AOTRAUMA.ORG Центр Илизарова  

Ортопедия и травматология Общие вопросы/General questions Help Информационные технологии в медицине
 вверх
 отправить
 поиск
 админ
 главная


остеобластеокластома локтевой кости
Ортопедия и травматология Отправлено Maxim Agalakov 12 Апрель 2008, 20:01
Здравствуйте, коллеги.
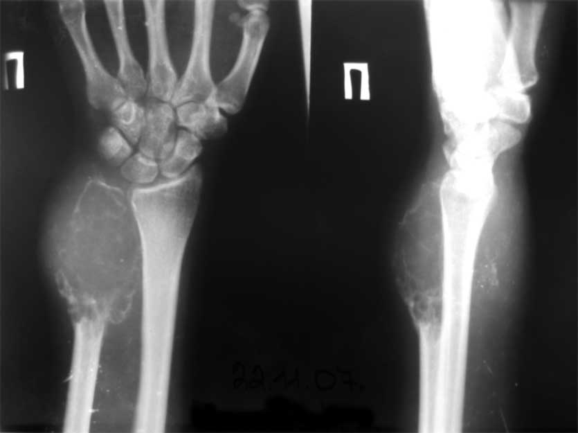
Обратилась пациентка 21 года с опухолью в области н/3 диафиза локтевой кости.
Первые жалобы появились около года назад. Снимков старых под рукой сейчас нет, но опухоль быстро прогрессировала, за полгода увеличилась в размерах более чем в 2 раза. Выполнено несколько гистологических исследований - стеобластеокластома без признаков озлокачествления. После заключительной биопсии на локтевой поврехности предплечья есть рана 5/7 см,не заживет на протяжении 2 мес (натяжение кожи над опухолью), гранулирует, небольшое количество налетов. Планируется резекция, продленная фиксация в гипсе/аппарате - 3-4 мес для формирования контрактуры, уменьшения риска локтевой девиации кисти.
Вопросы: как поступить после резекции опухоли, какие действия можно предпринять, чтобы максимально сохранить функцию предплечья, л/з сустава?
P.S.микрохирургической техникой не располагаем, остальное - возможно, фото раны пришлю как поступит в отделение
С уважением,
Максим Агалаков, госпиталь Ветеранов Войн, Е-бург

<  |  >

 

  • Сообщения о Ортопедия и травматология
  • Также Maxim Agalakov
  • Связаться с автором
  • Ответить

    Re: остеобластеокластома локтевой кости
    Konstantin Kudinov 13 Апрель 2008, 22:43
    Была 2 мес. назад больная с той же опухолью той же локализаци. Тех же примерно размеров. Мистика какя-то :-) Сделал резекцию, опухоль убрал с мягкими тканями, удалось убрать, не нарушив ее. Локтевую артерию легировал. Электроабляция с фанатизмом. Гипсовая иммобилизация 4 нед, затем - разработка. Больная постоянно носит фиксатор лучезапястного сустава. Работает компьютерщиком. Довольна. А еще б ей не быть довольной, если онкологи, которые к нам ее послали, однозначно приговорили ампутацию:-)
    [ Ответить ]

    Re: остеобластеокластома локтевой кости
    Leonid Solomin 13 Апрель 2008, 22:48
    Уважаемый Максим Агалаков!
    Полагаю, что данном случае методом выбора (которому бы я последовал) является кортикотомия в/з локтевой кости, выполненная сразу после резекции опухоли, для замещения дефекта по Илизарову.

    Всего доброго,
    Л.Соломин

    [ Ответить ]

    Re: остеобластеокластома локтевой кости
    В.Машталов 13 Апрель 2008, 22:50
    Ув. коллега, наличие незаживающей раны и Р-логическая картина опухоли, несмотря на первичное заключение гистологов, настораживает на имеющиеся
    "зло".
    Как вариант- резекция опухоли, установка временного цементного спейсера, гистология всей опухоли. В последующем возможна пластика проксимальным участком м/берцовой кости с головкой.

    С ув. В.Машталов
    [ Ответить ]

    Re: остеобластеокластома локтевой кости
    Г.А.Пальшин 15 Апрель 2008, 23:53
    Наличие периостального козырька у основания свидетельствует об вторичном озлокачествлении гигантоклеточной опухоли. Отделяемое неоднократно исследуют цитологически на наличие опухолевых клеток, а также с посевом на микрофлору и чувствительность к а/биотикам. Абластичная резекция в пределах здоровых тканей с замещением дефекта цементном спейсером с антибиотиками в условиях инфекции является адекватным способом лечения.

