Ответить
|
Re: Огнестрельное ранение бедра
Александр Ситник 20 Октябрь 2008, 23:09
|
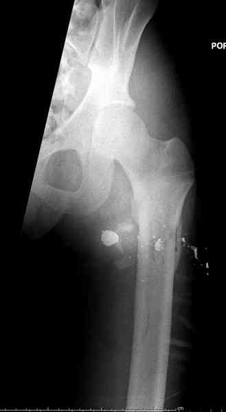
Судя по рентгенограмме и снимкам перелом "не очень высокоэнергетичный" - почему не рассматривать его как повреждение I по Gustilo с соответствующей тактикой? По фото значительных повреждений мягких тканей не наблюдается - или есть большое выходное отверстие?
|
[
Ответить ]
|
Re: Огнестрельное ранение бедра
Отправитель: Ivan Petrov 21 Октябрь 2008, 00:50
|
Особенностью огнестрельных ранений является образование временной пульсирующей полости при прохождении ранящим снарядом тканей, размеры которой преввышают в десятки раз размеры входного отверстия. также при этом происходит тяжелый "ушиб" концов отломков с травматическим некрозом их концов.Поэтому классифиация Густильо при огнестрельных переломах не работает. Американцы во Вьетнаме пытаясь штифтовать огенестрельные переломы получали до 50% нагноений (Rich NM, Metz CW, Hutton JE, Baugh JH, Hughes CW. Internal versus external fixation of fractures with concomitant vascular injuries in Vietnam. J Trauma. 1971;11:463–473). Хотя техника и антибиотики сильно шагнули вперед.
|
[
Ответить ]
|
Re: Огнестрельное ранение бедра
Отправитель: Michael Berenstein 24 Октябрь 2008, 18:11
|
Уважаемый Ivan Petrov
Густило работает и при огнестрельных ранения. Современные поправки говорят что высокоэнергетические переломы относятся к 3 степени, т.е. огнестрельное ранение маленькой пулей из АК автоматически входит в Густило 3, а дальше по степени повреждения м.т., раздробленности перелома и сосудистых повреждений
С уважением
М.Беренштейн
|
[
Ответить ]
|
Re: Огнестрельное ранение бедра
Отправитель: Odessky Jacob M. D. 21 Октябрь 2008, 20:45
|
Я согласен с доктором Ситником, что по классификации Густило-Андерсена этот перелом можно классифицировать как Тип 1 но только в течении первых 8 часов!!!
После первых 8 часов он автоматически переходит в Тип 3-А. Поэтому должен лечиться по принципу лечения инфицированных переломов!!!
В первые 8 часов после травмы - хорошая ПХО+внутрикостный остеосинтез без римным гвоздём приемлемо для данного случая.После 8 часов - ПХО + Наружный фиксатор.
С Уваженинем!
|
[
Ответить ]
|
|
Re: Огнестрельное ранение бедра
Evgueny Tschekashkine 20 Октябрь 2008, 23:33
|
Иван,
Нетрадиционный подход возможен и показан - ранняя стабилизация перелома (нерассверливаемый гвоздь) + системно АБ - профилактика инфекции.
Е.И.Чекашкин
|
[
Ответить ]
|
Re: Огнестрельное ранение бедра
Отправитель: Ivan Petrov 21 Октябрь 2008, 00:58
|
Евгений, это эмпирический вывод или у Вас есть публикации на данную тему? Если есть возможность, поделитесь пожалуйста.
|
[
Ответить ]
|
|
Re: Огнестрельное ранение бедра
Дмитрий Савицкий 21 Октябрь 2008, 01:11
|
Проф. Гуманенко.Кафедра ВПХ ВМедА
"Все виды внутреннего остеосинтеза при свежих огнестрельных переломах строго противопоказаны из-за угрозы инфекционных осложнений. Внутрикостный или накостный остеосинтез может быть применен лишь у 5 - 10 % раненых после неосложненного заживления раны и на фоне удовлетворительного общего состояния"
|
[
Ответить ]
|
Re: Огнестрельное ранение бедра
Отправитель: Ivan Petrov 21 Октябрь 2008, 01:24
|
Это подход военного времени, когда больной быстро перемещается по этапам медицинской эвакуации и нет возможности применить методики повторных санций и VAC. Кроме того Е.К. Гуманенко писал свои работы по данным, полученным в "дозакрытоблокируемую" эпоху.
|
[
Ответить ]
|
Re: Огнестрельное ранение бедра
Отправитель: Дмитрий Савицкий 21 Октябрь 2008, 01:36
|
В том-то и дело, что основном постулатом у Гуманенко является сокращение количества этапов медицинской эвакуации: ранение - сразу этап квалифицированной медицинской помощи,на котором можно выполнить любое оперативное вмешательство и любым методом.А сама кафедра применяет блокируемый остеосинтез довольно широко и очень давно. Навряд ли кто-то имеет больший опыт лечения огнестрельной травмы, чем они.
