AOTRAUMA.ORG Центр Илизарова  

Ортопедия и травматология Общие вопросы/General questions Help Информационные технологии в медицине
 вверх
 отправить
 поиск
 админ
 главная


вертлуга
Ортопедия и травматология Отправлено Maxim Agalakov 28 Май 2007, 20:38
Уважаемые коллеги.
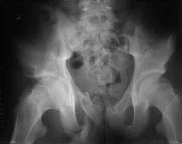
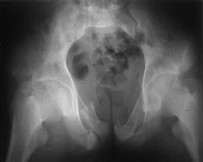
Поступил пациент, 16 лет, 1 мес после травмы.
Как вы считаете, надо ли оперировать вертлужную впадину? И как, кстати, классифицировать такое повреждение?
Best regards, Maxim V. Agalakov
Ural Scientific Research Institute
of Traumatology and Orthopaedics
7, Bankovsky str. Ekaterinburg 620014 Russia

<  |  >

 

  • Сообщения о Ортопедия и травматология
  • Также Maxim Agalakov
  • Связаться с автором
  • Ответить

    Re: вертлуга
    vit 29 Май 2007, 01:19
    а почему Вас не интересует ситуация в заднем полукольце таза? она настолько однозначна? тем более через месяц после травмы. Уважаемый , Maxim Agalakov, осчастливте Нас "хотя бы" диагнозом.
    [ Ответить ]

    • Re: вертлуга
      Отправитель: Maxim Agalakov 29 Май 2007, 11:12
      А чего там собственно таинственного? Билатеральное ротационно-нестабильное повреждение таза, перелом крестца в I зоне (по Denis)справа,частичное повреждение левого КПС, оскольчатые переломы лонной, седалищной костей справа (В3.2). Повреждение достаточно стабильное + молодой возраст+ сроки - оперативного лечения не требует.
      Вы, наверное, работаете на кафедре? Вопрос как-то очень смахивает на преподавательский.
      ...и будет вам счастье.

      --
      С уважением,
      Максим

      [ Ответить ]
      • Re: вертлуга
        Отправитель: vit 01 Июнь 2007, 01:15
        что заставило данного пациента обратится в Ваш стационар спустя 1 месяц после травмы? что заставило Вас его госпитализировть? коль скоро на обсуждение Вы представляете пациента с повреждением ,как минимум? одной области тела, не считаете ли Вы целесообразным более детально описать характер повреждения хотя-бы этой области? и представить в корректной форие данные инструментальных исследований?

        [ Ответить ]
        • Re: вертлуга
          Отправитель: Alexander Chelnokov 01 Июнь 2007, 01:40
          > что заставило данного пациента обратится в Ваш стационар спустя 1
          > месяц после травмы? что заставило Вас его госпитализировть?


          Пациент направлен из области.

          > ,как минимум? одной области тела, не считаете ли Вы целесообразным
          > более детально описать характер повреждения хотя-бы этой области?


          Какой информации недостаточно, на Ваш взгляд?

          > и представить в корректной форие данные инструментальных исследований?

          Каких именно? И какую проблему они должны решить?


          [ Ответить ]
          • Re: вертлуга
            Отправитель: vit 01 Июнь 2007, 10:52
            уважаемый Д-р Alexander Chelnokov, неужели Вы считаете , что предоставленая Вами информация достаточна для принятия хоть какого-то решения? будьте любезны, сформулируйте предварительный диагноз, на основании которого Вы определите показания к необходимости расходования седств как минимум на инструментальные исследования. "анамнестические данные" , включенные в окончательный диагноз, возможно , сыграют не последнюю роль в обосновании хирургической тактики

