AOTRAUMA.ORG Центр Илизарова  

Ортопедия и травматология Общие вопросы/General questions Help Информационные технологии в медицине
 вверх
 отправить
 поиск
 админ
 главная


Hip joint
Ортопедия и травматология Отправлено Djoldas Kuldjanov, M.D. 16 Ноябрь 2004, 22:54
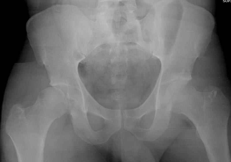
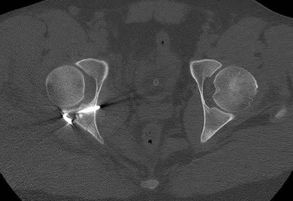
Выставлена на обсуждение (только одна проекция) рентгенограмма больного 25 лет, поступившего в приемное отделение, молодой дежурный врач сомневается в тактике лечения и спрашивает совета.
С его слов, больной стабилен,травму получил в результате автоаварии.Подскажите, что делать?Джолдас Кульджанов

<  |  >

 

  • Сообщения о Ортопедия и травматология
  • Также Djoldas Kuldjanov, M.D.
  • Связаться с автором
  • Ответить

    Re: Hip joint
    Виктор П. Волошин 17 Ноябрь 2004, 01:55
    Нужно ли вправлять? В чем сомнения?
    ВВП, МОНИКИ
    [ Ответить ]

    Re: Hip joint
    А.В.Владзимирский 17 Ноябрь 2004, 13:22
    Закрытое вправление, наложение скелетного вытяжения.
    Дообследование (исходя из доступных средств визуализации).
    В плановом порядке оперативное лечение

    [ Ответить ]

    Re: Hip joint
    Evgueny Tchekashkine 17 Ноябрь 2004, 17:19
    Джолдас,

    Кроме вывиха виден перелом задней стенки, насчет задней колонны не уверен (видна линия перелома дистальнее ацет. крыши - подвздошная проекция или СТ помогли бы прояснить ситуацию). Поэтому с такой ситуации только закрытое вправление без рефиксации фрагмента задней стенки может привести к рецидиву вывиха (с чем имел неприятность столкнуться не так давно).

    Всего Доброго,
    Евгений И Чекашкин
    [ Ответить ]

    Re: Hip joint
    Alexander Chelnokov 17 Ноябрь 2004, 17:21
    Вопрос, не иначе, с каким-то подвохом...
    На первый взгляд, бедро надо вправить, наложить вытяжение, и дообследовать - Judet views, CT вертлужной впадины, чтобы оценить дефект задней стенки. Вероятно, придется делать остеосинтез заднего края.
    [ Ответить ]

    Re: Hip joint
    Djoldas Kuldjanov 18 Ноябрь 2004, 00:16












































    Со всеми рекомендациями согласен, и по этой схеме хотели продолжить наше обследование, но учитывая то, что вывих не смогли вправить, решение приняли - ургентно оперерировать.

    Утро:
    5:10 Поступил больной в приемное отделение, врачами приемного назначается рентгенограмма.

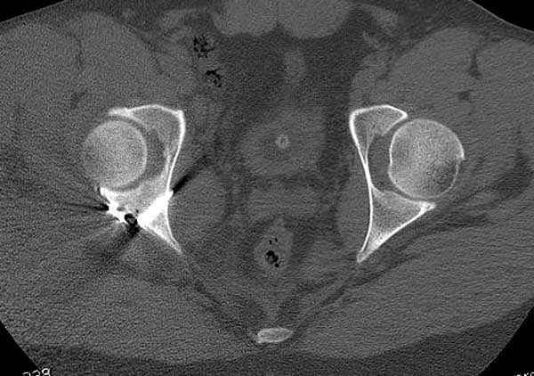
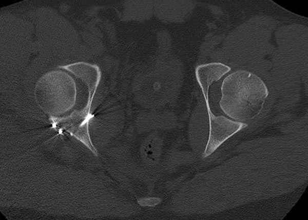
    5:24 Рентгенограмма таза, вызывают врача ортопеда (снимок N1), его диагноз: закрытый переломо-вывих правого тазабедренного сустава, получает добро на закрытую репозицию в приемном отделении

    5:38 Дважды неудачная попытка закрытой репозиции в приемном отделении
    N 2

    6:20 ответстенный врач принимает решение о репозиции в условиях операционной, предупреждаются родственники и больной, что при неудачной закрытой репозиции, о возможности открытой репозиции и фиксации задней стенки вертлужной впадины.

