AOTRAUMA.ORG Центр Илизарова  

Ортопедия и травматология Общие вопросы/General questions Help Информационные технологии в медицине
 ВХОД ДЛЯ ПАЦИЕНТОВ
 вверх
 поиск
 админ
 главная


чрезмыщелковый перелом - возможность улучшения функции?
Ортопедия и травматология Прислано Anton Vladzymyrskyy 27 Сентябрь 2010, 18:21
из
Уважаемые коллеги!
Выскажите, пожалуйста, свое мнение по данному случаю. Пациент очень решительно настроен прооперироваться с целью улучшения функции.
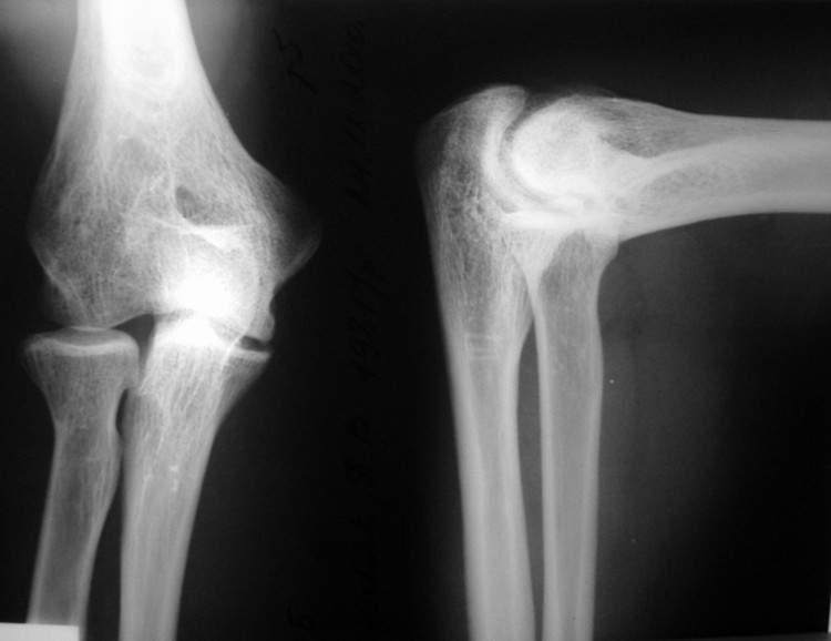
Мужчина, 29 лет. В 15 лет - спортивная травма, закрытый чрезмыщелковый перелом правой плечевой кости со смещением. Лечился консервативно. В настоящее время предъявляет жалобы на ограничение сгибания, повышенную утомляемость.
Объективно: сгибание до 100 гр., разгибание до 170. Неврологических и циркуляторных расстройств нет.
Вопрос: возможность хирургического лечения с целью улучшения функции (вид, детали, прогноз)?

Заранее благодарю!

С уважением,
А.В.Владзимирский


ДНИИТО Dear colleagues!

Male, 29 y.o. In age of 15 years he had sport trauma – close transcondylar fracture of the humerus. He had cast fixation and some rehabilitation after it.

Now: complaints for limitation of the flexion, fast weariness.

Flexion: 100 degree, extension – 170. There are no neurological and vascular disorders.

Question: possible surgical treatment for better function of the elbow (opinion, type of surgery, details, prognosis)?

Thank you very much!

Best wishes,

Anton Vladzymyrskyy

Donetsk Trauma Center

Послать ответ

Имя
Email
Уведомление Сообщить мне по e-mail об ответах на это сообщение
Название
Комментарий
(Проверьте URL! Не забудьте написать http://!)
Кодировка
Если не знаете, что выбрать, выберите "Просто текст"!
Приложение
Можно приложить к сообщению файл c изображением, который затем будет доступен увидевшим сообщение.
Подготовка иллюстраций:
  • Рентгенограммы: черно-белые полутоновые изображения в формате JPEG (8 bit, greyscale) с разрешением от 300х200 до 1024х768 пикселов;
  • Клинические фотографии: полноцветные изображения в формате JPEG (24 bit, truecolor) с разрешением от 300х200 до 1024х768 пикселов;
  • Схемы и рисунки: черно-белые (2 bit) штриховые (line-art) изображения в формате GIF или compressed TIFF
  • Подберите степень сжатия файла JPEG и размер изображения таким образом, чтобы необходимые детали были различимы, но размер файла не превышал 75 кб.
  • Учтите, что текущая версия программного обеспечения Форума позволяет приложить к одному сообщению лишь один файл-вложение. Поэтому, если необходимо отправить несколько изображений, можно либо послать каждое как отдельное сообщение, либо в графическом редакторе объединить изображения в одно (сделать коллаж).
  • Если при подготовке изображений встречаются трудности, не стесняйтесь обратиться к координатору Форума.

  • Введите видимые символы в обратном порядке. Enter the above characters in reverse order (*Обязательно)
    В тексте сообщения можно использовать теги HTML <B> <I> <P> <A> <LI> <OL> <UL> <EM> <BR> <TT> <HR> <STRONG> <BLOCKQUOTE> <DIV .*> <DIV> <P .*>
  • Обратите внимание: Поля с жирными названиями обязательны.
  • Старайтесь отвечать в рамках обсуждаемой темы, а не начинать новые обсуждения.
  • Указывайте адекватную тему сообщения, чтобы было ясно, о чем оно.
  • Не послайте сообщений не по теме (оффтопик), раздраженных, грубых или обидных комментариев. Здесь это неуместно.
  • Powered by Zope  Squishdot Powered MedLink
    Посетитель: 0024497
      "По форме правильно, а по существу - издевательство" В.И.Ленин
    ©2001-2019Orthoforum Coordinator.
    [ Главная | Отправить сообщение | Поиск | Админ ]