ВХОД ДЛЯ ПАЦИЕНТОВ
вверх
поиск
админ
главная
исходное
|
Re: [1/3] Перелом проксимального бедра
послал Djoldas Kuldjanov 01 Май 2006, 17:56
|

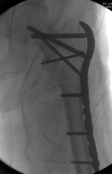
Применили проксимальную Synthes Locking plate, из-за множественных фрагментов посчитали более приемлемым в этом случае (клиника университетская, резиденты должны имет возможность созерцать разные варианты остеосинтеза).
Также старался минимизировать доступ на уровне перелома с субвастус доступом, диафиз фиксирован перкутанно, не стали гонятся за малым вертелом, как смог зафиксировал.
Djoldas Kuldjanov, MD
Department of Orthopedic Surgery
St. Louis University Medical Center
|
| Послать ответ |
Обратите внимание: Поля с жирными названиями обязательны.
Старайтесь отвечать в рамках обсуждаемой темы, а не начинать новые обсуждения.
Указывайте адекватную тему сообщения, чтобы было ясно, о чем оно.
Не послайте сообщений не по теме (оффтопик), раздраженных, грубых или обидных комментариев. Здесь это неуместно.
|