вверх
отправить
поиск
админ
главная
|
Ятрогенный подвертельный перелом |
 |
 |
 |
Отправлено Djoldas Kuldjanov 12 Август 2008, 19:36
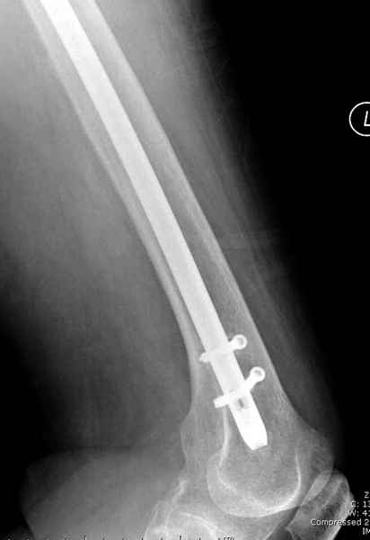
77 летняя больная направлена в нашу клинику на дальнейшее лечение. Из истории, травму получила в сентябре 2007 года и по поводу перелома шейки бедра больная была проперирована тремя каннюлированными шурупами с явным нарушением технологии установки шурупов. Внизу вместо одного шурупа имеется два, что привело к стрессу латерального кортекса. Через месяц по поводу ятрогенного подвертельного перелома сделана фиксация длинной Гамма 3. Установлен без проксимальной блокировки? (set screw). В данный момент имеется несостоятельность конструкции и ложный сустав. Передвигается с помошью костылей, конечность укорочена на 2 см. Какие будут рекомендации?Djoldas Kuldjanov, MDDepartment of Orthopedic SurgerySt. Louis University Medical Center
<
|
>
|
|
Ответить
|
Re: Ятрогенный подвертельный перелом
Дедок Михаил 12 Август 2008, 23:38
|
Уважаемый коллега! В нашей районной больнице нет ни ЭОПа, ни блокируемых гвоздей.
Я не вижу на снимках нестабильности конструкции (разве что гнутый дистальный винт).
Если бы данная пациентка была у меня, и она была-бы "сохранная", то я бы выбирал между тремя вариантами:
1. Вальгизирующая остеотомия с фиксацией пластинкой Троценко- Нуждина с обязательной костной аутопластикой.
2. Остеосинтез Г-образной пластиной 90 градусов с декортикацией и костной аутопластикой.
3. Удалить дистальные блокирующие винты и дать полную нагрузку.
Скорее всего я бы выбрал вариант 3.
А может пусть ходит так... (типичный подход бедной Российской глубинки):(
|
[
Ответить ]
|
Re: Ятрогенный подвертельный перелом
Отправитель: Sereda Andrey 13 Август 2008, 00:00
|
Михаил, здравствуйте. Если присмотреться - на четвертом снимке есть перелом гвоздя по отверстию.
|
[
Ответить ]
|
|
Re: Ятрогенный подвертельный перелом
Alexander Chelnokov 13 Август 2008, 09:00
|
Видимо, проблем тут две: во-1-х, центральный отломок был оставлен в варусно-сгибательной установке, во-2-х, не динамизировали вовремя.
Нижние винты хотели сломаться, но, увы, один не сломался, и тогда сломался гвоздь. Хотя и при динамизации в таком положении отломков
могло не срастись.
Можно заменить констркуцию на такую же или подобную. Но с помощью отклоняющих (Poller) спиц или винтов разместить ее уже соосно центральному отломку.
|
[
Ответить ]
|
Re: Ятрогенный подвертельный перелом
Djoldas Kuldjanov 19 Август 2008, 01:03
|
Больная "сохранная и активная", водит машину, недовольна происходящим и укорочением конечности.
"1. Вальгизирующая остеотомия с фиксацией пластинкой Троценко- Нуждина с обязательной костной аутопластикой."
В интернете не нашли описание пластины Троценко-Нуждина.
Вальгусные операции биомеханически расчитаны для шеечных несращений, и чрезмерная вальгизация в проксимальной части бедра приведет к вальгусу всей конечности, и будет трудно добиться сращения в ложном суставе.
"2. Остеосинтез Г-образной пластиной 90 градусов с декортикацией и костной аутопластикой"
Г-образная пластина в 90 градусов неплохой вариант, но тогда за счет компрессии укорочение будет прогрессировать.
