Ответить
|
Re: [3/3] Перелом проксимального бедра
Алексей Семенистый 29 Апрель 2006, 02:28
|
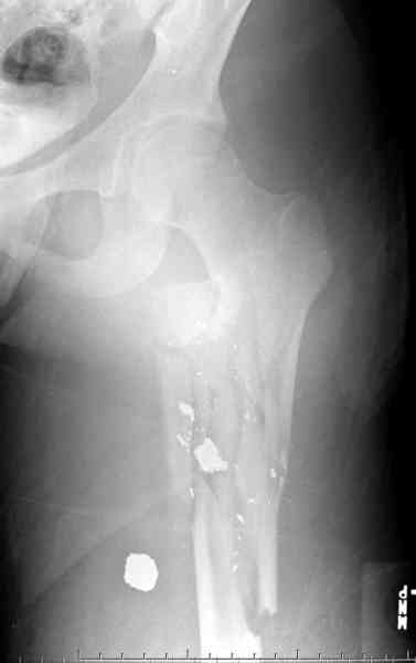
Богатый "урожай". Тяжелое дежурство..
3-й случай самый тяжелый и неоднозначный. Что с ранами? общим состоянием?
В общем виде: если гноя нет, то интрамедуллярный остеосинтез (длинным PFN, TGN..., хотя, малоинвазивный накостный остеосинтез мостовидной пластиной тоже возможен)и после этого ревизия седальщного нерва. Если внутренний остеосинтез невозможен или слишком рискован из-за состояния раны и общего состояния, то как этап - наружная фиксация...
Тактика зависит от состояния мягких тканей. Что с ними?
|
[
Ответить ]
|
Re: [3/3] Перелом проксимального бедра
Каминский Андрей 29 Апрель 2006, 08:36
|
Было бы неплохо еще узнать сроки после ранения и состояние мягких тканей.
Учитывая протяженность разрушения кости, на мой взгляд, целесообразно использовать спицестердневой аппарат внещней фиксации.
Крупный и неповрежденный проксимальнвй фрагмент пригоден для формирования стержневой базы а в дистальном отделе можно установить 2 кольцевые опоры со спицами. Такая компоновка оставит интактной зону повреждения, позволит сохранить ось и длину конечности, осуществлять метное лечение и создаст условия для ранней активизации пациента.
Инородные тела по возможности бы удалить, ну и бороться и бороться с инфекцией. Успехов.
|
[
Ответить ]
|
Re: [3/3] Перелом проксимального бедра
Alexander Chelnokov 29 Апрель 2006, 15:24
|
Вот же битому неймется. Перелом вроде от низкоскоростного оружия, так что можно первично заштифтовать. Насчет тут же ревизии и шва нерва - в отсроченном периоде будет и визуально и пальпаторно все яснее, будет видна демаркация. Так что после заживления ран - к нейрохирургам, пусть ревизуют и восстанавливают нерв.
|
[
Ответить ]
|
Re: [3/3] Перелом проксимального бедра
Отправитель: Александр Ельцин 30 Апрель 2006, 22:46
|
Уважаемый Александр, выскажу свое мнение. Не очень корректно Ваше высказывание "Насчет тут же ревизии и шва нерва - в отсроченном периоде будет и визуально и пальпаторно все яснее, будет видна демаркация. Так что после заживления ран - к нейрохирургам, пусть ревизуют и восстанавливают нерв".
С видом повреждения седалищного нерва надо определяться в срочном порядке, от этого зависит и тактика лечения: а вариантов немало, да и мероприятия ортопедического и хирургического плана надо начинать в самые ранние сроки!
А если ждать заживления, а потом отправлять к нейрохирургам, - "грош цена" Вашему остеосинтезу, если у больного будет афунциональная конечность, или трофические язвы на пятке или "степаж" и т.д.
Надо лечит больного, а не перелом бедра!
Александр Ельцин
|
[
Ответить ]
|
Re: [3/3] Перелом проксимального бедра
Отправитель: Alexander Chelnokov 01 Май 2006, 23:38
|
> Не очень корректно Ваше высказывание "Насчет тут же ревизии и шва
Ну простите уж меня.
> С видом повреждения седалищного нерва надо определяться в срочном
> порядке, от этого зависит и тактика лечения: а вариантов немало, да и
А можно чуть подробнее, что имеется ввиду? Предположим, пуля прошла прямо сквозь нерв, он поврежден напрочь, и есть дефект сантиметра 3.
Какие еще "немало вариантов" повреждения подразумеваются, и что даст неотложная ревизия?
> А если ждать заживления, а потом отправлять к нейрохирургам, - "грош
> цена" Вашему остеосинтезу, если у больного будет афунциональная
> конечность, или трофические язвы на пятке или "степаж" и т.д.
А почему она у него будет, если больного через несколько недель сдать нейрохирургам?
> Надо лечить больного, а не перелом бедра!