|
[
Ответить ]
|
Re: Огнестрельное ранение бедра
Отправитель: Ivan Petrov 21 Октябрь 2008, 11:29
|
Уважаемый Дмитрий. Нету у Евгения Константиновича такого постулата, Вы излагаете концепцию медслужбы США (поле боя-вертолет-госпиталь). Квалифицированная медицицинская помщь - это помощь оказываемая общим хиругом в ОМедБ, а Вы,вероятно, имеете в виду специализированную. Есть клиники, которые располагают гораздо большим опытом лечения огнестрельной травмы, так как в Санкт-Петербурге, последние 50 лет войны нет. В своем сообщении я не ставил цель опровегать общепризнанне постулаты, а хотел получить рекомендации по лечению конкретного больного.Но автортетного мнения, подкреппленногонаучно пока не услышал, может быть оно появится позже.
|
[
Ответить ]
|
|
Огнестрельное ранение бедра
Бен Эльайфар Мохамед 21 Октябрь 2008, 03:54
|
Уважаемый Доктор Петров!
Входное отверстие на Вашей фотографии ничего не означает, если хотите реальную картину этого ранения, сделайте ЯМР раневого канала, и тогда Вы оцените по настоящему, это во первых, а во вторых, о каком остеосинтезе может быть речь в условиях микробного загрязнения?
Не забывайте про зону молекулярного сотрясения которая может вторично некротизироваться и дать нагноение, также о возможности наличия инородных тел, обычно куски ткани брюк.
Чем не устраивает Вас общепринятая тактика(ПХО, репозиция отломков и наложение АИФ, проточно-промывное дренирование, заживление раны вторичным натяжением)?
|
[
Ответить ]
|
Re: Огнестрельное ранение бедра
Отправитель: Ivan Petrov 21 Октябрь 2008, 11:59
|
Уважаемый доктор Бен Эльайфар Мохамед. Общепринятая тактика не устраивает меня травматиччностью первичной операции, длительными скроками пребывания больного в стационаре (как минимум до наложения первично отсроченного шва на 7-10 сутки),необходимостью постоянного контроля за промывной системой, сменой постоянно мокнущих повязок, необходимостью постоянного ухода за наложенным аппаратом в течение всего периода фиксации, частым воспалением вокруг спиц и стержней, плохой переносимостью больными АФВ на данном сегменте и рядом других факторов.
МРТ представляется излишним, так как масштыбы разрушений мягких тканей при таких ранениях давно рассчитаны.
Но если досточно большое количество клиник выполняет штифтование при остеомиелитах сразу после санирующего рассверливания канала, а БИОС при открытых переломах IIIB сопряжен с меньшим количеством осложнений, чем АВФ (Tornetta P III, Bergman M, Watnik N,
Berkowitz G, Steuer J:Treatment of grade-
IIIb open tibial fractures: A prospective
randomised comparison of external fixation
and non-reamed locked nailing. J Bone Joint Surg Br 1994;76:13-19.
Henley MB, Chapman JR, Agel J, Harvey
EJ, Whorton AM, Swiontkowski MF: Treatment of type II, IIIA, and IIIB open fractures of the tibial shaft: Aprospective comparison of unreamed interlocking intramedullary nails and half-pin external fixators. J Orthop Trauma 1998;12:1-7.
Bhandari M, Guyatt GH, Swiontkowski
MF, Schemitsch EH: Treatment of open
fractures of the shaft of the tibia. J Bone
Joint Surg Br 2001;83:62-68.)почему эта концепция не может быть применена к данному перелому?
|
[
Ответить ]
|
|
Re: Огнестрельное ранение бедра
Бережной Сергей 21 Октябрь 2008, 22:19
|
Уважаемый Иван.
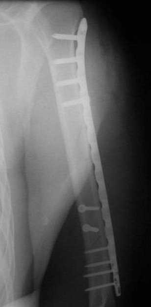
Несмотря на высокоэнергетический характер ранения, пуля не попала непосредственно в кость, а прошла рядом. Таким образом, для бедренной кости это ранение нельзя назватьв полном смысле этого слова высокоэнергетическим. К сожалению, не видно выходное отверстие. В любом случае, при таком переломе интрамедуллярный остеосинтез вполне показан. Кроме того, если пациент попал к Вам в первые часы после ранения, рана не должна рассматриваться как инфицированная. В качестве примера возможности даже более травматичной операции при таком характере перелома привожу следующий случай.

Пациент оперирован на 5-е сутки (переведен из другого лечебного учреждения)после сквозного пулевого ранения плеча и грудной клетки (непроникающее ранение той же пулей). Выполнен минимально инвазивный остеосинтез блокируемой метадиафизарной пластиной, повторная хирургическая обработка ран плеча. Заживление всех ран первичное, сращение наступило в обычные сроки.
|
[
Ответить ]
|
Re: Огнестрельное ранение бедра
Ионов Максим 21 Октябрь 2008, 23:40
|
ПХО огнестрельных ранений с точечными входным и выходным отверстием без напряженной гематомы и повреждения элдементов сосудисто-нервного пучка не показано. Выполняются внешняя фиксация перелома и большеобъемные противовосалительные блокады по Рожкову плюс дренирование огнестрельных ран. Выполенние погружного остеосинтеза сомнительно.
