AOTRAUMA.ORG Центр Илизарова  

Ортопедия и травматология Общие вопросы/General questions Help Информационные технологии в медицине
 вверх
 отправить
 поиск
 админ
 главная
 Предыдущее


Re: вывих головки эндопротеза
Рашид М. Тихилов 09 Июль 2004, 12:34
Сан Саныч,
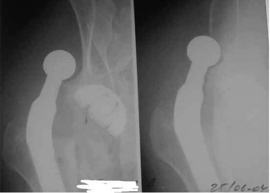
Консультировать вывихи по рентгенограммам, не зная хода операции, дело не очень благодарное. Я думаю, что с датой операции Вы ошиблись и это был 2004 год? Тем не менее. Настораживают два фактора. Первое - не видно большого вертела. Если с мышцами обошлись грубо и их отсекли, то это очень грустно и нужна "связанная" пара, т.н. "constrain cup". Смущает хорошо прослеживаемый малый вертел и небольшая ретроверсия чашки. Возможно это (избыточная ретроверсия ножки и чашки) могло послужить причиной вывиха. Обычно гипсовая повязка после операции не накладывается, значит, были глубокие сомнения у оперировавшего хирурга. В этом случае - ревизия с перестановкой как минимум - ножки, а как максимум - обоих компонентов.
Но желательно бы знать ход операции.
С.С. случайно имя б-го начинается не с буквы Т., а хирурга - с Н.?

С уважением, Р.Тихилов
  • Сообщения о Информационные технологии в медицине
  • Также Рашид М. Тихилов
  • Связаться с автором
  • Ответить

    Re: вывих головки эндопротеза
    Alexander Artemiev 09 Июль 2004, 15:18








    Дорогие коллеги, спасибо всем, кто откликнулся.
    Все Ваши мнения я распечатаю, они будут обсуждены
    и, возможно, каким-то образом помогут пациенту.
    Дата операции - конечно же 2004 год.

    Рашид Муртузалиевич, конечно же именно с этих букв начинаются фамилии участников событий:(
    Но позвольте уточнить.

    РМТ> В этом случае - ревизия с
    РМТ> перестановкой как минимум - ножки, а как максимум - обоих компонентов.

    Как Вы понимаете, сложно сейчас решиться и даже обсуждать подобную перспективу.
    Но вот в конкретной ситуации - как поступить.
    Просто лежать, иммобилизировать дополнительно или активизироваться?

    РМТ> Но желательно бы знать ход операции.

    Это невозможно:(
    Спасибо огромное.
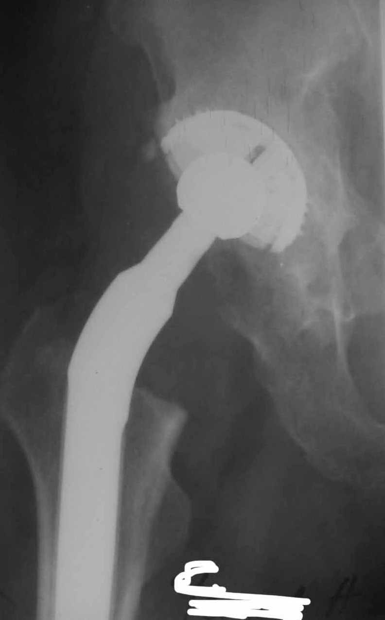
    Во вложении - рентгенограммы после вывиха и после вправления.
    С уважением Александр Артемьев

    [ Ответить ]

    • Re: вывих головки эндопротеза
      Отправитель: Рашид М. Тихилов 10 Июль 2004, 09:35
      a> Но вот в конкретной ситуации - как поступить.
      a> Просто лежать, иммобилизаровать дополнительно или активизироваться?

      Конечно, чудеса бывают, давай попробуем поиграть в эти игры, учитывая характерологические особенности нашего общего знакомого.
      Идея очень простая, в случае, если удасться прожить без вывиха 2.5-3 месяца, вероятность его возникновения в будущем значительно уменьшится. Оптимальный вариант - повторная иммобилизация на срок 6 недель с нагрузкой на ногу (как бы я ни не любил гипс, но этот путь проверенный и может дать результат). Если это невозможно, то исключительно осторожная реабилитация под строгим контролем без резких движений (спать в положении на спине с отведением и подушкой под коленкой и т.д.). Ходьба сама по себе не опасна, опасен переход от положения "лежа" в положение "полусидя" и "стоя" и наоборот.
      Если все же вывих(и) повторятся, то другого выхода, кроме операции нет. Но к ней нужна супер серьезная материальная подготовка о которой я говорил раньше.

      С уважением, Р.Тихилов

      [ Ответить ]
    • Re: вывих головки эндопротеза
      Отправитель: Александр Г. Рыков 11 Июль 2004, 18:29
      Уважаемые коллеги! Имел опыт в двух случаях при ранней неустойчивости - вывихе после первичного протезирования и после ревизии - фиксации аппаратом таз-бедро в банальной компоновке. Ранняя активизация больных. Фиксация 5-6 недель. В последующем вывихи прекратились. Важно при вправлении вывиха, провести обследование под наркозом. Четко выявляются многие слабее места и почти всегда понятно, что ждать в перспективе. Если вывих повторится - ревизия по четкому плану (четкие длинные и полные снимки, информация о ходе предыдущего, или предыдущих, вмешательствах) с хорошей материальной базой (имею в виду вариантов имплантатов).

      С уважением. А Рыков. Хабаровск.

      [ Ответить ]

     

    ( Ответить )

    Powered by Zope  Squishdot Powered MedLink
    Посетитель: 0013140
      "По форме правильно, а по существу - издевательство" В.И.Ленин
    ©2001-2019Orthoforum Coordinator.
    [ Главная | Отправить сообщение | Поиск | Админ ]