Ответить
|
Re: Перелом дистального отдела бедра на фоне...
George Thomas 21 Ноябрь 2006, 21:18
|
It appears to me that the neck femur and shaft femur are old injuries. I would give preference to the distal femur fracture, but you can only align
the shaft if the malunited midshaft femur fracture is corrected. So my plan:
1. Open reduction and plating of the midshaft femur fracture
2. Distal femur fracture reduction and fixation by indirect reduction if possible, direct reduction if required. I would use locking plate if possible, if not distal femur plate.
1. and 2. in one surgical procedure For those familiar with Ilizarov fixator (like you), this is an obvious possibility.
I would do the total hip arthroplasty later.
Hope this is helpful,
George Thomas
|
[
Ответить ]
|
Re: Перелом дистального отдела бедра на фоне...
Алексей Семенистый 21 Ноябрь 2006, 21:45
|
> на всякий случай сделать снимок остальной части бедра. Через 2 недели
> привезли второй снимок - тоже приложен.
Какова давность перелома диафиза и шейки? Как больной жил до перелома мыщелков, что его беспокоило, почему так оставили в 33г.?
Если его все устраивало, ограничтесь пока остеосинтезом.
> Понятно, что надо 1)остеосинтез делать,
На мой взгляд LCP DF (LISS).
>2)исправлять деформацию
> диафиза и, 3)видимо, эндопротезировать тазобедреный сустав. А как и в
> какой очередности?
Может быть эти два пункта объединить, когда восстановится объем движений в коленном суставе, используя длинную ревизионную ножку. Тогда это нужно учесть при остеосинтезе мыщелков: чтобы верхние винты не мешали ножке.
Другой вариант: остеотомия с устранением осевых смещений + ретроградный остеосинтез мыщелков и диафиза одним гвоздем (по снимкам трудно сориентироваться - пройдет или нет), вторым этапои шеечный эндопротез.
Естественно материальные возможности играют большую роль.
Удачи. А.Семенистый.
|
[
Ответить ]
|
Re: Перелом дистального отдела бедра на фоне...
Отправитель: Alexander Chelnokov 21 Ноябрь 2006, 21:48
|
> Какова давность перелома диафиза и шейки? Как больной жил до
> перелома мыщелков, что его беспокоило, почему так оставили в 33г.?
Пока этой информации нет.
> На мой взгляд LCP DF (LISS).
То есть как если бы всего остального не было.
> Может быть эти два пункта объединить, когда восстановится объем
> движений в коленном суставе, используя длинную ревизионную ножку.
Как-то у нас такие ножки особо не в ходу. А если объединить решение проблем с дистальным отделом и диафизом? Скажем, взять стержень анте- или ретроградный, там вправить, тут остеотомировать. А потому удаление объединить с эндопротезированием.
> Другой вариант: остеотомия с устранением осевых смещений +
> ретроградный остеосинтез мыщелков и диафиза одним гвоздем
Вот-вот, этот подход как-то больше привлекает, не знаю почему.
> (по снимкам трудно сориентироваться - пройдет или нет),
В смысле - что куда пройдет?
> вторым этапои шеечный эндопротез.
Ну, шеечный - это в мечтах, хотя бы обычный. Судя по снимкам, с таким бедром уже с год он жил как минимум, так что может и удаления подождать.
> Естественно материальные возможности играют большую роль.
Вряд ли сильно состоятельный. но сейчас всякие программы есть, поглядим.
|
[
Ответить ]
|
Re: Перелом дистального отдела бедра на фоне...
Отправитель: Алексей Семенистый 23 Ноябрь 2006, 21:32
|
>То есть как если бы всего остального не было.
Желчный ты, Александр :). Да можно и всем остальным что есть, конечно. Но учитывая, что к моменту операции будет около месяца после последнего перелома и минимум месяцев 5-8 после предыдущих; и движения в коленном с-ве вряд ли присутствуют; и открытой репозиции суставного перелома вряд ли удасться избежать, то остеосинтез пластиной с угловой стабильностью (если не нравится LCP, возьми Numelock) вполне приемлим.
> > Другой вариант: остеотомия с устранением осевых смещений +
> > ретроградный остеосинтез мыщелков и диафиза одним гвоздем
>
> Вот-вот, этот подход как-то больше привлекает, не знаю почему.
Я знал, что ты за гвоздь! Ты воинствующий Nailer!
> > (по снимкам трудно сориентироваться - пройдет или нет),
> В смысле - что куда пройдет?
