AOTRAUMA.ORG Центр Илизарова  

Ортопедия и травматология Общие вопросы/General questions Help Информационные технологии в медицине
 вверх
 отправить
 поиск
 админ
 главная


Гематома?
Ортопедия и травматология Отправлено Djoldas Kuldjanov 08 Февраль 2005, 09:41
Уважаемые коллеги,Неоднократные пункционные эвакуация (3 раза) крови изягодичной области, после полученной пройзводственнойтравмы (более 1.5 мес) ударом в ягодицу тяжелым, около полутонны предметом.
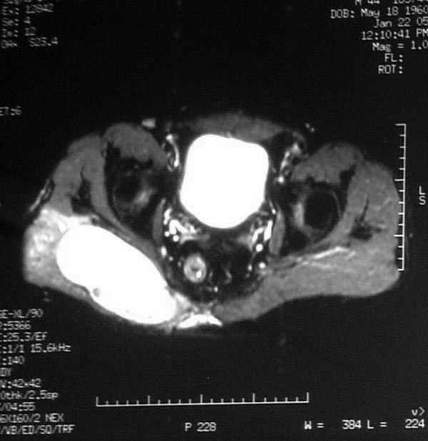
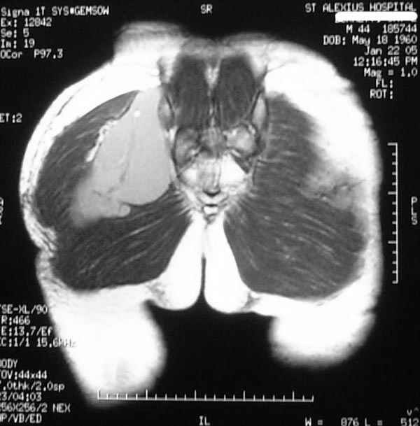
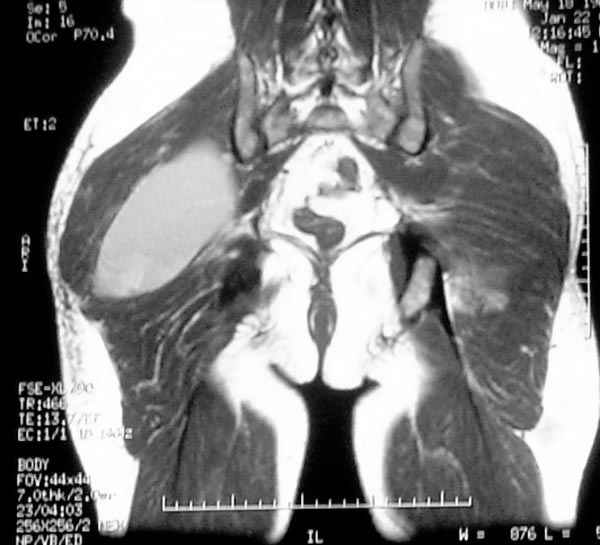
Рентгенограмма без особенностей, несмещенные переломы лонной и седалищных костей таза.Последная пункция 10 дней назад 180 мл темной крови, после пункции сделано магнито-резонансные исследование (на снимках), какой диагноз и тактика дальнейшего лечения, какие рекомендации?Джолдас Кульджанов

<  |  >

 

  • Сообщения о Ортопедия и травматология
  • Также Djoldas Kuldjanov
  • Связаться с автором
  • Ответить

    Re: Гематома?
    Denis Arkhipov 08 Февраль 2005, 17:46
    Для начала - ангиография. При экстравазации - селективная эмболизация.
    С уважением, д-р Архипов
    [ Ответить ]