    7:30 начало операции, больной на спине, попытка репозиции после анестезии N3, укладка больного на боку, доступ Kocher- Langenbeck, состояние седалищнего нерва около 2.5см кровоподтек, через joistick головка бедра приподнята, освобовождение сустава, фрагмент заднего края более 3х4 см репонирован на свое место. После промывания
    сустава, репозиция вывиха (N4), фиксация фрагмента 2.7(4) мм шурупами и допольнительно реконструктивной пластиной на 8 дырок, фиксация 3.5мм шурупами проксимально и дистально.
    Интраоперционные N5 косая запирательная и N6 подвздошный снимок

    11:50 больной в послеоперационной, рентгенограмма N7, компьютерная томограмма в тот же день N8-10

    Через 48 часов первая перевязка, пареза седалищного нерва нет, удаление дренажных трубок Начало физиотерапии, движение в суставе до 30 градусов сгибания и до полного разгибания, вставание на костыли без нагрузки, назначение Indocin по 25 мг три раза в день для профилактики гетеротопической оссификации.

    Третий день Послеоперационная рана сухая, назначена профилактическая доза (тромбоз) Lovenox 30 mg. Перед выпиской доплер сосудов нижных конечностей. Выписан, продолжение физиотерапии и явка на осмотр через две недели.

    Джолдас Кульджанов
    [ Ответить ]

    • Re: Hip joint
      Отправитель: Alexander Chelnokov 18 Ноябрь 2004, 00:50
      k> Со всеми рекомендациями согласен, и по этой схеме хотели продолжить
      k> наше обследование, но учитывая то, что вывих не смогли вправить,
      k> решение приняли - ургентно оперерировать.

      Замечательный, можно сказать, образцово-показательный случай. Все сделано настолько правильно и своевременно, что аж дух захватывает, и радуешься за коллег. "Я вам не скажу за всю Одессу", но в нашем уральском регионе ни в одной больнице так лихо подобный случай не был бы "прокручен". В нашей клинике было бы в конце концов сделано что-то подобное, но спустя энное время, необходимое для решения организационных проблем с переводом больного плюс оперировали бы не раньше 2-3 дня с момента поступления...

      k> Третий день Послеоперационная рана сухая, назначена профилактическая
      k> доза (тромбоз) Lovenox 30 mg.

      У нас он, видимо, известен как клексан. На сколько назначаете после травм таза, бедра? Какие еще методы профилактики тромбозов широко используются на практике в Ваших условиях?

      k> Перед выпиской доплер сосудов нижных конечностей. Выписан,
      k> продолжение физиотерапии

      Что подразумевается под "физиотерапией"? Уж наверно, не токи Бернара и электрофорез? Как, кстати, вообще в US с физиотерапией в советском
      понимании - все эти бесконечные электроаппараты, терапевтические лазеры, грязи и массаж?

      k> и явка на осмотр через две недели.

      А эти две недели пациент будет дома?

      [ Ответить ]
      • Re: Hip joint
        Отправитель: Djoldas Kuldjanov, M.D. 19 Ноябрь 2004, 23:58

        Спасибо за комментарии и одобрительные слова, увы, не всегда так гладко, как в этом случаи.

        Продолжая эту тему - как бы наши другие коллеги поступили бы примерно при этом сценарии, какой доступ считается более адекватным, если больной поступает, например, ночью, и какой послеоперационный режим?

        k> Третий день Послеоперационная рана сухая, назначена
        k> профилактическая доза (тромбоз) Lovenox 30 mg.

        AC> У нас он, видимо, известен как клексан. На сколько назначаете
        AC> после травм таза, бедра? Какие еще методы профилактики тромбозов
        AC> широко используются на практике в Ваших условиях?

        Профилактике тромвоза уделяем очень серьезное внимание в лечении травматических больных, особенно с политравмой - множественными переломами конечностей в сочетании с травмой живота, грудной клетки и больных "вскормленных продуктами МасДональдс" с повышенным весом, из-за их неподвижности.
        Работаем вместе с хирургами-травматологами (в штатах все травмированные больные поступают, как больные хирургической службы, ортопед выступает в качестве консультанта), т.е. мы даем рекомендации о проведении профилактики тромбоза, совместно решаем о проведении фильтра - вена кава фильтр (см. приложение).









