AOTRAUMA.ORG Центр Илизарова  

Ортопедия и травматология Общие вопросы/General questions Help Информационные технологии в медицине
 вверх
 отправить
 поиск
 админ
 главная


Перелом вертлужной впадины, вывих и перелом бедра - через 1 мес.
Ортопедия и травматология Отправлено Maxim Agalakov 24 Июль 2006, 21:21
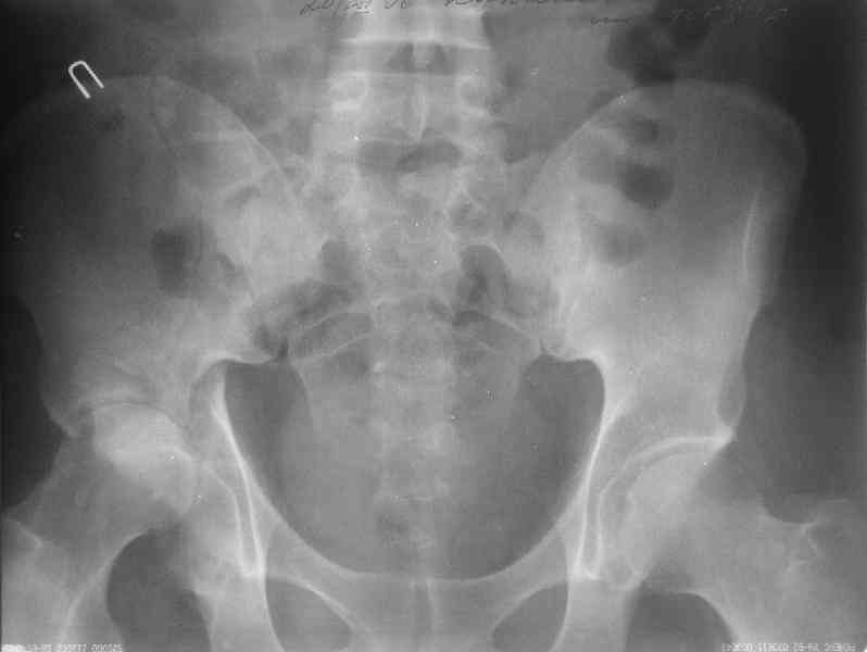
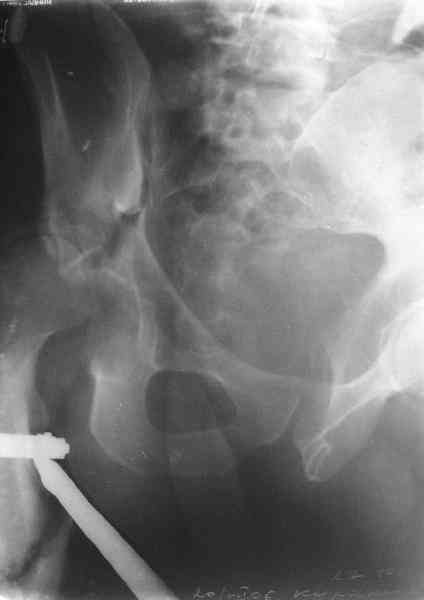
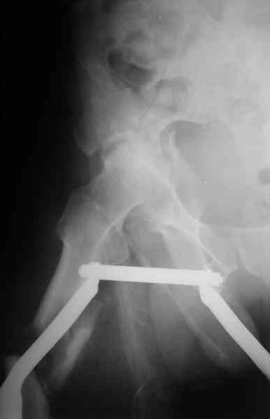
Уважаемы коллеги! Поступил непростой больной 24 лет через 1 месяц после травмы (фото в приложении). Кроме перелома правой вертлужной впадины, перелома и вывиха этого же бедра имеются переломы диафиза правой плечевой кости, диафиза правой локтевой кости, диафизов обеих костей левого предплечья.
Неврологии со стороны нижних конечностей нет. Планируем первым этапом выполнить ЗИМО длинных трубчатых костей. Вопросы: 1. имеет ли смысл в эти сроки идти на остеосинтез вертлужной впадины и вправление вывиха или планировать первичное эндопротезирование? 2. Есть у кого-нибудь ссылки или другая информация по поводу исходов лечения переломов вертлужной впадины, сопровождающихся вывихом головки бедра в разные сроки (буду очень признателен, если поделитесь)?A male 24 y.o, admitted to our unit today 1 month post injury - images attached. Except ipsilateral acetabular fx, femoral shaft fx and hip dislocation also he has shaft fxs of right humerus and ulna, left radius and ulna. No neurological deficits after the hip dislocation. At first we plan closed nailing of all long bones. Questions are regarding the acetabular fx + dislocation. With the 1 month of exposition and obvious callus everywhere does it make sense to attempt ORIF of the acetabulum with hip reduction, or primary THA should be considered? Does anybody have references on outcomes after delayed surgeries for acetabular fx + hip dislocation depending on duration of the delay? С уважением Максим Агалаков, УНИИТО Е-бург.

