AOTRAUMA.ORG Центр Илизарова  

Ортопедия и травматология Общие вопросы/General questions Help Информационные технологии в медицине
 вверх
 отправить
 поиск
 админ
 главная


Оскольчатый перелом плеча
Ортопедия и травматология Отправлено Maxim Agalakov 17 Август 2006, 13:53
Здравствуйте, уважаемые коллеги. Обратилась пожилая пациентка 60 лет через 2 нед после травмы. Ваше мнение по тактике лечения?
Мы планируем закрытый интрамедуллярный остеоинтез, но к единому мнению пока не пришли.

<  |  >

 

  • Сообщения о Ортопедия и травматология
  • Также Maxim Agalakov
  • Связаться с автором
  • Ответить

    Re: Оскольчатый перелом плеча
    Djoldas Kuldjanov 17 Август 2006, 14:00
    Доминирующая ли рука и какая профессия?

    Если выбор на интрамедулярный штифт, я бы сделал КТ головки, информация необходима для определения вовлечения головки в перелом, имеется опасность
    расколочения и для ориентира расположения блокирующих шурупов.

    Другой вариант, небольшой гипс на локтевой сустав как груз для тракции, повязкой за кисть выше-вниз можно контролировать сгибание и разгибание на место перелома, небольшая отводящая подушка в живот (у женщин молочная железа в зоне перелома
    создает варус)сделать ренген снимки через одну недели. Перелом низкоэнергетический, может быть, без операции обойдется.
    [ Ответить ]

    • Re: Оскольчатый перелом плеча
      Отправитель: Maxim Agalakov 17 Август 2006, 14:03
      "Рука не доминирующая, но тоже нужна" - А.Н. Челноков. Больная уже лечилась консервативно в гипсовой повязке и на вытяжении, в настоящее время настаивает на оперативном лечении.

      > перелом, имеется
      > опасность
      > расколочения и для
      > ориентира
      > расположения
      > блокирующих шурупов


      Есть и другие косые снимки, на которых не определяется вовлечение головки, если успеем - сделаем КТ. Спасибо за интерес к нашему случаю.

      [ Ответить ]
    Re: Оскольчатый перелом плеча
    tigran 18 Август 2006, 04:31
    mozhet vozmozhno apparat Ilizarova nalozhit?
    mi pokhochuiu operatsiiu odnazhdi delali ..
    [ Ответить ]

    Re: Оскольчатый перелом плеча
    Sergey Melashenko 20 Август 2006, 21:54
    Ув. коллеги. Интересно, насколько разрушена головка, особенно ее артикулирующая поверхность, может для начала сделать КТ головки.
    На счет операции - стоит ли ее вообще делать, куда Вы собираетесь забить стержень, на расколете ли головку, если она еще целая. В любом случае Вы
    не добъетесь стабильной фиксации, прийдеться иммобилизировать где-то на месяц. Вопрос: какова будет функция после травматичной операции, а она
    имеенно таковой будет и последующей иммобилизации. ВЧКДО сделать не получиться - не за что зацепиться.

    Предлагаю вести больную на функциональной гипсовой повязке по Сармиенто. Под собственной тяжестью предплечья и н/3 произойдет постепенная тракция
    плеча по оси с последующей самопроизвольной репозицией и сращением.
    Причем в плечевом и локтевом суставах будут сохраняться небольшие движения, стимулирующие кровообращение и, соответственно, сращение.
    Главное в последующем заняться хорошей реабилитацией.
    У меня был примерно похожий случай, веду консервативно, уже занимаюсь ЛФК. Динамика хорошая. Завтра вышлю снимки.

    Благодарю за внимание.

    С ув. Сергей Мелашенко,
    Приморск, Запорожская обл.
    Ukraine
    [ Ответить ]

    • Re: Оскольчатый перелом плеча
      Отправитель: Maxim Agalakov 20 Август 2006, 22:18
      > В любом случае Вы
      > не добъетесь стабильной фиксации, прийдеться иммобилизировать где-то на
      > месяц. Вопрос: какова будет функция после травматичной операции, а она
      > имеенно таковой будет и последующей иммобилизации. ВЧКДО сделать не
      > получиться - не за что зацепиться.