        Если вена кава фильтр, хирурги проводят эту процедуру, а медикаментозную профилактику назначаем сами.
        Из лекарств: Lovenox, Heparin, Arixtra, Fragmin, каждый на свое усмотрение, почему-то общие хирурги предпочитают гепарин, хотя за последнее 6-7 лет кому не лень проводили исследования профилактики тромбоза, но к консенсусу не пришли, ортопеды-травматологи - Lovenox, Hip and knee reconstructive Surgeons - Arixtra, персонально считаю - кто с чем работает, тем и пользуются.

        Продолжения антикоагулянта до условной активности больного, если больной самостоятельно передвигается с помощью костылей, считаю, можно решить о прекращении профилактики.

        k> Перед выпиской доплер сосудов нижных конечностей.

        Больные с ацетабулярными и тазовыми переломами, идущие на операцию, по протоколу исследуется до операции на состояния сосудистой системы доgплером, который повторяется после операции перед выпиской (были множество случаев позднего развития ДВТ в после операционном периоде)


        AC> Что подразумевается под "физиотерапией"? Уж наверно, не токи
        AC> Бернара и электрофорез? Как, кстати, вообще в US с физиотерапией в
        AC> советском понимании - все эти бесконечные электроаппараты,
        AC> терапевтические лазеры, грязи и массаж?

        Нет конечно, под physical therapy (PT) мы понимаем реабилитацию - терапию на разработку, доведения больного до предтравматической кондиции с помощью различных методов восстановления:
        -например, механическими средствами: CPM – Continuous Passive Motion machine, т.е. каждый больной имеет со второго дня получают механическую машину для разработки конечности, у которой регулируется доза и амплитуда.

        -с помощью подключенных в реабилитационный процесс больничных физикал терапистов, кстати, утренний обход они делают с нами и получают назначения, что делать на сегодня. Они решают, насколько безопасно без риска можно выписать больного домой, т.е. оценивают амбулаторный статус, ставят они на костыли или walker.

        По их параметру - больной передвигается безопасно с костылями, тогда больной выписывается домой, если нет - больной отправляется в реабилитационные больницы, где доводятся до кондиции в течение нескольких дней.

        Еще зависит от социального фактора, одинокий или нет, сколько ступеней в доме, на эти вопросы в ответе службы социального сервиса в каждой больнице, которым решать судьбу больного.
        Врачу нет необходимости ломать голову, куда отправить "бомжа”, и я помню трудности в старые союзные времена, выписать бомжей и одиноких пожилых больных после перелома шейки бедра, кстати, здесь они идут в приют, где даже делают перевязки.


        Имеем физиотерапию, как прывыклы в союзе, но в таком зачаточном состоянии, мало кто понимает вообще физиотерапию, все больные опять же получают двигательные упражнения, как в фитнес клубах.


        Джолдас Кульджанов


        [ Ответить ]
    Re: Hip joint
    крылов андрей 20 Ноябрь 2004, 00:41
    Привет Джолдас.
    Нас Всех учили одинаково.
    Если вывих после двухкратной попытки вправления не вправлен, рекомендовано открытое вправление. Дальнейшая тактика лечения - в зависимости от состояния вертлужной впадины.
    Привет молодым врачам.


    [ Ответить ]

    • Re: Hip joint
      Отправитель: Alexander Artemiev 21 Ноябрь 2004, 10:36
      ка> Нас всех учили одинаково.

      Думаю, что всех нас учили по-разному.
      Это касается и клиновидных резекций.

      ка> Если вывих после двухкратной попытки вправления не вправлен,
      ка> рекомендовано открытое вправление.

      Почему именно два раза?


      ка> Привет молодым врачам.
      И молодым тоже
      С уважением
      Александр Артемьев

      [ Ответить ]
      • Re: Hip joint
        Отправитель: Alexander Chelnokov 21 Ноябрь 2004, 22:16
        a> Думаю, что всех нас учили по-разному.
        a> Это касается и клиновидных резекций.

        Нельзя ли более развернуто?

        ка>> Если вывих после двухкратной попытки вправления не вправлен,
        ка>> рекомендовано открытое вправление.
        a> Почему именно два раза?

        Наверно, традиционное число попыток, но тут была другая ситуация - головку во впадину затолкнуть может получиться и с первой попытки, но если вместе с ней туда попали фрагменты, которых там быть не должно, все равно надо оперировать.

        [ Ответить ]
        • Re: Hip joint
          Отправитель: Alexander Artemiev 21 Ноябрь 2004, 22:17
          AC> Нельзя ли более развернуто?

