Ответить
|
Re: Perelom N/3 kostei goleny
Дрягин В. 04 Январь 2007, 08:51
|
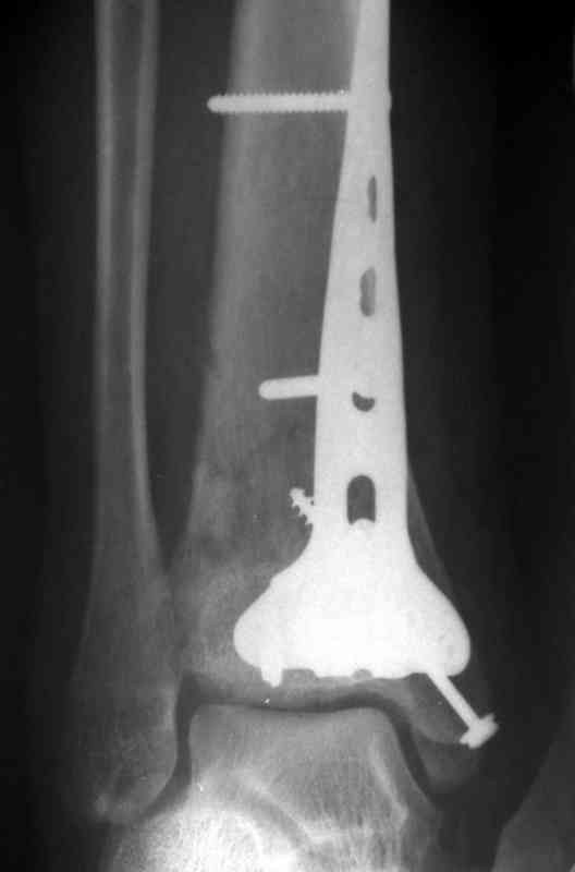
На рентгенограммах типичный перелом пилона по типу С-3. есть опыт до 100 открытых опреаций у нас в клинике. 20 примерно в год. Принцип один -все внутрисуставные переломы нуждаются в открытой репозиции и внутренней стабильной фиксации. При поступлении КТ не надо, так как получается только нагромождение костей. Истинной картины нет. Главное восстановить длину малоберцовой кости - это ключ к успеху. При поступлении меньше всего надо думать о сосудистых расстройствах, т.к. сама операция и репозиция даже сначала частичная даёт улучшение сосудитых нарушений. Причём очень быстро. Операция в 2этапа. При поступлении доступ позади наружной лодыжки, причём обязательно. После этого репозиция малоберцовой кости и фиксация пластиной 1/3 трубки под винт 3,5. Дренаж и любой аппарат наружной фиксации. Затем после спадения отёка на 5-7-10 день аппрат снимается и дугообразный разрез спереди от медиальной лодыжки 10-12 см. Главной чтобы расстояние между 1 и вторым разрезом было не меньше 7-8 см. Тогда не будет некрозов лоскутов. Таранная кость используется как матрица на неё укладываются отломки и фиксируются пицами. Ренг-контроль. Отломки лежат все отдельно, но ничего не высыпется. При переломах С-3 всегда нужна костная пластика (из крыла). Фиксация пластиной лист клевера простой или LCP. Гипс не нужен. Дренаж до 48 часов. Операция длится 3-4 часа обязательно без жгута. Посылаю примерно такой же случай.

|
[
Ответить ]
|
Re: Perelom N/3 kostei goleny
Отправитель: Alexaander Chelnokov 04 Январь 2007, 13:48
|
Спасибо за то, что поделились своим немалым опытом, за очень интересную презантацию.
> Принцип один - все внутрисуставные переломы нуждаются в открытой
> репозиции и внутренней стабильной фиксации.
Принципиально все же, наверно, хорошее восстановление формы суставной поверхности. На именно внутренней фиксации тут свет клином не сошелся. Хорошо известно, что при переломах пилона широко применяются и аппараты (циркулярные или гибридные), и комбинация внешней фиксации с минимальной внутренней.
> Главное восстановить длину малоберцовой кости - это ключ к успеху.
Это, наверно, больше критично при лечении с использованием внутренней фиксации, причем с репозицией "на руках".
> Операция в 2 этапа. При поступлении доступ позади наружной лодыжки,
> причём обязательно. После этого репозиция малоберцовой кости и
> фиксация пластиной 1/3 трубки под винт 3,5. Дренаж и любой аппарат
> наружной фиксации.
До попыток репозиции взаимоотношения наружной лодыжки и тарана правильные практически всегда, так что достаточно до дистракции ввести спицу через нее и блок тарана. При последующей дистракции за стопу длина и ось малоберцовой кости замечательно восстановятся.
|
[
Ответить ]
|
Re: Perelom N/3 kostei goleny
Отправитель: Evgueny Tchekashkine 04 Январь 2007, 18:22
|
Уважаемый Доктор Дрягин,
Спасибо за убедительную и оптимистичную презентацию. двухэтапная стабилизация и реконструкция С3 тиб. пилона с ранней мобилизацией сустава оправдана практическим опытом и признана оптимальной тактикой ведения
больных с этим типом повреждения. К сожалению, следует признать, что далеко не всегда удается восстановить абсолютную конгруэнтность суставной
поверхности б\б кости, поэтому отдалённая функциональная перспектива такого сустава неопределённа. Но на сегодня ничего лучшего пока не придумано и чем чаще этот подход будет применяться, тем меньше проблем возникнет у больных, лечённых альтернативными методами. Согласен с вами, что стоит пытаться
реконструировать перелом , чем идти на первичный артродез, который сделать никогда не поздно. Технологии развиваются и очень важно сохранить bone stock, anatomical alignment, поврежденный хрящ замещается либо пластикой, либо ограниченным resurfacing - главное у больного остается выбор( если возможности позволяют: сегодня их может не быть, а завтра появятся - кто знает:-)).
Дальнейших успехов и было бы неплохо, если бы вы поделились отдалёнными результатами своих оперированных 100 пациентов.
Всего доброго,
Евгений И. Чекашкин
|
[
Ответить ]
|
|
Re: Perelom N/3 kostei goleny
Дрягин В. 04 Январь 2007, 09:00
|
Ещё есть одна проблема когда есть перелом малоберцовой кость, то всё ясно. А когда малоберцовая кость не повреждена, то сразу накладывается аппрат наружной фиксации при поступлении, чтобы как бы перерастянуть отломки и главное убрать вальгусное или варусное смещение, а потом на 5-7 день открыто большеберцовая кость восстанавливается и фиксируется пластиной. С уважением Дрягин
|
[
Ответить ]
|
Re: Perelom N/3 kostei goleny
Дрягин В. 04 Январь 2007, 09:01
|
Послала ещё два снимка, если не пройдут, пошлю ещё. Дрягин. Если есть вопросы, готов ответить.

