вверх
отправить
поиск
админ
главная
Предыдущее
Весь тред
|
Re: Proximal femoral shaft nonunion + osteomyeliti
Pavel Ivanov 10 Февраль 2007, 13:07
|
Дорогие друзья, тронут столь активным обсуждением представленного нами наблюдения.
Пока постараюсь ответить Игорю Редько:
> Случай сложный, не оправдывайся, у всех бывает сложно...
> А где взять много времени и сил, т.б. в Москве. Поэтому для больного лучше всего если
> ты его отправишь в Курган....
Игорь, цель нашего обращения к участникам форума - выбрать оптимальный способ лечения для данного больного и избежать осложнений.
У нас нет желания оправдываться, кроме того у нас достаточно времени и тем более сил что бы вылечить этого пациента. Не думаю, что отправка сложных и интересных пациентов на лечение к другим докторам лучшая линия поведения для хирурга. Сложных пациентов у нас в Склифе большинство. Всех их тоже отправлять по разным городам и весям? А нам что останется?
Кроме того, пациент не доедет до Кургана, так как у него нет средств на билет. Он по профессии телохранитель, кроме этой профессии делать ничего не научился и сейчас в финансовом плане испытывает некоторые затруднения.
Мы в нашем отделении активно обсуждаем все ваши советы и пока не пришли к окончательному решению, благо пациент будет ложиться в отделение в пятницу 9 февраля, и нас есть еще время подумать и надеемся получить письма и от других коллег. Что касается лично меня, то я пока склоняюсь к более радикальной операции - резекции кости. Но о нашем окончательном решении обязательно сообщу.
По-поводу столь категоричного отрицания некоторыми коллегами чудесных целительных свойств крысиного помета. Ну что сказать. Один из моих бывших легендарных военно-медицинских начальников в таких случаях говорил: "Костоправы вы, бл#, друзья мои! Слесари-ортопеды, право слово!".
Еще раз спасибо.
Best regards,
Pavel Ivanov
Sklifosovsky Clinical and Research Institute for Emergency Medicine
Polytrauma Department
3, Bolshaya Sukharevskay sq.
Moscow, 129010 Russia
|
|
|
Ответить
|
Re: Proximal femoral shaft nonunion + osteomyeliti
Игорь Редько 10 Февраль 2007, 13:11
|
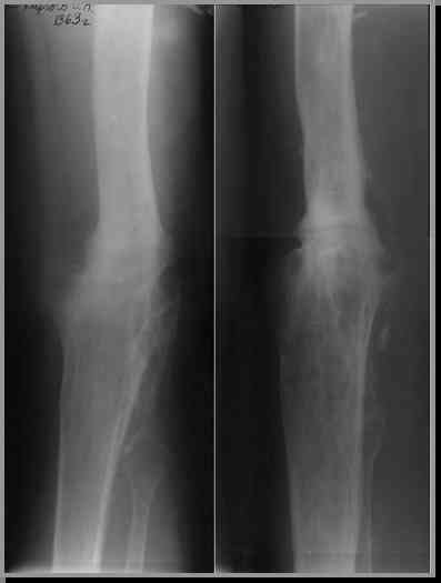
Павел, Дорогой!, ни коим образом не хотел посягнуть на желание быть профессионалом, умение делать все и тем более выправлять свои неудачи.
Этот стиль мне полностью приемлем и понятен. Наверно я бы поступил также. Но статистика упрямая вещь. Сколько у тебя или у другого врача опыта по замещению дефектов бедра? У меня за 25 лет работы 3, и еще около 15 случаев удлинения бедра. Случай у тебя очень сложный. Если Вы выбираете Илизаровскую методику то надо на в/з хорошую дугу, не менее 4-5 спиц с напайками.Стержни хороши когда кость не измучена и на 2-4 месяца. Здесь аппарат на 6-8 месяцев. Если есть желание я только за, и
желаю только успеха и чтоб все трудности которые будут преодолел.

Прикрепляю пример замещения дефекта бедра 20 см, после резекции по поводу опухоли, эндопротеза Сиваша, вялотекущего остеомиелита со свищами в течении 3 лет. Получилось хорошо и всего за 6 месяцев в аппарате. Колена не было. У Вас случай сложнее. Это было в 1998г. Я работал в ЦИТО и у меня было 4 больных, я занимался им с утра до ночи. Сейчас 60 больных и операций в нашем отделении 25-30 в неделю.Если могу чем помочь - нет проблем.
С уважением и наилучшими пожеланиями Редько И.
|
[
Ответить ]
|
( Ответить )
|
|