          Можно развернуть любую тему и выяснится, что мнения будут противоположными.
          Кто-то целенаправленно делает ваготомию по поводу язвенной болезни, а кто-то потом под микроскопом сшивает этот вагус - и всё это в одном городе.
          Меня смутила некоторая категоричность в отношении неоднозначной ситуации.
          Прочему именно два раза, а не один или три?
          А тему непонятной для меня живучести клиновидных остеотомий, за которую высказался Андрей Крылов (правда, по другому случаю), стоит обсудить отдельно.

          [ Ответить ]
          • Re: Hip joint
            Отправитель: Alexander Chelnokov 21 Ноябрь 2004, 23:14
            Действительно, какой вопрос ни возьми, можно писать статью "Противоречия в [подставь что угодно]".

            a> Прочему именно два раза, а не один или три?

            Вряд ли этому есть какое-то рациональное обоснование. Даже этот один раз может быть по трудоемкости и травматичности такой, что пациента
            можно на тот свет отправить.

            a> А тему непонятной для меня живучести клиновидных остеотомий, за
            a> которую высказался Андрей Крылов (правда, по другому случаю), стоит
            a> обсудить отдельно.

            Какая у тебя точка зрения на клиновидные остеотомии?

            [ Ответить ]
            • Re: Hip joint
              Отправитель: Alexander Artemiev 21 Ноябрь 2004, 23:50
              Точка зрения - резко отрицательная.
              Начну немного издалека...
              Остеотомии я осваивал в Кургане.
              Ни разу мне не дали, естественно, сделать (там это не принято), но много раз показали.
              Причем речь идет о том, что называется кортикотомией, хотя тоже вопрос
              спорный...
              Во всяком случае кость (бедренная или какая другая) пересекается
              долотом шириной 5 мм. Очень элегантно и красиво.
              Потом я был в ЦИТО.
              И везде говорили - остеотомия по Репке.
              У одного доктора (не буду называть фамилий) я спросил - а что это
              такое.
              На что получил ответ типа: "Милый юноша. Врач, который не знает, что
              такое остеотомия по Репке не может считать себя ортопедом..."
              Ну, думаю, ёлы-палы...
              Прочитал всё, что нашел. А нашел немало.
              Резюме таково:
              Все фигурные остеотомии были предложены до Илизарова.
              Он тоже с них начинал. В итоге отказался от них в пользу
              поперечных.
              Представьте себе, во что обходится вырубание клина:
              большой разрез, кровопотеря, выпиливание с какими-то мнимыми
              расчетами каких-то углов. Сколько знаю, всё это выливается в так
              называемые технические трудности. В итоге - укорочение, рубцы, в
              проксимальном отделе б/б кости - повреждение малоберцового нерва,
              неадекватная коррекция и пр.

              Куда проще сделать из прокола поперечную кортикотомию и аппаратом
              вывести нужный угол, который потом успешно заполнится регенератом.
              Наиболее простая схема - угол до 25 град можно вывести
              одномоментно, более 25 - постепенно.
              Это в двух словах.
              Но должен сказать, что клиновидная остеотомия неубиваема.
              Никакая логика не позволяет убедить врачей, которых однажды
              научили рубить клин, что есть что-то более простое и эффективное.

              Кстати, недавно в одном из последних учебников по оперативной
              хирургии, переживающем очередное переиздание увидел самую
              прикольную из всех виденных мною картинок - остеотомия бедра
              по Богоразу - косточка, нарезанная колбаской. Кто назовет мне
              человека, который хотя бы раз в жизни видел это в натуре?
              А про дистракционный остеосинтез - ...
              А это последнее издание учебника для студентов.
              К слову о том, что всех нас учили одинаково.


              Удачи.
              Александр Артемьев

              [ Ответить ]
              • Re: Hip joint
                Отправитель: Andrey Kapustin 21 Ноябрь 2004, 23:53
                Полностью с Вами согласен, хотя никогда в жизни мне не приходилось делать клиновидную остеотомию. Но как-то и надобности не возникало. Всегда хватало и поперечной. А без иллюстрации остеотомии бедра по Богоразу учебник был бы не так красив ;)
                Андрей Капустин.