Е.К. Гуманенко как и другие военно-полевые хируги постулировали и будут постурировать тезис о максимально возможном сокращении этапов медициской эвакуации. По сути это повторение заветов Н.И.Пирогова и В. А. Оппеля, вклад американских товарищей здесь не имеет первенства.
|
[
Ответить ]
|
Re: Огнестрельное ранение бедра
Отправитель: Ivan Petov 22 Октябрь 2008, 11:18
|
Уважаемый Максим.
>>>ИМ: Е.К. Гуманенко как и другие военно-полевые хируги постулировали и будут постурировать тезис о максимально возможном сокращении этапов медициской эвакуации.
Раз разговор перешел от частного к общему, читаем вместе поседние указания по ВПХ:
"Современная система лечебно-эвакуационного обеспечения войск направлена на проведение раненым и пораженным последовательных и преемственных лечебно-профилактических мероприятий на этапах медицинской эвакуации в сочетании с эвакуацией по назначению в специализированные лечебные учреждения в соответствии с медицинскими показаниями и конкретными условиями обстановки."
"Несмотря на современные требования к сокращению этапов эвакуации, эшелонированное построение медицинских сил и средств сохраняется, что предусматривает и сохранение всех видов медицинской помощи. четкая организация, преемственность и последовательность в оказании хирургической помощи, особенно при сочетанных и множественных ранениях"
Для улучшения ситуации в условиях российской действительности, предлагаются следующие мероприятия:
"широкая специализация хирургической помощи с приданием первостепенного значения неотложной специализированной помощи; приближение неотложной специализированной хирургической помощи к раненым и больным".
Нет ни слова про то, чо больной не должен быть в МПП (а в Борзом в МП приходилось делать и полостные операции - спленэктомию, резекции кишик и т.п., когда в тумане вертолеты не летали), ни в ОМедБ.
>>>ИМ: ПХО огнестрельных ранений с точечными входным и выходным отверстием без напряженной гематомы и повреждения элдементов сосудисто-нервного пучка не показано.
Предсталения о ПХО в руководстве по ВПХ не выдерживают нкакой критики:
"Первичная хирургическая обработка не показана при наличии множественных точечных и более крупных ран (не содержащих крупных инородных тел), которые не сопровождаются нарастанием гематомы и нарушением периферического кровообращения, при неосложненных поперечных, зачастую оскольчатых, огнестрельных переломах костей без смещения отломков с небольшими ранами мягких тканей, а также при сквозных ранах крупных суставов без повреждения сочленяющихся костей".
Кто это писал? Что значит: "более крупных ран"? С ладонь? Или на 4 поперечных пальца? А гениальная фраза: "при неосложненных поперечных, зачастую оскольчатых..."? Вы выхватили из текста цитату первого абзаца, кторая относится к ранениям без повреждения костей. Сопутствующие огнестерльные переломы расширяют показания к ПХО даже при малых ранах (компартмент-синдром и др.).
Дальше еще веселее:
"При применении аппаратов внешней фиксации следует строго соблюдать определенные положения: операции остеосинтеза проводить только при неосложненном течении раневого процесса на фоне общего удовлетворительного состояния раненого; применять отсроченный внеочаговый остеосинтез при огнестрельных переломах костей предплечья и плеча - через 3 - 5 дней, костей голени - через 5 - 7 дней, бедренной кости - через 2 - 3 недели".
Без комментариев.
Не доказана эффективность многокомпонентной смеси Рожкова в сравлении с простой инфильтрацией атибиотиком.
В общем, Максим, не попалдайте под "власть авторитетов", а сопоставляйте все с данными мировой литературы и собственным опытом.
|
[
Ответить ]
|
|
Re: Огнестрельное ранение бедра
Alexey Semenisty 22 Октябрь 2008, 12:27
|
На недавней конференции по случаю 75-летия кафедры травматологии и ортопедии РГМУ в Москве на сателлитном симпозиуме "7,5 лет ортофоруму* Джолдас Кульджанов прочитал замечательную лекцию о лечении огнестрельных переломов. Речь шла о переломах мирного времени, а не об организации мед службы в условиях боевых действий. Тем не менее, опыт у наших американских коллег в этом вопросе огромен. В клинику, которую представлял Джолдас, в год поступает более 350 огнестрельных переломов (мирного времени). Общий вывод лекции: при низкоэнергетических огнестрельных переломах первичный остеосинтез (естественно стабильный, современными конструкциями) вполне оправдан, и дает совсем не такое количество гнойных осложнений, как описывают коллеги выше.
