AOTRAUMA.ORG Центр Илизарова  

Ортопедия и травматология Общие вопросы/General questions Help Информационные технологии в медицине
 вверх
 отправить
 поиск
 админ
 главная
 Предыдущее
 Весь тред


Re: открытый перелом мыщелков бедра, латерального
Evgueny Tschekashkine 18 Декабрь 2004, 15:15
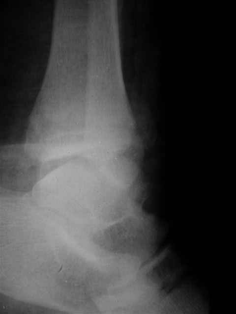
Уважаемый Иван,


> Если Вас не затруднит, пришлите, пожалуйста, рентгенограммы. Я
> интересуюсь тактикой лечения повреждений голеностопного сустава.
> Хочется посмотреть, как лечат коллеги.


Ничего сверхъестественного, но если есть интерес, то в понедельник пересниму Рг-граммы и отправлю.

Всего наилучшего,
Евгений

  • Сообщения о Ортопедия и травматология
  • Также Evgueny Tschekashkine
  • Связаться с автором
  • Ответить

    Re: открытый перелом мыщелков бедра, латерального
    Evgueny Tschekashkin 19 Декабрь 2004, 23:02


    Уважаемый Иван,

    Я предупреждал, что ничего сверхъестественного. Каюсь, что одна из спиц прошла несколько дальше, чем нужно было, но главное - перелом стабилизирован и больной работает суставом в полном объёме, несмотря на представленную раннее травму коленного сустава.

    Всего вам Доброго,
    Евгений И Чекашкин


    [ Ответить ]


    ( Ответить )

    Powered by Zope  Squishdot Powered MedLink
    Посетитель: 0003859
      "По форме правильно, а по существу - издевательство" В.И.Ленин
    ©2001-2019Orthoforum Coordinator.
    [ Главная | Отправить сообщение | Поиск | Админ ]