            [ Ответить ]
            • Re: вертлуга
              Отправитель: Alexander Chelnokov 01 Июнь 2007, 11:05
              Мне представляется, что для предложений по тактике, хотя бы в качественном плане, то есть оставить как есть или делать реконструкцию, информации представлено достаточно. Что косвенно подтверждается тем, что по предложенной информации от коллег поступили предложения по тактике.
              Судя по вопросу коллеги Агалакова о том, как же классифицировать это повреждение вертлужной впадины, его интересовало то, какой диагноз при такой поставили бы коллеги. Ждем Вашу формулировку."Показания к необходимости расходования средств как минимум на инструментальные исследования" вполне исчерпываются обнаружением повреждения вертлужной впадины и таза на обзорных рентгенограммах. Не очень понятно, зачем "анамнестические данные" включать в диагноз. Может быть, чем ходить вокруг да около, Вы попытаетесь ответить на заданные коллегой Агалаковым вопросы по существу? Либо предметно предложите, какое дообследование Вы полагаете целесообразным, и как его результаты должны повлиять на выбор - оставить как есть или оперировать?

              [ Ответить ]
              • Re: вертлуга
                Отправитель: Maxim Agalakov 01 Июнь 2007, 15:05
                > основании которого Вы определите показания к необходимости
                > расходования седств как минимум на инструментальные исследования.


                позволю себе вмешаться, что именно вас интересует конкретно?

                > "анамнестические данные" , включенные в окончательный диагноз,
                > возможно , сыграют не последнюю роль в обосновании хирургической
                > тактики


                дисконгруэнтность вертлужной впадины не является основанием для проведения инструментальных исследований?

                [ Ответить ]
        • Re: вертлуга
          Отправитель: Maxim Agalakov 01 Июнь 2007, 15:03
          > что заставило данного пациента обратится в Ваш стационар спустя 1
          > месяц после травмы?



          к нам не обращаются, к нам направляют

          > что заставило Вас его госпитализировть?

          определеть тактику лечения

          > коль скоро
          > на обсуждение Вы представляете пациента с повреждением ,как минимум


          я не представлял на обсуждения пациента со всеми его проблемами, я задал конкретный вопрос, как поступить с вертлужной впадиной.


          > одной области тела, не считаете ли Вы целесообразным более детально
          > описать характер повреждения хотя-бы этой области?


          что именно вас интересует?

          и представить в
          > корректной форие данные инструментальных исследований?


          каких именно?
          вообще, что конкретно вас интересует, не могли бы написать по-существу, в случае постараюсь ответить более предметно


          С уважением,
          максим Агалаков

          [ Ответить ]
    Re: вертлуга
    Evgueny Tchekashkine 29 Май 2007, 17:17
    Максим, приветствую,

    Не смог разглядеть на представленных картинках частичное повреждение левого КП, повреждение Денис1-2 справа? 3Д реконструкции в инлет и боковой проекциях убедительно не демонстрируют типа повреждения задних отделов тазового кольца(справа боковая масса скомпремирована), Наверное, у тебя есть возможность оценить тип перелома крестца по прямой проекции 3Д.
    Думаю, что КТ заднего отдела показала бы ясно тип повреждения .

    По поводу классификации повреждения тазового кольца( по тем данным . что видны на представленных картинках):
    по Pennal et al.- латеральное компрессионное повреждение тип В(ротационно-нестабильное (внутренняя ротация), вертикально стабильное)
    по Tile classif. тип В2-1 - частично стабильное повреждение с неполным разрывом задней дуги.
    По вертлуге- смог разглядеть только изолированный перелом передней колонны.
    Насколько я понял из твоего письма, обращенного к анонимному vit, ты не видишь показаний к реконструкции перелома. Я бы взялся за реконструкцию(илео-ингвинальный доступ), хоть прошел и месяц после травмы: боковая 3Д показывает смещение нагрузочной зоны впадины, что однозначно будет способствовать разрушению хряща головки и впадины( особенно у 16 летнего пациента с ожидаемым высоким уровнем активности) + изменение геометрии впадины за счет неустраненного смещения фрагментов колонны (КТ, 3Д данные).
    На мой взгляд, без реконструкции этот сустав обречен (концепция вторичной конгруэтности в данных условиях работать не будет), реконструкция дает шанс на восстановление функции сустава.

