вверх
отправить
поиск
админ
главная
|
Vrozdennoe ukorachanije Goleny + deformatsjia stopy |
 |
 |
 |
Отправлено Castro 22 Декабрь 2004, 19:31
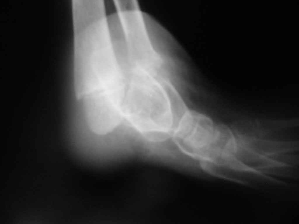
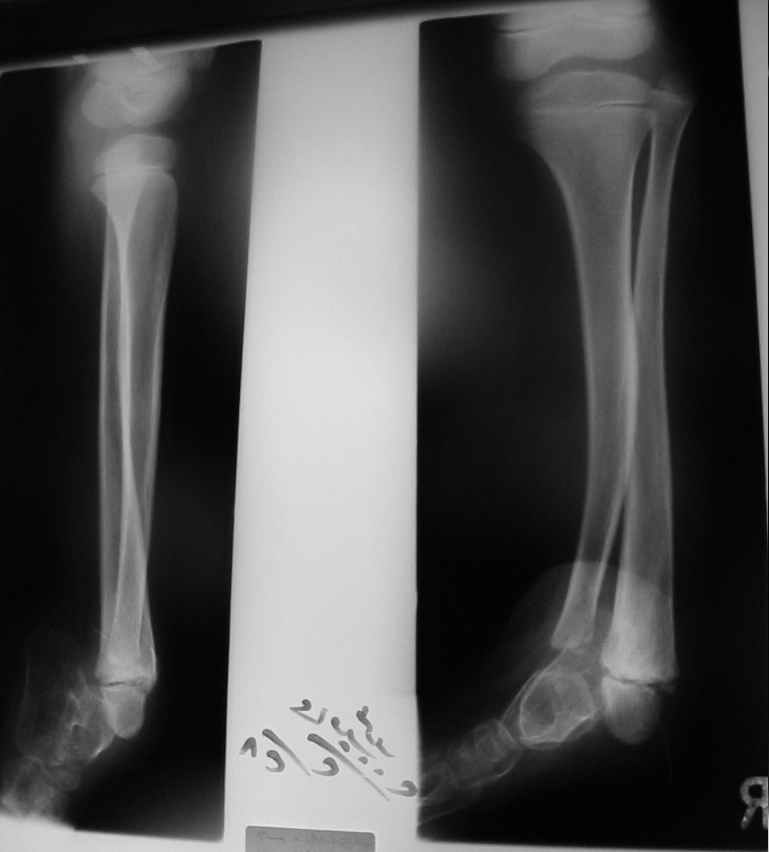
Uvazaemie Docotora,Podskazete, pozalusta, kak mozno pomoch' etomu 13 letnemu bolnomu, s tiazeloi vrazdennoi patologiei goleny, golenostopnogo sustava i stopy, Snimky i foto prelagaiotsa.....
<
|
>
|
|
Ответить
|
Re: Vrozdennoe ukorachanije Goleny + deformatsjia
Виталий Евгеньевич Казеннов 23 Декабрь 2004, 16:25
|
IMHO, Ilizarov's procedure.
На мой взгляд, показана методика Г.А.Илизарова.
Всегда к Вашим услугам,
Директор Дальневосточного центра телемедицины,
Доцент кафедры травматологии-ортопедии ДВГМУ
Виталий Евгеньевич Казённов, к.м.н.
|
[
Ответить ]
|
Re: Vrozdennoe ukorachanije Goleny + deformatsjia
Отправитель: Castro 23 Декабрь 2004, 20:32
|
Uvazaemy Vitaly Evgenevich,
Ja ponimaio, chto zdes' pokazanno metodika G.A. Ilizarova, No ja bi hotil uslishat' ot Vas, kakuio kombinasio apparata ispolzovat, i kakjia posledovatelnost' manevrev Vi rekomenduete? Esli Vam ni trudno, podrobno vikzete Vashy soobrazenjia i Vzglady...
Sposibo ogromnoe za ranee za Vashu pomosh'
Dr. Castro
|
[
Ответить ]
|
Re: Vrozdennoe ukorachanije Goleny + deformatsjia
Отправитель: Виталий Евгеньевич Казеннов 24 Декабрь 2004, 19:59
|
Уважаемый доктор Кастро!
На мой взгляд, прежде всего необходимо исправить положение стопы.
Затем -- корригировать дефекты по мере важности, необходимости и выносливости всех участников.
С уважением,
Казённов
|
[
Ответить ]
|
|
Re: Vrozdennoe ukorachanije Goleny + deformatsjia
Evgueny Tschekashkin 24 Декабрь 2004, 17:05
|
Уважаемый Доктор Кастро,
Судя по представленным фото и Рг граммам, у 13 летнего ребенка врождённая гемимелия большеберцовой кости, таранно-пяточный синостоз Из-за отставания в росте большеберцовой кости (остутствует дистальный эпифиз с зоной роста) произошла компенсаторная гиперофия малоберцовой кости, на которую приходится основная нагрузка (спонтанная тибиализация малоберцовой кости). Как результат дисбаланса осевого роста вторично возникла эквино-варусная деформация стопы. Продолжающийся рост ребёнка (до естественного закрытия зон роста) будет приводить к усугублению деформации по приведенным выше причинам.
Своё наблюдение только одно (ребёнка наблюдали и продолжаем наблюдать с рождения) и дважды оперировали: 1 этап выполнили проксимальный тиб/фиб фьюжн вторым этапом медиализация малоберцовой кости с таранно- малоберцовым синостозом и ещё предстоят этапы по удлинению тибиализированной малоберцовой кости.
В вашем случае я бы избрал следующую тактику:
Поднадкостничную остеотомию большеберцовой кости в средней трети с формированием синостоза с малоберцовой ( активно растущей) костью и второй уровень в области дистального тиб/фиб синдесмоза- достигается баланс роста( средне-медиальный и латеральный отделы) в области измененного голеностопного сустава. Коррекция эквино-варусной деформации стопы в аппарате после чрезкожной сегментарной тенотомии ахилова сухожилия. Дело
кропотливое и длительное.
Как резервный вариант может быть рассмотрена ампутация в верхней трети голени с изготовлением функционального протеза, если родители ребенка не настроены на длительную коррекцию и многоэтапную хирургию, родственники должны понимать, что абсолютного функционального результата даже после этапных операций достичь будет невозможно (аномальный голеностопный сустав, таранно-пяточный синостоз).
Удачи,
Евгений И Чекашкин
|
[
Ответить ]
|
Re: Vrozdennoe ukorachanije Goleny + deformatsjia
Отправитель: Александр Е. Клоков 28 Декабрь 2004, 23:31
|
В принципе согласен с первым вариантом решения проблемы, правда с оговорками. Думаю к двойной остеотомии стоит отнестись с большой осторожностью, ввиду склонности подобных гипоплазированных гостей к ложняку. Если всё-таки решитесь на одноэтапный оперативный метод, то только под прекрытием удовлетворительных результатов сравнительной денситометрии и изотопного исследования.
Успехов,
С уважением,
Александр Е. Клоков
|
[
Ответить ]
|
|
Re: Vrozdennoe ukorachanije Goleny + deformatsjia stopy
Валентин 17 Январь 2005, 02:51
|
Я думаю, что самым оптимальным вариантом будет - лечение аппаратом Илизарова с коррегирующими остеотомиями костей голени и артродезированием голеностопного сустава в функционально - выгодном положении.
|
[
Ответить ]
|
( Ответить )
|
|