ВХОД ДЛЯ ПАЦИЕНТОВ
вверх
поиск
админ
главная
исходное
|
Re: мыщелки бб кости Ваши мнения
послал Alexander Artemiev 19 Ноябрь 2009, 00:51
|

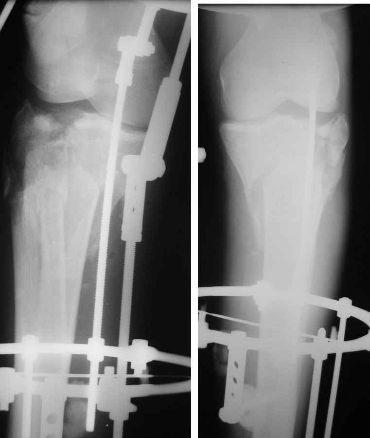
Приветствую всех.
Были напряги. Только сейчас появилось время.
Собственно пациент уже выписался.
Но считаю своим долгом выложить продолжение мною же открытой темы.
Состояние мягких тканей оказалось принципиальным в разработке плана операции.
Очаг некроза 4 на 5 см по передней поверхности голени не оставил никакого варианта кроме внешнего остеосинтеза.
Морально пациентка подготовили к артродезу. И он с этим согласился.
Но решили делать в 2 этапа. Первый - восстановить ось и дать костной крошке в проксимальном отделе консолидироваться.
Второй - собственно артродез.
Но по результатам первого этапа думаем дать пациенту попользоваться ногой. А там посмотрим.
С уважением Александр Артемьев
>
|
| Послать ответ |
Обратите внимание: Поля с жирными названиями обязательны.
Старайтесь отвечать в рамках обсуждаемой темы, а не начинать новые обсуждения.
Указывайте адекватную тему сообщения, чтобы было ясно, о чем оно.
Не послайте сообщений не по теме (оффтопик), раздраженных, грубых или обидных комментариев. Здесь это неуместно.
|