Из личного опыта: я бы заштифтовал (ЗБИО) такой перелом по дежурству немедленно, при условии стабильного состояния пациента и технических возможностей (у нас есть такие). Если нет, то аппарат, и через 2-4 дня штифт.... Все что говорилось выше о хирургических обработках раны и VAC - тоже ДА.
А.Семенистый
ГКБ № 13, Москва.
|
[
Ответить ]
|
Re: Огнестрельное ранение бедра
Ivan Petrov 22 Октябрь 2008, 13:08
|
Есть ли возможность ознакомиться с докладом Джолдаса Кульджанова? Буду очень благодарен за представленный материал.
|
[
Ответить ]
|
Re: Огнестрельное ранение бедра
Отправитель: Alexander Chelnokov 22 Октябрь 2008, 18:08
|
В принципе, презентация эта у меня есть, если он не будет возражать, выложу.
Надо в Москву ездить на симпозиумы Ортофорума ;-)
Нет, серьезно - на секции по остеомиелиту было 6 докладов, из них 4 от участников форума и 2 от непричастных. Невооруженным взглядом была видна драматическая разница в подходах - все коллеги по форуму показывали активную современную тактику - VAC, спейсеры, фиксаторы с антибактериальным покрытием.
|
[
Ответить ]
|
Re: Огнестрельное ранение бедра
Отправитель: Ivan Petrov 22 Октябрь 2008, 21:43
|
Посетил бы симпозиум с удовольствием, но в связи с последствиями "недавних политических событий" был в командировке. Надеюсь Джолдас не будет против размещения презентации. Насчет эффективности покрытий имплантатов,в т.ч. антибактериальных, ворос остается открытым (настолько они эффективны?). Мне представляется, что не очень.
|
[
Ответить ]
|
Re: Огнестрельное ранение бедра
Отправитель: Alexander Chelnokov 22 Октябрь 2008, 22:55
|
Вопрос насчет всех покрытий, понятное дело, никогда не будет закрытым. Поскольку они разные, для решения разных проблем, и как-то в единой шкале выразить их эффективность вряд ли получится.
А вот касательно именно антибиотикосодержащих спейсеров, в т.ч. с блокируемыми гвоздями в качестве арматуры, сомнений в их очень высокой эффективности нет. И это еще раз было показано на упомянутом симпозиуме. Даже при уже имеющемся остеомиелите можно использовать такую внутреннюю фиксацию.
И в любой ситуации, где высок риск остеомиелита, т.е. как раз при огнестрельных, тяжелых открытых переломах, несращениях после многократных реостеосинтезов, уже с инфекцией... Как я понимаю, особенность местного депо - достаточная для супрессии концентрация антибиотика даже в тканях с плохим кровоснабжением.
|
[
Ответить ]
|
|
Re: Огнестрельное ранение бедра
Евгений Чекашкин 22 Октябрь 2008, 13:12
|
Иван, Здравствуйте,
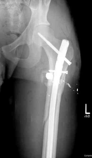
В приложении пример огнестрельного ранения бедра, оперированного на 2 сутки после ранения.

Штифтование было выполнено только на вторые сутки по причине задержки перевода из другого госпиталя, АБ профилактика была начата в другом учреждении, с момента госпитализации пациента к ним. Входное пулевое отверстие и зона введения штифта зажили первичным натяжением.
Своих публикаций по теме нет - нет серии из сотен больных, которые могли бы ещё раз доказать эффективность ургентного штифтования огнестрельных переломов.
В конце 90-ых попалось несколько статей по nail exchange procedures in treatment of posttraumatic osteitis и решился попробовать на огнестрельных переломах, которые до этого лечил по полной схеме:расширенный дебрайдмент+ внешняя фиксации+промывные системы с антибиотиками и без антибиотиков в промывной среде. Всё заканчивалось длительной госпитализацией, плохими функциональными результатами( страдала функция колена), необходимостью повторной хирургией - отсроченная внутренняя фиксация переломов, длительной реабилитацией. На гвоздях процесс пошел лучше: остеомиэлитов не было и больные мобилизовывались быстрее.
Единственно что наблюдал - замедленная консолидация, судя по серийным Рг граммам. В приведенном случае прии вялом мозолееобразовании сделал ошибку, решившись динамизировать гвоздь - перелом сросся со значительным укорочением бедра - повторная хирургия по удлинению бедра и проксимальным запиранием, больной мобилизован и вполне доволен(кстати заметить больной с ВИЧ инфекцией - изначально скомпрометированный иммунитет и несмотря на это, всё прошло без костной и мягкотканной инфекции.
Подозреваю, что обратившись к сообществу с вопросом об уместности штифтования в приведённом случае, вы уже заранее знали ответ:-)), судя по позже приведённым публикациям :-))
Думаю, что новая технология штифитования, сокращение времени с момента травмы до стабилизации перелома, современная антибактериальная терапия должны менять и подход к лечению огнестрельных повреждений, спасибо Джолдасу - представил свой случай на форуме когда то штифтования перлома бедра при огнестреле.
