AOTRAUMA.ORG Центр Илизарова  

Ортопедия и травматология Общие вопросы/General questions Help Информационные технологии в медицине
 вверх
 отправить
 поиск
 админ
 главная


очаг фиброза в правой большеберцовой кости
Ортопедия и травматология Отправлено Gleb Korobushkin 01 Февраль 2011, 01:50
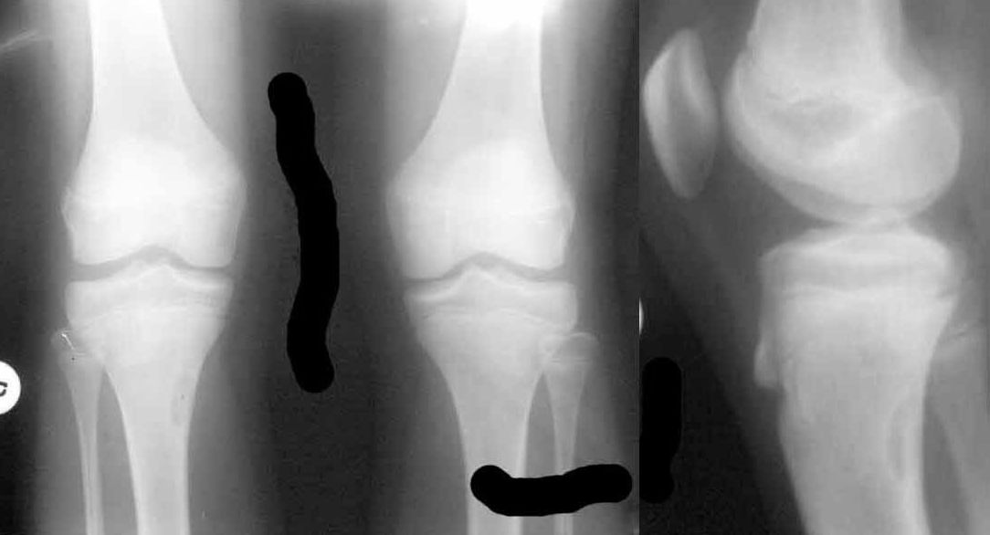
Коллеги, обратились педиатры с вопросом:"Девочке сейчас 12.5 лет. Летом этого года стартовал пубертат, начала вытягиваться.
В течение лета были активные физические нагрузки, в августе - длительные пешие походы в горах. С сентября стали появляться боли в коленных суставах, связанные с подъемом по лестнице и при приседании. Боли непостоянные, то в одной, то в другой ноге, иногда одновременно в обоих коленях. В покое и при обычной ходьбе боли не отмечаются. 18.01.2011 сделали снимки коленных суставов - выявлен очаг фиброза в правой большеберцовой кости?"
Что это?
С ув КГ

<  |  >

 

  • Сообщения о Ортопедия и травматология
  • Также Gleb Korobushkin
  • Связаться с автором
  • Ответить

    Re: очаг фиброза в правой большеберцовой кости
    Алексей 02 Февраль 2011, 21:39
    Вариант фиброзной дисплазии (фиброзный кортикальный дефект). В плане обследования КТ. В плане лечения - наблюдение, Ro-гр. раз в полгода. Если не увеличивается в размерах оставить в покое.
    [ Ответить ]

    Re: очаг фиброза в правой большеберцовой кости
    Зельский Илья Александрович 02 Февраль 2011, 23:30
    Согласен с Алексеем. Фиброзный метафизарный кортикальный дефект - особенность формирования костей в местах крепления сухожилий наиболее активных мышц, клинически не проявляется, выявляется у 15% здоровых подростков, занимающихся спортом. самостоятельно замещается нормальной косчтной тканью после окончания полового созревания, оперативного лечения не требует. С уважением, врач-рентгенолог УНИИТО, Зельский И.А.
    [ Ответить ]

    Re: очаг фиброза в правой большеберцовой кости
    Евгений 03 Февраль 2011, 02:04
    Здравствуйте, у девочки болезнь Осгуд-Шляттера, лечение консервативное - ограничить спортивную нагрузку
    С уважением, Евгений


    [ Ответить ]

    Re: очаг фиброза в правой большеберцовой кости
    Korobushkin Gleb 03 Февраль 2011, 02:08
    Спасибо большое за советы ваши!