                [ Ответить ]
                • Re: Hip joint
                  Отправитель: Evgueny Tchekashkine 23 Ноябрь 2004, 02:26
                  Дорогой товарищ по ремеслу,

                  как жы Вы можете быть согласны со мнением АА Артемьева, если сами никогда не делали клиновидных остеотомий?
                  Для меня фигурные остеотомии очень увлекательны - воплощение своих расчетов коррекции оси в практический результат - конечно, дожна быть соответствующая техническая база по крайней мере полноценные рентгенограммы, ЭОП, пневмо или электропилы с острыми полотнами нужной ширины и длины, направляющие спицы и т.д. Если все спланировано и обеспечено - так называемые технические трудности исчезают.

                  Евгений И Чекашкин

                  [ Ответить ]
                • Re: Hip joint
                  Отправитель: Alexander Chelnokov 23 Ноябрь 2004, 02:31









                  Если, например, доводится лечить больных с псевдартрозами шейки бедра, то надобность есть, и приходится. См. приложение.

                  [ Ответить ]
                  • Re: Hip joint
                    Отправитель: Andrey Kapustin 23 Ноябрь 2004, 02:36
                    Спасибо за науку. Я уже больше 3 месяцев слежу за дискуссиями на ортофоруме и чувствую, что я не зря провожу время за компъютером, хотя иногда берет
                    тоска - о таком уровне технического оснащения и инструментария, которые вы демонстрируете, мне пока приходится только мечтать. Хотя теперь шансов что-то изменить в лучшую сторону у меня значительно больше - назначен на должность начальника нашей МСЧ.
                    С уважением,
                    Капустин Андрей
                    МСЧ-59, г.Заречный Пензенской области.

                    [ Ответить ]
                    • Re: Hip joint
                      Отправитель: Alexander Chelnokov 23 Ноябрь 2004, 20:39
                      A> и чувствую, что я не зря провожу время за компъютером,

                      У меня то же ощущение.

                      A> хотя иногда берет тоска - о таком уровне технического оснащения и
                      A> инструментария, которые вы демонстрируете, мне пока приходится

                      Это, наверно, больше относится к коллегам, работающим за пределами бывшего СССР.

                      A> Хотя теперь шансов что-то изменить в лучшую сторону у меня
                      A> значительно больше - назначен на должность начальника нашей МСЧ.

                      Мои поздравления (а также соболезнования ;-) - легкой жизни явно не будет)! Назначение предлагаю виртуально "обмыть", чокнувшись об мониторы. Будем надеяться, с таким новым начальником компьютеризация больницы скоро будет вызывать зависть коллег из других учреждений.

                      [ Ответить ]
                    • Re: Hip joint
                      Отправитель: Evgueny Tschekashkin 23 Ноябрь 2004, 21:47
                      Примите поздравления с назначением и хочу пожелать , чтобы административные хлопоты не замучали вас, оставалось время и на ортопедию.
                      Евгений И Чекашкин

                      [ Ответить ]
              • Re: Hip joint
                Отправитель: Alexander Chelnokov 23 Ноябрь 2004, 00:03
                a> Куда проще сделать из прокола поперечную кортикотомию и аппаратом
                a> вывести нужный угол, который потом успешно заполнится регенератом.

                Если речь о диафизарных деформациях с укорочением, то тут остается только согласиться (хотя аппарат далеко не всегда необходим, и внутренние фиксаторы годятся).

                a> Наиболее простая схема - угол до 25 град можно вывести
                a> одномоментно,

                Даже при меньшем вальгусе в нижней трети бедра или в верхней трети голени - вполне предсказуемо может повиснуть стопа. Вот тут аппарат как раз и незаменим за счет уникальной возможности постепенной коррекции.

                a> Но должен сказать, что клиновидная остеотомия неубиваема.

                А у нее есть своя ниша - околосуставные остеотомии, когда не надо переудлинения, когда уравнивание длины достигается за счет изменения угла.

                a> по Богоразу - косточка, нарезанная колбаской. Кто назовет мне
                a> человека, который хотя бы раз в жизни видел это в натуре?

                Есть же полилокальный дистракционный остеосинтез - видимо, он в том числе основывается и на этой методике...

                a> А про дистракционный остеосинтез - ...
                a> А это последнее издание учебника для студентов.

