ВХОД ДЛЯ ПАЦИЕНТОВ
вверх
поиск
админ
главная
исходное
|
Re: застарелое повреждение голеностопного сустава
послал Djoldas Kuldjanov 10 Март 2008, 13:19
|
Максим,
Если больному показан артродез, то какой метод выбрали бы для артродезирования голеностопного сустава?
Мне кажется, что невысокие требования больного не
являются показанием для радикальных решений, и поэтому ваши аргументы по показаниям к артродезированию звучат не так убедительно.
Иногда "доброжелатели врачи" из-за незнания
современной тактики лечения дают противоречивый совет.
Для убежденности больных в безуспешности консервативного лечения требуется время, в результате чего происходит потеря конгруэнтности сустава, что может привести к ранним артрозам.
Больному всего 42, сохранный сустав, за 1.5-2 месяца сустав еще не успел "выработаться".
Навряд ли консервативное лечение на скелетном
вытяжении или гипс, как рекомендуют наши коллеги,
помогут восстановить сустав.
Каждый, представляющий что-то на сайте, особенно из крупных центров, на которых равняются ЦРБ и все остальные, должен знать, что без полного обследования со стандартными снимками нет смысла дискутировать, теряется интерес к случаю.
>"По-поводу артродеза, мысль возникла после прочтения дисера А.М. Лаврукова. Обнаружил интересные вещи, например, при восстановительных операциях на голеностопе с хорошим результатом (как правило наиболее "простые" повреждения"
По-моему не многим известно содержание диссертации и даже если она написана на высоком уровне, вряд ли там была рассмотрена сегодняшняя восстановительная техника.
В век стремительного развития ортопедии даже некоторые пятигодичные данные считаются уже устаревшими.
В данный момент больной из категории "фиксируемых
переломов" переходит в категорию "плановых", т.е.
сейчас без спешки, согласно "стандартных"
рентгенологических обследований можно планировать
восстановление.
К тому времени несросщиеся кости консолидируются,
потом легче произвести расчеты по высоте малоберцовой и выбору типа остеотомии.
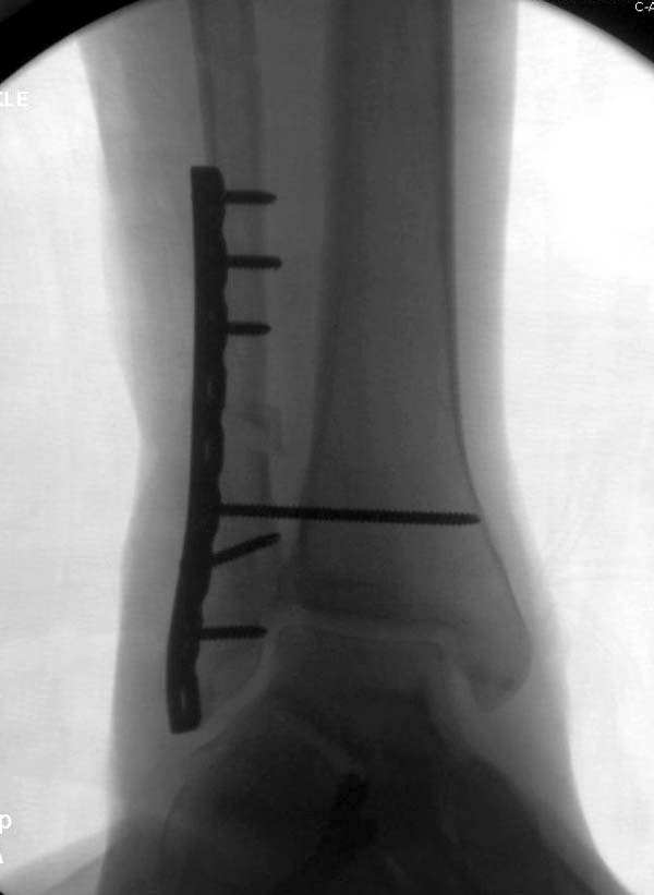
Здесь представлено решение похожей проблемы. Больной в течение года лечился консервативными мерами, и боли в голеностопе были основным показанием к операции.

Проведена обычная стандартная процедура по исправлению неудовлетворительного состояния голеностопного сустава, где кроме удлинения малоберцовой с применением compression tension device за проксимальный конец пластины, проведено замещение трикортикальным графтом из крыла, освобождение синдесмоза и медиальной щели от
фибротических масс с фиксацией.
Не могу дать ссылку на сравнительную литературу
"артродез против восстановления", но можешь поверить мне, что несмотря на продолжительный период до восстановления сустава, после таких операции больные чувствует намного легче чем после расхваливаемого артродеза.
Djoldas Kuldjanov, MD
Department of Orthopedic Surgery
St. Louis University Medical Center
|
| Послать ответ |
Обратите внимание: Поля с жирными названиями обязательны.
Старайтесь отвечать в рамках обсуждаемой темы, а не начинать новые обсуждения.
Указывайте адекватную тему сообщения, чтобы было ясно, о чем оно.
Не послайте сообщений не по теме (оффтопик), раздраженных, грубых или обидных комментариев. Здесь это неуместно.
|