AOTRAUMA.ORG Центр Илизарова  

Ортопедия и травматология Общие вопросы/General questions Help Информационные технологии в медицине
 вверх
 отправить
 поиск
 админ
 главная


огнестрельный перелом
Ортопедия и травматология Отправлено Djoldas Kuldjanov 25 Январь 2006, 02:45
Уважаемые коллеги.
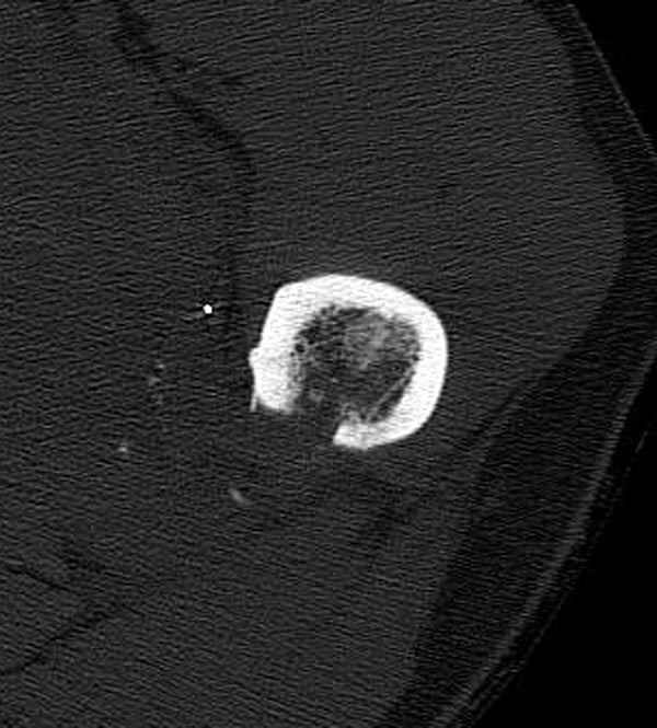
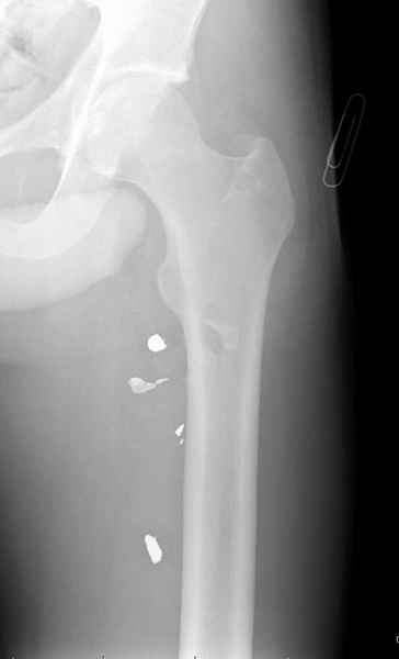
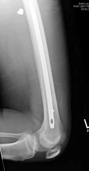
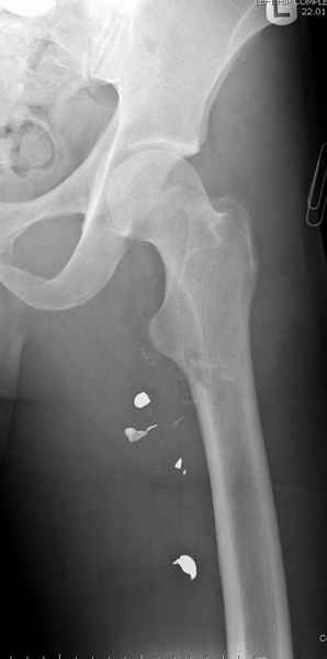
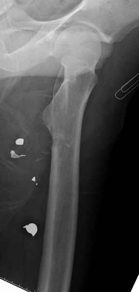
Больной с огнестрельным переломом бедра с вовлечением около 15% медиального кортекса, входное отверстие около 1 см в диаметре; стабильный, без сосудистых и неврологических признаков.
Что делать: гипс, костыли, операция?
Djoldas Kuldjanov, MD
Department of Orthopedic Surgery
St. Louis University Medical Center

