AOTRAUMA.ORG Центр Илизарова  

Ортопедия и травматология Общие вопросы/General questions Help Информационные технологии в медицине
 вверх
 отправить
 поиск
 админ
 главная
 Предыдущее


Re: Дефект тканей
Djoldas Kuldjanov 01 Апрель 2005, 18:40
Всех благодарю за присланные рекомендации.
03.14.2005
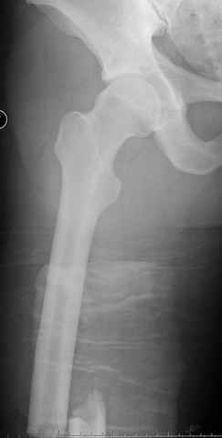
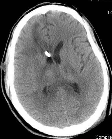
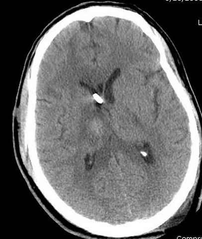
больному 42, автоавария, политравма, открытая черепномозговая травма, безсознании, открытый перелом бедра, размозжение мягких тканей, дефект кожи на передней поверхности бедра около 13 см2 от ожога, компартмент синдром.
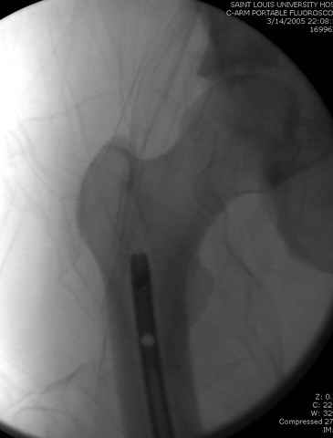
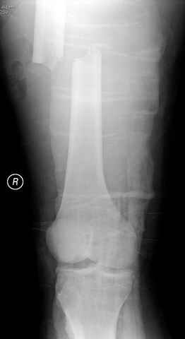
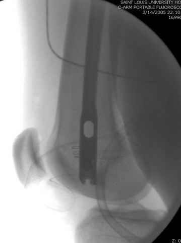
По поводу открытого перелома больной ургентно взят на ретроградное интрамедулярное штифтование, после рутинного дебрайдмента и фасциотомии на бедре и на голени.
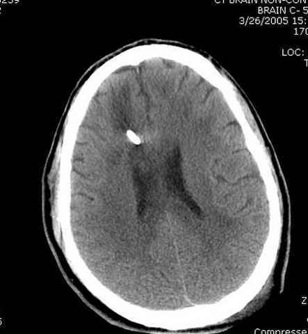
Наблюдается службой травмы и нейрохирургии (ICP) Increased Intracranial Pressure by ventricular cateter

03.19.2005 дебрайдмент - закрытие медиальной раны
03.24.2005 закрытие латеральной раны и кожная пластика на бедре вызванным специалистом (plastic surgeon)
03.28.2005 вена кава фильтер, для профилактики ДВТ

больной без сознания, со слов нейрохирурга, наблюдается положительная динамика в нейрохирургическом статусе.





































перелом бедра



интраоперационные



постоперационные




монииторинг


вид медиальной фасциотомии


вид латеральной фасциотомии


закрытие медиальной фасциотомии



натягивающее резиновые швы


перед кожной пластикой


закрытие латеральной стороны




кожная пластика





закрытие ваккуум

  • Сообщения о Ортопедия и травматология
  • Также Djoldas Kuldjanov
  • Связаться с автором
  • Ответить

    Re: Дефект тканей
    Vitaly Kazennov 01 Апрель 2005, 23:46
    Уважаемый Джолдас,

    У нас принят термин ПХО -- чуть ли не со времен Халхин-Гола. Дебрайдмент -- это как бир или шузы вместо пива или ботинок. Тоже понятно, но больно уж
    стремно.

    Формат дат тоже сбивает с толку.