    Re: Гематома?
    Anatoly Borzunov 09 Февраль 2005, 01:12
    Несколько раз наблюдал, когда после удара наблюдались обширные полости (из-за отслойки мягких тканей), в области поясницы, один раз в области ягодицы. Пробовали лечить пункционным методом, но полости за 2-3 дня заполнялись синовиальной жидкостью, в которой постепенно растворялись сгустки крови и получали жидкость цвета "мясных помоев". Во всех случаях из разреза, достаточного для удаления сгустков крови и некротизированных тканей удаляли содержимое полости и оставляли дренаж. Через некоторое время отделяемое напоминало синовиальную жидкость и обильное отделение продолжалось длительное время, сей час не помню, сколько, но не меньше месяца.
    [ Ответить ]

    Re: Гематома?
    Денис Елкин 10 Февраль 2005, 02:46
    Мнение об эмболизации кровоточащего сосуда подкупает своей прогрессивностью, однако я предпочел бы открытую ревизию полости с прошиванием источника кровотечения, если таковой имеется. По-моему так следует поступить, учитывая то, что при длительном существовании полости на самостоятельный ее коллапс надеятся не стоит. Даже после ликвидации свежих подкравливаний будет скапливаться жидкость - это то, о чам пишет Анатолий. Избавиться от этого с наибольшей эффективностью можно иссечением образовавшейся псевдокапсулы, "освежением" стенок с плотным ушиванием, вакуумным дренированием.
    Желаю скорейшего разрешения проблемы, Д.Елкин, ГКБ 31, Москва.
    [ Ответить ]

    • Re: Гематома?
      Отправитель: Denis Arkhipov 10 Февраль 2005, 16:05
      DE> Мнение об эмболизации кровоточащего сосуда подкупает своей
      DE> прогрессивностью...

      Это не прогрессивность. Это стандарт. Не всегда его можно выполнить по технической оснащенности клиники, но от этого стандартом он быть не перестает.

      DE> , однако я предпочел бы открытую ревизию полости с прошиванием
      DE> источника кровотечения... иссечением образовавшейся псевдокапсулы,
      DE> "освежением" стенок с плотным ушиванием...

      Про такие ситуации (ранение ягодичных сосудов, посттравматические аневризмы, пульсирующие и нарастающие гематомы ягодичной области) говорят - "Кто с ножом на задницу пойдет, тот сам в заднице и окажется" (copyright).

      С уважением, д-р Архипов

      [ Ответить ]
      • Re: Гематома?
        Отправитель: Evgeny S. Pobegalov 10 Февраль 2005, 17:38
        DMA> Это не прогрессивность. Это стандарт. Не всегда его можно
        DMA> выполнить по технической оснащенности клиники, но от этого
        DMA> стандартом он быть не перестает.

        Еще как перестаёт, Денис Михайлович... Стандарт - это, как я понимаю, то, что полагается делать в "стандартных" условиях; отсюда очевидно: то, что может быть реальным стандартом в границах Садового или Бульварного кольца (где, повидимому, эти стандарты и сочиняют), в то же время окажется реальным нестандартом для ЦРБ города Волчехвостска.
        Опять возвращаемся к вопросу дорогостоящих и дешевых технологий...

        --
        Евгений Серафимович Побегалов
        Кафедра торакальной хирургии СПбМАПО

        [ Ответить ]
      • Re: Гематома?
        Отправитель: Denis Yolkin 12 Февраль 2005, 01:45
        Если РЕАЛЬНАЯ возможность ангиографии есть, то никто и не против, наоборот, обеими руками За! Даже в том случае, если это не напряженная и пульсирующая гематома (когда есть показания к переводу в профильный стационар).
        А по поводу иносказательной интерпретации... Каждый должен решить для себя, видит ли он разницу в понятиях "нож" и "скальпель".
        С наилучшими пожеланиями, Д. Елкин.

