Ответить
|
Re: Polytrauma
Djoldas Kuldjanov 08 Январь 2007, 17:50
|
Женя,
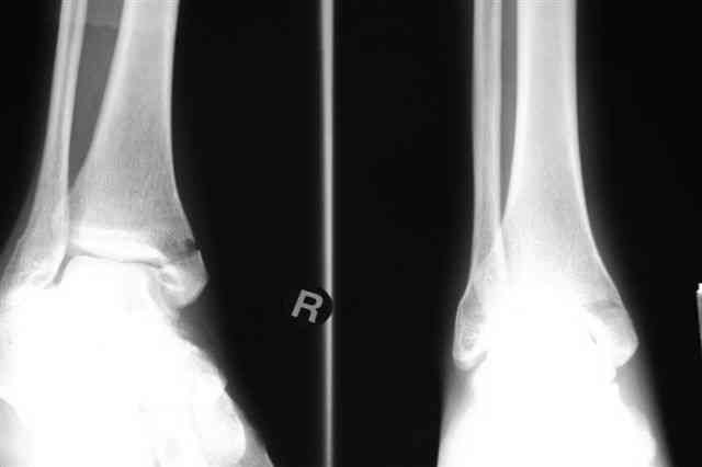
Я бы лодыжку зафиксировал двумя 3.5 или 4.0 мм лодыжечными шурупами, без смещения можно и закрыто, но это будеть видно во время операции.
Таз надо дообследовать, нужны Inlet and Outlet pelvic views, тогда будет точная картина и можно обоитись минимальным, только передним Ex-Fix, на наших предыдущих дисскуссиях я показывал, 5 мм Synthes Half Pins под CRM за Spina Iliaca Inferior место прикрепления прямой мышцы бедра в супраацетабулярной части.
Перелому не требуется компрессия, а небольшая ротация и дистракция (разведение) с помощью двух T-handle (half pin insertion tool) после определения качества репозиции на инлет виде потом
только зафиксировать Pin clamp на дуге от Synthesa.
На проксимальное бедро подойтет дюбой из: Proximal Locking Plate, TTFN (Trochanteric Titanium Femoral Nail), Blade Plate все by Synthes, Gamma3 by Stryker, Antegrade Trochanteric Nail by DePuy или
любой из рекон нейлов, так что вариантов
много. Раньше до специальных штифтов мои первый выбор всегда был в 95 градусная Blade plate.
Для гвоздей нужна идеальная предоперационная репозиция на Fracture Table, после репозиции сама
операция занимает недолго.
В Blade Plate не обязательны эти условия, задача
только головку соединить с диафизом не трогая место перелома, этим трюкам научился у Маста
(более 130 случаев при переломах и
реконструктивных операциях)? поэтому на него ссылка (писал, у него проходил 2.5 года
феллоушип).
Кстати Proximal Locking Femoral Plate с
его участием Synthes сделал для замены Blade Plate, потому что многие имели проблему с
пространством и попадали за шейку.
Больного пододвинуть к краю стола для удобства с валиком под сустав в 15-20 градусов в
зависимости от антеверсии, стол поднимается до
уровня груди, потом обработка всей
конечности и можно операцию проводить сидя, хотя бы Chisel Insertion часть, при исправленной
антеверсии долото нужно проводить по горизонту ближе спереди шейки. Открыть рану с субвастус
доступом приподнимая вастус кпереди, тем
более если ты правша (у больного повреждение
слева) очень удобно.
Если нужны снимки пришлю в понедельник.
Джолдас
|
[
Ответить ]
|
Re: Polytrauma
Отправитель: Evgueny Tchekashkine 08 Январь 2007, 17:51
|
Джолдас,
Спасибо за советы.
Лодыжку так ипрооперировал двумя 3.5 мм шурупами пришлось открыть - закрыто не удалось адекватно отрепонировать, при открытии - надкостничная
интерпозиция.
Бедро фиксировал длинной DCS.
По типу бриджинг плэйтин, крюком удалось низвести малый вертел и фиксировать винтом для восстановления медиальной стенки.
Я помню технику транссакральной фиксации тазового кольца длинными 5 мм Шанцами - повреждения типа В, в этом же случае задний отдел тоже вовлечен
т.е комбинированная нестабильность, поэтому вопрос - достаточно ли только двух Шанцев для стабилизации таза? Что вы думаете об anterior Right SI joint plating + tension band plating from the back.?
PS после фиксации бедра под Эопом посмотрел инлет и аутлет проекции, насколько репонируемо смещение правой половины таза *невооруженными*
руками - никаких шансов улучшить позицию иначе бы конечно воспользовался длинными Шанцами сразу после бедра.
Операционную заказал на среду - есть ещё время подумать до принятия окончательного решения.
Всего Доброго,
Евгений
|
[
Ответить ]
|
Re: Polytrauma
Отправитель: Alexaander Chelnokov 08 Январь 2007, 17:58
|
> Бедро фиксировал длинной DCS.
А почему не гвоздем закрыто?
> По типу бриджинг плэйтин, крюком удалось низвести малый вертел и фиксировать
IMHO это лишние трудозатраты, ничего плохого не случается при оставлении малого вертела в покое.