Всего Доброго,
Евгений Чекашкин
|
[
Ответить ]
|
Re: Огнестрельное ранение бедра
Отправитель: Ivan Petrov 22 Октябрь 2008, 13:35
|
Евгений, спасибо за исчерпывающий ответ.
Вы укрепили меня в мысли, что "не все благополучно в королевстdе Датском" в плане российской концепции лечения огнестрельных переломов. Но власть стереотипов очень сильна (половина высказавшихся жестоко критиковали БИОС в данном случае).
Желательно было бы разработать более четкие критерии применения БИОС в лечении огнестерельных
переломов.
Готов представить практический материал, если кто-то из предстаителей науки захочет написать методические рекомендации по данной теме.
|
[
Ответить ]
|
Re: Огнестрельное ранение бедра
Отправитель: Alexander Chelnokov 22 Октябрь 2008, 18:15
|
А упомянули в этом обсуждении про возможность применения не только блокируемых, но и antibiotic coated гвоздей? На форуме не раз этот подход обсуждался.
|
[
Ответить ]
|
|
Re: Огнестрельное ранение бедра
Ерсин Жунусов 22 Октябрь 2008, 13:17
|
Уважаемый коллега! извиняюсь что поздно подключаюсь к обсуждению. Коллеги а чё спорить делать БИОС не делать, мы например в таких случаях трактуем так: все зависит от качества пхо. Если хирург уверен о качестве ПХО то есть если у него нет сомнения то, что мешаеть к БИОСУ. На бедре все же знаем как тяжело пациентами переноситься АВФ. С уважением Ерсин.
|
[
Ответить ]
|
Re: Огнестрельное ранение бедра
Багавдин Ахмедов 23 Октябрь 2008, 03:27
|
Уважаемые коллег, могу поделиться личным опытом лечения огнестрельных переломов в Республике Йемен. 230-250 больных за год. Пользуюсь класс, Густилло-Андерсон
Подход при 1,11, некоторых 111 А переломах "нетрадиционный -сберегательная хирургическая обработка, СОХРАНЕНИЕ всех костных отломков, первичный малоинвазивный остеосинтез LCP ( не нарушается периостальное и эндостальное кровоснабжение отломков, а при штифтовании нарушается эндост. кровоснабжение и риск медулярного остеомиелита), проточное дренирование, первичное закрытие ран, БЕЗ НАТЯЖЕНИЯ тканей или перв. отсроченные швы. При переломах 111В на первом этапе также СБЕРЕГАТЕЛЬНАЯ обработка с сохранением отломков и АВФ. Через две недели -МАЛОИНВАЗИВНЫЙ остеосинтез LCP
Я делал презентации на многих конференциях в России и за границей, также можно см журнал "ТРАВМ. ОРТОПЕДИЯ РОССИИ №2 2007 и 2 -2008
Привожу один из примеров
,
Фрагмент рисунка 7.pictClipping
0KB (0 bytes)
|
[
Ответить ]
|
Re: Огнестрельное ранение бедра
Отправитель: Alexander Chelnokov 23 Октябрь 2008, 08:34
|
Файл приложился нулевого размера, попробуйте pls еще раз.
|
[
Ответить ]
|
|
Re: Огнестрельное ранение бедра
Багавдин Ахмедов 23 Октябрь 2008, 18:10
|
Р.S. Привожу клинический пример больного с огн. переломом бедра Густилло- Андерсон 111 А
DSC03034.JPG
37KB (38348 bytes)
|
[
Ответить ]
|
Re: Огнестрельное ранение бедра
Багавдин Ахмедов 23 Октябрь 2008, 18:10
|
Р.S. Привожу клинический пример больного с огн. переломом бедра Густилло- Андерсон 111 А
DSC03034.JPG
37KB (38348 bytes)
|
[
Ответить ]
|
Re: Огнестрельное ранение бедра
Багавдин Ахмедов 23 Октябрь 2008, 18:11
|
Р.S. Привожу клинический пример больного с огн. переломом бедра Густилло- Андерсон 111 А
DSC03034.JPG
37KB (38348 bytes)
|
[
Ответить ]
|
Re: Огнестрельное ранение бедра
Багавдин Ахмедов 23 Октябрь 2008, 18:11
|
Р.S. Привожу клинический пример больного с огн. переломом бедра Густилло- Андерсон 111 А
DSC03034.JPG
37KB (38348 bytes)
|
[
Ответить ]
|
Re: Огнестрельное ранение бедра
Багавдин Ахмедов 23 Октябрь 2008, 18:11
|
Р.S. Привожу клинический пример больного с огн. переломом бедра Густилло- Андерсон 111 А
DSC03034.JPG
37KB (38348 bytes)
|
[
Ответить ]
|
Re: Огнестрельное ранение бедра
Багавдин Ахмедов 23 Октябрь 2008, 18:11
|
Р.S. Привожу клинический пример больного с огн. переломом бедра Густилло- Андерсон 111 А
DSC03034.JPG
37KB (38348 bytes)
|
[
Ответить ]
|
Re: Огнестрельное ранение бедра
Багавдин Ахмедов 23 Октябрь 2008, 18:12