В смысле стабильно заблокировать 2-3 винтами очень дистальный перелом. Впрочем, у тебя это получится супер-гвоздем ЦИТО (ксати, у него винты заклиниваются заглушкой или еще как?), и как получится согнуть колено?
> Судя по снимкам, с таким
> бедром уже с год он жил как минимум, так что может и удаления
> подождать.
Может ему это эндопртезирование и вовсе не нужно!
Чего больной ожидает и какие у него запросы в жизни? - с этого и надо начинать. Лечим ведь больного, а не его рентгенограммы.
С уважением А.Семенистый.
|
[
Ответить ]
|
Re: Перелом дистального отдела бедра на фоне...
Отправитель: Алексей Семенистый 23 Ноябрь 2006, 21:35
|
Sorry, Александр.
>>То есть как если бы всего остального не было.
>Желчный ты, Александр :)
Что-то я неправильно понял по-началу твою фразу.
А.Семенистый
|
[
Ответить ]
|
Re: Перелом дистального отдела бедра на фоне...
Отправитель: Alexander Chelnokov 23 Ноябрь 2006, 22:07
|
>>То есть как если бы всего остального не было.
АС> Желчный ты, Александр :). Да можно и всем остальным что есть,
Я подразумевал "как если бы не было всех остальных неурядиц на этом бедре".
АС> репозиции суставного перелома вряд ли удасться избежать, то
АС> остеосинтез пластиной с угловой стабильностью (если не нравится
АС> LCP, возьми Numelock) вполне приемлим.
Да нет вопросов, если бы этот перелом был бы на фоне благополучия в остальном, то это действительно был бы адекватный выбор. Но - хочется все-таки погнаться одновременно зе тремя зайцами. Например, взять ножку длиной сантиметров 40, с отверстиями дистально, а в одну операцию сделать все - сегодня такой вариант обсуждали.
>> Вот-вот, этот подход как-то больше привлекает, не знаю почему.
АС> Я знал, что ты за гвоздь! Ты воинствующий Nailer!
Привлекает возможность за один подход решить больше, чем одну проблему.
АС> В смысле стабильно заблокировать 2-3 винтами очень дистальный
АС> перелом. Впрочем, у тебя это получится супер-гвоздем ЦИТО
Это-то получится.
АС> (ксати, у него винты заклиниваются заглушкой или еще как?),
Такие дистальные мы предпочитаем делать антеградно. В дистальном овальном отверстии можно заклинить 2 винта третьим (см. картинку).

АС> и как получится согнуть колено?
Для антгеградного сгибать особо не надо. Но после репозиции суставного
конца (открытой или закрытой) надо будет наложить дистрактор, а в нем
можно и согнуть, и разогнуть...
АС> Может ему это эндопртезирование и вовсе не нужно!
АС> Чего больной ожидает и какие у него запросы в жизни? - с этого и
Снова стать обычным пешеходом, наверно, в такой ситуации мало кто
откажется. Немало встречается пациентов, которым местный "фершал"
сказал, мол, все, медицина тут бессильна, а они и поверили.
|
[
Ответить ]
|
Re: Перелом дистального отдела бедра на фоне...
Отправитель: Алексей Семенистый 23 Ноябрь 2006, 22:15
|
Приветствую!
> Но - хочется
> все-таки погнаться одновременно зе тремя зайцами.
Да, "За тремя зайцами погонишься, ни одного.."
Например, взять
> ножку длиной сантиметров 40, с отверстиями дистально, а в одну
> операцию сделать все - сегодня такой вариант обсуждали.
Тише едешь - дальше будешь!
Если поймаешь хотя бы двух зайцев сразу, будет здорово, а третий уже никуда не денется.
> Такие дистальные мы предпочитаем делать антгеградно. В дистальном
> овальном отверстии можно заклинить 2 винта третьим (см. картинку).
В общем согласен, но тогда эндопротезирование оттягивается довольно надолго, т.е. только после удаления антеградного гвоздя.
Удачи! А.Семенистый
|
[
Ответить ]
|
Re: Перелом дистального отдела бедра на фоне...
Отправитель: Alexaander Chelnokov 23 Ноябрь 2006, 22:39
|
> Да, "За тремя зайцами погонишься, ни одного.."
Так чего и думаем-советуемся, чтобы как-то исхитриться, и пойти не по этому знакомому сценарию ;-)
>> операцию сделать все - сегодня такой вариант обсуждали.
> Тише едешь - дальше будешь!>
И все-таки, все-таки... Романтику куда деть ;-) Если хорошо продумать и просчитать, можно выигрыш во времени получить заметный.
> Если поймаешь хотя бы двух зайцев сразу, будет здорово, а третий уже никуда не денется.