>тому вопрос - достаточно ли только
> двух Шанцев для стабилизации таза?
Это вряд ли. Надо и переднее полукольцо фиксировать, и заднее. Есть ли возможность сделать циркулярный аппарат?
> насколько репонируемо смещение правой половины таза *невооруженными*
> руками - никаких шансов улучшить позицию
Правильным аппаратом можно все.
>щё время подумать до принятия
> окончательного решения.
>
Может, наши тазисты отликнутся.
|
[
Ответить ]
|
Re: Polytrauma
Отправитель: Evgueny Tchekashkine 08 Январь 2007, 18:03
|
Саша, Приветствую,
ET>> Бедро фиксировал длинной DCS.
AC>А почему не гвоздем закрыто?
Изначально планировался длинный гамма гвоздь , но набор заказывается обычно из Йоханнесбурга, а в этот раз все совпало с новогодними празднованиями и вся жизнь была *парализована* новогодней фиестой:-((, поэтому безуспешно прождав 3-4-5 дней обещанной доставки зафиксировал пластиной- жаль, что так всй случилось У местного
Страйкера сервис ненавязчивый :-))
ET>> По типу бриджинг плэйтин, крюком удалось низвести малый вертел и
ET>> фиксировать
AC>IMHO это лишние трудозатраты, ничего плохого не случается при оставлении малого вертела в покое.
Да, в данном случае с DCS фиксация малого вертела не принципиальна, при разноугольных DHS восстановление задне-медиальной стенки( малый вертел с фрагментом), все же желательно - потенциально нестабильная репозиция (на
важность этой детали указано в Кэмбелле 2003, стр.2877) - шейка укорачивается
ET>>тому вопрос - достаточно ли только
ET>> двух Шанцев для стабилизации таза?
AC>Это аряд ли. Надо и переднее полукольцо фиксировать, и заднее. Есть ли возможность сделать циркулярный аппарат?
В реальные сроки( до наступления спонтанного сращения) *построить* циркулярный аппарат в местных условиях маловероятно.
Времени прошло меньше 3 недель, надеюсь, что на тракционном столе удастся отрепонировать и тогда воспользуюсь советом Джолдаса - длинные Шанцы в
крестцово подвздошные сочленения ввденнные латеральнее передне-нижних остей для стабилизации переднего полукольца после предварительной задней фиксации канюлированными винтами.
AC>Может, наши тазисты отликнутся.
На это и был расчет представления случая - выбор на практике оптимальной фиксации
Саша , спасибо за участие и свои суждения по представленному случаю.
Всего доброго,
Евгений
|
[
Ответить ]
|
|
Re: Polytrauma
Алексей Семенистый 08 Январь 2007, 17:55
|
> По техническим причинам стабилизация переломов в день травмы не была выполнена. До сегодняшнего дня
> находился на вытяжении.
> Какова оптимальная последовательность фиксации на ваш взгляд :
>
> таз-бедро- лодыжка в одну сессию...
Можно конечно и сразу все, особенно если таз окончательно собираетесь фиксировать аппаратом. Но это тяжело для персонала и не очень нужно больному. По лодыжку нужно думать в последнюю очередь. Больше всего неприятностей больному доставляет перелом бедра. У нас были такие пациенты и мы делали в первую очередь
перелом бедер. Одной девушке, удачно приземлившейся с 11-го этажа, в один наркоз заштифтовали два бедра и наложили аппарат на таз окончательно, пятками и лодыжками занимались намного позже. В другом случае у 160-кг
пациента с вторично заживающей раной после лапаротомии забили гвоздь и только через три недели (после заживления лапаратомной раны) фиксировали переднее полукольцо пластинами. Это тучный пациент лечение в аппарате не перенес бы.

> бедро- лодыжка сначала, фиксация таза через несколько дней,
> фиксация бедра: реконструктивный гвоздь Смит/Нефью
> PFN
> Gamma nail long
> DCS
> 95 Blade plate
Любой гвоздь (только в версии "long")
предпочтительнее пластины
> метод фиксации таза: стержневой аппарат (тазового набора Илизарова нет в округе)
> каннюлированными винтами,
> передняя фиксация пластиной правого крестцово- подвздошного сочленения
Пластина спереди (на лонные кости) открыто и каннюлированные винты с обеих сторон сзади - закрыто.
Предварительная репозиция может быть достигнута при помощи аппарата.
С уважением, А.Семенистый.
ГКБ 13, Москва.
|
[
Ответить ]
|
Re: Polytrauma
Отправитель: Evgueny Tchekashkine 08 Январь 2007, 18:06
|
Уважаемый Алексей,
Элегантная фиксация, поздравляю.Но ваш случай : одноплоскостная горизонтальная нестабильность Tyle B2.2 отличен от представленного мной - у
моего больного + вертикальная нестабильность за счет повреждения правого крестцово-подвздошного сочленения и перелома заднего отдела подвздошной
кости- С2 тип. Поэтому и возникла дилемма : выбор оптимальной фиксации заднего отдела:
каннюлированные винты? Передняя фиксация пластиной КП ? Tension Band Plating
КП с обеих сторон? Что предпочтительнее в данном случае?