<  |  >

 

  • Сообщения о Ортопедия и травматология
  • Также Djoldas Kuldjanov
  • Связаться с автором
  • Ответить

    Re: огнестрельный перелом
    Alexander Artemiev 25 Январь 2006, 08:58
    Здравствуйте, Джолдас.
    Ничего не надо делать.
    Для успокоения души можно дать костыли недели на две...
    С уважением Александр Артемьев
    [ Ответить ]

    Re: огнестрельный перелом
    Найданов В.Ф. 25 Январь 2006, 14:46
    ПХО, антибиотикотерапия. Гоняться за металлом не стоит. Разгрузка конечности до заживления раны.
    [ Ответить ]

    • Re: огнестрельный перелом
      Отправитель: Alexander Artemiev 26 Январь 2006, 02:00
      Не нужна здесь никакая ПХО
      В смысле не нужна была при поступлении.
      А сейчас - тем более...
      Чтобы понятно было зарубежным коллегам, далеким от отечественных
      заморочек, базирующихся на опыте Великой отечественной войны:
      ПХО - это debridment, который выполняется в первые сутки (как
      правило) и направлен на удаление нежизнеспособных тканей и
      соотвтсвенно - профилактику развития инфекции.
      Так вот в данном случае это лишнее.
      Металл удалять не нужно, если нет клинических проявлений
      (сдавление пучка и пр).

      С уважением Александр Артемьев

      [ Ответить ]
    Re: огнестрельный перелом
    Dr. A. Liberson 25 Январь 2006, 22:40
    Dear Dr. Kuldjanov
    It looks to be a low velelocity injury probably a handgun or a pistol. The main considuration is the soft tissue injury and i would say that if their is no soft tissue injury i would not do any surgery except the debridment of the wounds.
    I would not allow wight bearing for a while, lets say a month.
    Dr Liberson
    [ Ответить ]

    Re: огнестрельный перелом
    Сергiй 25 Январь 2006, 22:55
    Мы в нашей клинике назначаем противогангренозную сыворотку,в дополнение к перечисленному.


    [ Ответить ]

    Re: огнестрельный перелом
    Djoldas Kuldjanov 26 Январь 2006, 22:08
    До развала Союза, более 15 лет работая ортопедом, встретил не более 4-5 случаев повреждения кости в результате огнестрельного ранения, и все они были бытовыми, т.е. случайными ранениями во время охоты, или муж в порыве ревности..
    После развала Союза, когда мафиозные братья стали делить сферы влияния, огнестрельные ранения случались уже по одному-два в каждые 3-4 месяца, и более серьёзными скорострельными оружиями.

    Наши приемные отделения (ER), как и во многих больших американских городах, за дежурство иногда обслуживают более 5 случаев огнестрельного ранения, а сколько из них не доходят до приемных отделении госпиталей никто не считает, так что в некоторых кварталах больших городов даже днем невозможно проехать без риска быть ограбленным или получения огнестрельного ранения, как в настоящей
    войне.

    Входные маленькие отверстия от ранении просто игнорируются, никаких дренажей, как любое колотое ранения, они закрываются и были случаи через месяц. Конечно, ведется профилактика открытых ранении: сыворотки и т.д., но еще самое главное уделяем профилактике образования перелома из-за стресса в результате дефекта кортикального слоя.

    Литературные данные о влиянии кортикального дефекта на стрессовые переломы в длинных трубчатых костях в основном встречаются в онкологии, например кортикальный дефект более 50% имеет больше шанса стрессовых переломов, чем в нашем случае.
    Это при нормальном обществе, когда больной понимает риск осложнении и следует врачебным рекомендациям, с пониманием относится к осложнениям, принимая вину на себя и без адвокатов...


