AOTRAUMA.ORG Центр Илизарова  

Ортопедия и травматология Общие вопросы/General questions Help Информационные технологии в медицине
 ВХОД ДЛЯ ПАЦИЕНТОВ
 вверх
 поиск
 админ
 главная
 исходное


Re: чрезмыщелковый перелом
послал Alexander Artemiev 14 Сентябрь 2005, 16:19
Здравствуйте, коллеги.
Спровоцировали вы меня...
МА> Трудно не согласиться с коллегами - только открыто и только пластинами
С коллегами не согласиться легко. Не обязательно открыто и не
обязательно пластинами или чем там ещё...

МА> Снимки отсылать не буду итак много примеров
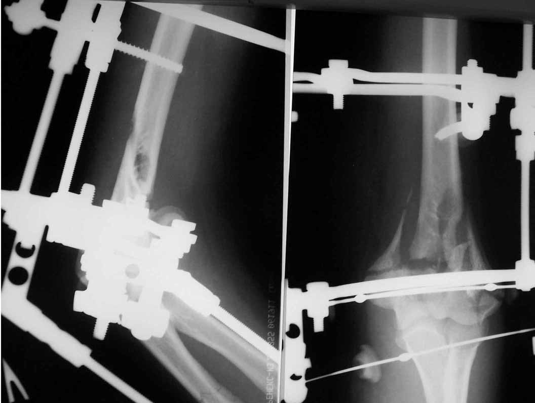
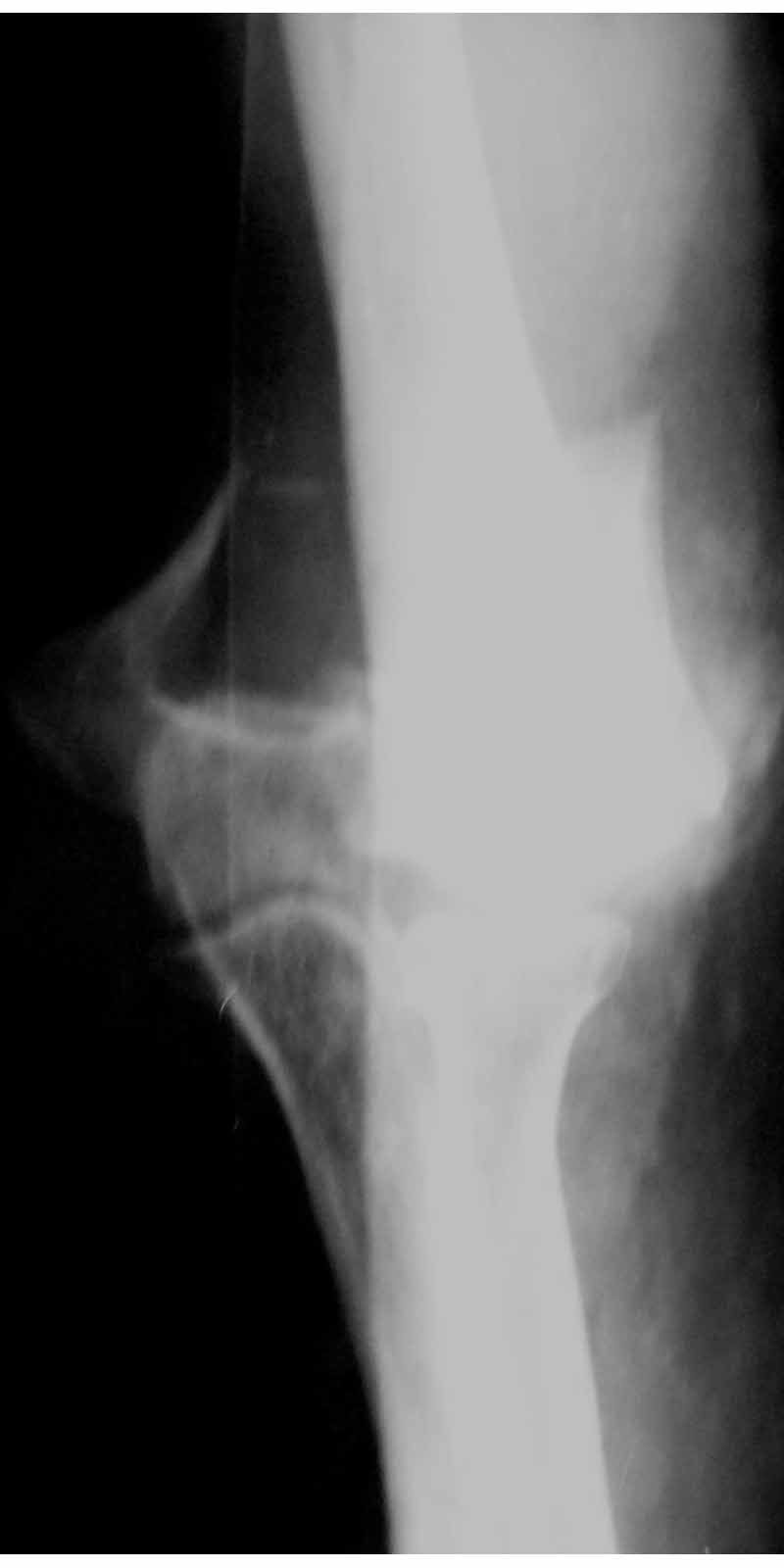
Снимки - во вложении.


















