AOTRAUMA.ORG Центр Илизарова  

Ортопедия и травматология Общие вопросы/General questions Help Информационные технологии в медицине
 вверх
 отправить
 поиск
 админ
 главная


Повреждение таранной кости
Ортопедия и травматология Отправлено Djoldas Kuldjanov, M.D. 10 Январь 2006, 22:03
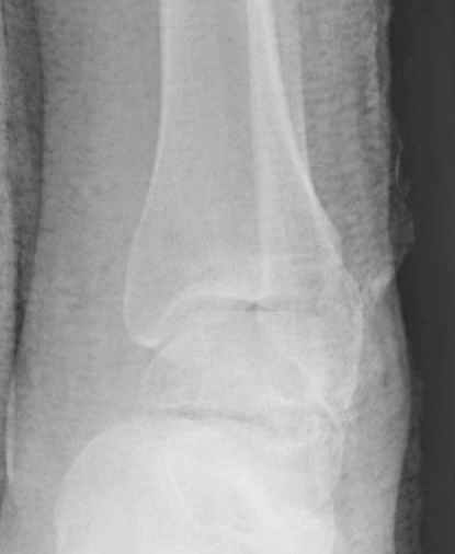
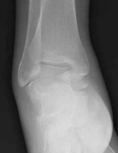
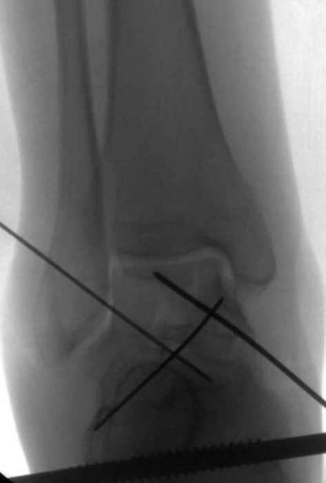
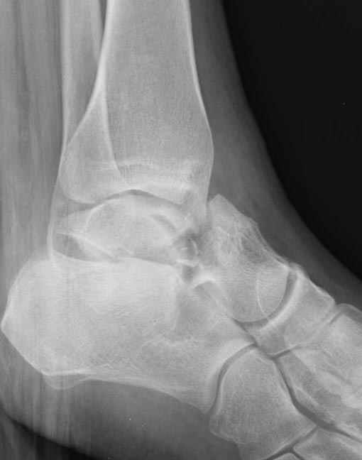
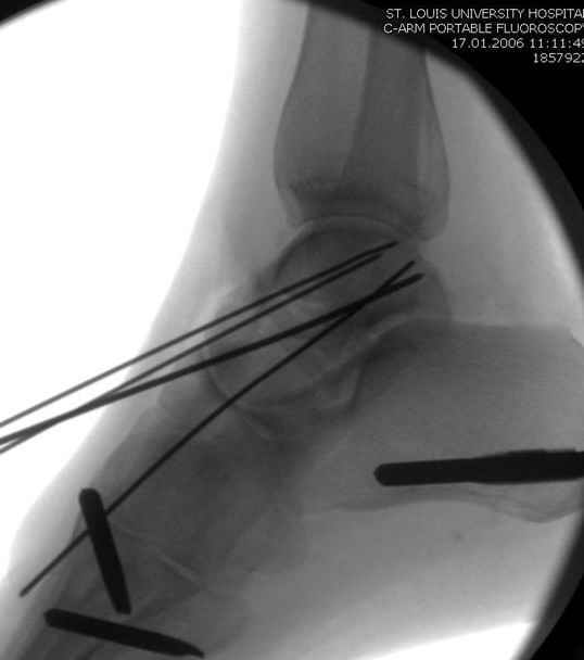
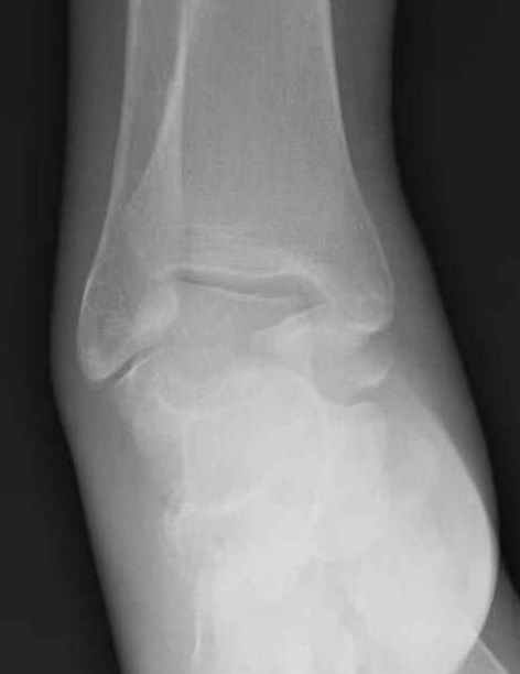
Уважаемые участники русского Ортофорума, поздравляю всех со всеми прошедшими праздниками: Новым годом, Рождеством, Hanukkah, Kwanzaa, желаю участникам всего наилучшего и здоровья.Повреждение таранной кости.Больной 81г автоавария, повреждение таранной кости, здесь снимки.
Какие рекомендации?Djoldas Kuldjanov, MDDepartment of Orthopedic SurgerySt. Louis University Medical Center