в результате обсуждения у меня образовался следующий план: При удачной попытке непрямой репозиции на тракционном столе я бы остановился
на фиксакции каннюлированными винтами Правого КП сочленения и длинные Шанц винты( как предложил Джолдас) , дающие стабилизацию и переднего отдела и КП сочленений.
При неудачной репозиции, видимо, придется открываться из переднего доступа по Симпсону и репонировать смещенную вверхи и кзади подвздошную кость с помощью 2-3 holes DCP,затягивая винты на подвздошной кости должны устранить её смещения и стержневой аппарат для стабилизации переднего полукольца.
Пока такие идеи.
> По техническим причинам стабилизация переломов в день травмы не была
выполнена. До сегодняшнего дня находился на вытяжении.
> Какова оптимальная последовательность фиксации на ваш взгляд :
>
> таз-бедро- лодыжка в одну сессию...
AS>Можно конечно и сразу все, особенно если таз окончательно собираетесь фиксироовать аппаратом. Но это тяжело для персонала и не очень нужно
больному. По ложыжку нужно думать в последнюю очередь. Больше всего неприятностей больному доставляет перелом бедра. У нас были такие пациенты и мы делали в первую очередь перелом бедер. Одной девушке, удачно приземлившейся с 11-го этажа, в один наркоз заштифтовали два бедра и наложили аппарат на таз окончательно, пятками и лодыжками занимались намного позже. В другом случае у 160-кг пациента с вторично заживающей раной после лапаротомии забили гвоздь и только через три недели (после заживления
лапаратомной раны) фиксировали переднее полукольцо пластинами. Это тучный пациент лечение в аппарате не перенес бы.
Поскольку готового плана фиксации таза у меня не было (состояние больного стабильное, стабилизировать таз аппаратом сразу не стал ввиду риска инфекции при возникновении необходимости открытой репозиции) в первую сессию
зафиксировал бедро и лодыжку.
В отношении антикоагулянтной терапии: проводили профилактику до операции? после фиксации бедра? или после фиксации симфиза двойной пластиной?
Спасибо за участие в обсуждении,
Всего доброго,
Евгений Чекашкин
Снимки бедра и голеностопа еще не сфотографировал, обязательно представлю на форум
|
[
Ответить ]
|
Re: Polytrauma
Отправитель: Алексей Семенистый 08 Январь 2007, 21:31
|
> В отношении антикоагулянтной терапии: проводили профилактику до операции?
> после фиксации бедра? или после фиксации симфиза двойной пластиной?
Получал фраксипарин. но илеофеморального тромбоза не избежал, на 6-е сутки после остеосинтеза бедра имплантирован кавафильтр..
С уважением, А.Семенистый.
ГКБ 13, Москва.
|
[
Ответить ]
|
|
Re: Polytrauma
Pavel Ivanov 08 Январь 2007, 18:00
|
Здравствуйте, коллеги.
Если позволите, пару вопросов-добавлений.
По-поводу фиксации таза спонгиозными винтами. Данный способ все-таки показан для фиксации повреждения крестцово-подвздошного сочленения или переломов крестца. Мне кажется, что в данной случае ситуация иная - имеется перелом "основания" крыла подвздошной кости (в который вовлечена и поверхность, составляющая крестцово-подвздошное сочленение). Не уверен, что фиксация данного повреждения (и заднего полукольца) винтами будет стабильной, так как именно на уровне 1-2 крестцовых позвонков (где обычно вводят винты) линия перелома уходит в латеральном направлении от крестцово-подвздошного сочленения.
По-поводу репозиции костей таза. Производить репозицию костей все-таки необходимо. Пока я не встретил информации, сколько времени прошло с момента травмы, но одномоментно низвести правую половину таза может быть тяжело, учитывая и наличие перелома бедренной кости (что затруднит тракцию за нижние конечности).
Выполнить репозицию и прочно удержать кости таза можно при помощи внешнего аппарата с тазовой и бедренной опорами (отдаю себе отчет, что метод сложный и трудоемкий, но у пострадавших с политравмой в "остром" периоде широко применяющийся, в том числе по причине своей малоинвазивности).
Нужна ли фиксация переднего полукольца пластиной? Ведь разрыва лонного сочленения вроде бы нет. Да и при устранении смещения костей в аппарате положение отломков наверняка станет лучше. И срастаются они в данном месте довольно быстро. Так
что аппарат, может быть и средством окончательной фиксации.
Хотелось бы узнать мнение А.В. Рункова по данному случаю (в том числе и по-поводу вариантов возможной фиксации заднего полукольца в аппарате, и очередности фиксации таза и бедренной кости).
Best regards,
Pavel Ivanov
Sklifosovsky Clinical and Research Institute for Emergency Medicine
Polytrauma Department
3, Bolshaya Sukharevskay sq.
