вверх
отправить
поиск
админ
главная
|
Отправлено Dr Abdelsalam EID 15 Апрель 2007, 19:02
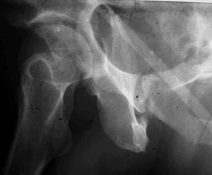
Dear Friends This is a 57 y old male.
Your input is welcome as to the classification of this fratcure, as well as the proposed management.
Unfortunately, CT is not available. Best Regards
Dr Abdelsalam EID M.D., AFSA (Paris V) AO Fellow Lecturer of Orthopedic Surgery Faculty of Medicine, Zagazig University, Egypt.
<
|
>
|
|
Ответить
|
Re: Fr acetabulum
Marco Berlusconi 15 Апрель 2007, 23:53
|
Dear Sir it looks quite difficult classify this fracture because the iliac view is not so clear.
In my opinion it is a column fracture because the obturator foramen is interrupted. There is a fracture of the posterior wall. If we assume the ap view as an iliac view it could be an anterior comun fracture plus posterior wall. It is difficult also to judge the head of the femur.
Was the hip dislocated at the accident?
If you have not a CT scan I think that in order to have a good classification you should obtain a better view of the judet x rays.
Best regards
Marco Berlusconi
Trauma Unit
Istituto Clinico Humanitas
Milan Italy
|
[
Ответить ]
|
Re: Fr acetabulum
Dr Praveen Rao 19 Апрель 2007, 23:10
|
Dear Dr Eid,
From the x rays it appears like a bicolumnar fracture with iliac extension (AO C1).
CT scan is mandatory to evaluate such fractures more accurately and also to plan the treatment and surgery Most of the bicolumnar fractures of the high variety in experienced hands can be managed thro the ilioinguinal approach
Best Regards
Dr Praveen Rao
India
|
[
Ответить ]
|
Re: Fr acetabulum
Abdelsalam Eid 19 Апрель 2007, 23:25
|
Dear Friends
I am grateful to Drs Berlusconi and Rao for their quick responses.
I am aware of the importance of CT for planning treatment in such cases. I usually get a CT for
acetabular fractures. However, in this case, the hospital's CT is temporarily out of function, and
due to technical and administrative problems,nothing medical, the patient cannot be transferred to an outside facility. So, we're stuck with X rays.
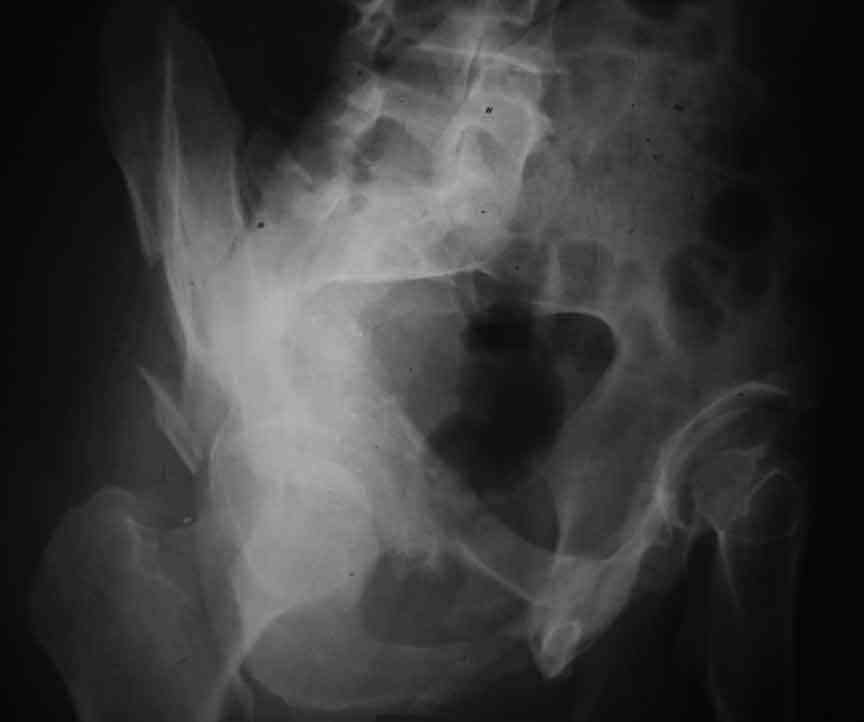
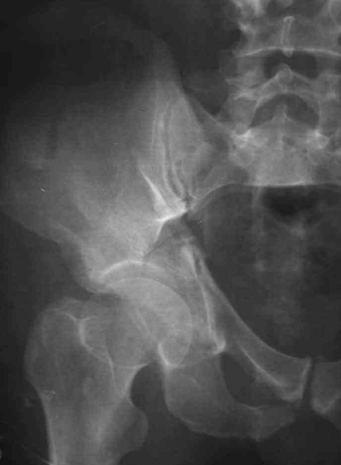
I am sending another iliac view, and a marked version of the AP I already sent. In this AP, the
proximal part of the greater sciatic notch as well as the distal parts of the ilioischial and iliopubic lines are marked with a grey interrupted line. A white interrupted line marks what could be an exit through the obturator foramen, or so I assume.

Thank you and best regards.
Dr Abdelsalam EID M.D., AFSA (Paris V)
AO Fellow
Lecturer of Orthopedic Surgery
Faculty of Medicine, Zagazig University,
Egypt.
|
[
Ответить ]
|
( Ответить )
|
|