<  |  >

 

  • Сообщения о Ортопедия и травматология
  • Также Djoldas Kuldjanov, M.D.
  • Связаться с автором
  • Ответить

    Re: Повреждение таранной кости
    Ерохин А, В, 11 Январь 2006, 00:55
    Вообще то мало данных: торчит ли осколок под кожей, сопутствующая паталогия (атеросклероз, диабет), сколько времени прошло после травмы? Я думаю, что в данном случае можно ограничиться или небольшим вмешательством вплоть до удаления дистального отломка из небольшого разреза, или наложением аппарата с дистракцией переднего отдела стопы в эквинусе, может быть удастся этот отломок и вправить. Опорная функция в любом случае должна сохраниться при любом варианте лечения, не думаю что будет страдать кровоснабжение таранной кости. Я когда то удалил дистальную половину таранной кости, с последующим анкилозированием в тарано-ладьевидном суставе, хотя более опытные товарищи советовали провести астрагалэктомию, но тем не менее тогда результат оказался хороший. Конечно объязательно назначение препаратов улучшающих микроциркуляцию, противоотечная терапия и т.п. Удачи.
    [ Ответить ]

    Re: Повреждение таранной кости
    Evgueny Tschekashkine 12 Январь 2006, 20:42
    Уважаемый Джолдас,

    Спасибо за поздравления и вам здоровья и благополучия в наступившем году!
    В декабре у меня был пациент с политравмой и аналогичным повреждением тарана с подвывихом в таранно- ладьевидном суставе, единственное отличие - отломок головки тарана был меньше по размеру и фрагментирован, поэтому его фиксация была невозможна.
    Для доступа к задне-медиальному суставному фрагменту я выполнил косую остеотомию внутренней лодыжки у её основания -получается хороший доступ к голеностопу, адекватный обзор и возможность восстановить суставную поверхность. фрагмент фиксировал двумя 3,5 мм спонгиозными винтами с неполной резьбой, *утопив* головки винтов в кость. Аналогичная фиксация и двумя тягловыми винтами и внутренней лодыжки. \в качестве альтернативы для
    фиксации фрагмента тарана можно было бы использовать и герберт винты, но по организационным причинам :-(( набора не оказалось под рукой).
    Вывих в таранно-ладьевидном суставе удалось вправить с помощью Howard retractor, используя его в качестве рычага.Сегодня искал в рентген архиве
    послеоперационные снимки, чтобы показать, но тщётно, видимо, больной прихватил их с собой.
    Помимо повреждения тарана у больного был ипсилатеральный перелом ключицы и множественные ребра с гемотораксом, перелом локтевого отростка ( фиксация по Веберу в ту же сессию)с другой стороны, что казалось бы должно было осложнить активизацию с помощью костылей, но невзирая на это, больной начал ходить, приступая на оперированную стопу и попросился на выписку.
    Видимо, интенсивность болей в оперрованной стопе была незначительной или вполне умеренной,позволяющая частично нагружать стопу при ходьбе.
    Повторный осмотр назначил через 2 мес с момента операции. Отдаленных наблюдений такого подхода у меня нет( достаточно редкий тип повреждений таранаHawkins II), но наблюдения в ближайшем послеоперационном периоде выглядели вполне прилично, на мой взгляд.