    Виталий Евгеньевич Казеннов
    [ Ответить ]

    • Re: Дефект тканей
      Отправитель: Alexander Chelnokov 01 Апрель 2005, 23:48
      ДЦт> У нас принят термин ПХО -- чуть ли не со времен Халхин-Гола. Дебрайдмент --
      ДЦт> это как бир или шузы вместо пива или ботинок.

      Интересно, почему это французское слово стало общеупотребимым и в англоязычной среде, и статьях на других языках тоже встречается?

      ДЦт> Формат дат тоже сбивает с толку.

      Вроде обычное американское MM-DD-YY...

      [ Ответить ]
      • Re: Дефект тканей
        Отправитель: Vitaly Kazennov 01 Апрель 2005, 23:49
        > Интересно, почему это французское слово стало общеупотребимым и в
        > англоязычной среде, и статьях на других языках тоже встречается?

        А по незнанию англоязычной средой нашей литературы. У них и Маркони радио
        изобрел.

        > Вроде обычное американское MM-DD-YY...

        Я однажды лежал в одной палате в Пушкино с то ли монголом, то ли с
        афганцем, сейчас уже и не помню, так он писал даты через слэдж да еще и
        овальчиком обязательно обводил. Может, опять перейдем на у.е. вместо рублей?

        Когда 03.29.05 -- понятно. А когда 03.04.05 -- как определить что есть что
        без маркировки [USA]?

        Не слишком ли мы приседаем по мелочам, где надо и где не надо?

        Best wishes,

        Vitaly E. Kazyonnov (вариант написания моей фамилии по аналогии с Yeltsin
        или как его там, дом Ипатьева у вас в свое время уничтожил и самый высокий
        во Вселенной обком партии отгрохал, за что и был обласкан и приближен ко
        столу...)

        [ Ответить ]
        • Re: Дефект тканей
          Отправитель: Alexander Chelnokov 01 Апрель 2005, 23:55
          ДЦт> А по незнанию англоязычной средой нашей литературы.

          Но уж свою-то, англоязычную, они явно знают, да и куда как побольше ее у них, чем у нас русскоязычной, однако предпочли заимствовать французский термин. Отчего бы так?

          ДЦт> Я однажды лежал в одной палате в Пушкино с то ли монголом, то ли с

          Конечно, лучше было не стараться понять его "как есть", а настойчиво тыкать носом, мол, басурман, гутаришь и дату пишешь не по-нашему!
          ;-))

          ДЦт> Когда 03.29.05 -- понятно. А когда 03.04.05 -- как определить что есть что
          ДЦт> без маркировки [USA]?

          Конечно. В таких случаях лучше писать название месяца буквами.

          ДЦт> Не слишком ли мы приседаем по мелочам, где надо и где не надо?

          А найдется что сказать, Виталий Евгеньевич, по содержанию представленной коллегой Кульджановым тактики лечения у этого непростого больного? Или поддадимся весеннему обострению ксенофобии и ограничимся ворчанием по поводу инозмного формата даты да непривычного названия хирургической обработки? Поди, они и лечат как-то не так, как в наших краях только правильно принято? Все-таки, чем бы отличалась лечебная тактика в местах, где дату пишут в правильном формате ДД-ММ-ГГ, а ихний debridement называют единственно верным словом "ПХО"?

          [ Ответить ]
      • Re: Дефект тканей
        Отправитель: Alexey Mozgounov 02 Апрель 2005, 11:31
        ДЦт> У нас принят термин ПХО -- чуть ли не со времен Халхин-Гола. Дебрайдмент --
        ДЦт> это как бир или шузы вместо пива или ботинок.

        Ну при чем здесь жаргонные словечки шузы и бир, если есть вполне официальные заимствования типа SMS, Интернет(интернет?), недавно упомянутый "спеллер" etc?

        Звучание "дебрайдмент" действительно несколько режет слух...
        Когда впервые я встретил в тексте форму "debridement" (первое "e" с косой черточкой) то прочитал ее как "дебридмент".
        Именно в такой форме данное слово встречется в рунете на 2 страницах Google, а в форме "дебрайдмент" - единократно (1 ссылка).
        Так что не только я один надо думать так прочитал.
        А что скажут те, кто учил фанцузский?
        а корни надо думать из латыни? Жаль что словарь на другой квартире, посмотрел бы...

