вверх
отправить
поиск
админ
главная
|
open dislocation of the knee joint |
 |
 |
 |
Отправлено Castro 29 Октябрь 2007, 16:41
Bolnoi 27 let, DTP, Motorcycle trauma, postupil v kreane tiajelom sostoianii, osnovnia trauma- otkrity totalny vivih levogo kolennogo sustava s povrezdeniem malogo bersovogo nerva, tracionnoi povrezdenia podkolennoi arterii bez narushenia selostnost' sosuda, pomosh' okazanno v nujnum obmeme, kakoe ze mnenie uvazaemih kolleg naschet dalneshego vvedenia bolnogo? Castro
<
|
>
|
|
Ответить
|
Re: open dislocation of the knee joint
Abdurashid Turaev 31 Октябрь 2007, 23:32
|
Uvajaemiy kollega! *Pomosh okazano v nujnom ob`eme*- kak ponyat? Vosstanovili krestoobraznih i bokovih svyazok? ili prosto vivih vpravili i fiksirovali AVF. sudya po R-snimkam nadkolennik nahoditsya visoko- znachit povrejdena i sobstvennaya svyazka, kotoraya ne ushita. Potom mojno sostavit plan lecheniya. S uvajeniem Abdurashid.
|
[
Ответить ]
|
Re: open dislocation of the knee joint
Отправитель: Castro 01 Ноябрь 2007, 06:25
|
Dorogoi Dr. Abdurashid,
Imeetsta vvedu v "nuznom obeme" na pervie chasy, chto bi spasty konechnost', rech voobshe ni idet o vostonovlenii kakih to sviazok, a o dalnishim vvedenia bolnogo, ni bolshe ni menshe, kakia sviazka mozet bit ushitya ili net, esli ranu ni znaem kak zakrit'i krovotok pod somneniem?????!!!
|
[
Ответить ]
|
|
Re: open dislocation of the knee joint
Djoldas Kuldjanov 01 Ноябрь 2007, 08:55
|
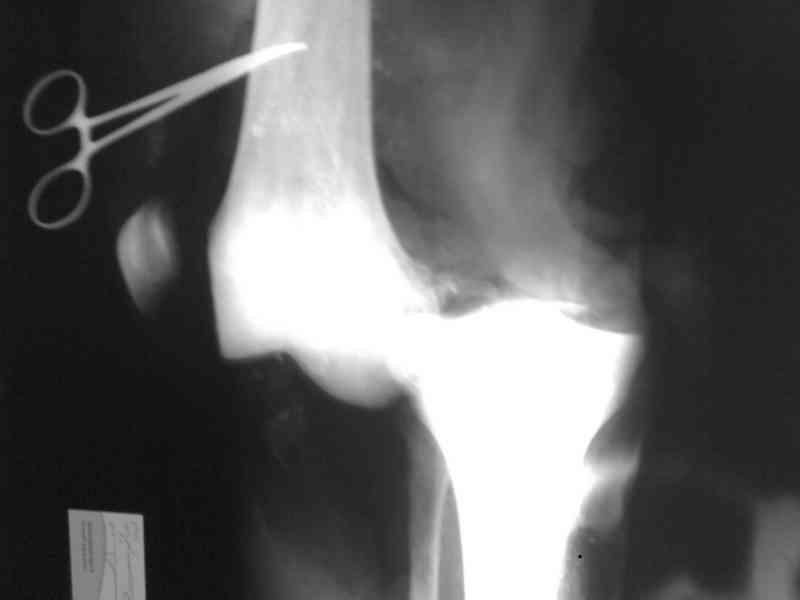
Доктор Castro,
На ренгенограмме хорошая аппозиция костей коленного сустава, но надколенник находится подозрительно высоко, поэтому необходимо убедиться в отсутствии повреждения связки надколенника.
Если состояние мягких тканей не вызывает сомнения, тогда надо проводить профилактику эквинуса брейсом.
Наличие пульсации на конечностях еще не доказательство отсутствия интимальных повреждении сосудов, наблюдались вторичные осложнениия, поэтому важна консультация сосудистого специалиста.
Аппарат внешней фиксации удаляется в 6-7 недель,
предпочтительно под общим обезболиванием, во время
удаления проверяется стабильность и амплитуда движения в коленном суставе с редрессацией.
При пользовании стержневых наружных фиксаторов,
надо придерживаться правила проведения стержней подальше от зоны, на бедре лучше накладывать стержни косо передне-латерально, между брюшками прямой и vastus lateralis, а на голени по передне-медиальной поверхности большеберцовой кости, где отсутствует мышцы, иначе
восстановление движения в суставе тяжелее из-за
прошитых мышц спицами или стержнями аппарата.
Последующее два-три месяцев проводим ЛФК сустава,
потом на основании стабильности сустава решается
необходимость оперативного вмешательства.
Общепринятые последовательности реконструкции,
поэтапные восстановление PCL плюс медиальная или PCL плюс латеральная, хотя множество случаев когда связки срастались в течение 6-7 недель, больные восстанавливали движения сустава без оперативного вмещательства.
Кстати, в приемных покоях для диагностики повреждения сосудов применяется очень дешевый простой метод Ankle-Brachial Index. Подозревается повреждение сосудов, когда различные соотношения давления на плече и на нижней конечности.
Djoldas Kuldjanov, MD
Department of Orthopedic Surgery
St. Louis University Medical Center
|
[
Ответить ]
|
Re: open dislocation of the knee joint
Отправитель: Djoldas Kuldjanov 01 Ноябрь 2007, 09:02
|
Снимки прошлых публикации из моего Power point
Djoldas Kuldjanov, MD
Department of Orthopedic Surgery
St. Louis University Medical Center
|
[
Ответить ]
|
|
( Ответить )
|
|