|
Р.S. Привожу клинический пример больного с огн. переломом бедра Густилло- Андерсон 111 А
DSC03047.JPG
31KB (32631 bytes)
|
[
Ответить ]
|
Re: Огнестрельное ранение бедра
Багавдин Ахмедов 23 Октябрь 2008, 18:15
|
Р.S. Привожу клинический пример больного с огн. переломом бедра Густилло- Андерсон 111 А
DSC03041.JPG
19KB (19583 bytes)
|
[
Ответить ]
|
Re: Огнестрельное ранение бедра
Багавдин Ахмедов 23 Октябрь 2008, 18:15
|
Р.S. Привожу клинический пример больного с огн. переломом бедра Густилло- Андерсон 111 А
DSC03041.JPG
19KB (19583 bytes)
|
[
Ответить ]
|
Re: Огнестрельное ранение бедра
Багавдин Ахмедов 23 Октябрь 2008, 18:15
|
Р.S. Привожу клинический пример больного с огн. переломом бедра Густилло- Андерсон 111 А
DSC03041.JPG
19KB (19583 bytes)
|
[
Ответить ]
|
Re: Огнестрельное ранение бедра
Багавдин Ахмедов 23 Октябрь 2008, 18:15
|
Р.S. Привожу клинический пример больного с огн. переломом бедра Густилло- Андерсон 111 А
DSC03041.JPG
19KB (19583 bytes)
|
[
Ответить ]
|
Re: Огнестрельное ранение бедра
Багавдин Ахмедов 23 Октябрь 2008, 18:16
|
Р.S. Привожу клинический пример больного с огн. переломом бедра Густилло- Андерсон 111 А
DSC03048.JPG
27KB (28459 bytes)
|
[
Ответить ]
|
Re: Огнестрельное ранение бедра
Багавдин Ахмедов 23 Октябрь 2008, 18:17
|
Р.S. Привожу клинический пример больного с огн. переломом бедра Густилло- Андерсон 111 А
DSC03048.JPG
27KB (28459 bytes)
|
[
Ответить ]
|
Re: Огнестрельное ранение бедра
Багавдин Ахмедов 23 Октябрь 2008, 18:18
|
Р.S. Привожу клинический пример больного с огн. переломом бедра Густилло- Андерсон 111 А
DSC03128.JPG
27KB (27930 bytes)
|
[
Ответить ]
|
Re: Огнестрельное ранение бедра
Багавдин Ахмедов 23 Октябрь 2008, 18:19
|
Р.S. Привожу клинический пример больного с огн. переломом бедра Густилло- Андерсон 111 А
IMG_0116.JPG
30KB (31049 bytes)
|
[
Ответить ]
|
Re: Огнестрельное ранение бедра
Багавдин Ахмедов 23 Октябрь 2008, 18:19
|
Р.S. Привожу клинический пример больного с огн. переломом бедра Густилло- Андерсон 111 А
IMG_0116.JPG
30KB (31049 bytes)
|
[
Ответить ]
|
Re: Огнестрельное ранение бедра
Багавдин Ахмедов 23 Октябрь 2008, 18:20
|
Р.S. Привожу клинический пример больного с огн. переломом бедра Густилло- Андерсон 111 А
DSC03288.JPG
45KB (46160 bytes)
|
[
Ответить ]
|
Re: Огнестрельное ранение бедра
Багавдин Ахмедов 23 Октябрь 2008, 18:20
|
Р.S. Привожу клинический пример больного с огн. переломом бедра Густилло- Андерсон 111 А
DSC03288.JPG
45KB (46160 bytes)
|
[
Ответить ]
|
Re: Огнестрельное ранение бедра
Отправитель: Сергей 03 Январь 2011, 16:49
|
Уважаемый Багавдин Ахмедов! Пишет вам Сергей. Вы мне делали операцию в 1991 году в Прокопьевске в травмбольнице. Как с Вами связаться по электронной почте? Моя почта sergeikyznetsov@rambler.ru
|
[
Ответить ]
|
Re: Огнестрельное ранение бедра
Отправитель: Сергей 03 Январь 2011, 16:51
|
Уважаемый Багавдин Ахмедов! Пишет вам Сергей. Вы мне делали операцию в 1991 году в Прокопьевске в травмбольнице. Как с Вами связаться по электронной почте? Первый раз делал операцию Зайцев. Произошло нагноение мягких тканей . Моя почта sergeikyznetsov@rambler.ru
|
[
Ответить ]
|
Re: Огнестрельное ранение бедра
Отправитель: Сергей 03 Январь 2011, 17:50
|
Уважаемый Багавдин Ахмедов! Пишет вам Сергей. Вы мне делали операцию в 1991 году в Прокопьевске в травмбольнице. Как с Вами связаться по электронной почте? Первый раз делал операцию Зайцев. Произошло нагноение мягких тканей . Моя почта sergeikyznetsov@rambler.ru
|
[
Ответить ]
|
Re: Огнестрельное ранение бедра
Отправитель: Сергей 03 Январь 2011, 17:53
|
Уважаемый Багавдин Ахмедов! Пишет вам Сергей. Вы мне делали операцию в 1991 году в Прокопьевске в травмбольнице. Как с Вами связаться по электронной почте? Первый раз делал операцию Зайцев. Произошло нагноение мягких тканей .Несмотря на то, что операция была довольно простая! Сильные колющие боли в п/о рубце с 1993 года. Моя почта sergeikyznetsov@rambler.ru
