тэйлора, В данной ситуации

      Никак в толк не возьму, чем незаменим именно Taylor Spatial Frame в сравнении с обычным аппаратом, собранным из стандартного отечественного набора многоцелевых деталей для остеосинтеза по Илизарову. Дуги/кольца, спицы/стержни, консольные приставки, шарниры
      - все это есть повсеместно, равно как есть и врачи, знающие, как правильно скомпоновать аппарат как отдельно для устранения углов и удлинения, так и одновременно, и на нескольких уровнях, и с ротацией.

      Еще было бы понятно, если бы TSF давал во столько же раз более хорошие результаты, во сколько раз он дороже решающего ту же проблему отечественного аппарата Илизарова. Но, насколько можно судить, он не обеспечивает ничего, что нельзя было бы собрать из илизаровского набора. Скорее, наборот. Плюс еще возможность управлять положением отломков не только подсистеми аппарата, но и перемещением спиц/стержней.

      Яков и коллеги, работающие в странах, где TSF получил широкое распространение - не могли бы Вы пояснить, чем обусловлено такое повальное увлечение американских, в частности, коллег этим аппаратом?

      jo> отразить разницу межде одной и двумя остеотомиями бедра.

      Скорее всего, второй уровень может оказаться нелишним лишь при переходе с аппарата на интрамедуллярный стержень. И его не поздно будет пересечь именно в момент введения гвоздя, если будет угроза перфорации стенки канала.
      Если сделать фото больного после устранения деформации, вряд ли удастся догадаться, на скольких уровнях она устранялась.

      [ Ответить ]
      • Re: Деформация бедра
        Отправитель: J. Odessky 23 Ноябрь 2004, 02:06
        Уважаемый Александр! За последние годы произошёл пересмотр нашего понимания деформаций и отношения к их коррекциям! Не все деформации можно коррегировать внутренними фиксаторами, особенно подобные дугообразные деформации... Конечно можно провести множественные остеотомии и ввести гвоздь, с точки зрения хирургического приёма - это особенного труда не представляет. К сожалению, опасность нейро-васкулярного повреждения довольно высока при одномоментном устранении деформации больше 30°. И опасность эта существует не только при открытом, но и закрытом клине. Я помню, как Г.А. Илизаров предупреждал нас не корректировать одномоментно подобного рода деформации. Я сейчас вспоминаю, как в КНИИЭКОТ была прооперирована девочка с двухсторонней деформацией голени из-за болезни Блаунта, с одномоментной коррекцией в аппарате на дугообразной остеотомии. Послеоперационный период осложнился ишемией конечности, даже после возврата деформации, несколько пальцев частично некротизировались.

        По поводу Аппарата Тэйлора или Гексаподного механизма к аппарату Илизарова... Нет такой деформации, которую нельзя устранить классическим аппаратом Илизарова, правильно выставить шарниры, во время делать перемонтажи, если надо делать деротацию и т.д. Поверьте моему 22 летнему опыту работы с аппаратом Илизарова - нет такой деформации, которую нельзя устранить с его помощью. Но, согласитесь, устранение деформации в аппарате Илизарова требует опыт, время и соответствующие знания. Один из недостатков аппарата Илизарова - невозможность одновременного и точного устранения деформаций угловых и ротационных, в силу эксцентричного положения кости в кольцевых опорах аппарата.

        Другое дело приспособления, использующие идею платформы Стюарта для исправления деформации, когда процесс может быть одновременным, не требует сложных перемонтажей, и, что самое главное, для наших Западных коллег, более простой в применении. С этой точки зрения, мне более импонирует Гексаподная приставка к аппарату Илизарова, которая меньше стоит, может применяться с имеющимися кольцами аппарата Илизарова, и сниматься по мере исправления деформации и спользоваться для другого больного.

        С Уважением!

        [ Ответить ]
    Re: Деформация бедра
    Alexander Artemiev 24 Ноябрь 2004, 20:40
    Приветствую, коллеги.
    Мне кажется, за деревьями уже скрылись очертания леса...
    Обсудили и вид остеосинтеза, и остеотомии, и состояние тазобедренного сустава. Лишь вскользь коснулись проблемы замещения костной полости.
    Но складывается впечатление, что в данном случае фиброзной дисплазии основная проблема - именно состояние кости.
    Вряд ли имеется возможность обойтись без КОСТНОЙ ПЛАСТИКИ в сочетании со стабильным (погружным) остеосинтезом.
    На какую величину при этом уменьшиться неравенство длины ног - совсем не имеет значения. Скорее всего - сантиметров на 5, что уже будет достаточно.
    После вскрытия кости собсвтенно остеотомия будет носить также формальный характер - кость скорее всего можно будет сломать руками.

    Удачи.
    Александр Артемьев
    [ Ответить ]

    Re: Деформация бедра
    Djoldas Kuldjanov, M.D. 26 Ноябрь 2004, 18:12

























    Коллеги,

    Желаю предложить методику, с экономической точки зрения дешевую, технически вполне выполнимую, которая удовлетворяет больного и врача.

    Аргументы против аппаратного лечения: У больной остеопоротическая кость, спицы прорежутся или надо применить стержни с гидроксиапатитным покрытием, они 6 мм в диаметре, и сростаясь с костью, выдержат долгое нахождение аппарата.
    К таким стержням доступа ни у больной, ни у врача нет, если есть, то стоимость не удовлетворит никого.
    Можно применить гвоздь с множественными косыми остеотомиями, но я посчитал, при применении 4.5 мм длинной пластины или L-образную пластину с короткой ножкой в шейку, шанс на удержание отломков более вероятная, чем гвоздем.

