AOTRAUMA.ORG Центр Илизарова  

Ортопедия и травматология Общие вопросы/General questions Help Информационные технологии в медицине
 ВХОД ДЛЯ ПАЦИЕНТОВ
 вверх
 поиск
 админ
 главная
 исходное


Re: Acetabular fracture
послал Anatoly F Lazarev 03 Сентябрь 2004, 22:18
Женя! Класный перелом. Отлично репонируется изнутри таза, но лучше фиксированть сзади. Классический перелом для двустороннего доступа.
Однако есть альтернатива. Репозиция из подвздошного доступа тазовыми щипцами с разнодлинными браншами или тазовым пистолетом, а фиксация задней колонны через седалищный бугор или тазрвыми винтами 4,5 или каннюлированными 6,5 или 7,3. По-моему я посылал на ортофорум такой снимок, когда жаловался на ишемический неврит седалищного нерва через сутки после операции. Не забудь про шейку бедра - мне кажется будет хорош длинный PFN любой фирмы, какую ты найдешь, а нет так UFN + miss a nail, как это здорово делают мои земляки - Ебурбуки. Пока.





























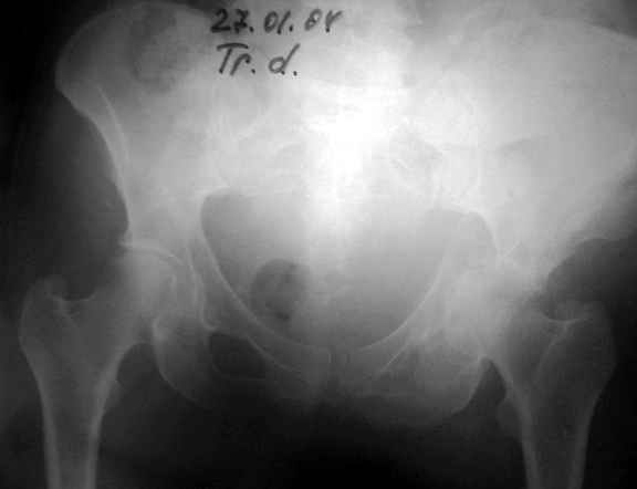
27.01.04

27.01.04

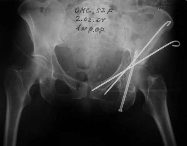
02.02.04

02.02.04

10.02.04

10.02.04

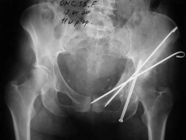
12.04.04

12.04.04

12.04.04

02.06.04

02.06.04

Послать ответ

Имя
Email
Уведомление Сообщить мне по e-mail об ответах на это сообщение
Название
Комментарий
(Проверьте URL! Не забудьте написать http://!)
Кодировка
Если не знаете, что выбрать, выберите "Просто текст"!
Приложение
Можно приложить к сообщению файл c изображением, который затем будет доступен увидевшим сообщение.
Подготовка иллюстраций:
  • Рентгенограммы: черно-белые полутоновые изображения в формате JPEG (8 bit, greyscale) с разрешением от 300х200 до 1024х768 пикселов;
  • Клинические фотографии: полноцветные изображения в формате JPEG (24 bit, truecolor) с разрешением от 300х200 до 1024х768 пикселов;
  • Схемы и рисунки: черно-белые (2 bit) штриховые (line-art) изображения в формате GIF или compressed TIFF
  • Подберите степень сжатия файла JPEG и размер изображения таким образом, чтобы необходимые детали были различимы, но размер файла не превышал 75 кб.
  • Учтите, что текущая версия программного обеспечения Форума позволяет приложить к одному сообщению лишь один файл-вложение. Поэтому, если необходимо отправить несколько изображений, можно либо послать каждое как отдельное сообщение, либо в графическом редакторе объединить изображения в одно (сделать коллаж).
  • Если при подготовке изображений встречаются трудности, не стесняйтесь обратиться к координатору Форума.

  • Введите видимые символы в обратном порядке. Enter the above characters in reverse order (*Обязательно)
    В тексте сообщения можно использовать теги HTML <B> <I> <P> <A> <LI> <OL> <UL> <EM> <BR> <TT> <HR> <STRONG> <BLOCKQUOTE> <DIV .*> <DIV> <P .*>
  • Обратите внимание: Поля с жирными названиями обязательны.
  • Старайтесь отвечать в рамках обсуждаемой темы, а не начинать новые обсуждения.
  • Указывайте адекватную тему сообщения, чтобы было ясно, о чем оно.
  • Не послайте сообщений не по теме (оффтопик), раздраженных, грубых или обидных комментариев. Здесь это неуместно.
  • Powered by Zope  Squishdot Powered MedLink
    Посетитель: 0014001
      "По форме правильно, а по существу - издевательство" В.И.Ленин
    ©2001-2019Orthoforum Coordinator.
    [ Главная | Отправить сообщение | Поиск | Админ ]