вверх
отправить
поиск
админ
главная
|
Больной с дефектом дистальной части бедра |
 |
 |
 |
Отправлено Gleb Korobushkin 28 Май 2010, 00:13
Коллеги! Прошу совета, какую тактику избрать при лечении.Больной 27 лет, мотоциклист. Поступил 23.04.10 ДЗ. О. перелом н.з левого бедра Gustillo 3b (c повреждение бедренной вены), О.Правого бедра Gustillo 2, з. фрагментарный перелом левой голени.При поступлении Hb 66 ISS 40, Фиксация стержневыми аппратами, сосудистые хирурги выполнили шов вены. Выполена резекция бедренной кости 9 см. На 7 сутки Желудочно-кмшечное кроветечение из стрессовых язв, 12 сутки флотирующий тромтоз 14 см установлен кава-фильтр. На 15 сутки закрытие ран местными тканями. Раны заживают первично. Воспаления на стержнях нет. В настоящий момент планируем. Переход со стержневых аппаратов на стержни с антибактериальным покрытием на правом бедре и левой голени. Левое бедро планируем продолжить фиксировать в стержневом аппарате.
Вопрос: что делать с левым бедром? Учитывая внутрисутавной характер перелома, дефект бедра 9 см.
Korobushkin Gleb
<
|
>
|
|
Ответить
|
Re: Больной с дефектом дистальной части бедра
Leonid Solomin 28 Май 2010, 00:30
|
Уважаемый Глеб Владимирович!
> Вопрос: что делать с левым бедром? Учитывая внутрисуставной характер перелома, дефект бедра 9 см.
Мы, очевидно, в первую очередь приложили бы все усилия и имеющиеся возможности для восстановления конгруентности суставной поверхности.
Стабилизировали дистальный суставной и основной фрагменты чрескостным аппаратом, скомпоновав его таким образом, что бы можно в последующем
устранить неравенство длин конечностей за счет кортикотомии проксимальной трети сегмента. Замещение дефекта, приемы для сращения "трубки и губки" - позже, когда "разберетесь" с другими сегментами и соматикой.
Всего доброго,
Л.Соломин
|
[
Ответить ]
|
Re: Больной с дефектом дистальной части бедра
Alexander Artemiev 28 Май 2010, 00:36
|
Здравствуйте, Глеб.
> Больной 27 лет, мотоциклист. Поступил 23.04.10
> ДЗ. О. перелом н.з левого бедра Gustillo 3b (c повредрение бедренной вены),
> О.Правого бедра Gustillo 2, з. фрагментарный перелом левой голени.
> При поступлении Hb 66 ISS 40, фиксация стержневыми аппратами,
> сосудистые хирурги выполнили шов вены.
Круто. А так нужно было?
> Выполена резекция бедренной кости 9 см
По поводу чего так много?
Можно посмотреть снимки до резекции?
> На 7 сутки Желудочно-кмшечное кроветечение из стрессовых язв,
> 12 сутки флотирующий тромтоз 14 см установлен кава-фильтр.
Тромб не из сшитой вены?
> Вопрос: что делать с левым бедром? Учитывая внутрисутавной характер
> перелома, дефект бедра 9 см.
Мыщелки бедра скрепите 2-3 винтами закрыто.
Дефект срочно переводите в т.н. "острое укорочение" и сращивайте с укорочением.
Монолатеральный аппрат лучше заменить на кольцевой - проще манипулировать.
На первое время сустав блокируйте, потом предвижу возможность освободить его, фиксировав дистальный фрагмент бедра в отдельном кольце.
По собственному опыту лечения дефектов бедра и голени скажу, что формирование посттравматических дефектов, особенно с героическим закрытием обширных ран - не самый удачный вариант.
Как потом замещать?
Отвечу сам. Удлинять укороченную ногу несравнимо проще, чем замещать дефект.
Лучше укорачивать во время первичной операции - в данном случае ПХО, коль уж так радикально её сделали.
Обоснование:
- все видно
- размер раны уменьшается, легче закрывать.
- это может быть окончательной операцией - до сращения.
С пациентом потом сами обсудите - нужно ли ему удлинять, или он готов пользоваться ортопедической обувью, какой сегмент удлинять - бедро или голень. На какую величину удлинять. И многое другое тоже обсудите:)
При подобных состояниях бедра, думаю, что в перспективе, после сращения бедра с укорочением необходиа как минимум полугодовая реабилитация,
направленная на разарботку движений в коленном суставе.
Если будет хотя бы небольшой объем движений в колене, то лучше удлинить голень, так как в процессе удлинения бедра эта функция может
исчезнуть окончательно. Если же сформируется фиброзный анкилоз колена, то без разницы что удлинять. Но технически проще - опять же голень.
С уважением Александр Артемьев
Мытищи
|
[
Ответить ]
|
Re: Больной с дефектом дистальной части бедра
Юрий Алексеевич Булахтин 28 Май 2010, 03:57
|
Глеб, добрый день!
Глубокоуважаемый А.А. Артемьев пишет: " При подобных состояниях бедра, думаю, что в перспективе, после сращения бедра с укорочением необходиа как минимум полугодовая реабилитация,
направленная на разарботку движений в коленном суставе.
Если будет хотя бы небольшой объем движений в колене, то лучше удлинить голень, так как в процессе удлинения бедра эта функция может
исчезнуть окончательно. Если же сформируется фиброзный анкилоз колена, то без разницы что удлинять."