Женщина 42 лет, операция через неделю после перелома.
Д-з - открытый перелом мыщелков со смещзением и локтевой кости
без смещения - падение с лошади.
До операции снимки не очень, тем более в гипсе.
Остеосинтез закрытый (если так можно выразиться), т.е. без
разрезов. Длительность операции - около 1,5 часа со студентом.
6 щелчков ЭОПом.

Кстати, Аршак Мирзоян. Если читаешь - это та тётенька, по
поводу которой ты хлопотал.

Есть и более сложные (на мой взгляд) случаи, которые мне
довелось успешно вылечить закрыто.
Я так понимаю, не последний раз возвращаемся к этой теме.
Подготовлюсь - напишу подробнее и обстоятельнее.



Удачи всем
Александр Артемьев
Послать ответ

Имя
Email
Уведомление Сообщить мне по e-mail об ответах на это сообщение
Название
Комментарий
(Проверьте URL! Не забудьте написать http://!)
Кодировка
Если не знаете, что выбрать, выберите "Просто текст"!
Приложение
Можно приложить к сообщению файл c изображением, который затем будет доступен увидевшим сообщение.
Подготовка иллюстраций:
  • Рентгенограммы: черно-белые полутоновые изображения в формате JPEG (8 bit, greyscale) с разрешением от 300х200 до 1024х768 пикселов;
  • Клинические фотографии: полноцветные изображения в формате JPEG (24 bit, truecolor) с разрешением от 300х200 до 1024х768 пикселов;
  • Схемы и рисунки: черно-белые (2 bit) штриховые (line-art) изображения в формате GIF или compressed TIFF
  • Подберите степень сжатия файла JPEG и размер изображения таким образом, чтобы необходимые детали были различимы, но размер файла не превышал 75 кб.
  • Учтите, что текущая версия программного обеспечения Форума позволяет приложить к одному сообщению лишь один файл-вложение. Поэтому, если необходимо отправить несколько изображений, можно либо послать каждое как отдельное сообщение, либо в графическом редакторе объединить изображения в одно (сделать коллаж).
  • Если при подготовке изображений встречаются трудности, не стесняйтесь обратиться к координатору Форума.

  • Введите видимые символы в обратном порядке. Enter the above characters in reverse order (*Обязательно)
    В тексте сообщения можно использовать теги HTML <B> <I> <P> <A> <LI> <OL> <UL> <EM> <BR> <TT> <HR> <STRONG> <BLOCKQUOTE> <DIV .*> <DIV> <P .*>
  • Обратите внимание: Поля с жирными названиями обязательны.
  • Старайтесь отвечать в рамках обсуждаемой темы, а не начинать новые обсуждения.
  • Указывайте адекватную тему сообщения, чтобы было ясно, о чем оно.
  • Не послайте сообщений не по теме (оффтопик), раздраженных, грубых или обидных комментариев. Здесь это неуместно.
  • Powered by Zope  Squishdot Powered MedLink
    Посетитель: 0023060
      "По форме правильно, а по существу - издевательство" В.И.Ленин
    ©2001-2019Orthoforum Coordinator.
    [ Главная | Отправить сообщение | Поиск | Админ ]