ВХОД ДЛЯ ПАЦИЕНТОВ
вверх
поиск
админ
главная
исходное
|
Re: Контрактура плечевого сустава после шва ротаторов
послал Бережной Сергей. 27 Январь 2010, 02:06
|
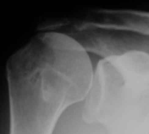
Верхний подвывих в такой ситуации может быть проявлением ротаторной артропатии, как следствия более массивного, чем частичный разрыв сухожилия надостной мыщцы, повреждения вращательной манжеты. И значит нужно думать о том, насколько полно восстановлена манжета, адекватно ли был расценен объем ее повреждения. Что за шов применялся? Якорных винтов не видно. И почему гипсовая иммобилизация? Есть прекрасные надувные отводящие подушки, позволяющие ранние движения.

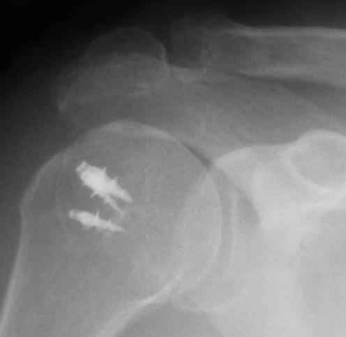
В качестве примера - снимки до и после восстановления целостности вращательной манжеты после 3-хмесячной давности полного разрыва. Видно, что верхний подвывих устранен.
|
| Послать ответ |
Обратите внимание: Поля с жирными названиями обязательны.
Старайтесь отвечать в рамках обсуждаемой темы, а не начинать новые обсуждения.
Указывайте адекватную тему сообщения, чтобы было ясно, о чем оно.
Не послайте сообщений не по теме (оффтопик), раздраженных, грубых или обидных комментариев. Здесь это неуместно.
|