        Насчет Халкин-Гола...
        Лично читал о "дебридменте" у кого-то из русских ортопедов (в том смысле, что не у одного) начала 20 в. (Волкович, например? нет, точно не помню...). Видимо потом "ПХО" где-то посчитали более благозвучным и политически правильно-грамотным, хотя сколько раз до сих пор данная аббревиатура неблагозвучно склонялась и склоняется...

        А вообще...
        Как без подобных заимствований обойтися?
        в настоящее время? Вот ведь "проксимальный", "дистальный", "варус", "вальгус" etc мы употребляем направо и налево...
        А чем "дебридмент" плох? Особенно еже ли 100 лет назад прецедент был? Мне, например, очень нравятся
        "импинджмент" вместо "хронического соударения одной кости о другую" или "pivot shift симптом" вместо "симптома смещения точки опоры", или
        "ангуляция в <такую-то сторону>" вместо "угол, открытый <туда-то>" и пр.
        или термины "портал", "баскет" в артроскопии (а ведь можно было назвать и по-другому?)

        Хотя, действительно в некоторых случаях, как то "интремедуллярный нэйлинг", гораздо более благозвучно звучит "интрамедуллярное штифтование"...

        [ Ответить ]
        • Re: Дефект тканей
          Отправитель: Alexander Artemiev 02 Апрель 2005, 12:08
          Здравствуйте.

          AVM> Насчет Халкин-Гола...
          AVM> Лично читал о "дебридменте" у кого-то из русских ортопедов (в том
          AVM> смысле, что не у одного) начала 20
          AVM> в. (Волкович, например? нет, точно не помню...).
          Оппель В.А. Дневники хирурга Первой мировой войны. / Спб,: ВМедА, 2001.-336 с.
          Цитирую: "Костное отверстие расширено, артерия обколота. Вчера же произвел дебридемен огнестрельного перелома бедра; кость раздроблена совершенно. Масса осколков. Конечно, будет ложный сустав." (с.31-32)
          Как вы понимаете из названия, дневники писаны не в 2001 году. Хотя читаны действительно лишь в 2001 году - после опубликования.

          AVM> Видимо потом "ПХО" где-то посчитали более благозвучным и политически
          AVM> правильно-грамотным, хотя сколько
          AVM> раз до сих пор данная аббревиатура неблагозвучно склонялась и склоняется...

          Она (или оно) просто употребляется не по делу.
          Но зачем придираться к нашим зарубежным коллегам.
          Мы же понимаем о чем речь.
          Прекрасные наблюдения.

          Удачи.
          Александр Артемьев

          [ Ответить ]
      • Re: Дефект тканей
        Отправитель: Alexey Mozgounov 02 Апрель 2005, 11:32
        AC> Вроде обычное американское MM-DD-YY...

        Ну в принципе действительно не совем удобно.
        :-)
        Если форум русскоязычный...
        Если человек говорит по-русски...
        То в принципе в датах не плохо было бы действительно
        поменять ММ с DD местами...
        ????
        Ладно бы даты стояли на фотографиях или в их названиях.
        А здесь как бы в тексте писалось...
        Тем более что на фото's была друга форма
        YY-MM-DD...

        Но это все так, мелочи...
        :-)

        [ Ответить ]
        • Re: Дефект тканей
          Отправитель: Alexander Chelnokov 02 Апрель 2005, 11:49
          ДЦт>>> Формат дат тоже сбивает с толку.
          AC>> Вроде обычное американское MM-DD-YY...

          AVM> Ну в принципе действительно не совем удобно.
          AVM> :-)
          AVM> Если форум русскоязычный...
          AVM> Если человек говорит по-русски...

          То это не значит, что в сообщениях не могут встретиться особенности, обусловленные окружающей средой.

