AOTRAUMA.ORG Центр Илизарова  

Ортопедия и травматология Общие вопросы/General questions Help Информационные технологии в медицине
 вверх
 отправить
 поиск
 админ
 главная


изменения бедренной кости и костей голени
Ортопедия и травматология Отправлено Gleb Korobushkin 30 Октябрь 2005, 11:29
Коллеги!Пациент Д., 35 лет, В 1985 году был поставлен диагноз гемигипоплазия правой нижней конечности. Укорочение 5 см, в 1987 году остеотомия правого бедра, аппарат 4 месяца, удлинили на 2 см из-за нагноения спиц аппарат сняли.
В настоящее время
Жалобы на дискомфорт, тяжесть в левом бедре, голени при длительной ходьбе, при длительном лежании на левом бедре.
Эти жалобы беспокоят втечение 5-6 лет. В 1999 году выявили "изменения" (со слов больного, выписки нет на руках) бедренной кости и костей голени слева. Тогда же предложили в ЦИТО срочно делать какую-то операцию.
При осмотре: Правая нижняя конечность. Имеются рубцы на правом бедре по наружной и внутренней поверхностям. Ограничения движений в коленном суставе нет. Кровоснабжение, иннервация сохранены.
Левая нижняя конечность. Левое бедро увеличено в объеме, при пальпации пальпируется бедренная кость большего диаметра по сравнению с левым бедром. Пальпация безболезненна.
Голень обычной формы. Объем движений в суставах полный. Кровоснабжение, иннервация сохранены. Имеется разница в длине конечностей правая короче на 4-5 см за счет бедра и голени.
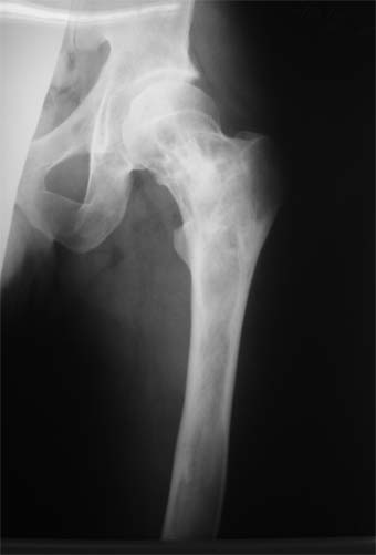
В приложении вид больного и рентгенограммы бедра 2001 год и 2005 год.

2001

2005

2005

2001

2005
Что бы это могло быть? О чем можно думать? Онкология?
С уважением
Коробушкин Глеб Владимирович
Российский государственный медицинский университет
кафедра травматологии, ортопедии и ВПХ, доцент

<  |  >

 

  • Сообщения о Ортопедия и травматология
  • Также Gleb Korobushkin
  • Связаться с автором
  • Ответить

    Re: изменения бедренной кости и костей голени
    Alexander Chelnokov 30 Октябрь 2005, 15:52
    Похоже на болезнь Педжета.
    [ Ответить ]

    Re: изменения бедренной кости и костей голени
    Alexander Rykov 30 Октябрь 2005, 15:53
    Остеосклеротическая стадия болезни Педжета. Имею двух подобных больных по 15 -20 лет наблюдения. В острой стадии - текли как классическая саркома. "За" - все (рентген+биопсия+клиника) - отправили хоронить, а в результате живы и имеют рентген-картинку похожую Вашей. Поройтесь в минеральном обмене и в почках. Удлинять подобные кости опасно. Можно -биопсию на всякий случай (из зоны склероза и зоны пороза).
    С ув. А Рыков. Хабаровка.
    [ Ответить ]

    Re: изменения бедренной кости и костей голени
    Gleb Korobushkin 01 Ноябрь 2005, 05:18
    Александр Николаевич! Александр Геннадьевич!


    Спасибо за ответ

    Пациент принес заключение:

    01.1999

    Консультирован в ЦИТО проф Бережной А.П.

    В настоящее время имеется умеренный рубцовый процесс правого бедра не мешающий на объем движений в суставах. В коленном суставе слева бедро обычное, голень - булавовидное утолщение проксимального конца большеберцовой кости. На рентгенограммах тотальное поражение кости с увлечением в процесс проксимального эпиметафиза, поражение характерно для болезни Campanatsehi
    Хирургическое лечение внастоящий момент не показано.

    22.05.01
    У больного полиоссальноая форма фиброзной дисплазии с поражение левой бедренной и большеберцовой кости. На рентгенограммах - тотальное разрастание и остончение кортикального слоя. Имеется удлинение левой нижней конечности на 2,5-3 см за счет голени. Больному показано оперативное лечение левой большеберцовой кости.

    Был ли у кого-нибудь опыт лечение такой болезни? Где можно посмотреть?

    С ув Короубшкин


    [ Ответить ]

    • Re: изменения бедренной кости и костей голени
      Отправитель: Alexander Chelnokov 01 Ноябрь 2005, 05:29
      k> проксимального эпиметафиза, поражение характерно для болезни Campanatsehi

      Это не опечатка? Нет нигде такого слова.

      k> 22.05.01
      k> У больного полиоссальноая форма фиброзной дисплазии с поражение левой
      k> бедренной и большеберцовой кости. На рентгенограммах - тотальное разрастание

      Может, еще раз проконсультировать там же по сегодняшним данным? Да и в англоязычных mailing lists, мне кажется, будет полезно спросить.

      k> Больному показано оперативное лечение левой
      k> большеберцовой кости.
      k> Был ли у кого-нибудь опыт лечение такой болезни? Где можно посмотреть?

      Глеб Владимирович, а какая лечебная задача на сегодня ставится?

      [ Ответить ]
      • Re: изменения бедренной кости и костей голени
        Отправитель: Gleb Korobushkin 02 Ноябрь 2005, 18:09
        > Это не опечатка? Нет нигде такого слова.

        Campanatsehi-переписал точно.

        > Глеб Владимирович, а какая лечебная задача на сегодня ставится?

        Пациента напугали, что срочно надо оперироваться, пока не произошел патологический перелом.
        А что делать, как делать не объяснили.

        [ Ответить ]
        • Re: изменения бедренной кости и костей голени
          Отправитель: Alexander Chelnokov 02 Ноябрь 2005, 18:12
          k> Campanatsehi-переписал точно.

          Гугл отвечает: Your search - Campanatsehi - did not match any documents. Что говорит о том, что это опечатка, должно быть.

          >> Глеб Владимирович, а какая лечебная задача на сегодня ставится?

          k> Пациента напугали, что срочно надо оперироваться, пока не произошел
          k> патологический перелом. А что делать, как делать не объяснили.

          А кто напугал - может, пусть и оперируют? А по Вашей оценке, где видно ожидаемый патологический перелом? А ножки уравнять он не хочет?

          [ Ответить ]

     

    ( Ответить )

    Powered by Zope  Squishdot Powered MedLink
    Посетитель: 0169426
      "По форме правильно, а по существу - издевательство" В.И.Ленин
    ©2001-2019Orthoforum Coordinator.
    [ Главная | Отправить сообщение | Поиск | Админ ]