Moscow, 129010 Russia
|
[
Ответить ]
|
Re: Polytrauma
Отправитель: Evgueny Tchekashkine 08 Январь 2007, 18:25
|
Уважаемый Павел,
PI>По-поводу фиксации таза спонгиозными винтами. Данный способ все-таки показан
для фиксации повреждения крестцово-подвздошного сочленения или переломов крестца. Мне кажется, что в данной случае ситуация иная - имеется перелом
"основания" крыла подвздошной кости (в который вовлечена и поверхность, составляющая крестцово-подвздошное сочленение). Не уверен, что фиксация данного повреждения (и заднего полукольца) винтами будет стабильной, так как
именно на уровне 1-2 крестцовых позвонков (где обычно вводят винты) линия перелома уходит в
латеральном направлении от крестцово-подвздошного сочленения.
Я просмотрел томограммы и у меня создалось впечатление, что винтам есть за что *зацепиться*. В сочетании с 5 мм Шанц винтами, проведенными через нижне-переднюю ость спереди назад через КП сочленения -стабильность тазового кольца должна восстановиться. - Это , конечно, при условии , что закрытая рнепозиция будет успешной.
PI>По-поводу репозиции костей таза. Производить репозицию костей все-таки необходимо. Пока я не встретил информации, сколько времени прошло с момента травмы, но одномоментно низвести правую половину таза может быть тяжело, учитывая и наличие перелома бедренной кости (что затруднит тракцию за нижние конечности).
Травма произошла 22 или 23 декабря, ко мне больной попал 26 декабря, 3 января -остеосинтез перелома бедра и внутр.лодыжки.
PI>Выполнить репозицию и прочно удержать кости таза можно при помощи внешнего аппарата с тазовой и бедренной опорами (отдаю себе отчет, что метод сложный и трудоемкий, но у пострадавших с политравмой в "остром" периоде широко
применяющийся, в том числе по причине своей малоинвазивности).
Да, я рассматривал и этот вариант контрлатеральной тяги в аппарате таз-бедро с целью устранения вертикального смещения правой половины таза, но
после КТ отказался от этой идеи - двусторонний перелом крестца в зоне 1 - алярная часть, при попытке низведения правого гемипелвиса теоретически есть вероятность смещения
фрагмента крестца слева.
PI>Нужна ли фиксация переднего полукольца пластиной? Ведь разрыва лонного
сочленения вроде бы нет. Да и при устранении смещения костей в аппарате положение отломков наверняка станет лучше. И срастаются они в данном месте довольно быстро. Так что аппарат, может быть и средством окончательной фиксации.
Я тоже так думаю.
Павел,спасибо за участие в обсуждении случая,
Рг-граммы обязательно представлю на форум.
Всего доброго,
Евгений Чекашкин
|
[
Ответить ]
|
Re: Polytrauma
Отправитель: Maxim Agalakov 09 Январь 2007, 09:30
|
...что касается таза
Закрытая фиксация задних отделов илиосакральными винтами, как представляется, не оптимальна по двум причинам: во-первых, не устранено вертикальное смещение (через 3 нед тракцией это вряд ли удастся), во-вторых, велика вероятность попасть в линию перелома.
можно наложить "переднюю раму", устранить насколько возможно сгибательный компонент смещения, затем задним доступом открыто отрепонировать крыло, зафиксировать пластиной, винтами, передние отделы фиксировать аппаратом.
возможен вариант репозиции кольцевым аппаратом, используя для введения стержней надвертлужную область поврежденной стороны, задние ости конралатерально, однако, этот вариант достаточно трудоемок в процессе репозиции.
на переломы крестца в I зоне можно не обращать внимания, эти повреждения стабильны. При адекватной репозиции задних отделов, открытая репозиция передних отделов представляется нецелесообразной.
Удачи! С прошедшими и наступающими праздниками.
С уважением Максим Агалаков, УНИИТО.
|
[
Ответить ]
|
Re: Polytrauma
Отправитель: Evgueny Tchekashkine 10 Январь 2007, 08:44
|
Максим, спасибо за совет,
Я не планирую фиксацию задними илеосакральными винтами по названным причинам.
На закрытую репозицию у меня тоже надежды мало, но завтра все же начну со скелетного вытяжения за надмыщелки правого бедра и попытаюсь низвести
полутаз на тракционном столе.
Ежели удастся, то ограничусь передним стержневым аппаратом на 5 мм Шанцах, проведенных от передне-нижних остей через крестцово-подвздошные
сочленения( как советовал Джолдас)
Если тракция не приведет к желаемому результату, то планирую переднюю фиксацию КП двумя DCP после репозиции ( винт в боковую массу, винт в
подвздошную кость и Фарабефом устранить смещение или с помощью дистрактора на 5 мм Шанцах вместо винтов) и аппарат на переднее полукольцо, чтобы можно было сразу после операции поднимать больного.
Пока только планы - завтра наступает...Поглядим, что из этой затеи получится.
Спасибо за пожелания,
И тебя с праздниками,
Всего доброго,
Евгений
|
[
Ответить ]
|
|
Re: Polytrauma
Evgueny Tchekashkine 09 Январь 2007, 10:53
|

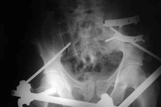
В приложении отправляю послеопер. снимки бедра и лодыжки обсуждаемого вчера больного.
