ВХОД ДЛЯ ПАЦИЕНТОВ
вверх
поиск
админ
главная
исходное
|
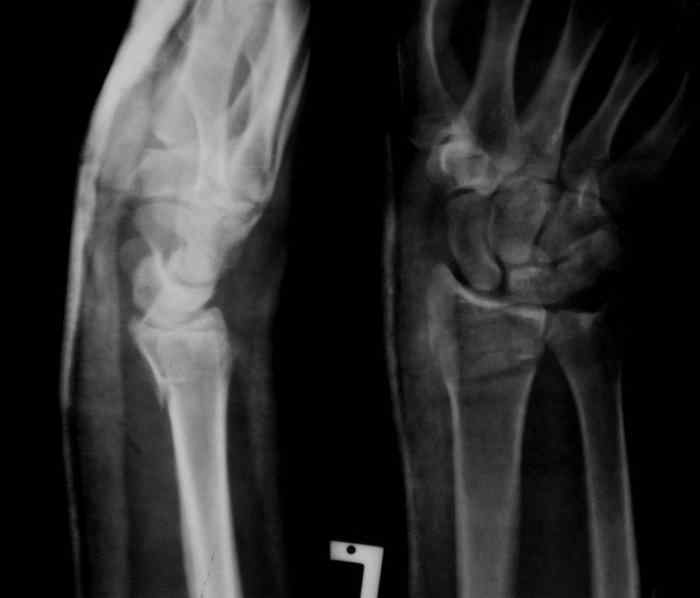
Re: Луч со смещением
послал Sergey Melashenko 14 Декабрь 2007, 02:02
|

Под проводниковой анестезией произвел аккуратную одномоментную репозицию, фиксацию гипсовой повязкой в положении умеренной экстензии. Думаю неплохо получилось. Мягкие ткани не вызывали опасений в плане Зудека.
Спасибо.
|
| Послать ответ |
Обратите внимание: Поля с жирными названиями обязательны.
Старайтесь отвечать в рамках обсуждаемой темы, а не начинать новые обсуждения.
Указывайте адекватную тему сообщения, чтобы было ясно, о чем оно.
Не послайте сообщений не по теме (оффтопик), раздраженных, грубых или обидных комментариев. Здесь это неуместно.
|