Да, пока про твое второе предложение как-то больше думается. Протез делать вместе и сразу со всем остальным - слишком много неизвестных получается
> В общем согласен, но тогда эндопротезирование оттягивается довольно
> надолго, т.е. только после удаления антеградного гвоздя.
Нескольким пациентам перед протезированием устраняли диафизарную деформацию на стержне, они сразу были предупреждены, ничего, полгода подождали.
|
[
Ответить ]
|
Re: Перелом дистального отдела бедра на фоне...
Отправитель: А.П.Ким 13 Декабрь 2006, 14:17
|
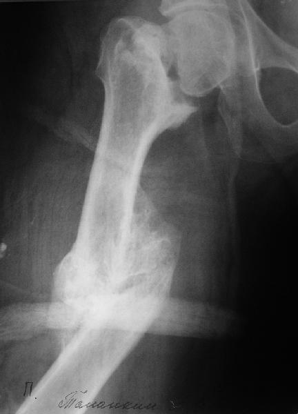
Больной поступил в клинику. Дополнительные сведения: диафизарный перелом (открытый)получил 5 лет назад - падение с 5 этажа. Лечился консервативно. Через год стал ходить без трости, хромоты не было, колено гнулось ( со слов больного),В принципе был удовлетворен своим состоянием. 1,5 месяца назад упал в подъезде (в состоянии алкогольного опьянения). Отказался от 2 группы инвалидности - просто не пошел на переосвидетельствование. Живет с мамой (пенсионерка).
|
[
Ответить ]
|
|
Re: Перелом дистального отдела бедра на фоне...
Куликов Иван Владимирович 22 Ноябрь 2006, 02:06
|
"прикольная ситуация"
скорее начать надо с мыщелков зафиксировать можно былобы "Г" образной затем корегирующая на диафизе с пластикой месными тканями( последних повидимому достаточно) - обычной но мощной пластиной. все за один раз. а когда удалять тогда и протезировать тазобедренный (если пациент захочет) востановите длину и "частичную" опороспособность - это победа. Удачи она понадобится!
|
[
Ответить ]
|
Re: Перелом дистального отдела бедра на фоне...
Odessky Jacob M.D. 22 Ноябрь 2006, 04:04
|
Саша привет!
И где вы такие случаи добываете?
Я рекомендую разделить лечение на этапы первым этапом заняться переломом дистального бедра. На мой ввзгляд Дистальныый бедренный гвоздь, введённый через колено - оптимальное решение вопроса. Если нет - плата и шурупы.
после заживления перелома , вторым этапом либо артродез т.б сустава с корригирующей остеотомией, либо протезирование длинным протезом с коррекцией малюниона.
Зная тебя, уверен, что на первом этапе ты сделаешь открытую репозицию перелома дистального бедра с коррегирующей остеотомией с фиксацией длинным гвоздём или платой. Успехов!
|
[
Ответить ]
|
Re: Перелом дистального отдела бедра на фоне...
Отправитель: В.Машталов 22 Ноябрь 2006, 17:37
|
> И где вы такие случаи добываете?
У нас страна - ортопедический заповедник
> первым этапом заняться переломом дистального бедра. На мой ввзгляд
> Дистальныый бедренный гвоздь, введённый через колено - оптимальное
> решение вопроса. .
И на мой взгляд тоже
> после заживления перелома, вторым этапом либо артродез т.б сустава с
> корригирующей остеотомией, либо протезирование длинным протезом с
> коррекцией малюниона.
Стоит-ли использовать сразу ревизионную ножку, 33 года?
Вообще, судя по тому что, патология выше первичных снимков была выявлена только по просьбе консультанта, наши обсуждения носят академический характер, хотя достаточно интересные и полезные и первый эпат с коррекцией оси для данного больного будет мах достаточный.
В.Машталов
|
[
Ответить ]
|
Re: Перелом дистального отдела бедра на фоне...
Отправитель: Alexaander Chelnokov 23 Ноябрь 2006, 18:10
|
OJMD> И где вы такие случаи добываете?
В вопросе слышна хорошая ортопедическая зависть ;-)
OJMD> Я рекомендую разделить лечение на этапы первым этапом заняться
OJMD> переломом дистального бедра. На мой ввзгляд Дистальныый
OJMD> бедренный гвоздь, введённый через колено - оптимальное решение
OJMD> вопроса.
А почему, если такой план выбрать, ты воздержался бы от одновременной коррекции диафиза? Вроде совсем немного возрастет объем?
OJMD> корригирующей остеотомией, либо протезирование длинным протезом с
OJMD> коррекцией малюниона.