А нужен-ли такой конгломерат больному на всю оставшуюся жизнь? Плюс лимфатические и венозные проблемы. Мне кажется, если не ампутация, то кровоснабжаемые костные трансплантаты. За это:
- молодой возраст;
- значительный контурный дефект;
- расположение в нижней трети бедра, где пластика по Илизарову наименее эффективна;
- ОТСУТСТВИЕ ИНФЕКЦИИ;
С уважением и пожеланием успехов при любом методе лечения этого сложного пациента, Юрий Алексеевич Булахтин
|
[
Ответить ]
|
Re: Больной с дефектом дистальной части бедра
Gleb Korobushkin 28 Май 2010, 20:32
|
Леонид Николаевич! Александр Александрович!
Спасибо за ответы.
Вчера перешли с аппаратов на стежни с аб покрытием на правом бедре и левой голени.
На левом бедре оставили аппарат бедро-голень.
Как вы думаете если сделать следующее.
После заживления раны на левом бедре. Выполнить открытую реподицию и синтез пластиной для дистального бедра. Пластину в проксимальном направлении зафиксировать монокортикально.
А затем выпонить остеотомию бедра в верхней трети.
И тракцию бедра на стержне. Типа (СМ картинки).

После выращивания регенерата стержень блокировать.
С ув КГ
|
[
Ответить ]
|
Re: Больной с дефектом дистальной части бедра
Maxim Agalakov 28 Май 2010, 22:57
|
А зачем такие героические усилия пациенту с таким анамнезом? основная проблема в бедре с дефектом? Сделайте острое укорочение поле консультации с сосудистыми, можно попытаться через проколы зафиксировать суставную поверхность. Если они радикально против - транспорт медленно и печально. . с другими сегментами - наверное лучше заштифтовать. ЗИМО можно и после - на регенерате, если все будет нормально,как кажется - более прогнозируемый вариант? с возможностями маневра.
|
[
Ответить ]
|
Re: Больной с дефектом дистальной части бедра
Михаил 29 Май 2010, 12:19
|
Уважаемый Глеб! А если поробовать произвести остеосинтез с укорочением (учитывая дефект костной ткани), а после консолидации, если возникнет необходимость - билокальный остеосинтез для удлиннения сегмента.
Коллеги еще подсказывают остеосинтез и одномоментную пластику дефекта 1 - 2 костными трансплантатами из гребней крыльев подвздошных костей.
И самый просто вариант протез коленного сустава с длинной "онкологической" ножкой. Но молодой возраст...
|
[
Ответить ]
|
Re: Больной с дефектом дистальной части бедра
Alexander Chelnokov 29 Май 2010, 13:15
|
Вопрос: что делать с левым бедром? Учитывая внутрисуставной характер перелома, дефект бедра 9 см.
Как-то бы еще и умудриться движения в колене сохранить. Может быть, на первые недели фиксировать все аппаратом, согнув колено до прямого угла и задав правильную длину. А как раны заживут, заштифтовать, заместив дефект кейджем,
Хорошо давать советы удаленно, когда следовать им предстоит не самому ;-)
|
[
Ответить ]
|
Re: Больной с дефектом дистальной части бедра
ерохин александр 30 Май 2010, 00:13
|
Интересный случай.Каждый советует ,как подсказывает собственный опыт,опыт определённой техники.В конце- концов неизвестны условия лечения,возможности Я согласен с А.Артемьевым-добавить по большему счету нечего (ещё наверно катетеризировали б a.epigasrica inferior)Может учителя одни были?А может "у дураков мысли сходятся"(Ц) )
|
[
Ответить ]
|
Re: Больной с дефектом дистальной части бедра
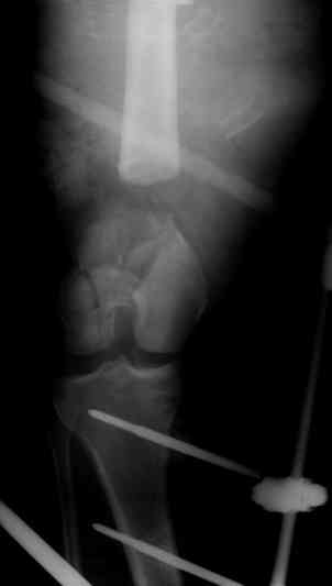
Неведров Александр (НИИСП им Н.В. Склифосовского) 02 Июнь 2010, 01:35
|
Глеб Владимирович, здравствуйте!
Вы предложили отличный и оригинальный выход из такой сложной ситуации.
При идеальном состоянии пациента в целом и мягких тканей в области левого бедра, конечно.
У пациента ISS 40- какие у него сочетанные повреждения?
Если у Вас возникнут какие-то сомнения, то возможно наложение гибридного циркулярного-монолатерального дистракционного аппарата на левое бедро и выполнение остеотомии в в/3 бедра. Почему монолатеральный гибридный аппарат, а не аппарат Илизарова? Эта конструкция гораздо легче переносится пациентами, в ней гораздо удобнее проводить местное лечение ран.
Разрешите рассказать о пациенте, которому мы фиксировали перелом такой конструкцией.
Больной 19 ти лет, пострадал в результате ДТП, пассажир мотоцикла. Получил открытый оскольчатый перелом н/3 левой бедренной кости 3a тип по Гастилло-Андерсену. При поступлении ПХО ран, фиксация стержневым аппаратом наружной фиксации. Лечение больного осложнилось развитием анаэробной флегмоны левого бедра. Лампасные разрезы, неоднократные некрэктомии, некротизировался участок диафиза левой бедренной кости на протяжении 15 см. Произведена резекция. 20.05.10- демонтаж АНФ, остеоситез левой бедренной кости гибридным циркулярно-монолатеральным стержневым дистракционным аппаратом наружной фиксации, остетомия левой бедренной кости в в/3. Сейчас начата дистракция в аппарате, проводится подготовка ран к аутодермопастике.
С уважением. Удачи!
5.jpg
46KB (47418 bytes)
|
[
Ответить ]
|
|
( Ответить )
|
|