AOTRAUMA.ORG Центр Илизарова  

Ортопедия и травматология Общие вопросы/General questions Help Информационные технологии в медицине
 вверх
 отправить
 поиск
 админ
 главная


Ошибка при установке Гамма 3
Ортопедия и травматология Отправлено Djoldas Kuldjanov 13 Март 2010, 12:16
Для лечения переломов проксимального бедра существует различные конструкции, включая цефаломедуллярные. Среди них из-за простоты и удобной конструкции распространенным является Gamma.
Имплант засчет верхней блокировки создает эффект угловой стабильности и применяется не только при скоростных травмах у молодых, а также для лечения переломов пожилого возраста.
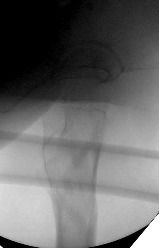
Здесь представлен случай, где в послеоперационном периоде обнаружена техническая ошибка, Gamma 3 установлен с нарушением методики. Больная в 91 лет, прооперирована через день после поступления и выписана через 48 часов.
При первом послеоперационном поликлиническом осмотре больная предъявила жалобы на боли в бедре. В серийных снимках обнаружен продольный перелом верхнего отдела бедра.
Считаем, что техническая ошибка произошла во время установки гвоздя, когда рассверливанию канала не уделили должного внимания. Канал остался узковат, и гвоздь был забит с силой. Полная нагрузка конечности приостановлена на две недели, и боли в конечности изчезли. Больная начала нагрузку и перелом срастается.-- Djoldas Kuldjanov, M.D.Associate ProfessorDepartment of Orthopedic SurgerySt. Louis University

<  |  >

 

  • Сообщения о Ортопедия и травматология
  • Также Djoldas Kuldjanov
  • Связаться с автором
  • Ответить

    Re: Ошибка при установке Гамме 3
    Pavel 13 Март 2010, 13:22
    Стлокнулись стакой ситуацией неделю назад, не прислушались к словам представителя компании о том что заходить гвоздь должен свободно. Когда увидели перелом поменяли на тот же длинный. Western Galilee Hospital, Israel
    [ Ответить ]

    Re: Ошибка при установке Гамме 3
    Ilya Iofin 14 Март 2010, 09:42
    I have a different interpretation of this case. I suspect you did not tighten the set screw all the way in order to allow sliding of the lag screw and fracture fragment compression, as you would for a standard intertrochanteric hip fracture. This is a reverse obliquity fracture, so the result is migration of the proximal segment. I doubt reaming the canal would have prevented this. Had the set screw been fully tightened, there would be no postoperative fragment motion.
    [ Ответить ]

    • Re: Ошибка при установке Гамме 3
      Отправитель: Ilya Iofin 14 Март 2010, 09:53
      I looked at the films again and saw that you are referring to the nondisplaced shaft fracture, not the proximal fragment position. Sorry.

      [ Ответить ]
    Re: Ошибка при установке Гамме 3
    Alexander Chelnokov 14 Март 2010, 11:08
    DK> При первом послеоперационном поликлиническом осмотре больная
    DK> предъявила жалобы на боли в бедре. В серийных снимках обнаружен
    DK> продольный перелом верхнего отдела бедра.


    Мне тоже представляется, что это не единственная проблема. Продольные трещины заживают легко и быстро. Интересно, почему увеличился варус и
    появилась медиализация дистального отломка.

    [ Ответить ]

    • Re: Ошибка при установке Гамме 3
      Отправитель: Alexey Semenisty 14 Март 2010, 22:51
      Мне думается, что варусное положение проксимального отломка на последующих снимках не более чем проекционный феномен. Раскол же диафиза вдоль, наверняка, связан с чрезмерно насильственным введением штифта. Вообще, при реверсивных, да и обычных вертельных переломах, многие давно отказались от короткой Гаммы в пользу long-версии. Но в любом случае надо быть на 100 уверенным в подготовке канала.

      С уважением, А.Семенистый.
      ГКБ № 13, Москва.

      [ Ответить ]
    Re: Ошибка при установке Гамма 3
    Дядя Вася 14 Март 2010, 18:05
    Перелом А3, подвертельный, вероятно, на длинной версии гвоздя такого бы не произошло
    [ Ответить ]

    Re: Ошибка при установке Гамма 3
    RMS 16 Март 2010, 20:57
    eto nestabil'nui perelom. nado bylo stavit' gamma long. kanal uzkii (bylo vidno). mesiaz ne nagrujat', vse srastetsia!
    [ Ответить ]


    ( Ответить )

    Powered by Zope  Squishdot Powered MedLink
    Посетитель: 0007933
      "По форме правильно, а по существу - издевательство" В.И.Ленин
    ©2001-2019Orthoforum Coordinator.
    [ Главная | Отправить сообщение | Поиск | Админ ]