Это в наших условиях не очень ходовой вариант, почему-то наши эндопротезисты предпочитают корреккцию диафиза отдельно, а потом делают нормальной ножкой.
OJMD> Зная тебя, уверен, что на первом этапе ты сделаешь открытую репозицию
OJMD> перелома дистального бедра с коррегирующей остеотомией с фиксацией
Если мне сообщать мое же мнение, я перестану за советами обращаться. ;-)
А все-таки, как тебе вариант с custom-made сверхдлинной ножкой, то есть одновремено протезировать, +коррекция диафиза. и к этой же ножке мыщелки привинтить? Кроме отсутствия пока такой ножки ;-) какие минусы у такого варианта?
|
[
Ответить ]
|
Re: Перелом дистального отдела бедра на фоне...
Отправитель: Роман Дендымарченко 23 Ноябрь 2006, 19:32
|
Минус на мой взгляд в следующем. Можно поставить ему сверхдинную ножку, но привинтив к ней мыщелки ослабнет кость в дистальных отделах, более высокий риск нестабильности. Плюс рано или поздно через многие годы встанет вопрос о ревизии, а сверхдинную ножку в таком случае на что менять? Пластину к мыщелкам - а в таком случае ее удалять-не удалять?
Надо начать с бедра, ретроградный остеосинтез+остеосинтез диафиза. После чего активизация, восстановление стереотипа походки, ЛФК и т.д. На ложном суставе походит. Сцинтиграфию головки можно. Протез - это не гвоздь, его можно ставить тем, кто ходил до его установки. И так-то после "обычного" эндопротезирования не все гладко проходит, а если одновремено протезировать, +коррекция диафиза. и к этой же ножке мыщелки привинтить, то уж чересчур травматично на мой взгляд
|
[
Ответить ]
|
Re: Перелом дистального отдела бедра на фоне...
Отправитель: Anton Vakulenko 23 Ноябрь 2006, 21:09
|
> есть одновремено протезировать, +коррекция диафиза. и к этой же ножке
> мыщелки привинтить? Кроме отсутствия пока такой ножки ;-) какие минусы
> у такого варианта?
Если после операции что-то пойдет не так хотя бы в одном из трех мест, то повторная операция вынужденно затронет все три проблемы одновременно.
По частям делать надежнее. Опять же, нет никаких достоверных данных о долгосрочном (10 и более лет) функционировании custom-made эндопротезов.
Обычно, их используют в онкологии, где срок наблюдений (увы) короткий.
Для пациента средних лет это весьма актуально. Если уж протезировать, то "проверенным" имплантом...
|
[
Ответить ]
|
|
Re: Перелом дистального отдела бедра на фоне...
Lew Zirkle 22 Ноябрь 2006, 12:15
|
Dear Alex
I suggest a SIGN retrograde nail for the 2 femur fractures. Is the femoral head viable? Is it amendable to a bone graft and follow the healing progress as the femur fractures are healing.
Lew Zirkle
|
[
Ответить ]
|
Re: Перелом дистального отдела бедра на фоне...
Волокитина Елена Александровна 28 Ноябрь 2006, 09:08
|
Уважаемый Александр Николаевич!
На мой взгляд, необходимо в первую очередь выполнить остеоситез и испрвление деформации, а эндопротезирование подождет. После удачных первых этапов лечения и активизации пациента, эндопротезирование (при желании больного сделать такую операцию) можно будет выполнить стандартным протезом с обычной (недлинной) ножкой, что более перспективно для молодого возраста.
С уважением Е.А.Волокитина
|
[
Ответить ]
|
Re: Перелом дистального отдела бедра на фоне...
z 08 Декабрь 2006, 18:06
|
Уважаемый коллега, непременно надо начинать с остеосинтеза диафиза бедра аппаратом внешней фиксации (лучше стержневым,но только не буржуйским монотубом,а из деталей ап.Илизарова). Максимально постараться одномоментно исправить деформацию(хотя это будет сложно)востановить ось и что самое главное абсолютную длину (не следует уж так бояться неврологических возможных осложнений). Смело используйте дистракцию на столе(с такой ногой его потенция мало востребована :-) ) Нагрузку разрешите уже через 4 недели,R-контроль на сроке 12,16 недель.Консолодацию простимулируйте миокальциком. На сроках 5-6 месяцев уже следует ставить показания к тотальному эндопротезированию бесцементным имплантом (какой есть,но только не отечественным г...). И не тешьте свою светлую голову попытками-мыслями об анте-или ретроградных нейлах. Всего самого наилучшего.
|
[
Ответить ]
|
( Ответить )
|
|