                Актуальность учебников по нашей специальности - это отдельный больной вопрос. Да и вообще преподавание... Да и вообще система подготовки специалистов... Да и вообще система... ;-))

                [ Ответить ]
              • Re: Hip joint
                Отправитель: Evgueny Tchekashkine 23 Ноябрь 2004, 02:12
                Уважаемые коллеги,

                Сегментарные, клиновидные поперечные и косые, шеврон остеотомии применяются достаточно часто. Александр перечислил все возможные осложнения фигурных остеотомий, кстати не упомянул об аваскулярных некрозах головок плюсневых костей после шеврон остеотомий. Но вот удивительное дело на симпозиумах и в лекциях все ссылаются на некрозы и опасность выполнения таких остеотомий я же с подачи своих старших карифеев делаю эти остеотомии на протяжении последних 8 лет и ничего подобного не встречал - может бог миловал?,
                но в целом не вижу ничего ненормального в выполнении фигурных остеотомий - одномоментная коррекция оси, полная мобильность суставов, да и разрезы 4-8 см - что тоже не преступление перед человечеством. Может быть, я бы стал сторонником поперечных остеотомий ипостепенной коррекции в аппаратах, ежели бы прошел через курганскую школу, но в силу обстоятельств столкнулся с другим подходом к коррекции деформаций, который вполне эффективен и надежен, у меня не сложилось разочарования в этой технике. Поэтому и представленный раннее случай деформации бедра я бы решил сегментарной остеотомией бедра и фиксацией запирающим гвоздем - своего рода эндопротезом проксимального бедра и для больной, мне кажется, более комфортно иметь фиксацию штифтом
                нежели в громоздком аппарате, постоянный уход за спицами и вращение гаек.
                Хотя на вкус и цвет -товарища нет , Кому что нравится, а главное результат для больного.
                Евгений И Чекашкин

                [ Ответить ]
              • Re: Hip joint
                Отправитель: Djoldas Kuldjanov 23 Ноябрь 2004, 18:11













































                Уважаемые друзья,

                a>>> Это касается и клиновидных резекций.

                AC>> Какая у тебя точка зрения на клиновидные остеотомии?

                a>Точка зрения - резко отрицательная.

                Как я понял из выступления - резковато отрицательная реакция к клиновидной остеотомии…, или мой ограниченный русский язык не дает полную картину, о чем Александр пишет. Что имелось ввиду - рекомендации только поперечной остеотомии? И я не уверен, что с этим мнением согласятся все участники форума.

                a> ”Представьте себе, во что обходится вырубание клина: большой
                a> разрез, кровопотеря, выпиливание с какими-то мнимыми расчетами
                a> каких-то углов. Сколько знаю, всё это выливается в так называемые
                a> технические трудности. В итоге - укорочение, рубцы, в проксимальном
                a> отделе б/б кости - повреждение малоберцового нерва, неадекватная
                a> коррекция и пр.”

                Как в фильме ужасов….

                Как же без предоперационного плана при реконструкционных работах, без расчета, расчет градусов, почему только аппаратом Илизарова (никто не оспаривает преимущество метода), даже метод Илизарова тоже требует расчета, и еще ведь существуют и другие методы коррекции и фиксации.

                a> Но должен сказать, что клиновидная остеотомия неубиваема.

                Согласен.

                AK> -Полностью с Вами согласен, хотя никогда в жизни мне не
                AK> приходилось делать клиновидную остеотомию. Но как-то и надобности
                AK> не возникало. Всегда хватало и поперечной. А без иллюстрации
                AK> остеотомии бедра по Богоразу учебник был бы не так красив;

                Интересная мысль.

                AP> Вы хотите этим сказать, что можно при одномоментной коррекции до
                AP> 25 град оставить диастаз. Вопрос, почему именно 25 град. Не
                AP> припоминаю, работ обосновывающик такую тактику, в т.ч. и из Кургана

                Ничего не понимаю, при чем эти магические 25 градусов, откуда взяли эти цифры? Что за работа?

                Несколько снимков из моей коллекции, чтобы разьяснить, почему мы до сих пор делаем различные варианты остеотомии.

                На рисунке N1 предоперационный план лечения ложного сустава шейки бедра- линия ложного сустава, угол и направление введения импланта, клиновидная остеотомия в градусах и миллиметрах, второй снимок после коррекции, расчет, на сколько удлиняется конечность и размеры импланта;
                N3 рисунок окончательный снимок, после операции моя рентгенограмма должен выглядеть примерно как эта картина. На N4 снимке клин перед удалением; N5 послеоперации 3 нед.; N6 окончательная рентгенограмма.
                (доложен в Ст. Петербурге 2003 и в Москве 2004)

                варус при проксимальном отделе 95 градусной пластиной.