По поводу профилактики флеботромбозов (задал вопрос Алексею Семенистому)- фотография устройства пульсвэйв, которым здесь пользуются для этой цели. Может кому-то будет интересно, работает по принципу манометра: пневматическая манжетка одевается на стопу и накачивается до 130 мм рт.ст. после чего автоматически давление быстро сбрасывается и таким образом создается пульсовая волна по венозной системе от периферии конечности(стопы) к проксимальным отделам. Параметры: скорость наполнения манжетки, давление регулируемы, но чаще всего стандартные - 3-4 волны в минуту и давление 130/60.
ВСего доброго,
Евгений
|
[
Ответить ]
|
Re: Polytrauma
Отправитель: Алексей Семенистый 09 Январь 2007, 10:54
|
> По поводу профилактики флеботромбозов ( задал вопрос Алексею Семенистому)- фотография устройства
> пульсвэйв, которым здесь пользуются для этой цели.
Есть такая штуковина, полезна лентяям и безвольным пациентам, которые щадат себя любимых и после операции боятся пальчиком шевельнуть. Нет, хорошая вещь, но одной на всех не хватает. Только почему манжета только на стопу? У нас от пальцев стопы до н\3 бедра.
С уважением, А.Семенистый.
ГКБ 13, Москва.
|
[
Ответить ]
|
Re: Polytrauma
Отправитель: Evgueny Tchekashkine 10 Январь 2007, 08:47
|
Уважаемый Алексей,
Почему манжетка только на стопу,а не на всю голень и н/3 бедра, готового рандомизированного ответа у меня нет : могу только догадываться сам, видимо,
отличается принцип действия.
С манжеткой на стопе генерируется пульсовая волна * проталкивающая кровя* по венам, а при манжетке , как у вас, чередование эффекта сдавления и
расширения на венозные стволы. Что лучше одно или другое? главное - кровоток по венам становится более интенсивным.
А по поводу * лентяев и безвольных пациентов* :-))- ежели человек становится пациентом, то его поведение, конечно, меняется: бытовые супермены/нши могут хныкать как дети, а другие работают над собой. Чтобы помогать слабым и
немощным избегать возможных осложнений, наверное, полезно иметь такие устройства, потому как в конечном итоге их осложнения, становятся врачебной
головной болью.
Всего доброго,
Евгений
|
[
Ответить ]
|
Re: Polytrauma
Отправитель: Юрий Алексеевич Булахтин 09 Январь 2007, 13:48
|
Уважаемый Евгений!
Одним из решений стабилизации таза в Вашей ситуации могло бы быть выполнение внутренней стержневой фиксации таза. Варианты компоновки при различных повреждениях - в приложении. Пример фиксации я показывал 19 ноября 2006г. (не знаю как дать ссылку на материал форума, посмотрите по моей фамилии). Винтов на стержень можно сажать сколько угодно, учитывая полиаксиальность коннекторного крепления. Между любой парой можно давать компрессию или дистракцию. Для стабилизации подойдет любая система ригидной транспедикулярной фиксации с нужной длинны стержнями. Если рядом есть вертебрологи может можно их спросить. Явный
выигрыш - все это погружается под кожу как обычные пластины и не препятствует активизации пациента.

Юрий Алексеевич Булахтин
|
[
Ответить ]
|
Re: Polytrauma
Отправитель: Evgueny Tchekashkine 11 Январь 2007, 18:08
|
Уважаемый Юрий Алексеевич,
Спасибо за участие в обсуждении случая.
Впервые встретился с техникой фиксации переломов таза педикулярными конструкциями - выглядит практично и убедительно.
Не могли бы Вы сбросить на мой адрес evgueny@iway.na более подробную информацию этой техники, как давно применяете, свои клинические наблюдения использования метода при различных типах повреждения таза, отдалённые результаты (4-6-12 мес и более). На Ваш взгляд- это оптимальная фиксация всех переломов таза с нарушением тазового кольца или есть особые показания/противопоказания к применению? При фиксации заднего отдела (как показано на
рисунке) Вы применяли 2-4 педикулярных винта, соединенными стержнями без поперечной соединяющей балки(cross bar) - профилактика деформации сдвига и рецидива вертикального смещения полутаза( при педикулярной фиксации поясничного и нижнегрудного отделов позвоночника поперечная соед. балка
рекомендуется). или Ваш опыт показывает, что в этом нет необходимости.
Заранее признателен,
Е.И. Чекашкин
|
[
Ответить ]
|
Re: Polytrauma
Отправитель: Юрий Алексеевич Булахтин 11 Январь 2007, 18:11
|
Здравствуйте, Евгений!
Приношу извинения за задержку с ответом - 1)разыскивал правообладателя, 2) на личный адрес письмо что-то не идет.
Все теоретические вопросы, которые Вас интересуют, изложены в монографии Андрея Валерьевича Дыдыкина с соавт. "Хирургическая стабилизация таза у раненых и пострадавших", СПб., Изд., "МОРСАР АВ", 2000г. Это его мейл: ad(ad)rusk.ru , который он, только что, любезно разрешил здесь разместить.