      Почему ЗИМО стал травматичным и нестабильным? иммобилизация не планируется, максимум- косыночной повязкой на пару недель.

      > Предлагаю вести больную на функциональной гипсовой повязке по Сармиенто.

      по-иоему метод Сармиенто имеет ограничения как раз для таких переломов

      > Под собственной тяжестью предплечья и н/3 произойдет постепенная тракция
      > плеча по оси с последующей самопроизвольной репозицией и сращением.


      диафизарный компонет - возможно, головка - вряд ли

      > Причем в плечевом и локтевом суставах будут сохраняться небольшие
      > движения, стимулирующие кровообращение и, соответственно, сращение.


      попытаемся сохранить возможность выполнения полного объема движений

      С уважением,
      Максим Агалаков

      [ Ответить ]
    • Re: Оскольчатый перелом плеча
      Отправитель: Alexaander Chelnokov 20 Август 2006, 22:22
      > Ув. коллеги. Интересно, насколько разрушена головка, особенно ее
      > артикулирующая поверхность, может для начала сделать КТ головки.


      По нескольким снимкам в чуть разых проекциях она не фрагментирована. А если и были трещины, за прошедшие 3 недели они "слиплись", очевидно. А КТ если сделаем - еще можем испугаться увиденного :-)

      > На счет операции - стоит ли ее вообще делать,

      Тетушка хоть и имеет родственников, но живет одна, так что ей хочется побыстрее стать независимой в самообслуживании.

      > куда Вы собираетесь забить
      > стержень, на расколете ли головку, если она еще целая.


      Стержень, понятное дело, надо в плечо поместить. Расколоть можно, но можно и принять меры, чтобы избежать этого - аккуратно подготовить канал в головке, ввести несколько временных спиц...


      >В любом случае Вы
      > не добъетесь стабильной фиксации, прийдеться иммобилизировать где-то на
      > месяц.


      Стабильность тут в основном зависит от дизайна фиксатора. Если в головке будет несколько винтов под разными углами, то иммобилизация не нужна. Хотели использовать длинный T2 PHN Stryker, но в наличии пока есть только короткие, 150 мм.
      "Деост" обещал в июле еще проксимальные плечевые гвоздики - тоже пока нету.. Придется выходить из положения как-то.

      > Вопрос: какова будет функция после травматичной операции, а она

      Операция не сильно травматичная, 3-4 разрезика по 0,5-1 см. Функция, увы, зависит не только от фиксатора и хорошей операции. Без своевременной разработки иной раз на ровном месте контрактуру можно в итоге увидеть.

      >ВЧКДО сделать не
      > получиться - не за что зацепиться.


      В головку тут можно провести несколько спиц с упорами. Но аппарат тут будет немногим лучше вытяжения на отводящей шине.
      А у пожилых, бывает, от тяжести аппарата плечо из сустава вытягивается. И пациентка из области, отпускать вдаль в аппарате - чревато, держать в стационаре до сращения - прошло то время, ездить к нам еженедельно - накладно.

      > Предлагаю вести больную на функциональной гипсовой повязке по Сармиенто.

      Возможный вариант, хотя за последнее время несколько несращений плеча пришлось оперировать после такого рода иммобилизации. И перелом примерно такой локализации. Может, в наших краях не получается правильно этот брэйс воспроизвести.
      Ну и правильно Максим говорит, лечение брэйсом больше ориентировано для диафизарных переломов.

      > У меня был примерно похожий случай, веду консервативно, уже занимаюсь

      Малоинвазивная внутренняя стабилизация тут привлекательна немедленным "хирургическим сращением" - в случае успеха.

      [ Ответить ]
    Re: Оскольчатый перелом плеча
    Sergey Melashenko 20 Август 2006, 21:56
    Ув. Максим.
    Интересно, как можно было за 2 недели успеть полечить и на вытяжении, и в гипсовой повязке (какой?). Женщина тучная? Как обстоят дела с мягкими тканями? Нет ли проблем с сахаром?. Какая степень риска инфекционных осложнений после операции? Я все-таки сколняюсь к консервативному лечению. А не попробовать ли вытяжение на отводящей шине, см. рис 1.