<  |  >

 

  • Сообщения о Ортопедия и травматология
  • Также Maxim Agalakov
  • Связаться с автором
  • Ответить

    Re: Перелом вертлужной впадины, вывих и перелом бе
    Chip Routt 24 Июль 2006, 23:53
    Letournel's book is a good start... there have been follow up manuscripts as well.
    [ Ответить ]

    • Re: Перелом вертлужной впадины, вывих и перелом бе
      Отправитель: Alexaander Chelnokov 25 Июль 2006, 00:34
      THX for the reply.

      > Letournel's book is a good start...

      Not available.

      > there have been follow up manuscripts as well.

      I strongly suspect so. Could you pls add any reference about a follow up study on delayed reconstruction in acetabular fx + hip dislocation? I failed to find a one.

      And what conclusion can be extracted from the manusripts - what should be common approach in such a situation?

      What would you do with this patient in your settings?
      THX.

      [ Ответить ]
      • Re: Перелом вертлужной впадины, вывих и перелом бе
        Отправитель: Chip Routt 25 Июль 2006, 09:38
        Maybe someone else can get the book for you.... try Chapters 23-26 to start.

        You can access by Internet several articles which describe more problems and complications related to late presentation ORIF as with reoperation after ORIF failures...try PubMed.

        For your presented patient, I'd most likely treat him with ORIF.

        Chip


        [ Ответить ]
      • Re: Перелом вертлужной впадины, вывих и перелом бе
        Отправитель: Rahul Banerjee 25 Июль 2006, 09:39
        Letournel's book is available now. For years it was out of print, but it has been reprinted!


        Rahul Banerjee
        El Paso, TX

        [ Ответить ]
      • Re: Перелом вертлужной впадины, вывих и перелом бе
        Отправитель: Dr. V.M.Iyer 25 Июль 2006, 09:54
        Dear Alex,

        I have not a big experience nor have I studied extensively on acetabular fractures. From my
        theoritical knowledge and hearing others with more experience

        >>> does it make sense to attempt ORIF of the acetabulum with hip reduction, or primary THA should be considered?

        It makes sense to fix the acetabulum even if it is one month old. The acetabulum would be better
        suited for future THA

        I assume that the patient has been on skeletal traction in the past one month

        Dr V M Iyer
        Solapur.India

        [ Ответить ]
      • Re: Перелом вертлужной впадины, вывих и перелом бе
        Отправитель: Abdelsalam Eid 25 Июль 2006, 10:25
        I have just been to a meeting where we were given a lecture by a man considered to be the top authority on acetabular frx in Egypt. He said that acetabular reconstruction was worthwhile even "up to 3 months". He did not say of course that it would be something easy, but that he did it this way. Even if problems develop later in the hip, it would be a near normal anatomy, easier to reconstruct by THR if the need arises.
        He also said that primary THR in such cases gave universally bad results. Of course I have no reference but you may consider this a "personal communication". ;-)

        Now, to my own opinion. I believe that this is a Transverse + Posterior wall fracture type.
        The transverse element does not seem so much displaced, and now after 1 month I believe it will be extremely difficult to mobilize and reduce. So I suggest you get a CT to check for incarcerated fragments, a high possibility in this unreduced dislocation. Then you open posteriorly, Kocher Langenbeck, with the patient prone, extract any incarcerated frgments, reduce the hip, fix the posterior wall by screws, and then apply a contoured reconstruction plate from the iliac wing to the ischium. This plate will hold the ransverse element, as well as buttress the posterior wall fragment(s).