Из личного опыта хотел-бы добавить следующее. Я думаю, что прообразом предлагавшейся конструкции был устаревший Софаморовский транспедикуляр "ТЕМП", обладающий очень скромной "полиаксиальностью" за счет полусферической формы головки винта и отверстия в клемпе. По этой причине и потому, что в производство конструкция не попала я и пользуюсь разными педикулярными системами по мере их появления. Считаю такую фиксацию очень стабильной и возможной практически при любых повреждениях (где "анатомия" позволяет ввести винты). На мой взгляд, наилучший вариант для этих целей сегодня - "Силует" фирмы Зиммер, потому, что он имеет цанговый вариант
крепления, что для таза гораздо удобнее - Вы вводите винты с обычными головками под шестигранную отвертку под любыми углами. Саму систему монтируете на стержень "на столе" и потом просто, голыми руками одеваете цанги и затягиваете контрагайки ключом.
Мое мнение в отношении поперечных стабилизаторов - для таза не нужны, т.к. применяют их в вертебрологии для ротационной стабилизации при long фиксации - больше двух уровней, при коротких четырехвинтовых фиксациях они избыточны (теория есть во всех книжках по травме позвоночника, не буду отвлекать Ваше время).
С уважением,
Юрий Алексеевич Булахтин
|
[
Ответить ]
|
Re: Polytrauma
Отправитель: Maxim Agalakov 11 Январь 2007, 18:13
|
> попала я и пользуюсь разными педикулярными системами по мере их
> появления. Считаю такую фиксацию очень стабильной и возможной
> практически при любых повреждениях (где "анатомия" позволяет ввести
> винты).
основной проблемой при повреждениях таза, как представляется, является не фиксация (вариантов множество), а репозиция, на мой взгляд эти системы обладают слабыми репозиционными возможностями, не представляю как ими можно устранить значительные вертикальные смещения, сгибательные компоненты деформации особенно в "несвежих" случаях.
|
[
Ответить ]
|
Re: Polytrauma
Отправитель: Юрий Алексеевич Булахтин 12 Январь 2007, 03:55
|
Уважаемый Максим!
Все, что Вы говорите про репозицию в качестве основной проблемы при повреждениях таза - бесспорно! Абсолютно с этим согласен, как и с тем, что описываемые мною "системы обладают слабыми репозиционными возможностями". Я думаю, что ниша их применения там же, где и любых других "неаппаратных" фиксаторов - окончательная фиксация. Думаю Вы согласитесь, что аппараты наружной фиксации сегодня не должны быть окончательным методом лечения и после репозиции имеет смысл их заменять, в том числе на вышеуказанную систему, которую легко поставить малоинвазивно из дополнительного минидоступа в 1,5-2см на любой отдел таза.
Юрий Алексеевич Булахтин
|
[
Ответить ]
|
|
Re: Polytrauma
Evgueny Tchekashkine 12 Январь 2007, 09:38
|
Вчера прооперировал больного.
Попытка низвести половину таза на тракционном столе ( скелетное вытяжение за бедро) безуспешная.
из переднего доступа добрался до правого КП сочленения , все запаяно костью, с помощью 2 шанцев винтов в крестец и подвздошную кость и элеватора репозиция, контроль ЭОП
и двумя пластинами фиксация.
Спереди, аппарат как рекомендовал Джолдас.
Снимки плохого качества( очень темные) завтра переделают и пришлю на конференцию.
На мой взгляд, смещение устранено и фиксация выглядит вполне анатомичной.
Всем спасибо за участие и советы
Е.И.Чекашкин
|
[
Ответить ]
|
Re: Polytrauma
Evgueny Tchekashkine 13 Январь 2007, 10:56
|
В приложении послеоперационные картинки.

Всего доброго,
Спасибо всем принявшим участие в обсуждении,
Чекашкин Е.И.
|
[
Ответить ]
|
Re: Polytrauma
Отправитель: Alexey Rounkov 19 Январь 2007, 17:40
|
Написал бы раньше, да был в отпуске.
Буду краток.
При поступлении передняя рама (фиксация просто за гребни), соединенная с мыщелками бедра.
После стабилизации состояния перевернуть больного на живот или на бок, пару винтов закрыто через заднюю ость трансфрактурно в крыло слева (если не нравится стояние фрагмента, можно предворительно задним латеральным доступом отрепонировать), справа не очень понятно куда идет перелом крыла, но если фиксировать, то пластиной по наружной стороне.
Интересно посмотреть КТ с шанцами, куда же они попали.
с уважением А.В.Рунков
|
[
Ответить ]
|
Re: Polytrauma
Отправитель: Evgueny Tchekashkine 21 Январь 2007, 11:32
|
Алексей,
Спасибо за комментарии случая.
Интраоперационно у меня не возникло сомнений , что Шанцы прошли через КП сочленения: сначала провёл Шанц справа при открытой ране после фиксации КП
сочленения пластинами и контролем ЭОПа инлет и аутлет проекциях, определившись с углом введения винта. затем слева - под Рг-контролем, отступив на 2 см латеральнее нижней ости, чтобы не провалиться в таз.