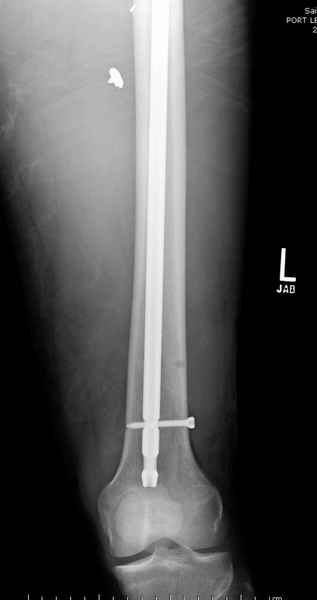
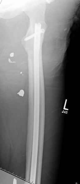
    Учитывая, что больной получил травму не во время визита в церковь, и он является одним из представителем 40 миллионного “outstanding itizen”, без медицинской страховки, без работы в свои 39 лет, и без надлежающей ортопедической дисциплины у которого отсутсвует страх стрессового перелома, было рекомендовано оперативное лечение: профилактическое антеградное интрамедуллярное штифтование.



    Выглядит агрессивно, и обычно госпиталь, беря финансовые расходы, остается в убытке, но мы всё же посчитали, что издержки от штифтования намного меньше, чем возможные финансовые и моральные издержки лечения таких больных, но с осложнением.

    Методика штифтования при отсутствии большой зоны перелома как при онкологических профилактических штифтованиях, расверливание интрамедуллярного канала проводим с предварительным наложением дополнительного дренажного отверстия в дистальном отделе бедра (в данном случаи в канале оставили 6.5 мм канюлированный шуруп), иначе при создании давления в канале во время сверления имеется опасность эмболизации легочной артерии тромбом.


    Djoldas Kuldjanov, MD
    Department of Orthopedic Surgery
    St. Louis University Medical Center
    [ Ответить ]

    Re: огнестрельный перелом
    Далер Султанбеков 27 Январь 2006, 13:04
    Уважаемый Джолдас,

    К большому сожалению мы имеем большой опыт лечения повреждений такого рода.

    На все 100% согласен с господином Артемьевым.

    С уважением,
    Султанбеков Далер
    Клиническая Больница Скорой Помощи г. Владикавказа
    [ Ответить ]

    Re: огнестрельный перелом
    Castro 28 Январь 2006, 15:35
    Zdrastvuete Dr. Djoldas Kuldjanov,
    Na moi vzglad', shteftovanie takogo pereloma bolee opasnaya procedura, chem samoe pervichnnoe povrezdene, esli dazhe eto bilo sdelano s tselyu profilaktiky polnogo pereloma bedra "later on", potomu chto vozmoznye oslozhnenia, kuda bolee opasnye chem perelom bedra, v takom sluchae "ne dai bog" tochno bolnisa poneset serioznye materialnye ubytky..

    Dr. Castro - Jordan

    [ Ответить ]

    • Re: огнестрельный перелом
      Отправитель: Курышев Данила 12 Февраль 2006, 01:49
      Ну, откатали методику на бомжике. Насветились под ЭОПом! Даже блокирующие шурупы поставили! Во что обошлась операция? А зачем тогда на форум выносить вопросы?
      С уважением и пожеланием успехов!
      Если не трудно, покажите катамнез.

      [ Ответить ]
      • Re: огнестрельный перелом
        Отправитель: Alexander Chelnokov 13 Февраль 2006, 18:10
        КД> Ну, откатали методику на бомжике. Насветились под ЭОПом! Даже
        КД> блокирующие шурупы поставили! Во что обошлась операция?

        Как было сказано, обошлось много дешевле, чем лечение весьма вероятных неприятностей в случае отказа от провизорной фиксации.

        КД> А зачем тогда на форум выносить вопросы?

        Полагаю, следует выразить признательность доктору Кульджанову и за эту, и за другие его презентации интересных стиуаций. А также всем, кто принимает участие в обсуждении. Как мнимум, это расширяет
        профессиональный кругозор. Да и полезно иной раз вспомнить о том, что мир велик, и существуют и успешно применяются подходы, которые нам могут представляться не то что неправильными, а даже просто немыслимыми.

        [ Ответить ]

     

    ( Ответить )

    Powered by Zope  Squishdot Powered MedLink
    Посетитель: 0007954
      "По форме правильно, а по существу - издевательство" В.И.Ленин
    ©2001-2019Orthoforum Coordinator.
    [ Главная | Отправить сообщение | Поиск | Админ ]