В качестве лозунга это не вызывает возражений, но что конкретно это означает применительно выпадения функции крупного нерва после огнестрельного ранения конечности? А после закрытого перелома?
|
[
Ответить ]
|
|
Re: [3/3] Перелом проксимального бедра
Batal 01 Май 2006, 00:42
|
Складывается впечатление,что никто не знаком с военно-полевой хирургией. А она гласит, что огнестрельная рана первично инфицирована и все манипуляции по стабилизации репонирования перелома должны проводится с помощью аппаратов внешней фиксации. Использование металлоконструкции для "внутренного" остеосинтеза (накостного, интрамедуллярного) очень сильно повышает риск развития остеомиелита.
|
[
Ответить ]
|
Re: [3/3] Перелом проксимального бедра
Отправитель: Алексей Семенистый 01 Май 2006, 13:15
|
Складывается впечатление, что все все знакомы с огнестрельными переломами мирного времени.
Вообще любая рана кроме хирургической является первично инфицированной.
Очень сильно повышает риск развития остеомиелита при любом открытом переломе не "внутренняя" фиксация, а неадекватная первичная хирургическая обратотка и нестабильная фиксация, будь-то наружная или внутренняя.
|
[
Ответить ]
|
Re: [3/3] Перелом проксимального бедра
Отправитель: Alexander Chelnokov 01 Май 2006, 13:54
|
> Складывается впечатление,что никто не знаком с военно-полевой
> хирургией. А она гласит, что огнестрельная рана первично
Тут правильнее говорить не о знакомстве с современной ВПХ, а об устаревших догмах.
> инфицирована и все манипуляции по стабилизации репонирования
> перелома должны проводится с помощью аппаратов внешней фиксации.
Это остается справедливо, насколько я знаю, 1)для массового поступления раненых, 2)для высокоскоростных ран (винтовка, автомат).
> Использование металлоконструкции для "внутренного" остеосинтеза
> (накостного, интрамедуллярного) очень сильно повышает риск развития
При гражданских низкоскоростных пистолетных ранениях первичная внутренняя фиксация, в частности, закрытый интрамедуллярный остеосинтез, применяется давно и успешно.
=========================================
Injury. 1995 May;26(4):257-9.
Immediate intramedullary nailing of femoral shaft fractures due to gunshots.
Nicholas RM, McCoy GF.
Fracture Clinic, Royal Victoria Hospital, Belfast, Northern Ireland, UK.
With increasing violence in our society, the number of gunshot fractures is likely to increase. Fourteen femoral fractures caused by gunshot injuries were treated with statically locked intramedullary nailing within 8 h of injury.
Three patients had concomitant femoral arterial injuries. At follow-up (average 22 months) the results were assessed using a standardized grading system.
Thirteen fractures had progressed to stable bony union and there were no deep infections. Nine fractures had an excellent outcome and four a good outcome. One fracture was graded as a poor outcome because of a non-union which was treated with an exchange nailing procedure and progressed to bony union. Our experience of immediate intramedullary nailing of gunshot femoral fractures has yielded
results which approximate to those observed in treating closed femoral fractures. We would therefore recommend this as the treatment of choice in fractures of the femoral shaft caused by gunshots.
=========================================
|
[
Ответить ]
|
|
Re: [3/3] Перелом проксимального бедра
Djoldas Kuldjanov 01 Май 2006, 11:49
|

Молодой, с общим состоянием без проблем. Больной соперирован в день поступления и через два дня после операции выписан, так что не успел развиться гной.
Перелом низкоскоростным оружием, типа пистолетного, так что не стали гоняться за пулевыми фрагментами. С нервом пока подождем, иногда нерв восстанавливается если не прямое попадание в нерв, а "сотрясение" (shock wave injury).
Из всех типов фиксации взяли малоинвазивную технику мостовидной пластиной, использовали Locking проксимальную Synthes пластину.
Djoldas Kuldjanov, MD
Department of Orthopedic Surgery
St. Louis University Medical Center
|
[
Ответить ]
|
Re: [3/3] Перелом проксимального бедра
Отправитель: Alexander Chelnokov 01 Май 2006, 23:59
|
> оперирован в день поступления и через два дня после операции
> выписан, так что не успел развиться гной.
Вот он, "волчий оскал капитализма" - через два дня несчастного выкинули из больницы! Отличный повод для пропаганды. А серьезно - каково дальнйшее ведение этого пациента? Кто и где будет присматривать за раной, восстановительным периодом? Что, если гной, не приведи Бог, все-таки появится? Когда и кто примет решение о ревизии нерва?
> гоняться за пулевыми фрагментами. С нервом пока подождем, иногда нерв
> восстанавливается если не прямое попадание в нерв, а "сотрясение"
Вообще, у вас в клинике, как видно, проходит много огнестрелов - на чем основана тактики при повреждениях нервов, и в чем она состоит?
Спасибо!
|
[
Ответить ]
|
|
Re: [3/3] Перелом проксимального бедра
Djoldas Kuldjanov, M.D. 02 Май 2006, 19:01
|
Спасибо всем за участие и комментарии.
Огнестрельными повреждениями не бедны, за прошлый год 350, а сколько их не доходят до нашего госпиталя...?
|
[
Ответить ]
|
( Ответить )
|
|