                С уважением Джолдас
                Кулджанов



                [ Ответить ]
                • Re: Hip joint
                  Отправитель: Alexander Artemiev 24 Ноябрь 2004, 20:33
                  Уважаемые друзья,

                  AC>>> Какая у тебя точка зрения на клиновидные остеотомии?
                  a>>Точка зрения - резко отрицательная.

                  k> Как я понял из выступления - резковато отрицательная реакция к
                  k> клиновидной остеотомииЕ, или мой ограниченный русский язык не дает
                  k> полную картину, о чем Александр пишет.
                  К остеотомии.

                  Во всяком случае по отношению к обсуждаемому случаю (фиброзная дисплазия).


                  k> Как же без предоперационного плана при реконструкционных работах, без
                  k> расчета, расчет градусов,

                  Как бы это сказать - очень просто...
                  Если что-то не получилось во время операции, покрутил потом гаечки - и всё встанет на место.

                  k> почему только аппаратом Илизарова (никто не
                  k> оспаривает преимущество метода)

                  Никто не оспаривает и достоинства других методов.
                  Детский спор - кто сильнее - боксёр или каратист... In vina veritas...

                  k> , даже метод Илизарова тоже требует
                  k> расчета, и еще ведь существуют и другие методы коррекции и фиксации.

                  При использовании внешних фиксаторов (не обязательно именно Илизарова) требования к точности предоперационных расчетов минимальные. Если честно, то при определенном навыке их можно вообще не делать. Можете меня за это дружно осудить :)
                  При внетреннем остеосинтезе эти требования повышены. Потому что после операции уже ничего не исправишь. Отсюда и этот кружок рисования...

                  AP>> Вы хотите этим сказать, что можно при одномоментной коррекции до
                  AP>> 25 град оставить диастаз. Вопрос, почему именно 25 град. Не
                  AP>> припоминаю, работ обосновывающик такую тактику, в т.ч. и из Кургана
                  k> Ничего не понимаю, при чем эти магические 25 градусов, откуда взяли
                  k> эти цифры? Что за работа?

                  Пожалуйста...
                  В частности (из того, что под рукой):
                  Бородайкевич Р.Д. Лечение по Илизарову больных с неправильно сросшимися переломами костей голени (клинико-экспериментальное исследование): Дис. Е канд.мед.наук. - Курган, 1993. - 192с.
                  Основной недостаток работы - она написана на русском языке:(
                  Поскольку диссертация защищена в Кургане, то она, безусловно, отражает мнение института (других мнений там не бывает).
                  В каких-то курганских методичках эти цифры также встречались.
                  Конечно, не стоит из-за этих градусов убиваться - они ориентировочные...

                  k> На рисунке №1 предоперационный план лечения ложного сустава шейки
                  k> бедра- №6 окончательная рентгенограмма.
                  k> (доложен в Ст. Петербурге 2003 и в Москве 2004)

                  Случай интересный и показательный, поздравляю.
                  Интересно бы посмотреть рентгенограмму таза (оба сустава) а также рентгенгорамму с захватом коленных суставов (по Dror Paley).

                  С уважением Александр Артемьев

                  [ Ответить ]
                • Re: Hip joint
                  Отправитель: Писаревская Людмила Анатольевна 14 Июнь 2011, 20:14
                  Уважаемый профессор!Пишет Вам пациентка,по-поводу которой с Вами разговаривал Игорь Анатольевич.Мы сегодня с трудом (в связи с нашим интернетом),отправили Вам информацию МРТ И МСКТ моего т/б сустава.Нижайшая просьба оценить проблему и высказать Ваше мнение.Мы узнали,что Вы скоро приезжаете в Ташкент.С нетерпением ждём момента,чтобы увидеться с Вами.А пока,если возможно,напишите адрес Вашего СКАЙПА.Мой адресс на СКАЙПЕ lusiya631.Зарегистрирован на имя Писаревской Людмилы.С уважением и надеждой!

                  [ Ответить ]
              • Re: Hip joint
                Отправитель: Djoldas Kuldjanov 23 Ноябрь 2004, 18:21








































                пластическая модель; и коррекция бедра аппаратом Илизарова.
                Имею другие снимки тоже, получится как отчет о моей работе.

                С уважением Джолдас
                Кулджанов

                [ Ответить ]
                • Re: Hip joint
                  Отправитель: Evgueny Tschekashkin 23 Ноябрь 2004, 21:28
                  Уважаемый Джолдас,

                  Почему не замена гвоздя с рассверливанием, а аппарат?