          AVM> Но это все так, мелочи...
          AVM> :-)

          Вот именно. IMHO подобные мелкие придирки - не по существу обсуждаемой темы - могут снижать у участников мотивацию высказаться.

          Вряд ли кому приятно, когда его публично поучают, какие принято говорить слова и какие писать буквы и цифры в той местности, где поучающий имеет счастье процветать.

          В конце концов, нет никакой проблемы создать аналогичный форум для обсуждения проблем правописания. И еще один для флейма. А этот оставим для ортопедо-травматологических проблем. ;-)

          [ Ответить ]
    • Re: Дефект тканей
      Отправитель: Djoldas Kuldjanov 02 Апрель 2005, 13:42
      Виталий Евгеньевич,
      спасибо за урок, критику принимаю, постараюсь исправится. Уточнения: даты написаны автоматически и надо читать 14-19-24-28 Марта 2005 года, также хирургическая обработка вместе дебрайдмент. (фотографии рентгенограмм скопированы с цифрового ренгенологического архива, извините за качество)

      С уважением Джолдас
      Кульджанов

      [ Ответить ]
    Re: Дефект тканей
    Alexey Mozgounov 02 Апрель 2005, 11:53
    DK> №11 вид медиальной фасциотомии
    DK> №12 вид латеральной фасциотомии

    А вы всем так радикально выполняете фасциотомию?
    Или в зависимости от каких-то объективных (p?) показателей?

    DK> №13 закрытие медиальной фасциотомии
    DK> №13А-14 натягивающее резиновые швы

    А что за резина?
    Чем по вашему мнению ее можно заменить в наших условиях для схожего конечного результата?
    Не могли бы вы схематично (рис., текст...) изобразить порядок наложения данного резинового шва, а также технику его сятгивания?
    И если можно - ссылки на литературу...

    Во избежание писем о том, что "все это давно известно! вы вообще литературу то читаете?! и пр." (Джолдас, это не к вам), сразу оговорюсь - "ну не знаю я этого. И в своем городе такого не видел."
    Кажется, о чем то таком недавно говорилось, но наверное я прослушал...
    [ Ответить ]

    Re: Дефект тканей
    Alexander Chelnokov 02 Апрель 2005, 12:06
    Мне очень понравилсоь - столько активных (и результативных!) действий в довольно сжатое время!

    DK> 03.24.2005 закрытие латеральной раны и кожная пластика на бедре
    DK> вызванным специалистом (plastic surgeon)

    Свободная пластика на негранулирующую поверхность - это обычное дело?
    Когда снимаете повязки? Что с коленом? Проводятся ли пассивные упражнения для поддержания движений? С какого времени после остеосинтеза, пластики? С какой ампитудой? Как делаются технически - аппарат CPM, персонал руками?

    DK> 03.28.2005 вена кава фильтер, для профилактики ДВТ

    На чем основано решение поставить фильтр? Выявлены тромбы в голени? Что-то с гемостазом по анализам? Вообще всем с длительным постельным режимом?

    Спасибо за очень интересную презентацию.
    [ Ответить ]

    Re: Дефект тканей
    Evgueny Tchekashkine 02 Апрель 2005, 17:20
    Джолдас, Добрый день,

    Спасибо за презентацию.
    Мне интересно знать, почему пластический хирург убрал резиновые тяги и выполнил свободную кожную пластику ? Что его не устраивало? размер раневой поверхности на бедре после наложения тяг значительно уменьшился и в перспективе, надеясь на естественную эластичность кожи, можно было ожидать закрытия дефекта с лучшим косметическим результаттом, без донорской раны.

    С наилучшими пожеланиями,

    Евгений И Чекашкин
    [ Ответить ]


    ( Ответить )

    Powered by Zope  Squishdot Powered MedLink
    Посетитель: 0000092
      "По форме правильно, а по существу - издевательство" В.И.Ленин
    ©2001-2019Orthoforum Coordinator.
    [ Главная | Отправить сообщение | Поиск | Админ ]