На следующий день больной активизирован с костылями, на боли не жаловался,
поэтому и не стал заказывать томографию, хотя, для протокола надо было бы.
Сейчас поздно говорить об этом - больной уже выписан.
Всего доброго,
Евгений Чекашкин
|
[
Ответить ]
|
Re: Polytrauma
Отправитель: Alexaander Chelnokov 21 Январь 2007, 18:07
|
А пациент не будет еще появляться на контрольные осмотры, снимки, на снятие аппарата? Как у вас организована последующая реабилитация? Кто будет принимать решение о нагрузке на ногу?
|
[
Ответить ]
|
Re: Polytrauma
Отправитель: Evgueny Tchekashkine 21 Январь 2007, 18:09
|
Как только больной мобилизован с костылями и способен передвигаться самостоятельно, он выписывается из стационара - слишком дорого находится в госпитале на реабилитации ради 30-40 мин сессии с физиотерапевтом. В случае
с обсуждаемым больным много времени было потеряно в ожидании инструментария с момента госпитализации до фиксации переломов бедра и лодыжки,
с недельным интервалом - стабилизация таза. Пациент оказался активным по своей природе, как только переломы были фиксированы, начал передвигаться с костылями. Нестабильное повреждение тазового кольца в сочетании с переломом лодыжки справа и переломом бедра слева не создавало возможности ограничения осевой нагрузки на н/к, поэтому и возникала дилемма как быстро его можно ставить на костыли. По словам пациента, послеоперационные боли были незначительны, больной, несмотря на возраст -58 лет атлетического телосложения, с хорошо развитой мускулатурой и отсутствием лишнего веса + желание выбраться из койки поскорее и пойти домой - всё вместе и способствовало ранней активизации.
Средняя продолжительность пребывания больного в госпитале после остеосинтеза - 2-4 дня - за это время можно оценить как заживает рана с проблемами или без них. Физиотерапия и перевязки (по необходимости) проводятся на аутпэйшент основе
или больной занимается дома самостоятельно после инструктажа физиотерапевтом и посещая время от вермени физиотерапевта для контрольных осмотров. Через 2 нед для снятия швов кто-то приходит в консультативный кабинет, а кто-то по месту жительства.
Рг-контроль рекомендуем после 6-8 недель с момента остеосинтеза, аккуратность явки звисит от многих моментов- если я сделал синтез и выписал больного, то это вовсе не гарантия, что он придет ко мне через 2 недели на снятие швов и оценку заживления ран, а через 6-8 недель на Рг контроль. Логика такова, что ежели нет проблем - то зачем идти к доктору, или если есть проблема, то зачем идти к доктору, после лечения которого она появилась:-)) отсюда и возникают сложности отслеживания результатов. Если сам начинаешь отыскивать
больного -интересен результат после проведенной хирургии - это может быть истолковано двояко : активное зазывалово на подъём денег с больного -
частная медицина:-))
Различные типы страховок имеют разный лимит покрытия госпитализации, типа вмешательств, количества консультаций- хороший стимул для мобилизации, поэтому основная масса больных не залёживается в госпитале просятся на выписку как только послеоп. боль может контролироваться таблетированными аналгетиками, а не инъекциями.
Всего Доброго,
Евгений
|
[
Ответить ]
|
Re: Polytrauma
Отправитель: Alexander Chelnokov 22 Январь 2007, 20:41
|
ET> остеосинтеза - 2-4 дня - за это время можно оценить как заживает рана с
ET> проблемами или без них.
Да, это рационально, у нас сейчас тоже пациенты многие уходят домой в такие сроки. Хотя история болезни, бывает, ведется и подольше. Но это дурости постсоветского здравоохранения.
ET> нед для снятия швов кто-то приходит в консультативный кабинет, а кто-то по
ET> месту жительства.
Аналогично.
ET> Рг-контроль рекомендуем после 6-8 недель с момента остеосинтеза аккуратность
Но ведь многих пациентов надо отследить и попозже, а то и фиксатор динамизировать, или удалить?
ET> Логика такова, что ежели нет проблем - то зачем идти к доктору,
Ну, пациенту надо "постгипнотическое внушение" делать - мол, чтобы проблемы не появились, надо делать, как он сказал. Хотя мы тоже с таким сталкиваемся. В раньшее время приехать к нам на контроль за 300-400 км из области стоило копейки, сейчас не все могут себе позволить раз месяц билет на позед или машину. Результаты коллекционировать становится сложнее. Отчасти помогает Интернет, сейчас есть пациенты, которые присылают снимки по e-mail, заполняют опросники через web.
ET> или если есть проблема, то зачем идти к доктору, после лечения
ET> которого она появилась:-))
То есть и ты получаешь заметное количество проблемных пациентов, начавших лечение в других местах?
ET> больного -интересен результат после проведенной хирургии - это может быть
ET> истолковано двояко : активное зазывалово на подъём денег с больного -
А страховые компании не заинтересованы в регулярном наблюдении? Они данные об исходах лечения не собирают? Хотя бы чтобы направлять пациента в более результативные клиники.