    Хотелось бы знать, что вы решили для этого пациента (наверняка уже прооперировали)

    Всего доброго,
    Евгений Чекашкин
    [ Ответить ]

    Re: Повреждение таранной кости
    Djoldas Kuldjanov 19 Январь 2006, 22:36


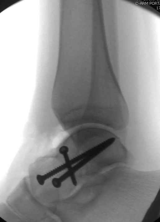
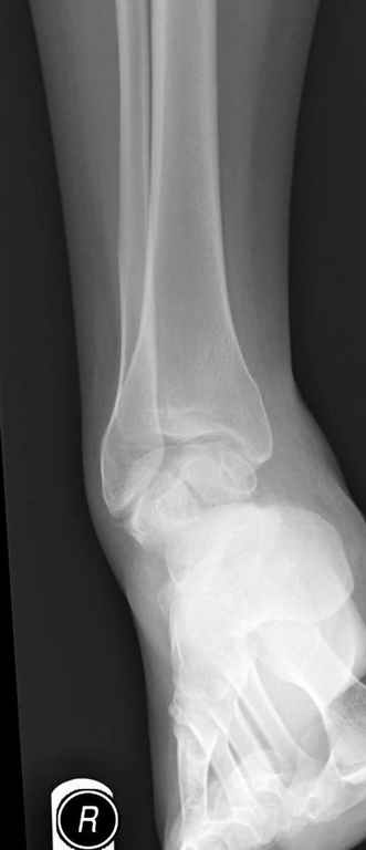
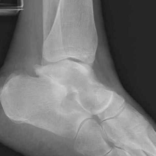
    Вдогонку по поводу перелома таранной кости, больная 81, не страдает диабетом, перелом закрытый, в первый же день поступления ограничились временным наружным фиксатором (как на снимке).
    Планировалась открытая фиксация после спадения отека, но больная пожелала лечиться по месту жительству в другом штате..
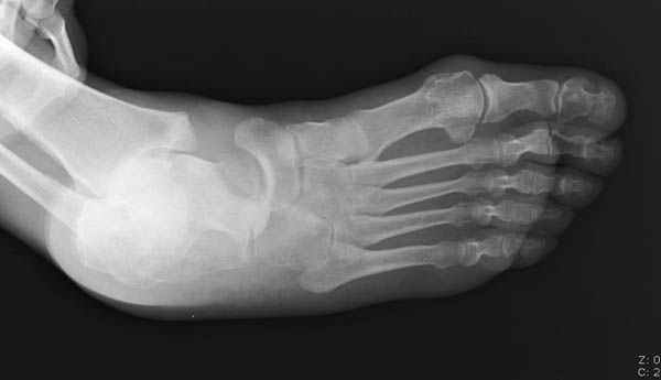
    За пару недель насчитал 5 больных с переломом таранной кости, из них двое с двусторонним повреждением.
    Из-за отека на стопе тактика лечения у всех была
    одинаковая: временная наружная фиксация до спадения отека, при изолированных переломах они выписывались домой и через дней 7 госпитализировались на оперативное лечение.
    Примеры на снимке...

    Djoldas Kuldjanov, MD
    Department of Orthopedic Surgery
    St. Louis University Medical Center
    [ Ответить ]


    ( Ответить )

    Powered by Zope  Squishdot Powered MedLink
    Посетитель: 0006676
      "По форме правильно, а по существу - издевательство" В.И.Ленин
    ©2001-2019Orthoforum Coordinator.
    [ Главная | Отправить сообщение | Поиск | Админ ]