        [ Ответить ]
    Re: Гематома?
    Mike Shnider 10 Февраль 2005, 16:05
    M/p superior gluteal artery injury=angiography and embolisation
    [ Ответить ]

    Re: Гематома?
    Djoldas Kuldjanov, M.D. 06 Март 2005, 00:25
    Разбираемый случай немного отличался от классического Degloving Injury
    или Morel-Lavalle Lesion, которые часты при переломах ацетабулума и
    костей таза. Состояние, наблюдаемое после удара, в результате чего
    образуются обширные полости в тазобедренной области: ягодицы или
    большого вертела. Как описал Анатолий, обширные полости заполняются
    кровью, затем синовиальной жидкостью, отодвигают сроки операции или
    после операции приводят к осложнениям послеоперационных ран.
    Лечение повреждений Morel-Lavalle проводится в условиях операционной,
    через 3-4 дня после травмы, из маленького (2-3 см) разреза производят
    эвакуацию густой пастообразной гематомы, полость промывается и
    очищается щеткой изнутри, затем закрывают рану с дренажом, обычно
    через 4-5 дней полость затягивается.

    Описанный случай:
    В промежутке около месяца 3 пункции с удалением около 180 мл крови
    каждый раз. После исследовании МРТ было принято решение - удаление
    гематомы в операционной более широким доступом. Во время операции -
    под ягодичной мышцей была капсула, где скопилось около 700 мл
    гематомы, после удаления в полости обнаружили несколько закупорившихся
    вен и краевой разрыв одной из двух ветвей нижней ягодичной артерии.
    После промывания, гемостаза и дренажа, по рекомендации хирурга стенку
    полости обработали спреем Tisseel, специальным склерозирующим
    препаратом, применяемым пластическими хирургами, затем зашили рану.
    Дренажи удалены на 5 день, рана зажила первично. Случай был интересен
    применением препарата Tisseel Fibrin Sealant для склерозирования
    полостей, только недавно получившим разрешение к применению, хотя по
    аннотации в Европе и в Южной Америке применяют давно.

    Благодарю всех, кто участвовал в дискуссии.

    С уважением
    Джолдас Кульджанов
    [ Ответить ]

    Re: Гематома?
    Ильдар Хайруллин 06 Март 2005, 21:35
    В дополнение к обсуждаемой теме - о том, что гематомы мягких тканей, не такая уж простая вещь.
    Больной 50 лет. Со слов, 2 года назад был удар в проекции широчайшей мышцы спины слева. В октябре поступил в хирургию с диагнозом: нагноившаяся гематома. После выписки через 2 недели повторная госпитализация с тем же диагнозом. Однако повяка подозрительно долго обильно промокает кровью.
    Беру в операционную. Широкий разрез по краю широчайшей мышцы. Впечатление, что имеется застарелый разрыв мышцы и кровит из него. Прошивание. Уходим на сухом поле. Через две недели приглашают в перевязочную – кровотечение!!! (Чтобы через две недели рецидив кровотечения – глупость, такого не бывает) Захожу в перевязочную – медсестра в облитом кровью халате прижимает руками рану. Отвожу медсестру, провожу ревизию раны – меня окатывает кровью. В операционную!!! Больной на каталке, я на больном. На операции кровотечение из артерии грудной стенки. Выделили, прошили. Ушли на сухом поле. Эластический бандаж.
    Больного выписали через 4 недели. Рана зажила. Коарктацию аорты исключили. Договорились, что будет отзваниваться каждую неделю. Через месяц приходит, при пункции – 100 мл дефибринолизированной крови.
    Через неделю – еще 75 мл.
    Больной направлен в Казанский МКДЦ на ангиографию и эмболизацию. 04.03 ангиография – причинного сосуда не выявлено. На 07.03. планируется «слепая» эмболизация. При неэффективности планирую склеротерапию. При неэффективности – широкое иссечение.

    --
    С уважением: Хайруллин Ильдар
    [ Ответить ]


    ( Ответить )

    Powered by Zope  Squishdot Powered MedLink
    Посетитель: 0007911
      "По форме правильно, а по существу - издевательство" В.И.Ленин
    ©2001-2019Orthoforum Coordinator.
    [ Главная | Отправить сообщение | Поиск | Админ ]