    Двойную остеотомию при лечении можно делать так: латеральным субвастус доступом (с приподниманием вастус латералис) обнажается латеральная поверхность бедра, заранее сделанным преоперационнным планом определяется место остеотомии, периостиум обнажается только по этому
    плану, т.е. по линии остеотомии. Перед остеотомией накладывается дистракционный аппарат, делается остеотомия и медленная дистракция, накладывается по длине пластина, дистракция и компрессия по
    необходимости, фиксируются проксимальный и дистальный концы пластины 4.5 мм шурупами, косо для стабильности, затем работа с медиальным
    фрагментом.

    Необходимо создание медиальной компрессии, которая создастся с помощью коротких шурупов против латерального кортекса. Чтобы эти шурупы не выпали из дырок на пластине, надо применить резьбовую шайбу Schulle nut, который имеет резьбу точно подходящую к резьбе шурупа, и ставится с внутренной стороны пластины, те конструкцию locking plate.

    В результате боьная получит стабильную фиксацию, а доктор получит “ортопедический оргазм”.

    Если нужна помощь пишите, могу подсобить с имплантом.

    Спасибо, надо успеть к приготовленному к дню благодарения индючному блюдо, а то остывает, все таки у нас праздник, работу продолжим 29 ноября.

    С уважением Джолдас

    [ Ответить ]

    • Re: Деформация бедра
      Отправитель: Alexander Chelnokov 26 Ноябрь 2004, 23:45
      Вариант интересный и даже красивый, но...
      Практически все то же самое достигается с интрамедуллярным гвоздем, только остеотомия или две через проколы вместо длинного разреза. В гвоздь желательно ввести винты во все доступные отверстия, а может, еще и несколько винтов мимо гвоздя для "искусственного сужения костно-мозгового канала". При наличии гвоздя диаметром мм 12-13 от метафиза до метафиза - это будет страховка от рефрактур и потологических переломов. По сути, эндопротез.

      k> выпали из дырок на пластине, надо применить резьбовую шайбу Schulle
      k> nut, который имеет резьбу точно подходящую к резьбе шурупа, и ставится

      Вряд ли эта шайба есть в сколько-нибудь заметной части отечественных отделений. Хотя, похоже, сделать их в условиях любой мастерской - не
      проблема.

      [ Ответить ]
    Re: Деформация бедра
    Leonid Pollyak 27 Ноябрь 2004, 11:17
    Уважаемые коллеги! Большое спасибо за живой отклик и предложения по тактике лечения. Больной произведен первый этап - стержневой аппарат издвух баз, кортикотомия, остеоклазия и начата коррекция в аппарате. Почти исправлен угол, не сегодня укорочение 2см. Когда завершим коррекция, представлю рентгенограммы.

    --
    С уважением,
    Leonid
    [ Ответить ]

    Re: Деформация бедра
    Leonid Pollyak 02 Январь 2005, 22:42
    Уважаемые коллеги! С Новым годом и самых светлых пожеланий!
    В ноябре этого года я обращался с просьбой о помощи в выборе тактики лечения больной с деформацией бедра на почве фиброзной дисплазии. Были получены интересные и очень полезные советы по операции.
    Хотелось бы показать, что получилось в результате.
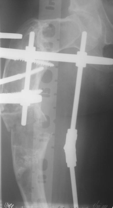
    Операция выполнялась с помощью А.Н.Челнокова. Очень понравилась технология выполнения блокируемого остеосинтеза с использованием спицевого дистрактора, модифицированный гвоздь с латерализованным проксимальным отделом и возможностью многовинтовой фиксации проксимального и дистального участков бедра.


























    --
    С уважением,
    Leonid





    [ Ответить ]

    Re: Деформация бедра
    Шахсувар Асадов 18 Ноябрь 2009, 16:04
    Здравствуйте дорогие доктора!
    Беспокою вас на счет деформации правой бедренной кости после патологических переломов.
    Мне 15 лет. Случилось все когда мне было 10 лет 26.12.04 я был дзю-доистом и в одном из соревнований сломалась правая бедренная кость. перелом был внутренний со смещением. Взяли и сделали операцию, поставили пластинку и тем самым заложили инфекцию. Потом кость начала гнить и сняв пластинку, через три месяца поставили аппарат Илизарова. Он отлежал месяцев шесть с мая по сентябрь. и когда снимали кость снова отошла. то есть сломалась. по правую сторону бедра были дырки из которых шел гной и которые закрылись уже в 2006 году. далее поправив поставили в гипс который остался больше шести месяцев. прошли месяцы и все вроде было в порядке. потом опять сломалась изза простейшей причины в августе 2006 года. опять поставили в гипс. прошло время и снова когда спускался с бордюра сломалась в четвертый на данный момент последний раз 23 мая 2008 года. с тех пор кроме патологических разломов кости тревожила еще одна проблема. та самая деформация. только со временем она становиться еще сильней.
    Прошу вас помочь в ситуации. живу в Баку, Азербайджане. Здешние врачи говорят что можно исправить ТОЛЬКО Илизаровским аппаратом. что меня сильно беспокоит так как он уже у меня был.

    Кликните для загрузки файла rentgen.jpg
    1818KB (1862318 bytes)

    [ Ответить ]


    ( Ответить )

    Powered by Zope  Squishdot Powered MedLink
    Посетитель: 0008987
      "По форме правильно, а по существу - издевательство" В.И.Ленин
    ©2001-2019Orthoforum Coordinator.
    [ Главная | Отправить сообщение | Поиск | Админ ]