вверх
отправить
поиск
админ
главная
|
Nisrashenie Zony osteotomi HTO |
 |
 |
 |
Отправлено Dr. Castro 18 Январь 2005, 15:11
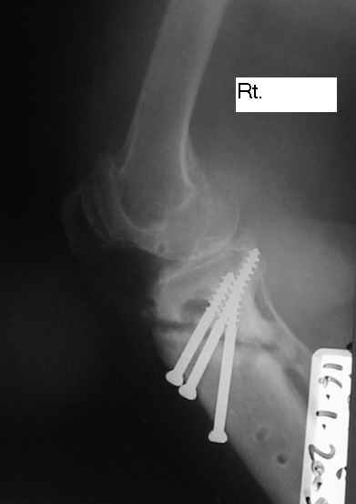
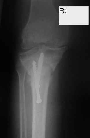
Dorogie Kollegy,Ko mne obratilas' bol'najia, ei 64 goda, ona stradaet ot dvuhstoronnego varusnogo gonoartroza, ei bila vipolnena Visokajia Ostotomjia goleny sprava 01.06.2004, zona osteotomii ne sroslas', plastina bila udalena 12.09.2004 (vidimo iz-za ee nestabilnosti), zona osteotomii tibia bila fixirovana 3-mjia shurupami. Seachas sylno bespokoyat boly v dvuh sustavah, hodit s trudom s pomoshyu Walker, a voobshe ona seachas na invalidnoi kolyaske. Podzkazite, pozhalusta, kak mozno ei pomoch' (snimky prilagayutsa)
<
|
>
|
|
Ответить
|
Re: Nisrashenie Zony osteotomi HTO
Михаил Марикин 18 Январь 2005, 18:38
|
Уважаемый Dr.Castro. Мне кажется возможной причиной несращения перелома явилось затекание синовиальной жидкости в зону остеотомии. Проксимальный фрагмент б.берцовой кости мал и "неудобен" для фиксации. Как вариант - можно предложить ЧКДО по Илизарову с временной фиксацией н.з бедра с целью усиления стабильности.Но с аппаратом придется повозиться ( поиграть фрагментами голени).Если нет возможности или желания заниматься аппаратом, придется выполнить СТАБИЛЬНЫЙ остеосинтез мыщелковой или г-образной пластиной, но обязательно с аутопластикой области несращения. Или в виде аутокрошки, или путем перемещения костного трансплантата с дистального фрагмента б.берцовой кости кверху с перекрытием области несращения.
Опыта использования пластин с угловой стабильносью у меня нет, поэтому, уместна ли она в данной ситуации не знаю.
С уважением Марикин.
|
[
Ответить ]
|
Re: Nisrashenie Zony osteotomi HTO
Пионтковский Валентин 19 Январь 2005, 01:53
|
Уважаемый Dr.Castro, я абсолютно согласен с коллегой на счет первого варианта. Использовать пластину с угловой стабильностью не советую поскольку у нас были случаи несращения в этой области при использовании Г-образных пластин после первичного остеосинтеза.В даном случае нужна постоянная и мощная компресия которую можно достичь только методом Илизарова.
С ув. Пионтковский Валентин.
|
[
Ответить ]
|
Re: Nisrashenie Zony osteotomi HTO
Nikolay Wolfson 19 Январь 2005, 09:50
|
U bol'nogo non-union osteotomii tibii. V vozraste 64 let, sdelal bi sleduiezhee:
Work out, proverit', net li infection: ESR, CRP, White cell Scan. Esli infection net togda est' dva varianta:
1. I predpochel bi ego: Total Knee Arthroplasty. Nuzhen budet Revision ( Long stem) tibial Component.
2. Ne sovetuiu delat' geroicheskix postumkov v otnoshenii Non union. Tut est' mnogo problem, ved' esteotomia provedena ne pravili'no s tochki zrenia deformazii. Orientazia ploskosto kollennogo sustava xotia ne ploxa v sagital'noii ploskosti, no vo frontl'noi idet sil;noie otklonenie narozhu i vniz. A nam tida ne nado.
Udachi
Nikolaj Wolfson, MD, FRCSC
|
[
Ответить ]
|
Re: Nisrashenie Zony osteotomi HTO
Митрофанов А.И. 19 Январь 2005, 20:00
|
Было бы логично удалить шурупы и выполнить остеосинтез голени апп. Илизарова. Аппарат из трех опор. На проксим. отломок одна опора и вней 4-5-6 спиц из которых 2-3 с напайками. А на дист. отломок 2 опоры: на уровне прксим. конца 2 спиц с напайками, на уровне дист. метафиза 3 спицы.
Компрессию создавать через балку по передней поверхности во встречно-боковом направлении в сагитальной плоскости по 1 мм в сутки 10-15 дней.Затем перейти на поддерживающую компрессию как во встречно-боковом направлении, так и по оси.
А какая функция сустава?
Митрфанов А.И. г.Курган РНЦ"ВТО"
|
[
Ответить ]
|
( Ответить )
|
|