    Всего Доброго,
    Евгений Чекашкин
    [ Ответить ]

    • Re: вертлуга
      Отправитель: Maxim Agalakov 29 Май 2007, 22:10
      > Не смог разглядеть на представленных картинках частичное повреждение левого
      > КП, повреждение


      по-поводу таза особых диагностических сложностей и не было, на некоторых других срезах есть "раскрытие" левого КПС


      > На мой взгляд, без реконструкции этот сустав обречён ( концепция вторичной
      > конгруэтности в данных условиях работать не будет), реконструкция даёт шанс
      > на восстановление функции сустава.


      не так давно на форуме обсуждали похожий случай, большинство участников обсуждения были за оперативное лечение.

      Недавно наблюдал этого пациента - жалоб на тазобедренный сустав вообще никаких, ходит без хромоты, рентгенологических признаков быстрого развития остеоартроза нет, хотя, конечно, срок наблюдения маловат (месяца 4).
      В свежем случае прооперировали бы скорее всего, а так мнения разошлись. Спасибо за интерес к этой проблеме.

      С уважением,
      Максим Агалаков

      [ Ответить ]
      • Re: вертлуга
        Отправитель: Evgueny Tchekashkine 29 Май 2007, 22:15
        Максим,

        Спасибо за ссылку - представленный ранее случай каким-то *чудесным* образом до меня не дошел.
        Интересные комментарии тазовых экспертов.
        Сравнивая боковые проекции 3Д реконструкций, разница переломов очевидна: в предыдущем случае на боковой проекции не видно было ступени нагрузочной зоны суставной поверхности - это и объясняет приличную функцию сустава.

        Всего доброго,
        Евгений Чекашкин


        [ Ответить ]
        • Re: вертлуга
          Отправитель: Evgueny Tchekashkine 29 Май 2007, 22:28
          согласен, что переломы отличаются, но, может, смещение не критическое (типа минимально смещенный) и нет уверенности, что в этом сроке удастся восстановить идеально. Эксперты, кстати, как вы уже увидели, были большей частью за оперативное лечение.

          --
          С уважением,
          Агалаков

          [ Ответить ]
    Re: вертлуга
    Djoldas Kuldjanov 29 Май 2007, 22:47
    Трудно классифицировать перелом ацетабулума месячной давности у молодых. Сильно развитая надкостница иногда не дает сместиться фрагментам и происходит сращение в короткие сроки.

    В данном случае 3D и корональные срезы КТ менее информативны, чем поперечные. Согласен с левосторенним минимальным повреждением КПС, но не смог уловить перелом крестца.
    На 3D по линии перелома ацетабулум возможно сверху в подздошной кости уже есть сращение? или состояние перелома у молодых, после неполного (при пластической деформации) перелома.
    По представленным материалам, мне кажется, перелом был передней колонны ацетабулум с минимальным вовлечением нагрузочной поверхности сустава, левосторенний повреждение КПС и лонных костей.

    При свежем случае показана фиксация передней колонны к задней (снимки), компрессирующим винтом минимальным перкутанным методом по супраацетабулярной линии и в зависимости от состояния КПС.


    iliac view


    obturator tear drop view


    obturator view



    column model



    Поэтому, в ранних и в спорных сомнительных случаях полезно проведение EUA (evaluation under anesthesia) в условиях операционной с доказательными нагрузочными рентгеновскими снимками. В данном случае, учитывая молодой возраст и прошедшее время, я бы оставил больного для дальнейшего консервативного наблюдения.

    Стандартные снимки ацетабулума по Judet и снимки таза (инлет и оутлет) подскажут дальнейшую тактику по нагрузке.


    Djoldas Kuldjanov, MD
    Department of Orthopedic Surgery
    St. Louis University Medical Center


    [ Ответить ]


    ( Ответить )

    Powered by Zope  Squishdot Powered MedLink
    Посетитель: 0192432
      "По форме правильно, а по существу - издевательство" В.И.Ленин
    ©2001-2019Orthoforum Coordinator.
    [ Главная | Отправить сообщение | Поиск | Админ ]