AOTRAUMA.ORG Центр Илизарова  

Ортопедия и травматология Общие вопросы/General questions Help Информационные технологии в медицине
 вверх
 отправить
 поиск
 админ
 главная


Деформация бедра
Ортопедия и травматология Отправлено Leonid Pollyak 31 Декабрь 2004, 18:52
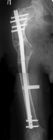
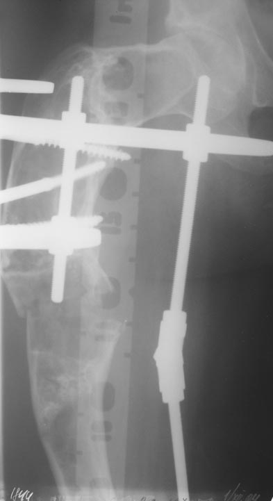
Уважаемые коллеги! С Новым годом и самых светлых пожеланий!В ноябре этого года я обращался с просьбой о помощи в выборе тактики лечения больной с деформацией бедра на почве фиброзной дисплазии. Были получены интересные и очень полезные советы по операции.
Хотелось бы показать, что получилось в результате.Операция выполнялась с помощью А.Н.Челнокова. Очень понравилась технология выполнения блокируемого остеосинтеза с использованием спицевого дистрактора, модифицированный гвоздь с латерализованным проксимальным отделом и возможностью многовинтовой фиксации проксимального и дистального участков бедра.
-- С уважением, Leonid

<  |  >

 

  • Сообщения о Ортопедия и травматология
  • Также Leonid Pollyak
  • Связаться с автором
  • Ответить

    Re: Деформация бедра
    Djoldas Kuldjanov, M.D. 03 Январь 2005, 23:54
    Прекрасная работа, поздравляю Александра и Леонида с удачной реконструкцией: длины и контура бедра.

    Джолдас Кульджанов
    [ Ответить ]


    ( Ответить )

    Powered by Zope  Squishdot Powered MedLink
    Посетитель: 0008983
      "По форме правильно, а по существу - издевательство" В.И.Ленин
    ©2001-2019Orthoforum Coordinator.
    [ Главная | Отправить сообщение | Поиск | Админ ]