AOTRAUMA.ORG Центр Илизарова  

Ортопедия и травматология Общие вопросы/General questions Help Информационные технологии в медицине
 вверх
 отправить
 поиск
 админ
 главная


Femur
Ортопедия и травматология Отправлено Djoldas Kuldjanov, M.D. 24 Ноябрь 2004, 21:22
Коллеги,Комментарии к случаю лечения ложного сустава бедра аппаратом типа Илизарова, показанному здесь
Почему не замена гвоздя с рассверливанием, а аппарат?
Из истории болезни: два года назад проперирован по поводу 3А открытого перелома бедра, травма на работе в результате "стена упала на него".Сопутствующая травма: Закрытая травма черепа, перелом голеностопного сустава (прооперериван) и перелом плеча (консервативное лечение)
Лечение бедра - ургентное оперативное лечение антеградным с минимально рассверливанием, фиксацией с минимальным диаметром штифта и плюс irrigation and debridment и с закрытием поперечной до 10 см раны на уровне перелома в день поступления.
После трех дней начались выделения из ран которые промывалась в палате и рана постепенно закрылась в течение нескольких месяцев. Эмпирически получал 6 недельний курс антибиотика Vancomycin внутривенно.
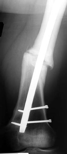
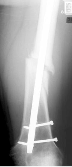
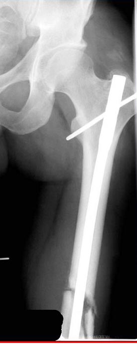
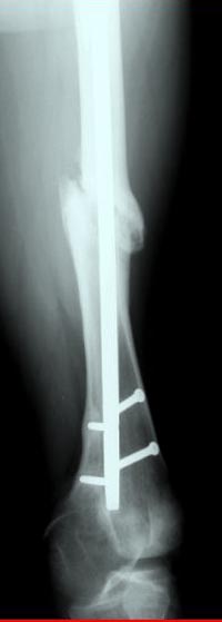
Снимки представлены: 1 мес; 3 мес; 1 год; 2 года, предоперационные и ротационная КТ грамма
Деформация:
Вальгус- 17 градусов
Рекурватум 5 градусов
Укорочение 2.5см
Ротационно 22 градусов внутренная
Смещение диафиза по поперечнику 75%
Из трех вариантов:
Рассверливание с заменой более большого диаметра штифтом,
Остеотомия с фиксацией пластиной+костная пластика,
Аппарат Илизарова= Taylor spatial frame
Гвоздь для ротационных смещениц был бы идеальнымимплантом, после коррекции есть возможность блокировать, но из-за укорочения метод оставил на последнее место. Есть метод Сhaplan лечения ложных суставов бедра, где необходимость bone graft, накладывается феморальный дистрактор и после удаления штифта - рассверливание, через проксимальный канал вводят костный графт в место ложного сустава под рентген контролем, потом вводят штифт, кстати, само рассверливание дейстивует как стимулятор - активизирует восстановительный процесс.
Обычный мой первый выбор - вариант с пластиной, - учитывая бывшую инфекцию, открытую травму, посчитал метод менее приемливым.
Еще больной был противв костной аутопластики, да и самому тоже хотелось перейти к истокам "откуда мы" более усовершенствованному Курганскому методу.
Операцию провели в два этапа, сперва удалили штифт, рассверливание римером на пару мм большего диаметра, определение чувствительности на анаэробную и аэробную культуру (где исследования показали негативный результат чувствительности), через дней десять - начали аппаратную фиксацию.

<  |  >

 

  • Сообщения о Ортопедия и травматология
  • Также Djoldas Kuldjanov, M.D.
  • Связаться с автором
  • Ответить

    Powered by Zope  Squishdot Powered MedLink
    Посетитель: 0006670
      "По форме правильно, а по существу - издевательство" В.И.Ленин
    ©2001-2019Orthoforum Coordinator.
    [ Главная | Отправить сообщение | Поиск | Админ ]