AOTRAUMA.ORG Центр Илизарова  

Ортопедия и травматология Общие вопросы/General questions Help Информационные технологии в медицине
 вверх
 отправить
 поиск
 админ
 главная


Нестабильность коленного сустава
Ортопедия и травматология Отправлено Leonid Pollyak 11 Август 2011, 20:47
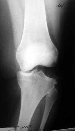
Сегодня на приеме была больная 27 лет, вес 120кг. Травма 7 лет назад - ДТП. Была ЧМТ, двухсторонний перелом пилона, обширные рваные раны бедер, голеней. Судя по нынешней картине - вывих левой голени.
Ходит практически не хромая, жалобы на неустойчивость голени при ходьбе. При стресс тестах - грубейшая несостоятельность связочного аппаратаколенного сустава. Хотелось бы услышать мнение о целесообразности пластического восстановления связок после столь длительного периоданестабильности сустава.С уважением,Leonid m

<  |  >

 

  • Сообщения о Ортопедия и травматология
  • Также Leonid Pollyak
  • Связаться с автором
  • Ответить

    Re: Нестабильность коленного сустава
    Максим Королев 11 Август 2011, 23:07
    Ходит практически не хромая, жалобы на неустойчивость голени при ходьбе.
    Достаточно витиевато-хотелось поподробнее узнать что принципиально беспокоит пациентку. Есть ли "притензии" в повседневной жизни в плане самообслуживания (наверняка не будет в олимпийской сборной) Если действительно тотальная нестабильность сустава то делать пластику при 120 кг. я бы сделал эндопротезом
    [ Ответить ]

    • Re: Нестабильность коленного сустава
      Отправитель: Серегй Дукер 12 Август 2011, 02:23
      27 лет, 120 кг. и впреред ТПКС? ну-ну.

      [ Ответить ]
    • Re: Нестабильность коленного сустава
      Отправитель: Игорь Девин 12 Август 2011, 17:17

      Как Вы собираетесь достичь мышечного баланса? Или поставите связанный эндопротез, который будет расшатываться при каждом шаге 120 кг веса?, А что будет в 37, 47, 57 и т.д. лет? С каких пор нестабильность сустава стала являться показанием к эндопротезированию? Может наоборот? Ответственнее надо быть, когда советуешь !!!
      И.Девин.

      [ Ответить ]
    Re: Нестабильность коленного сустава
    Николай 12 Август 2011, 02:56
    У пациентки застарелый разрыв наружной боковой связки. Нестабильность вскоре приведет к деф артрозу коленного сутсава, к тому же избыточный конституциональный вес. Делайте пластику наружной боковой связки.
    [ Ответить ]

    Re: Нестабильность коленного сустава
    Николай 12 Август 2011, 03:00
    Пластику предлагаю делать либо fascia lata, либо лавсановой лентой. Эндопротезирование коленного сустава дорого.
    [ Ответить ]

    Re: Нестабильность коленного сустава
    Максим Королев 12 Август 2011, 10:35
    Коллеги, ради Бога простите, эндопротез я имел ввиду связки, ну не как коленного сустава, опечатался
    [ Ответить ]

    Re: Нестабильность коленного сустава
    Дедок Михаил 13 Август 2011, 01:39
    Заодно приготовьтесь к пластике крестообразных связок. Вероятность разрыва очень высока.
    [ Ответить ]

    Re: Нестабильность коленного сустава
    Maxim Agalakov 14 Август 2011, 01:28
    одной пластикой наружной связки проблему не решить, нужно разбираться остальным связочным аппаратом, но начать, лучше с операции на желудки или с других способов коррекции веса (если этого еще не было)
    [ Ответить ]

    Re: Нестабильность коленного сустава
    Arman 18 Август 2011, 12:58
    Сделайте МРТ. При таком р-гене возможен разрыв задне-латерального комплекса с выраженной нестабильностью. Тактика - пластика ЗКС, ЛКС.
    [ Ответить ]


    ( Ответить )

    Powered by Zope  Squishdot Powered MedLink
    Посетитель: 0008992
      "По форме правильно, а по существу - издевательство" В.И.Ленин
    ©2001-2019Orthoforum Coordinator.
    [ Главная | Отправить сообщение | Поиск | Админ ]