AOTRAUMA.ORG Центр Илизарова  

Ортопедия и травматология Общие вопросы/General questions Help Информационные технологии в медицине
 ВХОД ДЛЯ ПАЦИЕНТОВ
 вверх
 поиск
 админ
 главная
 исходное
 последующие


Re: Перелом шейки плеча
послал Alexander Chelnokov 01 Декабрь 2004, 00:42


























ET> быстроты и простоты самой хирургии необходимо пользоваться drill sleeve and
ET> wire guide, позволяющим ротировать пучок при его введении в головку ( как
ET> объяснил Анатолий Ф.)Чтобы не терять время на поиск входного отверстия под
ET> мышцей удобно пользоваться drill sleeve 6,5 мм, удерживая его на кости
ET> после сверления отверстия, через него же провести и спицевой пучок,

Как я видел в ЦИТО, используется инструмент-направитель типа зажима с браншами в виде разъемной трубки, наподобие тех, что ЛОРы суют в нос и ухо.

ET> единственный момент который надо учитывать - чтобы размер петли не превышал
ET> диаметра протектора иначе придется начинать все сначала или в качестве
ET> альтернативы пользоваться разъёмными протекторами.

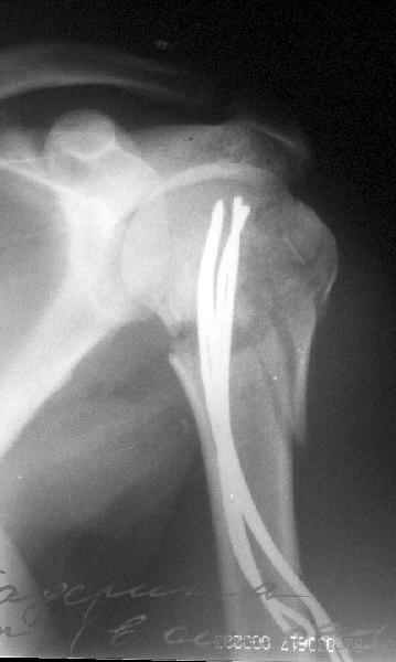
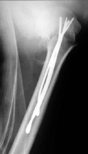
Да. У нас довольно скромный опыт такого остеосинтеза (по 2 случая - плечо и наружная лодыжка), дошли до использования самого простецкого троакара, через который мы сверлим кость и вводим 6 мм стержни, когда накладываем аппарат. Соответственно, в качестве забойника отлично работает любой стержень от аппарата Илизарова. Еще из наших туземных особенностей - страшная любовь к спицевым дистракторам, поэтому делали в нем. Результат у этой дамы неизвестен, т.к. она из области и уехала рожать сразу после остеосинтеза, сейчас прошло больше 5 месяцев...
Что-то, наверно, сделали мы не совсем оптимально, поскольку у Анатолия Федровича и его соратников как-то красивее "раскрываются" спицы в головке плеча - надеюсь, он прокомментирует и подскажет, что надо подправить.
Послать ответ

Имя
Email
Уведомление Сообщить мне по e-mail об ответах на это сообщение
Название
Комментарий
(Проверьте URL! Не забудьте написать http://!)
Кодировка
Если не знаете, что выбрать, выберите "Просто текст"!
Приложение
Можно приложить к сообщению файл c изображением, который затем будет доступен увидевшим сообщение.
Подготовка иллюстраций:
  • Рентгенограммы: черно-белые полутоновые изображения в формате JPEG (8 bit, greyscale) с разрешением от 300х200 до 1024х768 пикселов;
  • Клинические фотографии: полноцветные изображения в формате JPEG (24 bit, truecolor) с разрешением от 300х200 до 1024х768 пикселов;
  • Схемы и рисунки: черно-белые (2 bit) штриховые (line-art) изображения в формате GIF или compressed TIFF
  • Подберите степень сжатия файла JPEG и размер изображения таким образом, чтобы необходимые детали были различимы, но размер файла не превышал 75 кб.
  • Учтите, что текущая версия программного обеспечения Форума позволяет приложить к одному сообщению лишь один файл-вложение. Поэтому, если необходимо отправить несколько изображений, можно либо послать каждое как отдельное сообщение, либо в графическом редакторе объединить изображения в одно (сделать коллаж).
  • Если при подготовке изображений встречаются трудности, не стесняйтесь обратиться к координатору Форума.

  • Введите видимые символы в обратном порядке. Enter the above characters in reverse order (*Обязательно)
    В тексте сообщения можно использовать теги HTML <B> <I> <P> <A> <LI> <OL> <UL> <EM> <BR> <TT> <HR> <STRONG> <BLOCKQUOTE> <DIV .*> <DIV> <P .*>
  • Обратите внимание: Поля с жирными названиями обязательны.
  • Старайтесь отвечать в рамках обсуждаемой темы, а не начинать новые обсуждения.
  • Указывайте адекватную тему сообщения, чтобы было ясно, о чем оно.
  • Не послайте сообщений не по теме (оффтопик), раздраженных, грубых или обидных комментариев. Здесь это неуместно.
  • Powered by Zope  Squishdot Powered MedLink
    Посетитель: 0000029
      "По форме правильно, а по существу - издевательство" В.И.Ленин
    ©2001-2019Orthoforum Coordinator.
    [ Главная | Отправить сообщение | Поиск | Админ ]