    [ Ответить ]

    • Re: очаг фиброза в правой большеберцовой кости
      Отправитель: Виктор Филипчук 03 Февраль 2011, 03:53
      Ув. Глеб! У девочки функциональная перестройка кости в месте прикрепления m. tibialis posterior. Один из признаков функциональной перегрузки при pes planus. Лечение разгрузка стельками если боль, нет то ЛФК "ходьба мишка косолапый". С ув. Филипчук

      [ Ответить ]
    очаг фиброза в правой большеберцовой кости
    Бен. Э. М. 03 Февраль 2011, 05:00
    Osgood-Schlatter est', esho imeetsya kista bolshebertsovoy kosti po medial'noy poverkhnosti, vidna na obeikh proektsiakh.
    [ Ответить ]

    Re: очаг фиброза в правой большеберцовой кости
    Антон Андрианов 03 Февраль 2011, 11:54
    Уважаемый Глеб,
    на данных снимках не очень хорошего качества сканирования можно думать об очаге фиброзной дисплазии. Данное место наиболее частое для подобных образований, мне неоднократно доводилось оперировать эту патологию- экономная резекция с замещением дефекта Коллапаном. Можно сделать несколько снимков в косых проекциях и, если доступно, МРТ, КТ даст слишком большую дозу ребенку.
    Сама патология неопасна, но есть данные о том, что злые опухоли чаще растут из подобных очагов,чем из здоровых костных клеток.
    [ Ответить ]

    Re: очаг фиброза в правой большеберцовой кости
    Антон Андрианов 03 Февраль 2011, 11:54
    Уважаемый Глеб,
    на данных снимках не очень хорошего качества сканирования можно думать об очаге фиброзной дисплазии. Данное место наиболее частое для подобных образований, мне неоднократно доводилось оперировать эту патологию- экономная резекция с замещением дефекта Коллапаном. Можно сделать несколько снимков в косых проекциях и, если доступно, МРТ, КТ даст слишком большую дозу ребенку.
    Сама патология неопасна, но есть данные о том, что злые опухоли чаще растут из подобных очагов,чем из здоровых костных клеток.
    [ Ответить ]

    Re: очаг фиброза в правой большеберцовой кости
    Алексей Тарасов 03 Февраль 2011, 14:24
    Уважаемый Глеб!
    1. У Вашей пациентке метафизарный фиброзный дефект проксимального отдела большеберцовой кости. Локализуются данные образования в местах прикрепления активных групп мышц, связаны могут быть с повышенными физическими нарузками (как в Вашем случае). При данной клинике и рентгенологической картине необходим разгрузочный режим (исключить бег, прыжки) и наблюдение. В настоящий момент угрозы патологического перелома нет, поэтому более оправдана консервативная тактика.
    2. О болезни Осгуда-Шлаттера (были предположения в комментариях) нельзя судить только по рентгенологической картине, тем более что она соответствует норме - нет изменений структуры, отсутствует фрагментация. Остеохондропатии в данном случае без клиники быть не может.
    С уважением, доцент кафедры травматологии, ортопедии и ВПХ Астраханской государственной медицинской академии, доктор медицинских наук А.Н. Тарасов
    [ Ответить ]

    Re: очаг фиброза в правой большеберцовой кости
    Korobushkin Gleb 06 Февраль 2011, 22:57
    Еще раз большое спасибо за ответы!!!
    [ Ответить ]

    Re: очаг фиброза в правой большеберцовой кости
    Вячеслав Васюков 11 Февраль 2011, 00:17
    Это вариант фиброзной остеодисплазии- экстакортикальная неоосифицирующая фиброма проксимального отдела б/берцовой кости. Течение , как правило благоприятное , наблюдайте и всё будет ОК!
    [ Ответить ]

    Re: очаг фиброза в правой большеберцовой кости
    Леонид Сычевский 12 Февраль 2011, 19:54
    Фиброзная дисплазия (кортикальный дефект). Скорее всего случайная находка. Тактика:если дефект более 1/3 диаметра б\б кости - оперировать (риск возникновения перелома), если менее - нет. В данном случае - наблюдать (а можно и не наблюдать, оставить в покое). Боли связаны с чем-то другим (скорее всего перегрузки - на месяц-другой освободить от тренировок).
    [ Ответить ]


    ( Ответить )

    Powered by Zope  Squishdot Powered MedLink
    Посетитель: 0169367
      "По форме правильно, а по существу - издевательство" В.И.Ленин
    ©2001-2019Orthoforum Coordinator.
    [ Главная | Отправить сообщение | Поиск | Админ ]