AOTRAUMA.ORG Центр Илизарова  

Ортопедия и травматология Общие вопросы/General questions Help Информационные технологии в медицине
 вверх
 отправить
 поиск
 админ
 главная


артрит - уточнение диагноза?
Ортопедия и травматология Отправлено Anton Vladzymyrskyy 26 Октябрь 2005, 22:26
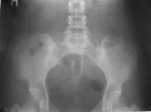
Уважаемые коллеги! Вопрос по уточнению диагноза. Методы дополнительной диагностики? Вашемнение по данному случаю?Спасибо!
Женщина, 30 лет.
Жалобы на сильные боли в суставах и мышцах (без четкой локализации), припухлость суставов, повышение температуры 38-39 гр.
Считает себя больной с 1994 г., когда появились боли в легких. В 1996 г. - боли в спине без четкой локализации. 2002 г. - роды, через 10 мес. сильные мышечные боли. 2004 г. - плеврит и увеит (сейчас - миопия, -1,-1,5, астигматизм). Периодические увеличения лимфатических узлов (чаще шейных), симптомы васкулита.
Диагноз: Ревматоидный артрит неизвестной этиологии (реактивный урогенитальный артрит или полиартрит?)
Получает лечение преднизолоном.
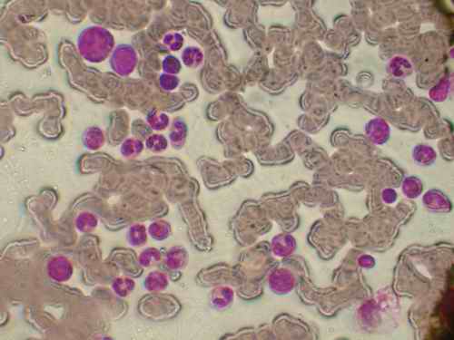
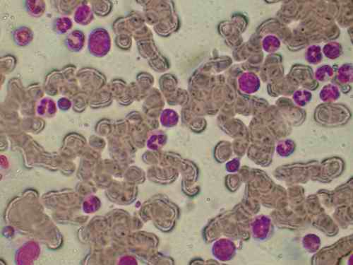
Биопсия костной ткани - инфильтрация клеточными элементами.
Ro грудной клетки - норма.
Белки крови
Общий белок - 68; (норма - 6,5-8,5)
Albumin - 621 (норма - 56,6-66,8)
a1-globulin - 3,4 (норма - 3,0-5,6)
a2-globulin - 10,3 (норма - 6,9-10,5)
b-globulin - 19,0 (норма - 7,3-12,5)
g-globulin - 5,2 (норма - 12,8-19,0)
Albumin/Globulin - 1,6 (норма - 1,3-2)
Общий анализ крови
24.08.05. Hg 130, Э.4,0, ЦП 0,97, Т.77%, Л.14,8, п.8, н.82, э.1, л.4, м.5, СОЭ 49
Иммунология - в отдельном файле
Эхокардиография. Утолщение створок митрального клапана. Митральная регургитация (+) без гемодинамических нарушений.
Из мазка гортани в 2004 г. высеяны b-hemolytic streptococcus, Staphylococcus aureus и грибок
УЗИ внутренних органов и трансвагинальное. Киста правого яичника
С уважением,
А.В.Владзимирский

<  |  >

 

  • Сообщения о Ортопедия и травматология
  • Также Anton Vladzymyrskyy
  • Связаться с автором
  • Ответить

    Re: артрит - уточнение диагноза?
    Vitaly Kazennov 27 Октябрь 2005, 09:40
    Уважаемый Антон Вячеславович!

    Запрос получен, приступаем.

    От себя лично -- можно ли исследовать синовиальную жидкость?

    Казеннов,
    Лаборатория ТМ технологий ДВГМУ
    [ Ответить ]


    ( Ответить )

    Powered by Zope  Squishdot Powered MedLink
    Посетитель: 0020103
      "По форме правильно, а по существу - издевательство" В.И.Ленин
    ©2001-2019Orthoforum Coordinator.
    [ Главная | Отправить сообщение | Поиск | Админ ]