AOTRAUMA.ORG Центр Илизарова  

Ортопедия и травматология Общие вопросы/General questions Help Информационные технологии в медицине
 вверх
 отправить
 поиск
 админ
 главная


Мальчик 15 лет Застарелый голеностоп
Ортопедия и травматология Отправлено Alexaander Artemiev 24 Январь 2010, 23:07
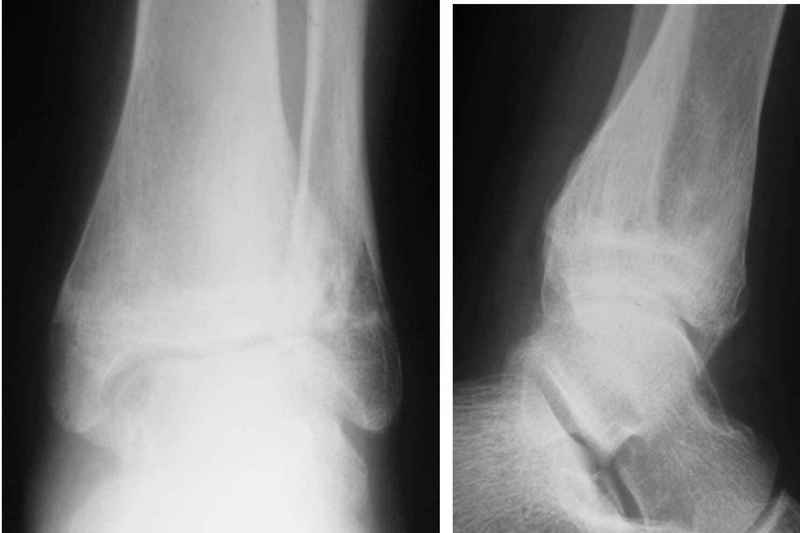
Здравствуйте, коллеги.Обратились родители мальчика 15 лет. Сами врачи.В июле 2009 года - перелом лодыжек.
Лечили в гипсе, потом в аппарате.
Лечили спорно, на мой взгляд. В результате - - сращение наружной лодыжки с укорочением, подвывих голеностопа кнаружи (вальгус) в итоге компенсаторно передний отдел стопы ставит на варус. Нагрузку ограничивает.
Ребенка я не видел, со слов родителей.
Снимки в приложении.
Что делать?
С уважением Александр АртемьевМытищи

<  |  >

 

  • Сообщения о Ортопедия и травматология
  • Также Alexaander Artemiev
  • Связаться с автором
  • Ответить

    Re: Мальчик 15 лет Застарелый голеностоп
    Николай Гуза 25 Январь 2010, 01:43
    Здравствуйте Александр! Хотелось бы узнать подробности: сколько времени больная получает ЛФК, массаж, дозированная ходьба. Хотелось бы увидеть фото обеих голеностопных суставов с захватом стоп стоя.
    Если все так плохо, можно будет ставить вопрос об коррегирующей остеотомии.
    [ Ответить ]

    Re: Мальчик 15 лет Застарелый голеностоп
    Андрей 25 Январь 2010, 03:02
    Видимо нужно будет сделать корригурующую остеотомию.http://torrents.ru/forum/viewtopic.php?t=2546670 По предложеному адресу можно скачать видео по даной процедуре
    [ Ответить ]

    Re: Мальчик 15 лет Застарелый голеностоп
    Dr. A. Liberson 25 Январь 2010, 09:44
    Dear Alexander, Hope you are ok,
    Isn't he a bit younger than 15?
    I would operate. Try to get the leg straight and the ankle joint in the proper position relative to the ground surface. Consider his age and the growth plate. Good luck.
    AL

    [ Ответить ]

    Re: Мальчик 15 лет Застарелый голеностоп
    Устьянцев Ибрагимов 26 Январь 2010, 13:52
    Уважаемый Александр Артемьев!
    Следуя принципам восстановительной хирургии, необходимо дозированное повреждение опорного аппарата- возвращение в преморбидное состояние с последующим восстановлением структуры(Илизаров как метод выбора).
    С этой целью предлагаем восстановить анатомию м/берцовой кости, следствием чего будет возможность выставить центр тарана по оси голени, устранить эквинус и суппинацию переднего отдела стопы.
    А затем приступить к восстановлению функции.
    [ Ответить ]

    Re: Мальчик 15 лет Застарелый голеностоп
    Eidelman Mark 28 Январь 2010, 02:36
    Sasha privet,
    1.sdelai complete epiphysiodesis
    2.left hand x ray
    3.if bone age is 14 years add 4 mm +supramalleolar varus osteotomy +current LLD
    4.if bone age 15 add only 2mm
    5.if bone age 16 years no additional length
    Udachi
    Mark
    [ Ответить ]


    ( Ответить )

    Powered by Zope  Squishdot Powered MedLink
    Посетитель: 0010784
      "По форме правильно, а по существу - издевательство" В.И.Ленин
    ©2001-2019Orthoforum Coordinator.
    [ Главная | Отправить сообщение | Поиск | Админ ]