                  Евгений И Чекашкин

                  [ Ответить ]
                  • Re: Hip joint
                    Отправитель: Alexander Chelnokov 23 Ноябрь 2004, 21:29
                    Попробую угадать - была инфекция?

                    [ Ответить ]
                    • Re: Hip joint
                      Отправитель: Evgueny Tschekashkin 24 Ноябрь 2004, 21:09
                      хотя даже если бы и инфекция , то nail exchange с рассверливанием канала - вариант дебрайдмента) Я думаю, что последовательность развития событий:
                      Узкий к-м канал - тонкий гвоздь- усталостный перелом дистальных винтов - развитие нестабильности и как ее результат остеолиз вокруг гвоздя - деформация анатомической оси бедра. Похоже, что я понял почему аппарат, а не новый гвоздь:-)

                      Всего Доброго,
                      Евгений И Чекашкин

                      [ Ответить ]
                      • Re: Hip joint
                        Отправитель: Alexander Chelnokov 24 Ноябрь 2004, 21:11
                        ET> хотя даже если бы и инфекция , то nail exchange с рассверливанием канала -
                        ET> вариант дебрайдмента)

                        Да, но если, скажем, течет из инфицированных каналов запирающих винтов, да инфекция в дистальном метафизе бедра - устанешь сверлить.
                        Аппарат в таком случае средство из серии "тише едешь - дальше будешь".

                        ET> Я думаю, что последовательность развития событий:

                        [...]

                        ET> деформация анатомической оси бедра.

                        Да, наверно. Но если ничего другого нету, ту небольшую деформацию можно было устранить дистрактором одномоментно ввести другой гвоздь.

                        ET> Похоже, что я понял почему аппарат, а не новый гвоздь:-)

                        Тогда делись догадкой скорей!

                        [ Ответить ]
                        • Re: Hip joint
                          Отправитель: Evgueny Tschekashkin 24 Ноябрь 2004, 21:13
                          > Да, но если, скажем, течет из инфицированных каналов запирающих винтов, да инфекция в дистальном метафизе бедра - устанешь сверлить.

                          ЕТ-Теоретически это возможно, а практически трудно представить - все-таки уровень медицинского сервиса высок, поэтому вряд ли инфекционное воспаление может зайти так далеко.....



                          ET> Похоже, что я понял почему аппарат, а не новый гвоздь:-)

                          > Тогда делись догадкой скорей!

                          ЕТ - Изначально костно-мозговой канал бедра был узкий, дальнейшее его рассверливание ещё больше скомпрометирует прочность бедра( латеральный кортекс дистального отломка уже истончен), приведет к дефекту наружной стенки - хотя это только мои догадки - хотелось бы знать мнение Джолдаса о выбранной тактике.

                          [ Ответить ]
    Re: Hip joint
    Пулатов Андрей 22 Ноябрь 2004, 15:58

    Уважаемый коллега, в связи с вашим суждением в отношении клиновидной остеотомии, позвольте Вас спросить:

    .... Куда проще сделать из прокола поперечную кортикотомию и аппаратом
    вывести нужный угол, который потом успешно заполнится регенератом...

    хорошо когда постепенная коррекция деформация с выращиванием клиновидного регенерата компенсирует укорочение сегмента, но что Вы делаете когда, компенсировать укорочение не нужно?

    ...Наиболее простая схема - угол до 25 град можно вывести
    одномоментно, более 25 - постепенно.....

    Вы хотите этим сказать, что можно при одномоментной коррекции до 25 град оставить диастаз. Вопрос, почему именно 25 град. Не припоминаю, работ обосновывающик такую тактику, в т.ч. и из Кургана

    С уважением Пулатов А.Р.
    УНИИТО. Екатеринбург


    [ Ответить ]

    • Re: Hip joint
      Отправитель: Alexander Chelnokov 23 Ноябрь 2004, 00:02
      Что-то такое было в кандидатской диссертации Р.Д.Бородайкевича (как раз из Кургана). Он показал, что срок фиксации при углах меньше скольки-то градусов (не помню, то ли 15, то ли 25), необходим примерно один и тот же как при постепенном, так и одномоментном устранении.
      Надеюсь, курганские коллеги уточнят.

      [ Ответить ]

     

    ( Ответить )

    Powered by Zope  Squishdot Powered MedLink
    Посетитель: 0006669
      "По форме правильно, а по существу - издевательство" В.И.Ленин
    ©2001-2019Orthoforum Coordinator.
    [ Главная | Отправить сообщение | Поиск | Админ ]