        Good luck and keep us posted.


        Dr Abdelsalam EID M.D., AFSA (Paris V)
        AO Fellow
        Lecturer of Orthopedic Surgery
        Faculty of Medicine, Zagazig University,
        Egypt.

        [ Ответить ]
    • Re: Перелом вертлужной впадины, вывих и перелом бе
      Отправитель: Maxim Agalakov 25 Июль 2006, 00:35
      Thank you, quite right as usual.


      [ Ответить ]
    Re: Перелом вертлужной впадины, вывих и перелом бе
    Anton Vakulenko 25 Июль 2006, 09:29
    Нужно попробовать сохранить этому очень молодому пациенту его родной сустав. В будущем, конечно, возникнет АНГБК и коксартроз, однако как с
    ним справится молодой организм - неизвестно. Может быть, эндопротезирование и не потребуется... Как известно, протезировать никогда не поздно! :)
    [ Ответить ]

    • Re: Перелом вертлужной впадины, вывих и перелом бе
      Отправитель: Maxim Agalakov 25 Июль 2006, 16:10
      >В будущем, конечно, возникнет АНГБК и коксартроз,

      В этои-то и вопрос, на мой взгляд шансы быстрого развития АНГБ и коксартроза очень велики, оперативное вмешательство в такие сроки будет очень травматично и хорошая репозиция будет сложнодостижима (учитывая размеры периостальной реакции на бедре).

      >Как известно, протезировать никогда не поздно!

      Да, но результаты разные, -

      -Long-Term Outcome of Secondary
      Joint Replacement after Acetabular Fracture
      Michael R. Sarkar, Emanuel Billharz, Nikolaus Wachter, Lothar Kinzl, Mark Bischoff1
      ,Eur J Trauma 2001;27:301-8



      [ Ответить ]
    • Re: Перелом вертлужной впадины, вывих и перелом бе
      Отправитель: Anton Vakulenko 25 Июль 2006, 16:14
      > Да, но результаты разные, -
      >
      > -Long-Term Outcome of Secondary Joint Replacement after Acetabular
      > Fracture Michael R. Sarkar, Emanuel Billharz, Nikolaus Wachter,
      > Lothar Kinzl, Mark Bischoff1 ,Eur J Trauma 2001;27:301-8


      Максим, врядли стоит так уж сильно доверять всему, что написано ;)
      Бумага, как говорится, и у нас, и у буржуев все стерпит. Там тоже есть диссертанты и все с этим связанное. ;)
      Будь парень лет на 10 старше - никто бы не возражал против протеза. Но делать его в 24 года как-то руки не поднимаются. Да, риск артроза ОЧЕНЬ
      высокий, но ведь на 100% нельзя сказать, что боли будут невыносимыми, а функция минимальной! А вот в случае протеза можно на 100% утверждать,
      что одной ревизии больному на всю его жизнь не хватит со всеми вытекающими последствиями.
      Мне кажется, решение в этом случае должны принимать не мы, а больной (после популярного объяснения ему всех за и против)...

      [ Ответить ]
      • Re: Перелом вертлужной впадины, вывих и перелом бе
        Отправитель: Maxim Agalakov 25 Июль 2006, 16:16
        >Мне кажется, решение в этом случае должны принимать не мы, а больной
        (после популярного объяснения ему всех за и против)...


        так и поступим, но все равно в любом объяснении большая доля субъективизма врача.

        Спасибо за внимание к нашему случаю, вроде бы нашел интересующую информацию у Letournel по любезной
        рекомендации Chip Routt.

        Всего наилучшего.

