AOTRAUMA.ORG Центр Илизарова  

Ортопедия и травматология Общие вопросы/General questions Help Информационные технологии в медицине
 вверх
 отправить
 поиск
 админ
 главная


Фиксация малоберцовой
Ортопедия и травматология Отправлено Djoldas Kuldjanov 27 Март 2005, 13:02
Интересная тема для дискуссии "фиксировать малоберцовую или не фиксировать".
Если речь идет о низких-коротких переломах, на уровне голеностопного сустава, я голосую за фиксацию.
С сожалением вспоминаешь, когда при хорошо отрепонированном и сращенном переломе большеберцовой кости в восстановительном периоде у больных начинаются вторичные сиптомы, связанные с угловыми и ротационными деформациями малоберцовой кости.
Укорочение и ротация малоберцовой кости (разбирали как-то при эпиметафизарных переломах голени - Pilon) приводят к ранним артрозам малоберцово-таранного сочленения, из работ (Ramsey and Hamilton, Yablon et., укорочение на 1 мм малоберцовой кости уменьшает на 42% площадь контактной поверхности между малоберцевой и таранной костями, что приводит к увеличению давления на остальные части суставной поверхности, что является предпосылкой раннего артроза), а по поводу поздних тендинитов из-за деформации малоберцовой приходилось делать коррекционные и удлиняющее остеотомии малоберцовой.
Фиксация переломов малоберцовой: пластина, интрамедуллярные конструкции или tension band technique.
Если перелом низкий и поперечный, делаю интрамедуллярно, спицей или интрамедуллярным штифтом, при косых переломах пластина (antiglide technique), при пользовании аппарата Илизарова спицу провожу через тибиа-фибула.
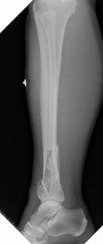
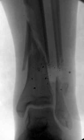
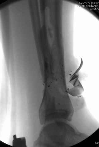
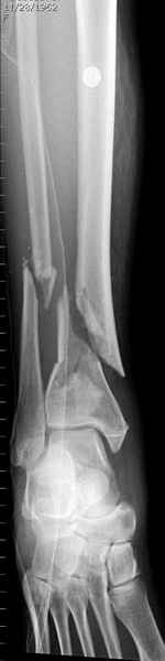
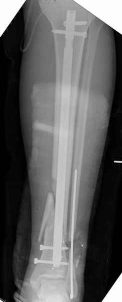
На снимках варианты фиксации малоберцовой:
№ 1 двух лодыжек
№ 2-5 при огнестрельном переломе
№ 6-11 при pilon percutaneus fixation
С уважением,
Джолдас Кульджанов

<  |  >

 

  • Сообщения о Ортопедия и травматология
  • Также Djoldas Kuldjanov
  • Связаться с автором
  • Ответить

    Re: Фиксация малоберцовой
    Evgueny Tschekashkin 27 Март 2005, 13:40
    Джолдас,день-вечер добрый,

    Как всегда качественная презентация:-))
    Пользуетесь ли вы дистрактором для репозиции, какова его компоновка и ориентиры наложения?
    При бесуспешности ручной репозиции я обычно использую femoral distractor со стержнями в таран и диафиз б.б. кости.
    Заранее признателен за ответ.
    Всего доброго,
    Евгений
    [ Ответить ]

    • Re: Фиксация малоберцовой
      Отправитель: Djoldas Kuldjanov 28 Март 2005, 22:56
      Евгений,

      За последнее 2-3 года почти все внутрисуставные переломы голени (pilon) и (tibial plateau) при поступлении накладываем temporary spanning
      ex-fix. Наружный фиксатор из двух стержней, который заменяет вытяжение, создавая дистракцию уменьшает отек, за 3-4 дня создается условии для оперативного вмещательства.
      Наружный фиксатор снимаю после окончания операции, во время операции пользуюсь как дистрактором.
      Дистрагировать малоберцовую можно за счет проведенного проксимальнее пластины шурупа, (push-full technique) между шурупом и пластиной ставится инструмент, открывая бранши, толкаем пластину, создается удлинение малоберцовой,
      compression-distraction device из любого набора или с помощью инструмента, тяга за дистальный отрезок.

      Джолдас Кульджанов

      [ Ответить ]
      • Re: Фиксация малоберцовой
        Отправитель: Evgueny Tchekashkine 29 Март 2005, 00:46
        Джолдас,

        Спасибо за письмо.
        Я знаком с техникой использования упомянутого вами дистрактора( пуш-фул) - очень полезная вещь.
        Спэннинг экс.фикс. использую в случаях, когда мягкие ткани не позволяют выполнить первичную открытую фиксацию. Femoral distractor - при мыщелковых переломах б.б. кости на этапе репозиции под контролем флюороскопии.

        Всего Доброго,
        Евгений Чекашкин

        [ Ответить ]
    Re: Фиксация малоберцовой
    Alexey Mozgounov 30 Март 2005, 00:38
    DK> Если речь идет о низких-коротких переломах, на уровне голеностопного
    DK> сустава, я голосую за фиксацию.