    С ув. Г. Пальшин
    [ Ответить ]

    Re: остеобластеокластома локтевой кости
    Александр Виноградский 18 Апрель 2008, 22:17
    Уважаемые коллеги! Нам не совсем понятна идея цементного спейсера в данном случае.Планируем резекцию в пределах здоровых тканей, и динамическое наблюдение. Через год - два, при гистологически и клиничесеки благоприятном исходе возможны реконструкции.
    [ Ответить ]

    Re: остеобластеокластома локтевой кости
    Ростислав Никифоров 22 Апрель 2008, 21:32
    Только один человек правильно назвал опухоль (гигантоклеточная), я бы посоветовал перепроверить стекла в другом отделении.
    [ Ответить ]

    Re: остеобластеокластома локтевой кости
    Леспович 22 Апрель 2008, 22:43
    Здравствуйте, коллеги!
    Максим, учитывая незаживающую рану в области поражения, не исключен вариант резекции не только участка локтевой кости. Понимаете? Не исключаю того, что придется иссекать и окружающие мягкотканные структуры... Чем закрывать дефект будете? технически ой - как не просто...

    Иногда малоберцовую кость пересаживают в комбинации с кожно-фасциальным лоскутом, выделяемым на перегородочно-кожных сосудах.

    В любом случае идентификация,мобилизация, может и транспозиция (min)локтевого СНП понадобится, т.е. первый этап проведите обескровив конечность, под адекватной анестезией. А дальше по обстоятельствам...

    Напишите, что увидете, сделаете, если есть возможность сфотографируйте.
    С уважением Алексей.
    [ Ответить ]

    Re: остеобластеокластома локтевой кости
    Зельский Илья Александрович 24 Апрель 2008, 15:02
    Привет, Максим! рентгенологически явные признаки малигнизации ГКО.
    Летом 07 года пациентка 17 лет была прооперирована в детском отделении (рентгенологическая картина та же, гистология(от онкологов, открытая биопсия) - остеобластокластома литический вариант без признаков малигнизации.
    Была сделана частичная резекция н-3 с аутотрансплантатом с фиксацией апп. Илизарова.
    Через 1 месяц после операции бурный продолженный рост опухоли.
    После курса комбинированной терапии у екатеринбургских онкологов больную отправили в Москву. Как сложились ее дела там - не знаю.
    Так что не верь гистологии, верь глазам своим.
    Екатеринбург, УНИИТО
    [ Ответить ]

    • Re: остеобластеокластома локтевой кости
      Отправитель: Maxim Agalakov 25 Апрель 2008, 21:12
      Уважаемые коллеги, благодарю за проявленный интерес и прошу прощения з-а паузу.
      Попытаюсь ответить оптом.
      Да, есть сомнения в доброкачественности опухоли, остобластеокластома - на самая тривиальная вешь, по клеточному составу может быть доброкачественной и при этом давать очаги в других органах (наблюдал историю одной пациентки с такой ситуацией- очаги в легких, прощло уже 10 лет, без признаков прогрессирования, химиотерапия не проводилась. биопсия и оперативное лечение неоднократно бСССР, заключительный раз -UK. как раз 10 лет назад). Да и как вы объясните пациентке в необходимости ампутации руки, если 3 гистологических заключения свидетельствуют о доброкачественности, у нас в такой ситуации и онкологи на такое не идут, потому отправляют к ортопедам.Рентген тоже не окончательная инстанция, уверен, патогистологам здесь есть, что сказать.
      Основную задачу вижу в резекции опухоли в пределах здоровых тканей, плстические проблемы будем решать позже: по-заживлению раны. отсутствии рецидива.
      Незаживающая рана, по-моему, является последствием резекционной биопсии в условиях, когда кожа и мягкие ткани были натянуты над опухолью и буквально лопнули при прикосновении скальпеля.
      С уважением. Максим Агалаков



      [ Ответить ]
      • Re: остеобластеокластома локтевой кости
        Отправитель: Maxim Agalakov 14 Май 2008, 19:26



        Уважаемые коллеги, госпитализировали, наконец, эту пациентку, чему не очень рады, как клиническая, так и рентгенологическая картины изменились, кроме того Hb 76.Направил на повторную консультацию к онкологу. Остеобластеокластома может себя так вести?


        [ Ответить ]
        • Re: остеобластеокластома локтевой кости
          Отправитель: Konstantin Kudinow 15 Май 2008, 15:20
          Может. Злокачественная. Надо обследовать в соответствии со стандартом, очень быстро и, желательно, сделать КТ ОГП. Уровень ампутации - н\3 плеча. Плюс обязательно надо сделать подмышечную лимфаденэктомию на предмет метастазов. Прогноз неблагоприятный.
          Хотя ИМХО, конечно. Нужно больную смотреть. Вам, на месте, всяко виднее.