|
[
Ответить ]
|
Re: Огнестрельное ранение бедра
Отправитель: Сергей 03 Январь 2011, 17:54
|
Уважаемый Багавдин Ахмедов! Пишет вам Сергей. Вы мне делали операцию в 1991 году в Прокопьевске в травмбольнице. Как с Вами связаться по электронной почте? Первый раз делал операцию Зайцев. Произошло нагноение мягких тканей .Несмотря на то, что операция была довольно простая! Сильные колющие боли в п/о рубце с 1993 года. Имеется магнитно-резонансная томография. Моя почта sergeikyznetsov@rambler.ru
|
[
Ответить ]
|
|
Re: Огнестрельное ранение бедра
Djoldas Kuldjanov 23 Октябрь 2008, 21:00
|
Уважаемые коллеги,
Спасибо Алексею и Александру за упоминание доклада на недавней Московской конференции. С рассылкой доклада на сайт нет возражений, буду рад, если интересующиеся найдут полезным что-то в его содержании, а также с удовольствием приму критические замечания.
В наших условиях редко дискутируется вопрос фиксировать или нет огнестрельные повреждения костей. Имеется множество доказательных статьей в пользу ранней фиксации огнестрельных повреждений. Имея огромный опыт ранении в мирное время, западная медицина достаточно уделяет внимание этому аспекту травматологии.
При фиксации пластиной вопросов нет, пластина укладывается на кость через открытый промежуток раны и в дальнейшем продолжаются восстановительные работы по мягкотканыим проблемам.
Вопрос возникает, когда методом фиксации выбран интрамедуллярный имплант. Что лучше, рассверливание канала или без?
Даже из ответов участников видно, что в этом вопросе консенсуса нет, одни предпочитает рассверливание, а другие считают что от рассверливания канала больше вреда, и что разрушается внутриканальное кровообращения.
Трудно спорить особенно с теми, кто догматически верит, что канальное кровообращение "запретная зона!", хотя имеются исследование, что канальное кровообращение восстанавливается в течение двух с половиной недели.
При банальных переломах без колебания мы выбираем методику с рассверливанием, потому что плотно сидящий в канале гвоздь дает мало осложнении.
Фиксацию без рассверливания канала применяем в тех исключительных случаях, где надо быстро, без дополнительного вреда (damage control) зафиксировать перелом больным с политравмой и тем, у кого имеется ушибы легкого.
Множественные работы коллег доказывают, что фиксация без рассверливания дает большинство случаев несращений. Малый диаметр гвоздя не дает необходимой стабильности и может дать осложнения. Замена гвоздя на больший по диаметру решит проблему потенциальных ложных суставов, но такие случаи должны планироваться заранее, потому что заблаговременное предупреждение о возможной ре-операции позволит избежать последующих претензий со стороны больных.
Здесь доказательные статьи насчет рассверливания:
1. Treating gunshot femoral shaft fractures with immediate reamed intramedullary nailing. A S Levy, M J Wetzler, G Guttman, D J Covall, B Fink, G P Whitelaw, S Kozin
2. Retrograde IMN can be used for gunshot wounds
By Mary Ann Porucznik Detroit: J Trauma. 1993 Jun;34(6):783-5.
3. Femur fractures caused by gunshots: treatment by immediate reamed intramedullary nailing.
Bergman M, Tornetta P, Kerina M, Sandhu H, Simon G, Deysine G, Alcindor F.Department of Orthopedic Surgery, Kings County Hospital Center, Brooklyn.
Рассверливание канала при травме легкого чревато осложнением, потому что посттравматически в легких теряются компенсаторные возможности справляться с потоком жировых частиц образующих во время рассверливания канала.
Из-за повышенного давления в канале частицы жира устремляются в легочную артерию (у нас имеется видео ролик из мониторинга легочной артерии ультразвуковым доплером, при виде падаюшего снегопада в легочной артерии во время рассверливания становится жутко!)
В таких случаях лучше повременить с внутренней фисацией и воспользоваться более щадящим методом - наружным фиксатором.