        [ Ответить ]
    Re: Перелом вертлужной впадины, вывих и перелом бе
    Юрий Алексеевич Булахтин 25 Июль 2006, 16:35
    Уважаемый Максим!

    Из своего скромного опыта лечения переломо-вывихов в тазобедренном суставе случаев, успешных в плане долгой жизни головки, не имею. Одно наблюдение как-то представлял на форум - как только начиналась нагрузка головка рассасывалась в течении месяца.
    Правда и таких молодых пациентов у меня не было. Но всегда хочется попробовать сохранить - а вдруг в этот раз повезет. Согласен с коллегами, советующими оперировать впадину с целью создания лучшей анатомии для последующего протезирования. Кстати, с учетом возраста больного я поставил бы шеечный протез (ТРР), чтобы максимально сохранить костную массу бедренной кости для (неизбежных?) грядущих ревизий.


    [ Ответить ]

    Re: Перелом вертлужной впадины, вывих и перелом бе
    Anatoly F. Lazarev 26 Июль 2006, 21:58
    Привет, Максим. Остеосинтез бедра, внутритазовый остеосинтез вертлужной впадины (как кочешь, но лучше сделать. Закрытое вправление головки после о/с бедра - вытяжение в отведении и ангиграфия головки - при сохраненной перфузии (в чем я очень сомневаюсь) пластика заднего края при нестабильности - артрориз из гребня на мышечной ножке. При отсутствие перфузии головки более простая операция: резекция головки таким образом, чтобы седловидное образование между шейкой и большим вертелом как раз ложилось под крышу впадины (в норме этому мешает головка) и самое главное - пропускаешь из подвертельной области через середину шейки ксеносвязку вместо круглой (капрон, мерсилен ларс и пр.) и фиксируешь винтом
    Куросавы в тело лобковой кости перед слезой, затем натягмваешь связку, внедряешь культю головки под крышу и фиксируешь второй конец в подвертельной области. Т.о. упрощенный сустав блоковидно костыльный - сгибане и разгибание, приведение и отведение. Неоартроз - нет
    сустава - нет болей. ; ненедли пост. режим в отведении с работой мышцами, да еще надо переместить прикрепление ягодычной мышцы несколько дистальнее - т.е. подшитьее в отведении и при легкой внутренней ротации. После активного укрепления мышц подьем на ноги с частичной опорой ноги на ширерне плеч еще 4 недели, затем формирование нормальной походки с костылями с увеличением нагрузки за 4 недели.
    Вкратце так. Успехов ЛАФ. Да укорочения не будет, если будет хорошая репозиция в/впадины. Не всем надо ставить протезв. особенно TPP.

    С уважением,
    Anatoly

    [ Ответить ]

    • Re: Перелом вертлужной впадины, вывих и перелом бе
      Отправитель: Maxim Agalakov 26 Июль 2006, 21:59
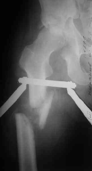
      Здравствуйте Анатолий Федорович. Сегодня заситезировали этопу пациенту длинные трубчатые кости. В отношении вертлуги мы остановились на остеосинтезе вертлужной впадины из доступа Кохер -Лангенбек. Необходимость (и возможность) закрытого вправленя через месяц представляется сомнительной - даже если удастся - судьбу головки
      это вряд ли изменит в лучшую сторону, а если вправить, то на нее будет осуществляться давление отломком,связанным с осевым скелетом. В дальнейшем, если возникнут ожидаемые проблемы с АНГБ, коксартрозом, вернямся к этому больному. (описанную вами операцию надо хоть посмотреть разок, наверняка есть какие-нибудь тонкости).
      Спасибо за интерес к дискуссии, с уважением Максим Агалаков.

      [ Ответить ]

     

    ( Ответить )

    Powered by Zope  Squishdot Powered MedLink
    Посетитель: 0000065
      "По форме правильно, а по существу - издевательство" В.И.Ленин
    ©2001-2019Orthoforum Coordinator.
    [ Главная | Отправить сообщение | Поиск | Админ ]