|
[
Ответить ]
|
Re: Perelom N/3 kostei goleny
Отправитель: Дрягин В. 04 Январь 2007, 13:23
|
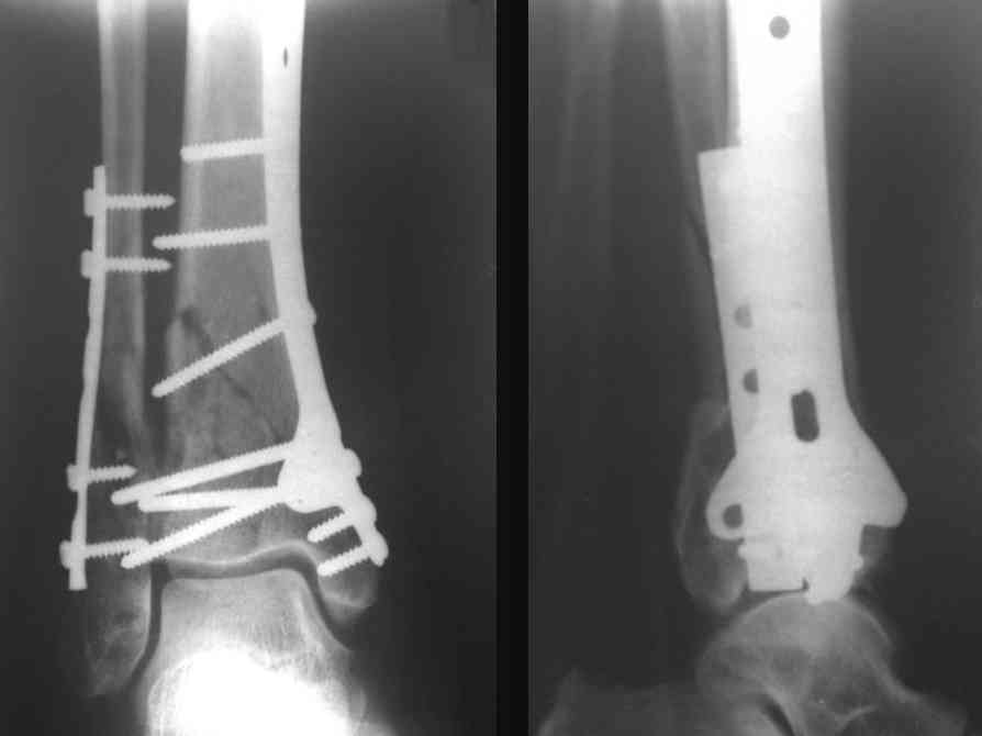
Посылаю результат лечения предыдущего больного через год.

С уважением Дрягин
|
[
Ответить ]
|
Re: Perelom N/3 kostei goleny
Отправитель: Дрягин В. 04 Январь 2007, 13:28
|
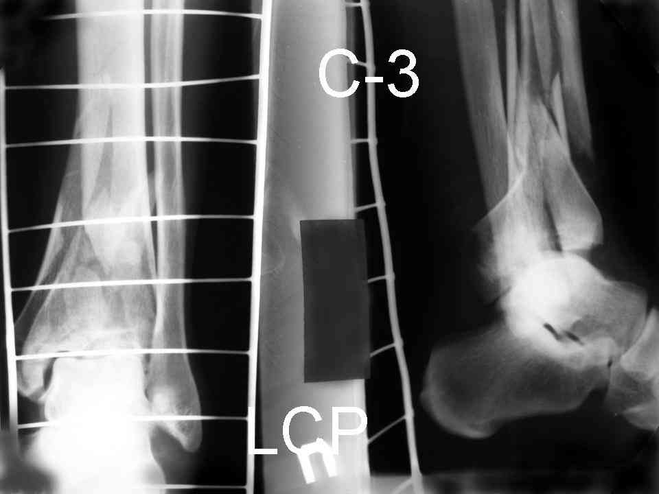
Кстати, при переломах переднего края по классификации АО В-3 при переломах пилона пластина укладывается по передней поверхности. Она достаточно тонкая и эластичная, не надо этого бояться. Посылаю три снимка.

|
[
Ответить ]
|
|
( Ответить )
|
|