          С уважением.

          ЗЫ, а я не помню, Вы ей биопсию брали? Если нет, ампутацию можно проводить только по заключению гистолога, во избежание судебных проблем.

          [ Ответить ]
          • Re: остеобластеокластома локтевой кости
            Отправитель: Maxim Agalakov 15 Май 2008, 21:14
            ЗЫ, а я не помню, Вы ей биопсию брали?

            троекратно, заключительный раз резекционная, стекла смотрели 3 разных патогистолога - заключения однозначные: ОБК без признаков озлокачествления. В такой ситуации - зачем лимфаденэктомия?

            С уважением, Максим.


            [ Ответить ]
            • Re: остеобластеокластома локтевой кости
              Отправитель: Рашид Муртузалиевич Тихилов 15 Май 2008, 23:35
              Уважаемый Максим,
              Клинико-рентгенологически очень похоже на хондросаркому..... Хотя, конечно же, необходимо гистологическое заключение...
              С уважением, Р.Тихилов

              [ Ответить ]
            • Re: остеобластеокластома локтевой кости
              Отправитель: Konstantin Kudinow 16 Май 2008, 07:23
              Плоховато она выглядит на снимках.

              А гистологию зачем 3 раза брали? Сомневались, что-ли? После каждого вмешательства опухоли свойственно преобретать более агрессивный характер, ОБК - очень часто (да, блин, всегда) рецидивирует после неадекватных вмешательств, более злая, чем раньше. Более злая - это значит менее дифференцированная или вообще не дифференцированная, быстрее растущая, прорастающая, рано дающая метастазы в ЛУ, рядом, и в ОГП. У меня был случай, когда рецидив ОБК оказался низкодифференцированной остеогенной саркомой, то-есть произошла трансформация опухоли (хотя вопрос на эту тему - дискутабельный). В литературе такое тоже описывают.

              С уважением.

              ЗЫ. Руку, по-моему, нужно пилить не откладывая.

              [ Ответить ]
            • Re: остеобластеокластома локтевой кости
              Отправитель: Г.А.Пальшин 16 Май 2008, 13:55
              Уважаемые коллеги. По данным рентгенограммы опухоль больше похожа на злокачественную фиброзную гистиоцитому или телеангиоэктотический вариант остеогенной саркомы с поражением кожных покровов. По данным 6 отделения ЦИТО (Бурдыгин В.Н., А.В. Балберкин) и докторской диссертации А.Н. Махсона при поражении низкодифференцированной, т.е. высокозлокачественной опухолью кожных покровов или магистральных сосудисто-нервных структур органосохраняющие оперативные методы лечения не показаны, т.к. имеются отдаленные не диагностируемые метастазы. Показано комбинированное оперативное лечение по принципам неоадъювантной ПХТ.

              Г. Пальшин.

              [ Ответить ]
            • Re: остеобластеокластома локтевой кости
              Отправитель: А.Г.Рыков 16 Май 2008, 16:14
              Может при озлокачествлении (литическая форма), но уж больно похоже на хондро SA.
              А. Рыков

              [ Ответить ]
              • Re: остеобластеокластома локтевой кости
                Отправитель: Maxim Agalakov 17 Май 2008, 23:19
                А гистологию зачем 3 раза брали? Сомневались, что-ли?

                сомневались, мы взяли пациентку, потому что другие учреждения отказались, онкологи не взяли, потому как в основном делают ампутации, при "зле", остальное - ортопедия.

                С уважением, Максим


                [ Ответить ]
    Re: остеобластеокластома локтевой кости
    Ютовец Юрий 20 Май 2008, 10:46
    Уважаемый Максим.
    по опыту нашего отделения, могу сказать, что сохранная операция под большим сомнением.
    и согласен с мнением коллег.
    скажите - иммуногистохимию делали?
    я знаю, что относительно костных опухолей это достаточно проблематичное исследование, но не невозможное.
    опухоль достаточно коварная, и не даром, вынесена отдельно в классификации.
    здесь лучше не играть с "огнем".
    я только не увидел данные томограмм.
    в любом случае проблема сложная.
    [ Ответить ]


    ( Ответить )

    Powered by Zope  Squishdot Powered MedLink
    Посетитель: 0000014
      "По форме правильно, а по существу - издевательство" В.И.Ленин
    ©2001-2019Orthoforum Coordinator.
    [ Главная | Отправить сообщение | Поиск | Админ ]