вверх
отправить
поиск
админ
главная
|
Гипохондроплазия - собственно клин.случай |
 |
 |
 |
Отправлено Anton Vladzymyrskyy 10 Июль 2005, 22:31
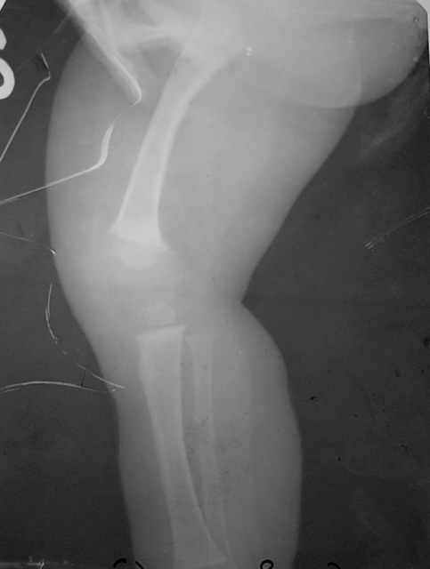
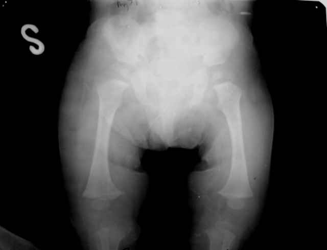
Мальчик, 5 лет. Гипохондроплазия. Генетическая предрасположенность к нарушению физического развития. Ребенок от I беременности, протекавшей нормально. ТОРЧ-негативный. Неврологических расстройств нет. Семейный анамнез: средний рост мужчин в семье 150 см, антропологические особенности - короткие конечности, длинное туловище, крупный череп. Вес 15 кг, рост 92 см.Тактика лечения? Заранее благодарю! С уважением,А.В.Владзимирский
<
|
>
|
|