AOTRAUMA.ORG Центр Илизарова  

Ортопедия и травматология Общие вопросы/General questions Help Информационные технологии в медицине
 ВХОД ДЛЯ ПАЦИЕНТОВ
 вверх
 поиск
 админ
 главная
 исходное


Re: Pathologic Femur Fracture
послал Djoldas Kuldjanov 30 Март 2009, 23:32



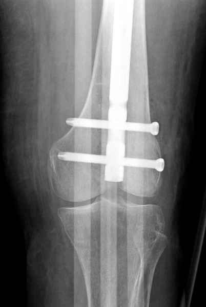
Известно, что многие из нас независимо от метода лечения и стадии первичной опухоли проводят интрамедуллярное штифтование при различных патологических состояниях бедра, включая патологические переломы.


В зависимости от характера опухоли некоторые патологические переломы имеют риск кровотечения во время операции. Множественные литературные данные подтверждают, что надо проявить осторожность при интрамедуллярном остеосинтезе при неизвестных опухолях, особенно где имеется подозрение на Renal Cell Carcinoma. (RCC- hypernephroma) http://www.bonetumor.org/tumors/pages/page64.html


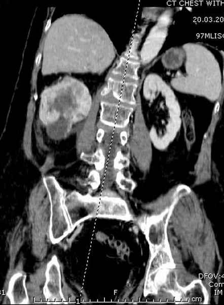
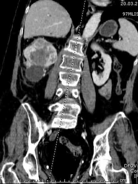
Со слов, больная ничем не болела, только последние 3 месяцев чувствовала боли в бедренной области. КТ брюшной полости подтвердил увеличенную правую почку. (5-6)


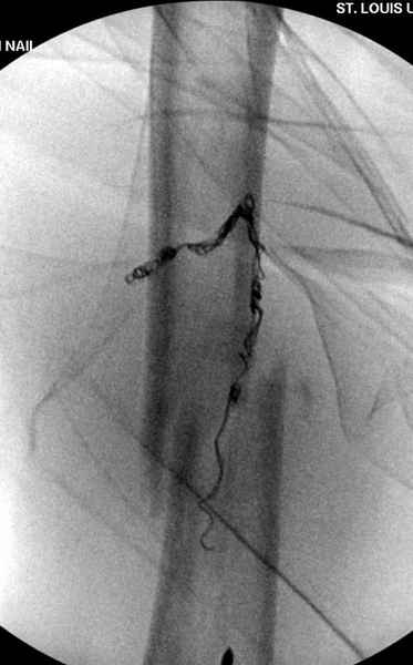
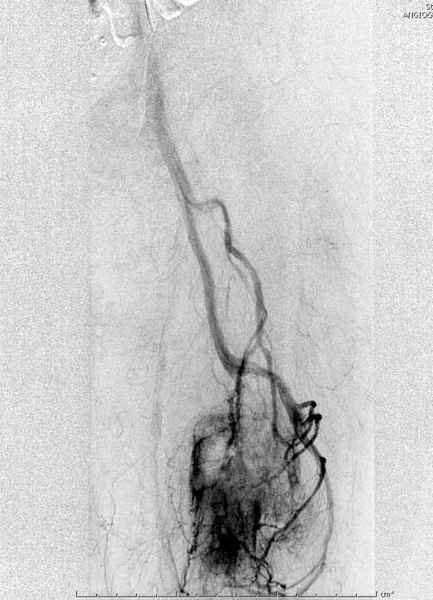
Для предупреждения кровотечения во время рассверливания, за день до операции провели эмболизацию сосудов питающий метастаз. http://radiology.rsnajnls.org/cgi/reprint/150/3/673.pdf (7-11, 12-15-16)


С минимальным рассверливанием и ретроградным методом провели остеосинтез бедра 12 мм гвоздем. (17-20)

Кровопотеря во время операции меньше 100 мл.

Больная выписана, взятый во время рассверливания материал изучается.


Спасибо всем за проявленный интерес и за высланные рекомендации.

Djoldas Kuldjanov, MD
Department of Orthopedic Surgery
St. Louis University Medical Center
Послать ответ

Имя
Email
Уведомление Сообщить мне по e-mail об ответах на это сообщение
Название
Комментарий
(Проверьте URL! Не забудьте написать http://!)
Кодировка
Если не знаете, что выбрать, выберите "Просто текст"!
Приложение
Можно приложить к сообщению файл c изображением, который затем будет доступен увидевшим сообщение.
Подготовка иллюстраций:
  • Рентгенограммы: черно-белые полутоновые изображения в формате JPEG (8 bit, greyscale) с разрешением от 300х200 до 1024х768 пикселов;
  • Клинические фотографии: полноцветные изображения в формате JPEG (24 bit, truecolor) с разрешением от 300х200 до 1024х768 пикселов;
  • Схемы и рисунки: черно-белые (2 bit) штриховые (line-art) изображения в формате GIF или compressed TIFF
  • Подберите степень сжатия файла JPEG и размер изображения таким образом, чтобы необходимые детали были различимы, но размер файла не превышал 75 кб.
  • Учтите, что текущая версия программного обеспечения Форума позволяет приложить к одному сообщению лишь один файл-вложение. Поэтому, если необходимо отправить несколько изображений, можно либо послать каждое как отдельное сообщение, либо в графическом редакторе объединить изображения в одно (сделать коллаж).
  • Если при подготовке изображений встречаются трудности, не стесняйтесь обратиться к координатору Форума.

  • Введите видимые символы в обратном порядке. Enter the above characters in reverse order (*Обязательно)
    В тексте сообщения можно использовать теги HTML <B> <I> <P> <A> <LI> <OL> <UL> <EM> <BR> <TT> <HR> <STRONG> <BLOCKQUOTE> <DIV .*> <DIV> <P .*>
  • Обратите внимание: Поля с жирными названиями обязательны.
  • Старайтесь отвечать в рамках обсуждаемой темы, а не начинать новые обсуждения.
  • Указывайте адекватную тему сообщения, чтобы было ясно, о чем оно.
  • Не послайте сообщений не по теме (оффтопик), раздраженных, грубых или обидных комментариев. Здесь это неуместно.
  • Powered by Zope  Squishdot Powered MedLink
    Посетитель: 0000105
      "По форме правильно, а по существу - издевательство" В.И.Ленин
    ©2001-2019Orthoforum Coordinator.
    [ Главная | Отправить сообщение | Поиск | Админ ]