AOTRAUMA.ORG Центр Илизарова  

Ортопедия и травматология Общие вопросы/General questions Help Информационные технологии в медицине
 ВХОД ДЛЯ ПАЦИЕНТОВ
 вверх
 поиск
 админ
 главная
 исходное
 последующие


Re: уровень остеотомии
послал Alexander Artemiev 09 Май 2005, 10:16
AVM> Внаслой?
Не понял...

AVM> Или последовательно?
Естественно.

AVM> В последнем случае будут зазоры...
Ну конечно. Примерно 1,5 см. Нужно располагать их так, чтобы они не совпадали с линией суставов. После этого с учетом зазоров вешаешь их на окно - и обе ноги перед тобой. Сверху и до низу...

a>> Скорее всего не избежать какого-то шевеления пациентра, поэтому велика
a>> погрешность.
AVM> Да вроде не сталкивались особо...
AVM> С шевелением - да... в смысле с размытостью,
AVM> а вот со съезжанием хорошо прикрепленной к бедру метки при некотором
AVM> перемещении больного при замене кассеты - нет.

Таких методик много - решетки, маркеры и пр.
Оси по такой методике Вы не определите.
Если будете обобщать свой материал для доклада или прензентации - запутаетесь сами и запутатете всех. Проходили.
Но по опыту могу сказать, что пока сами не увидите и не оцените преимущества другой методики, вряд ли будете делать по-другому.
Методика выполнения снимков "от и до" давно и повсеместно применяется в Кургане. Правда, там используют кассеты размером 30х90 и 30х120. Есть
такие. Используются в ангографии. Мне таких найти не удалось, поэтому я сдвигаю несколько кассет.
Американец Paley, на которого я ссылаюсь, много раз был в Кургане, многое увидел. Многое усовершенстовал сам.
И, будучи талантливым человеком, всё доступно обобщил в своей книге.
На русском языке ничего подобного написано не было:(

1. Иллюстрации - во вложении.
Два бедра после эндопротезирования.
Авторы операции долго думали почему больная хромает.
Сдклали снимок - одна нога короче почти на 3 см.
Здоровый человек и то будет хромать.

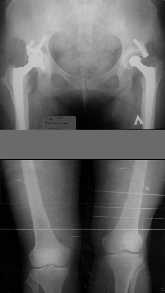
2. Другой пример - дефект после инфицирования коленного эндопротеза.
Предполагалось, что величина дефекта 11-12 см. Так получается, если
сделать снимок только области коленных суставов. Определить
укорочение сложно, так как нога просто болтатется.
Сделали снимок "от и до" - величина дефекта 17 см.
Правда эта иллюстарция сделана на цифровом рентгеновском аппарате.
Больной стоит, а трубка передвигается сверху вних, последовательно
выполняя рентгенограммы. В данном случае - 4 штуки.


Но всё это требует времени, скурпулезности и, главное - заинтересованности. Любой - материальной, научной, практической - как угодно. Это штучный товар. Все эти укладки придется выполнять самому - ни рентгенолог, ни рентгенлаборант не справятся.


Удачи.
Александр Артемьев












Послать ответ

Имя
Email
Уведомление Сообщить мне по e-mail об ответах на это сообщение
Название
Комментарий
(Проверьте URL! Не забудьте написать http://!)
Кодировка
Если не знаете, что выбрать, выберите "Просто текст"!
Приложение
Можно приложить к сообщению файл c изображением, который затем будет доступен увидевшим сообщение.
Подготовка иллюстраций:
  • Рентгенограммы: черно-белые полутоновые изображения в формате JPEG (8 bit, greyscale) с разрешением от 300х200 до 1024х768 пикселов;
  • Клинические фотографии: полноцветные изображения в формате JPEG (24 bit, truecolor) с разрешением от 300х200 до 1024х768 пикселов;
  • Схемы и рисунки: черно-белые (2 bit) штриховые (line-art) изображения в формате GIF или compressed TIFF
  • Подберите степень сжатия файла JPEG и размер изображения таким образом, чтобы необходимые детали были различимы, но размер файла не превышал 75 кб.
  • Учтите, что текущая версия программного обеспечения Форума позволяет приложить к одному сообщению лишь один файл-вложение. Поэтому, если необходимо отправить несколько изображений, можно либо послать каждое как отдельное сообщение, либо в графическом редакторе объединить изображения в одно (сделать коллаж).
  • Если при подготовке изображений встречаются трудности, не стесняйтесь обратиться к координатору Форума.

  • Введите видимые символы в обратном порядке. Enter the above characters in reverse order (*Обязательно)
    В тексте сообщения можно использовать теги HTML <B> <I> <P> <A> <LI> <OL> <UL> <EM> <BR> <TT> <HR> <STRONG> <BLOCKQUOTE> <DIV .*> <DIV> <P .*>
  • Обратите внимание: Поля с жирными названиями обязательны.
  • Старайтесь отвечать в рамках обсуждаемой темы, а не начинать новые обсуждения.
  • Указывайте адекватную тему сообщения, чтобы было ясно, о чем оно.
  • Не послайте сообщений не по теме (оффтопик), раздраженных, грубых или обидных комментариев. Здесь это неуместно.
  • Powered by Zope  Squishdot Powered MedLink
    Посетитель: 0000071
      "По форме правильно, а по существу - издевательство" В.И.Ленин
    ©2001-2019Orthoforum Coordinator.
    [ Главная | Отправить сообщение | Поиск | Админ ]