В нашем случае 21 летний боец уличного фронта, фиксацию провели на следующий день, зафиксирован интрамедуллярным штифтом. Не стали делать первичную хирургическую обработку точечной раны, зафиксирован как есть. Клинические снимки:


Конечно, наш случай не эталон, возможно, на месте вам виднее, может быть, нет необходимости ориентироваться на зарубежные ссылки, если получается лечить аппаратом Илизарова на месте, почему нет? Необходимо посмотреть собственный арсенал, чем фиксировать, и какая теория, иначе любой отличный метод можно превратить в источник остеомиелита.
Сам скептически отношусь к тому, когда говорят что одного взгляда достаточно, чтобы сделать такой случай у себя. Без спешки примите решение, возможно, еще не время, и, наверное, будет разумным поехать к тому у кого большой опыт.
Успеха вам!
Djoldas Kuldjanov, MD
Department of Orthopedic Surgery
St. Louis University Medical Center
|
[
Ответить ]
|
Re: Огнестрельное ранение бедра
Отправитель: Сергей 25 Октябрь 2008, 22:16
|
Здравствуйте, если не трудно скиньте видео ролик из мониторинга легочной артерии. было бы интересно посмотреть.
Заранее спасибо.
|
[
Ответить ]
|
Re: Огнестрельное ранение бедра
Отправитель: Ерсин Жунусов 26 Октябрь 2008, 08:58
|
Ассаламалейкум Джолдас ага!
Ваши клинические примеры убедительно показывают о высокой эффективности интрамедуллярного остеосинтеза при огнестрельных открытых переломах без дефекта костной ткани. У меня есть пациент тоже с огнестрельным открытым переломом на границе н/з и с/з бедра, но с дефектом кости до 3,0 см (ограбление автозаправки, охранник)по нашей классифкации IIISoG1Mo то есть дефекта мягких тканей и повреждения сосудов и нервов нет, но есть дефект кости. При поступлении мною проведена ПХО и наложен стержневой аппарат, дефект кости первичный, но по задней поверхности крупные осколки связанные с надкостницей я сохранил, сейчас рана зажила первичным натяжением. Как Вы думаете если ретроградно заблокировать есть шанс что, зона дефекта срастется без замещения, за счет осколков? Вообще опыт интрамедуллярного остеосинтеза при открытых переломах (неогнестрельного генеза) у нас есть и результаты достаточно не плохие особенно в плане стабильно-функциональности. В принципе мы склонены к биос, но лушче посоветоваться с теми, кто имеет больше опыта. С уважением Ерсин. НИИТО. Астана. зав. множественой травмы.
|
[
Ответить ]
|
Re: Огнестрельное ранение бедра
Отправитель: Alexander Chelnokov 26 Октябрь 2008, 09:13
|
Соображения общего характера, пока снимков нет. Нет разницы, ретро- или антеградно штифтовать. Конечно, мощный гвоздь с толстыми винтами при наличии краевого дефекта достаточен. Если же дефект в итоге все-таки окажется сегментарным, винты рано или поздно сломаются.
Насколько вероятно какое развитие событий - без снимков гадать труднее. Если все-таки вариант с сегментарным дефектом не исключается - пока есть аппарат, можно его домонтировать, чтобы сделать удлинение на другом уровне соответственно компрессии в зоне дефекта. А после этого заштифтовать.
|
[
Ответить ]
|
|
Re: Огнестрельное ранение бедра
Ivan Petrov 24 Октябрь 2008, 00:30
|
Ждем размещения доклада Джолдаса Кульджанова с нетерпением. Доклады воспринимаются лучше, чем статьи в журналах. Больше доверия к материалу, который излагается "вживую", чем к авторам статей, укрывшимися за журнальными страницами.
|
[
Ответить ]
|
Re: Огнестрельное ранение бедра
Евгений Чекашкин 24 Октябрь 2008, 14:49
|
Иван,
Больного с огнестрельным переломом бедра уже прооперировали ? Какую технику фиксации применили? Или в процессе принятия решения?
Было бы интересно взглянуть на результат.
По возможности отправьте РГ-граммы.
Всего Доброго,
Евгений
|
[
Ответить ]
|
Re: Огнестрельное ранение бедра
Отправитель: Ivan Petrov 24 Октябрь 2008, 20:21
|
Уважая? мнение руководства (у нас главный - Ведущий Хирург из числа общих хирургов) первым этапом наложен АВФ. Планируем его в ближайшее время заменить на БИОС (по состоянию раны). Постараюсь выложить затем всю серию рентгенограмм.
С уважением. И.Петров.
|
[
Ответить ]
|
|
Re: Огнестрельное ранение бедра
Michael Berenstein 24 Октябрь 2008, 18:07
|
Почему не традиционный?
Очень даже приемлемый для такого ранения и данного перелома.
М.Беренштейн
|
[
Ответить ]
|
( Ответить )
|
|