    С ув. Сергей Мелашенко,
    Приморск, Запорожская обл.
    Ukraine
    [ Ответить ]

    • Re: Оскольчатый перелом плеча
      Отправитель: Maxim Agalakov 20 Август 2006, 22:13
      > Интересно, как можно было за 2 недели успеть полечить и на вытяжении, и
      > в гипсовой повязке (какой?).


      sorry, 3 нед (уточнил), повязка Волковича

      > Женщина тучная? Как обстоят дела с мягкими
      > тканями? Нет ли проблем с сахаром?. Какая степень риска инфекционных
      > осложнений после операции?


      Особых проблем с перечисленным нет

      > Я все-таки сколняюсь к консервативному
      > лечению. А не попробовать ли вытяжение на отводящей шине, см. рис 1.


      категорически отказывается от конс лечения

      [ Ответить ]
      • Re: Оскольчатый перелом плеча
        Отправитель: Sergey Melashenko 20 Август 2006, 22:43
        > категорически отказывается от конс лечения

        Попробуйте рассмотреть возможность закрытого ВЧКДО аппаратом Илизарова.

        С ув. Сергей Мелашенко,
        Приморск, Запорожская обл.
        Ukraine

        [ Ответить ]
    Re: Оскольчатый перелом плеча
    Maxim Agalakov 20 Август 2006, 22:34
    Уважаемые коллеги.
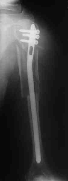
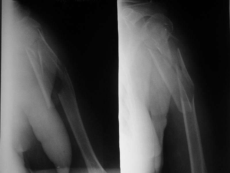
    Прооперировали больную с переломом плеча все же гвоздем, Фото в приложении.



    [ Ответить ]

    • Re: Оскольчатый перелом плеча
      Отправитель: Никита Заднепровский 20 Август 2006, 22:38
      Интересно, а канал рассверливали?
      Гвоздик похоже ЦИТОвский?
      Полагаю, бабушку можно поздравить с обретением
      независимости. Судя по снимкам, неврологических расстройств нет и такая пациентка выпишется после снятия швов.
      Какие рекомендации Вы дадите этой женщине на ближайшие 6 месяцев?

      С уважением, Заднепровский Никита Николаевич

      [ Ответить ]
      • Re: Оскольчатый перелом плеча
        Отправитель: Maxim Agalakov 20 Август 2006, 22:42
        > Интересно, а канал рассверливали?

        минимально

        > Гвоздик похоже ЦИТОвский?

        точно

        > Какие рекомендации Вы дадите этой женщине на ближайшие 6 месяцев?

        ЛФК, ну и гиревым спортом не заниматься:)


        [ Ответить ]
      • Re: Оскольчатый перелом плеча
        Отправитель: Alexaander Chelnokov 20 Август 2006, 23:36
        Немножко уточню ответы Максима.

        НЗ> Интересно, а канал рассверливали?

        Только сформировали канал в головке. Диафиз не рассверливали. Хотя при необходимости, конечно, рассверлили бы.

        НЗ> Гвоздик похоже ЦИТОвский?

        Гвоздь большеберцовый нашей модификации, действительно, их делает предпричятие "ЦИТО". Тут взят 9 мм, укорочен до 240 мм, сделано дополнительное отверстие самое проксимальное, ну и для дистального винта.

        НЗ> независимости. Судя по снимкам, неврологических расстройств
        НЗ> нет и такая пациентка выпишется после снятия швов.


        Неврологии нет, а выписать можно хоть на второй день, швы можно снять и в местной больнице.

        НЗ> Какие рекомендации Вы дадите этой женщине на ближайшие 6 месяцев?

        Почему так надолго? На ближэайшие недели - разработка движений, и все. Полагаю, что недель после 4 никаких рекомендаций не будет нужно, просто жить обычной жизнью сельской пенсионерки.

        [ Ответить ]

     

    ( Ответить )

    Powered by Zope  Squishdot Powered MedLink
    Посетитель: 0192441
      "По форме правильно, а по существу - издевательство" В.И.Ленин
    ©2001-2019Orthoforum Coordinator.
    [ Главная | Отправить сообщение | Поиск | Админ ]