Не стали усложнять интрамедуллярным вариантом коррекции, легче контролировать коррекцию пластиной, поэтому сделали операцию 95 градусной Blade Plate, разогнув до 110 градусов.
Надеемся на успех, потому что до введения пластины дефект от импланта забили костной стружкой и удалось создать компрессию между отломками, максимальную для импланта (150 кило/паунд). Сделана дополнительная костная пластика и за счет измененного угла пластины устранено укорочение конечности.
Допущенные прежним врачом тактические и технические ошибок мы разобрали на нашей конференции по ошибкам "M&M".
Страйкер предоставил отличный инструмент - крючок для удаления длинного гвоздя. Считаем, что врачебная ошибка по установке привела к несостоятельности импланта и к ятрогенному осложнению.
Djoldas Kuldjanov, MD
Department of Orthopedic Surgery
St. Louis University Medical Center
|
[
Ответить ]
|
Re: Ятрогенный подвертельный перелом
Отправитель: Коваленко А.Н. 23 Август 2008, 13:39
|
Прошу прощение за позднее присоединение к теме.
Хотелось бы уточнить реабилитационный режим пациетки. Ходит она с костылями или без, продолжеает водить машину(на какой срок после операции)? Понятно, что послеоперационный режим описан в руководствах. Однако, в разных учреждениях чуть ли ни у каждого врача "собственный подход", подкрепленный своими аргументами: от качества синтеза до личного опыта и умозаключений. Какой режим в данном конкретном случае?
С уважением, Коваленко А.Н,
|
[
Ответить ]
|
Re: Ятрогенный подвертельный перелом
Отправитель: Djoldas Kuldjanov 24 Август 2008, 09:19
|
Наш режим реабилитации не отличается от описанных.
Со второго дня реабилитологи (здесь их называют физиотерапевтами) учат больных ходить на костылях.
Она встала на костыли без проблем, нагрузка разрешена щадящая (WBAT-weigth bearing as tolerated). После 48 часов удален дренаж, а на следующий день больная выписана.
Она из другого города, и будет наблюдаться через две недели у своего доктора. Кожные швы рассасывающиеся Monocryl # 3, и нет необходимости ежедневной обработки "йодом".
Когда сопутствующее состояние не позволяет выписать домой и необходимо продолжение терапии, тогда такие больные могут быть направлены в ближайший от их дома реабилитационный стационар.
Лечение в реаб. стационарах намного дешевле, чем в обычной больнице, и там получают более направленное восстановительное лечение.
При необходимости из реаб. центра могут быть доставлены на консультацию в нашу клинику (Clinical office) на осмотр. В клинике, кроме клиничеcкого и рентгенологического осмотра, также оценивается состояние по продолжению антикоагуляционных препаратов, назначенных при выписке.
Первое послеоперационное наблюдение в две недели.
Будет ли водит машину, трудно предположить, хотя имелись случаи когда больные после тяжелых травм скелета в течение 7-8 месячной терапии доходили до предтравматичеких кондиции.
Djoldas Kuldjanov, MD
Department of Orthopedic Surgery
St. Louis University Medical Center
|
[
Ответить ]
|
|
Re: Ятрогенный подвертельный перелом
Ярослав 12 Март 2010, 02:13
|
Где рентгенограммы, доказывающие перелом латерального кортекса из-за "неправильно установленных канюлированных винтов"
Лично я вижу интромедуллярный блокирующий остеосинтез бедренным фиксатором, с рассверливанием ретроградного отверстия под шеечный винт гамма и, как следствие, последующим переломом фиксатора, с последующим его забиванием, приведшим к угловой деформации дистальных фиксаторов и ятрогенному подвертельному перелому бедра и попыткой обвинить доктора, прооперировавшего субкапитальный перелом шейки 3мя винтами и достигшего консолидации.
PS; Обосрался - не вини другого...
|
[
Ответить ]
|
Re: Ятрогенный подвертельный перелом
Отправитель: Ярослав 12 Март 2010, 10:07
|
Прошу прощения за резкий тон -- не обращайте внимания :).Просто когда у меня появилась такая версия -- я очень осерчал,а потом подумал - вдруг не прав?, а человека обидел.
"Простите меня дуру грешную:)"
|
[
Ответить ]
|
|
( Ответить )
|
|