    Перелом перелому рознь.


    DK> С сожалением вспоминаешь, когда при хорошо отрепонированном и
    DK> сращенном переломе большеберцовой кости в восстановительном периоде у
    DK> больных начинаются вторичные сиптомы,

    Какие симтомы?

    DK> связанные с угловыми и

    Правильное восстановление перелома б/б к. (IMHO!!!) не ведет к угловым
    положениям фрагментов малоберцовой, а вот смещение по ширине - вполне
    возможно.

    DK> ротационными деформациями малоберцовой кости.

    Ротация фрагментов м/б к. - не имеет ли причиной фиксацию б/б к. с ее
    ротационным смещением? т.е. без учета торсии?

    DK> Укорочение и ротация малоберцовой кости (разбирали как-то при
    DK> эпиметафизарных переломах голени - Pilon) приводят к ранним артрозам
    DK> малоберцово-таранного сочленения, из работ (Ramsey and Hamilton,
    DK> Yablon et., укорочение на 1 мм малоберцовой кости уменьшает на 42%
    DK> площадь контактной поверхности между малоберцевой и
    DK> таранной костями, что приводит к увеличению давления на остальные
    DK> части суставной поверхности, что является предпосылкой раннего
    DK> артроза),

    Не читал, времени не было, но обязательно в скором времени покопаюсь
    на эту тему.
    ??? А мложет есть и другие работы, подтверждающие мнение упомянутых
    авторов? Или например такие, где утверждается прямо противоположное?
    Что-то уж 1 мм выглядит как-то несерьезно по сравнению с заявляемыми
    42%...

    DK> а по поводу поздних тендинитов из-за деформации
    DK> малоберцовой приходилось делать коррекционные и удлиняющее остеотомии
    DK> малоберцовой.

    Вот это - да.
    Но по поводу ли угловых и ротационных деформаций? Или на фоне
    оскольчатых переломов в сочетании с повреждением сухожильных
    влагалищ??


    DK> На снимках варианты фиксации малоберцовой:
    DK> № 1 двух лодыжек
    А предоперационный снимок?

    DK> № 2-5 при огнестрельном переломе
    Перелом оскольчатый с диастазом и нефиксация грозила бы ложным
    суставом, здесь трудно не согласиться, но... осколок на место поставлен
    не был... Вполне возможно, что все и сраслось, но... Никаких проблем в
    данном конкретном случае не было? Болей там всяких, тендинитов etc?

    DK> № 6-11 при pilon percutaneus fixation
    А если без? Результат был бы хуже?

    Информация к размышлению:
    прочитал недавно 2 статьи...
    №1. Переломы предплечья у детей. Если без репозиции, то за визит в
    клинику со страховки снимают около 200-250$, а если с репозицией под
    наркозом - то порядка 525$. Это в Канаде и Штатах.
    №2. Лечение переломов бедра оперативно. За операцию - порядка 1 тыс.
    фунтов стерлингов. Это в Англии.
    Как видно, цены отличаются значительно (в соотношении операционных
    усилий).
    Вопрос - не связаны ли рекомендации по фиксации переломов малоберцовой
    - пластиной ли, спицей ли с упором (хоть и спица - а тоже ведь денег
    стоит, а особенно если ее проводит дипломированный хирург) - с
    элементаным желанием "срубить" побольше?

    P.S.
    Вчера на дежурстве разговаривали о переломах лодыжек.
    Пришли к единодушному выводу, что большинство (термин, конечно,
    субъективный)... или многие... подобных переломов прекрасно лечатся
    консервативно... а причины неудач - неправильное ведение на
    амбулаторном этапе... а операции... они с точки зрения хирурга гораздо
    выгоднее, где бы этот хирург не работал - в exUSSR или USA...
    "врач - это мелкий бизнесмен" (не я придумал, вычитал где-то).
    [ Ответить ]

    • Re: Фиксация малоберцовой
      Отправитель: Кучерявый И.В. 25 Апрель 2005, 20:50
      Отвечая выше расположенному автору, хочется сказать, что никто тут не говорит о необходимости операции, когда закрытая репозиция привела к успеху. Но вот когда смещение остается, и больному продолжают посторять безуспешные репозиции, теряя время - вот это как раз неправильное ведение.
      По поводу фиксации малоберцовой - невосстановление её длины, плохая репозиция всегда приведет к нарушению движений и к артрозу в голеностопном суставе, это азбука. Не надо изобретать велосипед.

      [ Ответить ]

     

    ( Ответить )

    Powered by Zope  Squishdot Powered MedLink
    Посетитель: 0007938
      "По форме правильно, а по существу - издевательство" В.И.Ленин
    ©2001-2019Orthoforum Coordinator.
    [ Главная | Отправить сообщение | Поиск | Админ ]