ET> выписку как только послеоп. боль может контролироваться таблетированными
ET> аналгетиками , а не инъекциями.
Вспоминается военка: "При прибытиии санитарного транспорта в медпункт полка следует команда - Ходячие, выходи!" ;-))
|
[
Ответить ]
|
Re: Polytrauma
Отправитель: Evgueny Tchekashkine 22 Январь 2007, 20:45
|
ET>> Рг-контроль рекомендуем после 6-8 недель с момента остеосинтеза аккуратность
AC> Но ведь многих пациентов надо отследить и попозже, а то и фиксатор
AC> динамизировать, или удалить?
Саша, для себя решаю динамизировать или нет после 8нед Ргграмм
AC> позволить раз месяц билет на позед или машину. Результаты
AC> коллекционировать становится сложнее. Отчасти помогает Интернет,
AC> сейчас есть пациенты, которые присылают снимки по e-mail,
Чаще всего именно финансовая проблема становится решающей для больного, которому надо добираться 300 -700 км. Далеко не все пациенты имеют доступ к инету, все-таки Африка:-))
ET>> или если есть проблема, то зачем идти к доктору, после лечения
ET>> которого она появилась:-))
AC> То есть и ты получаешь заметное количество проблемных пациентов,
AC> начавших лечение в других местах?
Случается, есть особая категория пациентов, которые курсируют от одного доктора к другому, пока не найдут, кто бы их устраивал( хотя бы на время):-))
ET>> больного -интересен результат после проведенной хирургии - это может быть
ET>> истолковано двояко : активное зазывалово на подъём денег с больного -
AC> А страховые компании не заинтересованы в регулярном наблюдении?
AC> Они данные об исходах лечения не собирают? Хотя бы чтобы
AC> направлять пациента в более результативные клиники.
Пока подобных прецедентов не было и насколько я понимаю позицию местных страховых компаний - они заинтересованы в сборе денег (ежемесячные взносы) с граждан и по возможности меньше платить за лечение - с чем и приходится постоянно бороться и доказывать: больше собирать - меньше выплачивать и на эту разницу хорошо жить:-))
Когда человеку нужна мед.помощь он решает сам к кому из докторов ему обращаться (мнения знакомых, друзей) - своего рода линия доверия, страховые компании не могут давать подобного рода рекомендации, к кому из врачей пациенту лучше обращаться по той или иной проблеме.Законодательно запрещена и самореклама в прессе докторами типа*делаем ровные и стройные ноги или голливудскую улыбку:-))
В телефонном справочнике есть имена и телефоны практикующих врачей, а чаще, конечно, по советам друзей или родственников или коллеги врачи рекомендуют пациенту. Если всё проходит благополучно с пациентом и он доволен проведенным лечением, то есть вероятность, что он прорекламирует тебя своим друзьям, близким и т.д. и прямо противоположная реакция в случае проблемных результатов в плане антирекламы:-)) Для себя я избрал принцип - не снимать с пациента последние штаны при хорошем качестве помощи: деньги считают все и небогатые, и очень богатые, последние, пожалуй, даже и лучше.
ET>> выписку как только послеоп. боль может контролироваться таблетированными
ET>> аналгетиками , а не инъекциями.
AC> Вспоминается военка: "При прибытиии санитарного транспорта в
AC> медпункт полка следует команда - Ходячие, выходи!" ;-))
Хоть Намибия и страна развивающаяся, но свои деньги народ приучен считать с раннего детства, поэтому экономический стимул работает с одной стороны хорошо - больные стараются раньше выписываться из госпиталя, с другой - негативно: количество посещений частного доктора, физиотерапевта ограничено типом страховки,поэтому
послеоперационный протокол повторных осмотров далёк от академического, создаёт сложности отслеживания отдаленных результатов.
|
[
Ответить ]
|
Re: Polytrauma
Отправитель: Maxim Agalakov 22 Январь 2007, 20:47
|
> Физиотерапия и перевязки ( по необходимости) проводятся на аутпэйшент основе
А что за физиотерапия и зачем?
|
[
Ответить ]
|
Re: Polytrauma
Отправитель: Evgueny Tchekashkine 23 Январь 2007, 17:40
|
Максим, здравствуйте,
Лечебной физкультурой, электропроцедурами, массажами у нас занимаются физиотерапевты.
Физиотерапевты учат больных пользоваться костылями, распределять вес тела при ходьбе, пассивные, активные движения в суставах.... ЛФК в отдельную специальность не выделено как в России. Поэтому вся реабилитация проводится физиотерапевтами, программы построены с акцентом на лфк с минимумом элетро и тепловых процедур.
В реабилитацию входит и работа профессионального терапевта occupational therapist(OT) помогает больным восстановливаться с помощью динамических
шин( сухожильные повреждения, повреждения нервов) , поддерживающих ортезов, которые они сами и изготавливают индивидуально для каждого обратившегося пациента. Нередко они работают вместе с физиотерапевтами с одним больным.
суть везде одна, что в России, что здесь - различия в терминах.
с наилучшими пожеланиями,
Евгений
|
[
Ответить ]
|
|
( Ответить )
|
|